Nguyên Nhân Bọc Răng Sứ Bị Đau Nhức Và Cách Khắc Phục
Bọc răng sứ bị đau là tình trạng bất thường, đặc biệt khi cơn đau kéo dài hoặc xuất hiện sau nhiều năm sử dụng. Trong đa số trường hợp, nguyên nhân không nằm ở mão sứ mà xuất phát từ răng thật và mô nâng đỡ bên trong.
Cụ thể, răng bọc sứ bị đau thường liên quan đến:
-
Cùi răng thật: viêm tủy, tủy chưa điều trị triệt để
-
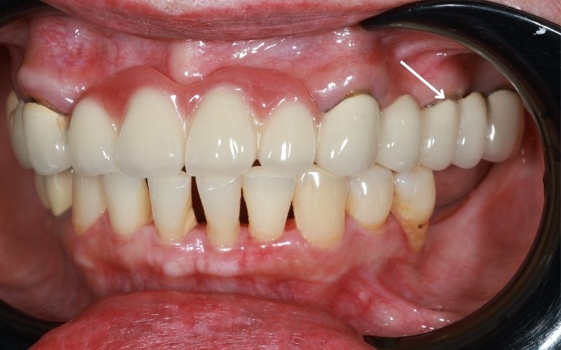
Mô nướu xung quanh: viêm nướu, tụt nướu, mão sứ hở viền
-
Khớp cắn hoặc kỹ thuật bọc sứ: mài răng quá nhiều, sai khớp cắn, lực nhai phân bố không đều
Xác định đúng nguyên nhân gây đau là yếu tố quyết định:
-
Điều trị dứt điểm cơn đau
-
Tránh phải tháo bỏ răng sứ không cần thiết
-
Bảo tồn tối đa răng thật về lâu dài

1. Tại Sao Bọc Răng Sứ Lâu Năm Bị Đau Nhức
Bọc răng sứ lâu năm bị đau nhức chủ yếu do răng thật bên trong bị tổn thương hoặc các mô nâng đỡ xung quanh bị viêm. Răng sứ không có dây thần kinh, vì vậy mọi cảm giác đau đều liên quan đến cùi răng, tủy răng, nướu hoặc khớp cắn.
Dưới đây là những nguyên nhân thường gặp nhất trên thực tế lâm sàng.
1.1. Cùi răng yếu sau khi mài
Cùi răng yếu là nguyên nhân phổ biến nhất gây đau sau khi bọc sứ. Tình trạng này thường xảy ra khi:
-
Răng bị mài quá nhiều mô cứng
-
Men răng mỏng, lộ ngà
-
Nền răng vốn đã nhạy cảm
Biểu hiện thường gặp:
-
Ê buốt khi ăn nóng - lạnh
-
Đau nhẹ nhưng kéo dài
-
Cảm giác “nhức âm ỉ” khi nhai
Vì sao gây đau?
Khi lớp bảo vệ tự nhiên của răng bị suy yếu, các kích thích từ bên ngoài dễ truyền trực tiếp vào ngà răng và tủy. Nếu không kiểm soát tốt, tình trạng này có thể tiến triển thành viêm tủy.
1.2. Viêm tủy chưa được điều trị triệt để
Viêm tủy là nguyên nhân gây đau dữ dội và kéo dài sau khi bọc sứ. Thường gặp trong các trường hợp:
-
Răng viêm tủy nhẹ nhưng không được phát hiện
-
Điều trị tủy chưa sạch
-
Vi khuẩn còn sót lại trong ống tủy
Dấu hiệu cảnh báo:
-
Đau tăng dần theo thời gian
-
Đau tự phát, không cần kích thích
-
Đau về đêm, lan lên đầu hoặc tai
Nếu không điều trị sớm, răng có thể:
-
Hoại tử tủy
-
Hình thành áp xe
-
Buộc phải nhổ bỏ
1.3. Kỹ thuật bọc răng sứ chưa chuẩn
Sai sót kỹ thuật là nguyên nhân âm thầm nhưng rất nguy hiểm. Các lỗi thường gặp gồm:
-
Mài răng quá sâu
-
Lấy dấu răng không chính xác
-
Mão sứ không sát khít cùi răng
Hậu quả lâu dài:
-
Thức ăn, vi khuẩn lọt vào dưới mão
-
Viêm nướu mạn tính
-
Đau răng kéo dài, khó xác định nguyên nhân
Đây là lý do vì sao đau răng sứ có thể xuất hiện sau nhiều năm, không phải ngay sau khi bọc.
1.4. Chế độ ăn uống và vệ sinh răng miệng chưa phù hợp
Chăm sóc sau bọc sứ ảnh hưởng trực tiếp đến tuổi thọ và cảm giác đau. Những thói quen gây hại:
-
Ăn đồ quá cứng, quá dai
-
Dùng thực phẩm quá nóng hoặc quá lạnh
-
Đánh răng mạnh, sai cách
Hệ quả thường gặp:
-
Mảng bám tích tụ quanh viền nướu
-
Viêm nướu quanh mão sứ
-
Ê buốt, đau khi nhai
Đây là nguyên nhân phổ biến nhưng thường bị bỏ qua.
1.5. Các bệnh lý răng miệng tồn tại hoặc phát sinh
Bọc răng sứ không giúp răng “miễn nhiễm” với bệnh lý. Những vấn đề thường gặp:
-
Sâu răng dưới mão sứ
-
Viêm nướu
Dấu hiệu cảnh báo sớm:
-
Nướu đỏ, sưng
-
Chảy máu khi chải răng
-
Hơi thở có mùi
Nếu không điều trị kịp thời, răng thật bên trong có thể bị phá hủy nghiêm trọng.
1.6. Lệch khớp cắn sau khi lắp răng sứ
Khớp cắn sai làm lực nhai phân bố không đều. Biểu hiện thường thấy:
-
Đau khi nhai
-
Mỏi hàm
-
Đau khớp thái dương hàm
Về lâu dài có thể gây:
-
Mòn răng thật
-
Tổn thương cùi răng
-
Đau đầu, đau cổ vai gáy
Cần điều chỉnh sớm để tránh biến chứng phức tạp.
1.7. Tụt nướu và lộ chân răng
Tụt nướu làm lộ phần cổ răng thật dưới mão sứ. Nguyên nhân thường do:
-
Tuổi tác
-
Viêm nha chu
-
Chải răng sai cách
Hậu quả:
-
Ê buốt kéo dài
-
Viêm nướu quanh răng sứ
-
Giảm thẩm mỹ
1.8. Vật liệu răng sứ kém chất lượng
Răng sứ kém chất lượng dễ gây kích ứng và đau nhức. Đặc điểm thường thấy:
-
Dẫn nhiệt kém
-
Không tương thích sinh học
-
Dễ nứt, vỡ
Vật liệu không đạt chuẩn có thể ảnh hưởng trực tiếp đến cùi răng thật.
1.9. Thói quen sinh hoạt xấu
Nghiến răng và cắn vật cứng gây áp lực quá mức lên răng sứ. Thói quen phổ biến:
-
Nghiến răng khi ngủ
-
Cắn đá, nhai xương cứng
-
Dùng răng mở nắp chai
Hậu quả:
-
Đau răng sứ
-
Mòn mão sứ
-
Nứt vỡ răng sứ
1.10. Keo nha khoa bị rò rỉ theo thời gian
Keo dán mão sứ có thể xuống cấp sau nhiều năm sử dụng. Khi keo bị hở:
-
Vi khuẩn xâm nhập vào cùi răng
-
Gây sâu răng, viêm tủy
-
Đau nhức dữ dội
Xem Thêm: Bọc Răng Sứ Có Đau Không? Cách Hạn Chế Đau Khi Làm Răng Sứ
Xem Thêm: Dấu Hiệu Viêm Tủy Răng: Đau Răng Về Đêm

