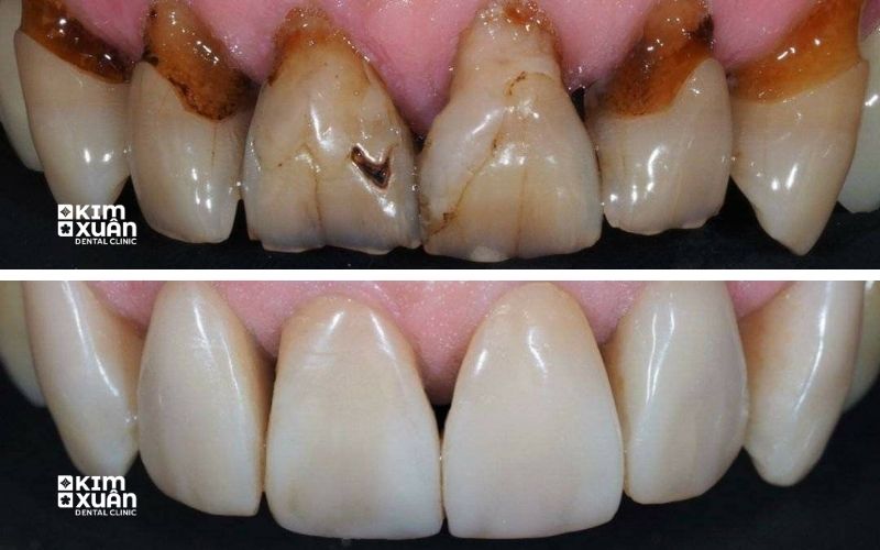
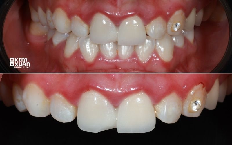
Bọc răng sứ là giải pháp thẩm mỹ được nhiều người lựa chọn để cải thiện nụ cười, khắc phục răng xấu, răng hỏng. Tuy nhiên, một số trường hợp sau khi bọc răng sứ lại gặp tình trạng viêm lợi, sưng nướu, đau nhức, chảy máu khi ăn nhai. Đây là biến chứng không thể xem nhẹ vì có thể dẫn đến tụt nướu, viêm chân răng, tiêu xương và mất răng thật nếu không được xử lý kịp thời.

1. Dấu Hiệu Nhận Biết Bọc Răng Sứ Bị Viêm Lợi
Sau khi bọc răng sứ, nếu gặp phải tình trạng viêm lợi, người bệnh thường xuất hiện các biểu hiện điển hình như:
-
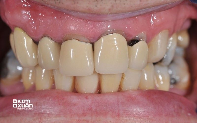
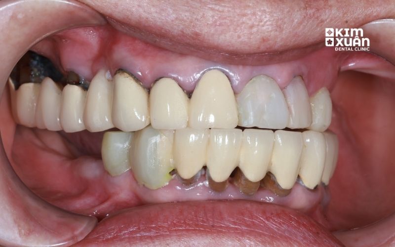
Nướu sưng đỏ, tấy và phù nề quanh răng bọc sứ, đôi khi có mủ. Nguyên nhân thường do mão sứ lắp không khít, tạo kẽ hở cho vi khuẩn và mảng bám tích tụ.
-
Chảy máu chân răng khi chải răng hoặc ăn nhai, báo hiệu mô nướu đang bị tổn thương và viêm nhiễm.
-
Đau nhức, ê buốt tại vị trí tiếp xúc giữa mão sứ và nướu, khiến bệnh nhân khó chịu khi ăn uống.
-
Hơi thở có mùi hôi, xuất phát từ vi khuẩn trong mảng bám quanh viền nướu và kẽ răng sứ, gây mất tự tin khi giao tiếp.
-
Trường hợp nặng: tụt nướu, lộ chân răng, răng lung lay. Đây là biến chứng nguy hiểm, nếu không xử lý kịp thời có thể dẫn đến viêm nha chu, tiêu xương và mất răng thật.

2. Nguyên Nhân Gây Viêm Lợi Sau Khi Bọc Răng Sứ
Viêm lợi sau bọc răng sứ có thể xuất phát từ nhiều yếu tố khác nhau. Các nguyên nhân thường gặp gồm:
-
Sai kỹ thuật nha khoa: Mão sứ không khít sát, cộm vênh hoặc mài răng quá nhiều sẽ tạo khoảng hở, khiến thức ăn và vi khuẩn dễ bám, dẫn đến viêm lợi.
-
Còn sót chất gắn nha khoa: Phần cement thừa quanh răng là “ổ” cho vi khuẩn tích tụ, gây viêm nướu và hôi miệng.
-
Không điều trị bệnh lý nền trước khi phục hình: Nếu răng còn sâu, viêm nha chu hoặc viêm tủy nhưng vẫn tiến hành bọc sứ, tình trạng viêm sẽ nhanh chóng tái phát.
