Nhổ răng khôn là nỗi lo của rất nhiều người, không chỉ vì cảm giác đau mà còn vì băn khoăn nhổ răng khôn bao nhiêu tiền, có phát sinh chi phí không, có cần phẫu thuật hay không. Thực tế, chi phí nhổ răng khôn dao động khá rộng, từ khoảng 1.000.000 VNĐ đến hơn 3.000.000 VNĐ/răng, tùy vào tình trạng răng mọc thẳng, mọc lệch hay mọc ngầm, mức độ phức tạp của ca nhổ và phương pháp can thiệp được áp dụng. Răng càng mọc lệch, mọc ngầm sâu hoặc cần tiểu phẫu thì chi phí sẽ càng cao. Vì vậy, giá nhổ răng khôn không có con số cố định cho tất cả mọi người, mà cần được bác sĩ thăm khám và chụp phim để đánh giá chính xác.

1. Răng Khôn Là Gì? Vì Sao Thường Được Chỉ Định Nhổ?
Răng khôn (răng số 8) là chiếc răng mọc cuối cùng trên cung hàm, thường xuất hiện trong độ tuổi từ 17 - 25. Thời điểm này, xương hàm đã phát triển hoàn chỉnh, không còn nhiều khoảng trống, khiến răng khôn rất dễ mọc lệch, mọc ngầm hoặc kẹt trong xương hàm thay vì mọc thẳng như các răng khác.
Chính vì mọc sai vị trí, răng khôn có thể gây ra hàng loạt vấn đề răng miệng như:
-
Đau nhức âm ỉ hoặc dữ dội, sưng viêm kéo dài
-
Viêm lợi trùm răng khôn, dễ tái phát, khó vệ sinh
-
Hôi miệng, nhiễm trùng vùng răng phía sau
-
Sâu răng số 7 kế cận do thức ăn mắc kẹt
-
Chen chúc răng, xô lệch toàn hàm, ảnh hưởng khớp cắn
Trong đa số trường hợp, nhổ răng khôn là chỉ định cần thiết nhằm ngăn ngừa biến chứng về sau. Việc trì hoãn nhổ khi răng khôn mọc lệch hoặc mọc ngầm có thể khiến tình trạng viêm nhiễm nặng hơn, gây đau kéo dài và làm tăng chi phí nhổ răng khôn do ca tiểu phẫu trở nên phức tạp hơn.

2. Nhổ Răng Khôn Giá Bao Nhiêu Tiền?
Chi phí nhổ răng khôn không có một mức giá cố định cho tất cả mọi người. Trên thực tế, giá nhổ răng khôn phụ thuộc chủ yếu vào tình trạng mọc của răng, mức độ phức tạp khi can thiệp và kỹ thuật nhổ được áp dụng. Răng càng mọc lệch, mọc ngầm sâu trong xương hàm thì quá trình nhổ càng khó, thời gian thực hiện lâu hơn và chi phí cũng sẽ cao hơn.
Bảng giá nhổ răng khôn theo mức độ mọc
-
Răng khôn mọc thẳng giá từ 1.000.000 - 1.500.000 VNĐ/1 Răng
-
Răng khôn mọc lệch, kẹt giá từ 2.000.000 - 3.000.000 VNĐ/1 Răng
-
Răng khôn mọc ngầm giá 3.000.000 VNĐ/1 Răng
Lưu ý: Răng khôn mọc càng phức tạp thì thời gian nhổ, kỹ thuật can thiệp và trang thiết bị hỗ trợ càng nhiều. Những trường hợp răng mọc lệch nặng hoặc mọc ngầm sâu thường cần tiểu phẫu, bóc tách mô và chia thân răng, vì vậy chi phí nhổ răng khôn sẽ cao hơn so với răng mọc thẳng. Để biết chính xác mức giá, người bệnh cần được bác sĩ thăm khám và chụp phim X-quang đánh giá vị trí răng.

