Răng hô nhẹ là tình trạng nhiều người chủ quan bỏ qua vì nghĩ “chưa ảnh hưởng gì lớn”. Tuy nhiên, ở góc độ chỉnh nha, đây là dấu hiệu sai khớp cắn loại I. Nếu không điều trị sớm, có thể tiến triển thành răng hô nặng, mòn răng hoặc biến dạng khuôn mặt theo thời gian.
Theo các bác sĩ chỉnh nha tại Nha khoa Kim Xuân, đây chính là thời điểm vàng để can thiệp, bởi răng còn dễ dịch chuyển, thời gian niềng nhanh hơn, hiệu quả thẩm mỹ cao và thường không cần nhổ răng.
Bài viết dưới đây sẽ giúp bạn hiểu đúng về răng hô nhẹ và hướng điều trị hiệu quả, tổng hợp từ chuyên gia chỉnh nha giàu kinh nghiệm, cập nhật xu hướng chỉnh nha hiện đại 2025 để bạn có lựa chọn phù hợp nhất cho nụ cười của mình.

1. Răng Hô Nhẹ Là Gì?
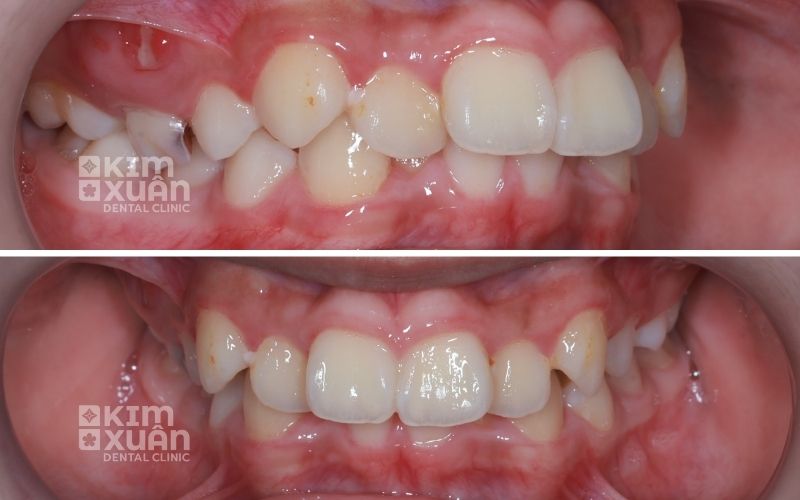
Răng hô nhẹ là tình trạng các răng cửa hàm trên mọc hơi chìa ra phía trước so với hàm dưới, khiến nụ cười kém hài hòa dù khả năng ăn nhai chưa bị ảnh hưởng rõ rệt. Ở góc nhìn chính diện, hầu như khó nhận thấy, nhưng khi nhìn nghiêng, bạn sẽ thấy môi trên hơi nhô, khớp cắn không thật cân đối.
Theo phân loại chỉnh nha, đây là sai khớp cắn loại I, mức độ nhẹ nhất, nhưng nếu để lâu, lực nhai và khớp cắn có thể bị sai lệch dần, khiến khuôn mặt mất cân đối hoặc gây mòn răng sớm.
Xem Thêm: Phân Biệt Hô Hàm Và Hô Do Răng
2. Dấu Hiệu Nhận Biết Răng Hô Và Nguyên Nhân
2.1. Dấu hiệu nhận biết răng hô nhẹ
-
Răng cửa trên hơi nghiêng ra ngoài, không thẳng hàng với trục khuôn mặt.
-
Khi cắn chặt, răng trên phủ răng dưới nhiều hơn.
-
Nhìn nghiêng, môi trên hơi nhô, khó khép môi hoàn toàn.
-
Một số trường hợp cười hở lợi nhẹ.
2.2. Nguyên nhân gây răng hô nhẹ
-
Di truyền: cha mẹ có răng hoặc xương hàm trên phát triển mạnh.
-
Thói quen xấu: mút tay, đẩy lưỡi, ngậm ti giả quá lâu.
-
Phát triển xương hàm mất cân đối trong tuổi dậy thì.
-
Tác động cơ học hoặc mất răng sớm khiến răng di lệch dần.