-
Vệ sinh răng miệng kém: Cao răng và mảng bám không được làm sạch sẽ làm lợi bị kích ứng, viêm nhiễm.
-
Răng sứ kém chất lượng hoặc dị ứng vật liệu: Sứ không đạt chuẩn dễ gây kích ứng mô mềm, làm nướu sưng đỏ và đau nhức.
-
Bọc răng sứ giá rẻ tại cơ sở thiếu uy tín: Không tuân thủ quy trình chuẩn Y khoa, sử dụng vật liệu không rõ nguồn gốc sẽ làm tăng nguy cơ viêm lợi, hỏng răng thật.
Xem Thêm: Bọc Răng Sứ Giá Bao Nhiêu Bảng Giá Chi Tiết 2025
3. Cách Khắc Phục Bọc Răng Sứ Bị Viêm Lợi
Tùy vào mức độ viêm nướu, bác sĩ sẽ chỉ định phương án điều trị phù hợp. Các cách khắc phục phổ biến gồm:
3.1. Dùng thuốc theo chỉ định
-
Trường hợp viêm nhẹ, bác sĩ có thể kê kháng sinh, thuốc giảm đau, chống viêm để kiểm soát sưng đỏ, đau nhức.
-
Lưu ý: Không nên tự ý mua thuốc bên ngoài vì dễ gây kháng thuốc hoặc che lấp triệu chứng, làm bệnh nặng hơn.
3.2. Cạo vôi răng - làm sạch mảng bám
-
Với viêm lợi mức độ nhẹ, việc loại bỏ cao răng và mảng bám sẽ giúp nướu khỏe mạnh trở lại, ngăn vi khuẩn phát triển.
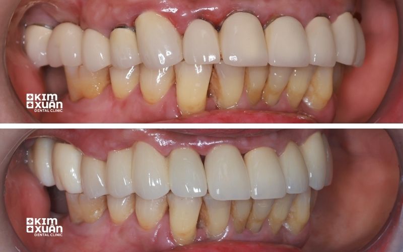
3.3. Làm lại răng sứ mới
-
Nếu mão sứ cũ không khít, cộm vênh gây kích ứng nướu, bác sĩ sẽ tháo bỏ và thay bằng răng sứ chính hãng, vừa vặn, đảm bảo an toàn cho mô lợi.
3.4. Phẫu thuật nha chu
-
Trường hợp nặng, có tụt lợi hoặc viêm nha chu, bác sĩ có thể tiến hành cắt nướu, ghép lợi hoặc tái tạo mô nha chu trước khi phục hình lại.
3.5. Hướng dẫn chăm sóc răng sứ đúng cách
-
Đánh răng ít nhất 2 lần/ngày bằng bàn chải lông mềm.
-
Sử dụng chỉ nha khoa, máy tăm nước, nước súc miệng diệt khuẩn để làm sạch kẽ răng.
-
Khám răng định kỳ 6 tháng/lần để theo dõi tình trạng mão sứ và sức khỏe nướu.
4. Cách Giảm Sưng Nướu Tại Nhà Sau Khi Bọc Răng Sứ
Trong trường hợp nướu chỉ sưng nhẹ, bạn có thể áp dụng một số biện pháp hỗ trợ tại nhà để giảm khó chịu:
-
Súc miệng bằng nước muối ấm 2 - 3 lần/ngày: Nước muối có tác dụng sát khuẩn, giảm viêm và giúp nướu bớt sưng đau.
-
Sử dụng thảo dược tự nhiên: Uống hoặc ngậm trà hoa cúc, nước gừng, nghệ… giúp kháng viêm nhẹ, hỗ trợ làm dịu nướu.
-
Điều chỉnh chế độ ăn uống: Hạn chế thức ăn quá cứng, cay nóng; thay vào đó nên chọn thực phẩm mềm, dễ nhai để tránh gây tổn thương thêm cho nướu.
-
Bổ sung vitamin C và khoáng chất: Cam, chanh, ổi… giúp tăng sức đề kháng, hỗ trợ mô nướu nhanh lành.
Lưu ý: Các cách này chỉ mang tính hỗ trợ tạm thời. Nếu tình trạng sưng viêm kéo dài hoặc ngày càng nặng, bạn cần đến nha khoa để được kiểm tra và điều trị kịp thời.
5. Cách Phòng Ngừa Viêm Lợi Khi Bọc Răng Sứ
Để hạn chế tối đa nguy cơ viêm lợi sau khi bọc sứ, bạn nên lưu ý một số nguyên tắc quan trọng sau:
-
Chọn nha khoa uy tín, bác sĩ nhiều kinh nghiệm: Tay nghề bác sĩ quyết định độ khít sát của mão sứ và mức độ an toàn khi phục hình. Quy trình chuẩn Y khoa sẽ giúp giảm thiểu rủi ro viêm nướu.