3. Bảng Giá Dịch Vụ Nhổ Răng Khác
Dịch vụ nhổ răng chi phí (VNĐ/ 1 Răng)
-
Nhổ răng cửa vĩnh viễn lung lay giá 300.000 (VNĐ/ 1 Răng)
-
Nhổ răng cửa vĩnh viễn giá 500.000 (VNĐ/ 1 Răng)
-
Nhổ răng cối nhỏ vĩnh viễn lung lay giá 500.000 (VNĐ/ 1 Răng)
-
Nhổ răng cối nhỏ vĩnh viễn giá 1.000.000 (VNĐ/ 1 Răng)
-
Phẫu thuật răng ngầm giá 3.000.000 (VNĐ/ 1 Răng)
4. Các Yếu Tố Ảnh Hưởng Đến Giá Nhổ Răng
Vì sao chi phí nhổ răng khôn mỗi người mỗi khác? Thực tế, giá nhổ răng khôn không đơn thuần là chi phí nhổ một chiếc răng, mà còn phụ thuộc vào vị trí răng, mức độ khó khi can thiệp và phương pháp nhổ được áp dụng. Chính vì vậy, cùng là nhổ răng khôn nhưng mỗi người có thể có mức giá khác nhau, tùy theo tình trạng răng và dịch vụ tại nha khoa. Dưới đây là những yếu tố quan trọng nhất quyết định chi phí nhổ răng khôn.
4.1. Vị trí và góc mọc của răng khôn
Răng khôn mọc thẳng thường dễ nhổ, ít xâm lấn nên chi phí thấp. Ngược lại, răng khôn mọc lệch, mọc ngang (45 - 90 độ) hoặc mọc ngầm trong xương hàm sẽ khó can thiệp hơn, cần bóc tách mô và chia thân răng, do đó chi phí nhổ răng khôn cao hơn.
4.2. Phương pháp nhổ răng khôn
Ngoài nhổ truyền thống, nhiều nha khoa áp dụng công nghệ siêu âm Piezosurgery giúp giảm đau, hạn chế sưng và hồi phục nhanh. Tuy nhiên, do yêu cầu thiết bị hiện đại và tay nghề bác sĩ cao, chi phí nhổ răng khôn bằng công nghệ siêu âm thường cao hơn.
4.3. Nha khoa thực hiện và dịch vụ đi kèm
Mỗi nha khoa có bảng giá nhổ răng khôn khác nhau, tùy thuộc vào:
-
Kinh nghiệm bác sĩ
-
Trang thiết bị, phòng phẫu thuật vô trùng
-
Dịch vụ đi kèm như chụp X-quang, thuốc và tái khám
Với răng khôn mọc ngầm hoặc mọc khó, bác sĩ thường chỉ định tiểu phẫu để đảm bảo an toàn, tránh ảnh hưởng đến dây thần kinh hàm dưới và hạn chế biến chứng sau nhổ.
Lời khuyên: Để biết chi phí nhổ răng khôn chính xác, bạn nên đến nha khoa để bác sĩ thăm khám trực tiếp và chụp X-quang. Dựa trên vị trí, hướng mọc và mức độ phức tạp của răng khôn, bác sĩ sẽ tư vấn phương pháp nhổ phù hợp và báo giá cụ thể, giúp hạn chế phát sinh và đảm bảo an toàn trong quá trình điều trị.
5. Nhổ Răng Khôn Có Đau Không?
Nhổ răng khôn có đau không là câu hỏi được rất nhiều người quan tâm trước khi quyết định nhổ răng. Trên thực tế, cảm giác đau khi nhổ răng khôn không đáng lo ngại như nhiều người vẫn nghĩ.
-
Trong quá trình nhổ: người bệnh không cảm thấy đau nhờ được gây tê cục bộ đầy đủ.
-
Sau khi nhổ: có thể xuất hiện cảm giác ê nhẹ hoặc sưng nhẹ trong 1 - 3 ngày, nhưng hoàn toàn kiểm soát được bằng thuốc giảm đau và kháng viêm theo chỉ định của bác sĩ.
Khi nhổ răng khôn đúng kỹ thuật và chăm sóc hậu nhổ đúng cách, đa số người bệnh hồi phục nhanh, ít sưng đau và không ảnh hưởng đến sinh hoạt hằng ngày.
6. Khi Nào Nên Nhổ Răng Khôn Càng Sớm Càng Tốt?
Bạn nên đi kiểm tra và nhổ răng khôn sớm nếu răng khôn gây ra những dấu hiệu sau đây, ngay cả khi cơn đau chưa quá nghiêm trọng:
-
Đau răng khôn tái đi tái lại, đặc biệt khi ăn nhai hoặc về đêm
-
Sưng nướu, viêm lợi trùm răng khôn, dễ viêm nhiễm
-
Thức ăn thường xuyên mắc kẹt, kèm theo hôi miệng
-
Răng số 7 kế bên bị sâu, ê buốt hoặc có dấu hiệu lung lay
Việc trì hoãn nhổ răng khôn có thể khiến tình trạng viêm nhiễm nặng hơn, làm tăng chi phí nhổ răng khôn và tiềm ẩn nguy cơ biến chứng như đau kéo dài, nhiễm trùng hoặc ảnh hưởng đến răng kế cận.