3. Răng Hô Nhẹ Có Nguy Hiểm Không Nếu Không Điều Trị?
Nhiều người nghĩ răng hô nhẹ chỉ là “vấn đề thẩm mỹ nhỏ”, nhưng trên thực tế, nếu không điều trị sớm, mức độ hô có thể tăng dần theo thời gian.
Hậu quả thường gặp khi không can thiệp:
-
Sai khớp cắn tiến triển, gây khó khăn khi nhai.
-
Mòn cổ răng, ê buốt do lực nhai không đều.
-
Viêm nướu, sâu kẽ vì răng chìa ra khó vệ sinh.
-
Khuôn mặt mất cân đối: môi trên trề, cằm thụt nhẹ.
Điều trị sớm giúp răng dịch chuyển nhanh hơn, không phải nhổ răng, và duy trì nụ cười hài hòa lâu dài.
Xem Thêm: Độ Tuổi Niềng Răng Là Bao Nhiêu? Đâu Là Thời Điểm Vàng
Xem Thêm: Niềng Răng Trẻ Em Giá Bao Nhiêu? Độ Tuổi Phù Hợp Nhất

4. Niềng Răng Hô Nhẹ Có Thật Sự Cần Thiết?
Câu trả lời là có - bởi niềng răng không chỉ mang lại thẩm mỹ mà còn giúp ổn định khớp cắn và chức năng nhai.
Lợi ích khi niềng răng hô nhẹ:
-
Gương mặt cân đối, nụ cười tự tin hơn.
-
Cải thiện khớp cắn, giảm nguy cơ răng mòn hoặc nứt vỡ.
Ở giai đoạn răng hô nhẹ, quá trình chỉnh nha diễn ra nhẹ nhàng, ít đau, và hiệu quả thẩm mỹ cao hơn nhiều so với can thiệp muộn.
Xem Thêm: 30 Tuổi Có Niềng Răng Được Không? Thời Gian Mất Bao Lâu?
5. Các Phương Pháp Niềng Răng Hô Nhẹ Phổ Biến Hiện Nay
Tùy vào mức độ hô và nhu cầu thẩm mỹ, bác sĩ sẽ chỉ định một trong các phương pháp sau:
5.1. Niềng răng mắc cài kim loại
-
Ưu điểm: lực kéo mạnh, hiệu quả nhanh, chi phí thấp nhất (25 - 35 triệu).
-
Nhược điểm: dễ lộ mắc cài, gây khó chịu trong thời gian đầu.
5.2. Niềng răng mắc cài sứ
-
Ưu điểm: màu gần giống răng thật, thẩm mỹ cao.
-
Nhược điểm: dễ vỡ nếu va chạm mạnh, chi phí cao hơn 10 - 20%.
5.2. Niềng răng trong suốt Invisalign
-
Ưu điểm: gần như vô hình, tháo lắp linh hoạt, êm ái và an toàn.
-
Nhược điểm: chi phí cao nhất từ (50 - 100 triệu), cần tuân thủ đeo khay đủ 22h/ngày.
6. Quy Trình Niềng Răng Hô Nhẹ Tại Nha Khoa Kim Xuân
-
Khám & chụp phim 3D Conebeam CT: đánh giá cấu trúc xương, khớp cắn.
-
Phân tích và lập phác đồ cá nhân hóa: mô phỏng 3D tiến trình di chuyển răng.
-
Lựa chọn phương pháp niềng phù hợp.
-
Tiến hành gắn khí cụ / cấp khay niềng.
-
Tái khám địnhvà theo dõi tiến độ chỉnh nha.
-
Giai đoạn duy trì sau khi tháo niềng: đeo hàm duy trì để ổn định khớp cắn.
7. Thời Gian Niềng Răng Hô Nhẹ Mất Bao Lâu?
Thời gian trung bình: 12 - 18 tháng, tùy thuộc vào:
-
Độ tuổi (trẻ em chỉnh nhanh hơn người trưởng thành).
-
Mức độ sai lệch răng.
-
Loại khí cụ và sự hợp tác của bệnh nhân.
Mẹo rút ngắn thời gian: tái khám đúng hẹn, tránh thức ăn cứng, vệ sinh đúng cách, đeo khay đủ thời gian.
Xem Thêm: Niềng Răng Móm Mất Bao Lâu? Các Yếu Tố Ảnh Hưởng?
8. Niềng Răng Hộ Nhẹ Có Cần Nhổ Răng Không?
Thông thường, không cần nhổ răng. Bác sĩ sẽ ưu tiên kỹ thuật di xa toàn hàm để tạo khoảng trống kéo răng lùi về vị trí chuẩn.