-
Sử dụng răng sứ chính hãng, có thẻ bảo hành rõ ràng: Răng sứ chất lượng cao tương thích sinh học tốt, không gây kích ứng mô nướu, duy trì thẩm mỹ và độ bền lâu dài.
-
Điều trị triệt để các bệnh lý răng miệng trước khi bọc sứ: Sâu răng, viêm nha chu hay viêm tủy nếu không xử lý dứt điểm sẽ là nguyên nhân chính dẫn đến viêm lợi sau phục hình.
-
Tuân thủ hướng dẫn chăm sóc răng miệng sau khi phục hình: Đánh răng đều đặn, dùng chỉ nha khoa, súc miệng sát khuẩn và tái khám định kỳ giúp giữ cho răng - nướu luôn khỏe mạnh.
Xem Thêm: Sau Khi Bọc Răng Sứ Nên Kiêng Gì, Ăn Gì? Giải Đáp Chi Tiết
Câu Hỏi Thường Gặp?
1. Bọc răng sứ bị viêm lợi có nguy hiểm không?
-
Có. Nếu không điều trị sớm, viêm lợi có thể gây tụt nướu, viêm nha chu, tiêu xương ổ răng và làm răng sứ lung lay, thậm chí mất răng thật. Vì vậy, khi có dấu hiệu sưng đỏ, chảy máu nướu, bạn nên đi khám ngay để được xử lý kịp thời.
2. Viêm lợi sau khi bọc răng sứ điều trị thế nào?
Tùy mức độ, bác sĩ có thể chỉ định:
-
Dùng thuốc kháng sinh, giảm đau, chống viêm.
-
Cạo vôi răng, làm sạch mảng bám.
-
Tháo và bọc lại răng sứ mới nếu mão sứ cũ không khít.
-
Phẫu thuật nha chu (cắt nướu, ghép lợi) với trường hợp nặng.
3. Khi nào cần tháo mão sứ và bọc lại?
-
Bạn cần bọc lại răng sứ khi mão sứ cũ bị hở, cộm, gây viêm nướu kéo dài, tụt lợi hoặc mất thẩm mỹ. Việc thay mão sứ mới khít sát sẽ giúp nướu hồi phục và hạn chế tái viêm.
4. Răng sứ gây hôi miệng có phải do viêm lợi không?
- Đúng. Khi mão sứ không khít, thức ăn và vi khuẩn tích tụ quanh viền nướu sẽ gây viêm lợi và hôi miệng. Ngoài ra, vệ sinh răng chưa đúng cách hoặc còn sót cement nha khoa cũng là nguyên nhân.
Kết Luận
Bọc răng sứ bị viêm lợi là tình trạng không hiếm gặp, thường xuất phát từ nhiều nguyên nhân như mão sứ lắp không khít, vệ sinh răng miệng chưa tốt hoặc bệnh lý nền chưa được điều trị dứt điểm. Nếu được phát hiện và xử lý sớm, bạn hoàn toàn có thể khắc phục hiệu quả, bảo vệ nướu khỏe mạnh và tránh biến chứng nghiêm trọng như tụt lợi, lung lay hay mất răng thật.
Tại Nha Khoa Kim Xuân, hàng ngàn khách hàng đã được điều trị thành công tình trạng viêm lợi sau bọc răng sứ, lấy lại hàm răng chắc khỏe - nụ cười tự tin. Nếu bạn đang gặp phải triệu chứng này, đừng chần chừ - hãy đến thăm khám và tư vấn cùng đội ngũ bác sĩ chuyên môn tại Kim Xuân Implant Clinic để được hướng dẫn phương án điều trị an toàn, hiệu quả và chuẩn Y khoa.
Xem Thêm Bài Viết Liên Quan
-
Xem Thêm: Bọc Răng Sứ Có Cần Lấy Tủy Răng Không?
-
Xem Thêm: Bọc Răng Sứ Bị Ê Buốt Phải Làm Sao?
-
Xem thêm: Bọc Sứ Lâu Năm Bị Đau Nhức Nguyên Nhân Và Cách Điều Trị
-
Xem thêm: Răng Bọc Sứ Bị Viêm Tủy? Nguyên Nhân
-
Xem Thêm: Bọc Răng Sứ Bao Lâu Thì Làm Lại?
LIÊN HỆ NGAY VỚI NHA KHOA KIM XUÂN ĐỂ ĐƯỢC TƯ VẤN MIỄN PHÍ.
HOTLINE: 0899 922 668 ( Viber, Zalo, FaceTime )
ĐỊA CHỈ: 165 Ngô Tất Tố, Phường 22, Quận Bình Thạnh. TP HCM
ZALO: https://zalo.me/nhakhoakimxuan
WEBSITE: https://nhakhoakimxuan.com.vn