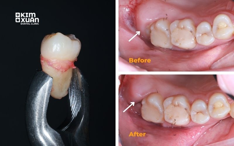
7. Nhổ Răng Khôn An Toàn - Tại Nha Khoa Kim Xuân Bình Thạnh - TP. HCM
Tại Nha khoa Kim Xuân, nhổ răng khôn được thực hiện theo quy trình chuẩn y khoa, đặt yếu tố an toàn và trải nghiệm khách hàng lên hàng đầu. Mỗi trường hợp đều được đánh giá kỹ lưỡng để đảm bảo nhổ răng hiệu quả, hạn chế đau và tránh biến chứng.
Quy trình nhổ răng khôn bao gồm:
-
Thăm khám tổng quát và chụp phim X-quang trước khi nhổ
-
Bác sĩ trực tiếp đánh giá vị trí răng, mức độ khó và nguy cơ liên quan
-
Thực hiện nhổ răng nhẹ nhàng, hạn chế xâm lấn mô mềm
-
Tư vấn rõ ràng chi phí nhổ răng khôn trước khi thực hiện, cam kết minh bạch
Không phát sinh chi phí - kiểm soát đau tốt - hồi phục nhanh, giúp khách hàng yên tâm trong suốt quá trình điều trị.

Câu Hỏi Thường Gặp?
Nhổ răng khôn có cần nghỉ làm không?
-
Thông thường, người bệnh chỉ cần nghỉ 1 ngày sau khi nhổ răng khôn. Với những trường hợp răng mọc khó hoặc cần tiểu phẫu, thời gian nghỉ có thể kéo dài 2 - 3 ngày để cơ thể hồi phục hoàn toàn.
Có cần nhổ cả 4 răng khôn cùng lúc không?
-
Việc nhổ 1 răng hay nhiều răng khôn cùng lúc sẽ được bác sĩ cân nhắc dựa trên tình trạng răng và sức khỏe tổng thể. Trong nhiều trường hợp, bác sĩ thường tư vấn nhổ từng bên để đảm bảo an toàn và giúp quá trình hồi phục nhẹ nhàng hơn.
Nhổ răng khôn bao lâu thì lành hẳn?
- Sau khi nhổ răng khôn, mô mềm thường ổn định sau khoảng 7 - 10 ngày. Vết nhổ sẽ lành hoàn toàn sau 3 - 4 tuần, tùy vào cơ địa và cách chăm sóc sau nhổ của mỗi người.
Kết Luận
Nhổ răng khôn là thủ thuật phổ biến nhưng không nên xem nhẹ, bởi chi phí nhổ răng khôn và mức độ an toàn phụ thuộc rất lớn vào tình trạng mọc của răng và kỹ thuật can thiệp. Việc thăm khám sớm, chụp phim và được bác sĩ đánh giá chính xác sẽ giúp lựa chọn phương pháp nhổ phù hợp, hạn chế đau, giảm nguy cơ biến chứng và kiểm soát chi phí hiệu quả.
Nếu bạn đang băn khoăn nhổ răng khôn giá bao nhiêu, răng khôn của mình thuộc trường hợp nào hoặc có cần tiểu phẫu hay không, Nha khoa Kim Xuân là địa chỉ bạn có thể yên tâm lựa chọn. Tại đây, mỗi ca nhổ răng đều được thăm khám kỹ lưỡng, tư vấn rõ ràng trước khi thực hiện, đảm bảo quy trình an toàn, kiểm soát đau tốt và chi phí minh bạch, không phát sinh.
Liên hệ Nha khoa Kim Xuân để được tư vấn cụ thể cho tình trạng răng của bạn và chủ động xử lý răng khôn đúng thời điểm, giúp bảo vệ sức khỏe răng miệng lâu dài.
Nha Khoa Kim Xuân - Bình Thạnh TP. HCM
Địa Chỉ: 165 Ngô Tất Tố, Phường Thạnh Mỹ Tây, Tp Hồ Chí Minh
Hotline: 0899 922 668 (Viber, Zalo, FaceTime)
ZaLo: https://zalo.me/nhakhoakimxuan
WebSite: https://nhakhoakimxuan.com.vn