Tuy nhiên, trong một số trường hợp chen chúc hoặc răng to - cung hàm hẹp, có thể phải nhổ răng số 4 để đạt hiệu quả thẩm mỹ tối ưu.
Ngoài ra, răng khôn mọc lệch cũng nên được loại bỏ để tránh làm xô lệch khớp cắn sau niềng.
Xem Thêm: Niềng Răng Có Đau Không? Cách Giảm Ê Buốt Nhanh
9. Chi Phí Niềng Răng Hô Nhẹ Giá Bao Nhiêu 2025?
Chi phí niềng răng hô nhẹ năm 2025 dao động từ 25 triệu đến 100 triệu đồng, tùy thuộc vào phương pháp niềng, mức độ sai lệch và công nghệ chỉnh nha mà bạn lựa chọn.
Dưới đây là bảng giá chi tiết các phương pháp niềng răng hô nhẹ phổ biến tại Nha khoa Kim Xuân:
-
Mắc cài kim loại truyền thống: 25.000.000 - 35.000.000/VNĐ
-
Mắc cài kim loại tự buộc: 30.000.000 - 45.000.000/VNĐ
-
Mắc cài sứ: 35.000.000 - 50.000.000/VNĐ
-
Mắc cài sứ tự buộc: 35.000.000 - 45.000.000/VNĐ
-
Niềng răng máng trong suốt Invisalign: Mức giá 50.000.000 - 100.000.000 triệu đồng/ca (tùy tình trạng răng).
Xem Thêm: Bảng Giá Niềng Răng Chi Tiết Tại Nha Khoa Kim Xuân 2025
Xem Thêm: 20 Tuổi Niềng Giá Bao Nhiêu? Thời Gian Niềng Bao Lâu

Câu Hỏi Thường Gặp?
1. Răng hô nhẹ có tự hết không?
-
Không. Răng hô nhẹ sẽ không thể tự hết nếu không có tác động chỉnh nha hoặc can thiệp nha khoa. Khi để lâu, răng có thể hô nặng hơn do sự thay đổi của khớp cắn và sự mài mòn răng theo thời gian.
2. Niềng răng hô nhẹ có đau không?
-
Niềng răng hô nhẹ gần như không gây đau, chỉ gây cảm giác ê nhẹ trong 2 - 3 ngày đầu khi răng bắt đầu dịch chuyển. Với niềng răng trong suốt Invisalign, cảm giác này còn nhẹ hơn nhiều nhờ khay niềng êm, ôm sát răng và không có mắc cài kim loại.
3. Bao lâu thì thấy răng thay đổi sau khi niềng răng hô nhẹ?
-
Thông thường, chỉ sau 2 - 3 tháng niềng răng hô nhẹ, bạn đã có thể nhận thấy răng bắt đầu di chuyển rõ rệt, nụ cười hài hòa hơn. Tuy nhiên, thời gian cụ thể còn tùy vào mức độ sai lệch ban đầu và phác đồ điều trị do bác sĩ chỉnh nha thiết kế.
Đặt Lịch Tư Vấn Niềng Răng Tại Nha Khoa Kim Xuân
Nếu bạn đang gặp tình trạng răng hô nhẹ, đừng chờ đến khi sai lệch nặng hơn. Hãy để đội ngũ bác sĩ chỉnh nha tại Nha khoa Kim Xuân giúp bạn lên phác đồ điều trị cá nhân hóa và mô phỏng nụ cười trước khi niềng.
Đặt lịch khám và chụp phim 3D miễn phí ngay hôm nay để nhận ưu đãi 15% gói niềng trong tháng 11.
Hotline: 0899 922 668 ( Viber, Zalo, FaceTime ) - Inbox để được tư vấn chi tiết.
LIÊN HỆ NGAY VỚI NHA KHOA KIM XUÂN ĐỂ ĐƯỢC TƯ VẤN MIỄN PHÍ
HOTLINE: 0899 922 668 ( Viber, Zalo, FaceTime )
ĐỊA CHỈ: 165 Ngô Tất Tố, Phường 22, Quận Bình Thạnh. TP HCM
ZALO: https://zalo.me/nhakhoakimxuan
WEBSITE: https://nhakhoakimxuan.com.vn