2. Phân Biệt Đau Răng Sứ Bình Thường Và Đau Bất Thường
Không phải cơn đau sau khi bọc răng sứ nào cũng nguy hiểm. Việc phân biệt đúng giúp tránh lo lắng không cần thiết và phát hiện sớm các biến chứng nghiêm trọng.
2.1. Đau răng sứ bình thường
-
Xuất hiện trong 3 - 5 ngày đầu sau khi bọc
-
Ê nhẹ, mức độ giảm dần theo thời gian
-
Không đau khi nhai mạnh
-
Không ảnh hưởng sinh hoạt hằng ngày
Đây là phản ứng thích nghi tạm thời của răng thật.
2.2. Đau răng sứ bất thường
-
Kéo dài nhiều ngày, không thuyên giảm
-
Cảm giác đau tăng dần theo thời gian
-
Đau tự phát hoặc đau khi nhai
-
Có thể kèm ê buốt, nhức âm ỉ, đau về đêm
Nếu thuộc nhóm đau bất thường, cần đi khám nha khoa sớm để xác định nguyên nhân và xử lý kịp thời.
Xem Thêm: Răng Bọc Sứ Bị Viêm Tủy Nguyên Nhân Và Dấu Hiệu Nhận Biết
Xem Thêm: Lấy Tủy Bọc Răng Sứ Giá Bao Nhiêu 2026

3. Cách Khắc Phục Khi Răng Bọc Sứ Bị Đau Nhức
Khi răng bọc sứ bị đau, các biện pháp tại nhà chỉ giúp giảm triệu chứng tạm thời, không thể điều trị nguyên nhân gốc rễ. Để xử lý triệt để và bảo tồn răng thật, người bệnh vẫn cần được thăm khám nha khoa.
Dưới đây là những biện pháp hỗ trợ thường được áp dụng:
3.1. Súc miệng bằng nước muối ấm
-
Giảm viêm nhẹ quanh nướu
-
Làm sạch mảng bám
-
Dễ thực hiện tại nhà
3.2. Dùng thuốc giảm đau theo chỉ định
-
Chỉ dùng khi đau nhiều
-
Không tự ý lạm dụng
-
Không sử dụng kéo dài
3.3. Chườm lạnh bên ngoài má
-
Giảm đau tạm thời
-
Hỗ trợ giảm sưng viêm
3.4. Làm sạch kẽ răng mỗi ngày
-
Dùng chỉ nha khoa
-
Hoặc tăm nước
-
Hạn chế mảng bám quanh viền mão sứ
3.5. Sử dụng hàm bảo vệ khi nghiến răng
-
Giảm áp lực lên răng sứ
-
Bảo vệ cùi răng thật
-
Hạn chế nứt, vỡ mão sứ
3.6. Thăm khám nha khoa sớm (quan trọng nhất)
Đây là giải pháp bắt buộc nếu đau kéo dài hoặc đau tăng dần. Bác sĩ sẽ:
-
Kiểm tra khớp cắn
-
Chụp phim đánh giá cùi răng và tủy
-
Điều trị đúng nguyên nhân gây đau, tránh biến chứng về sau
Thăm khám sớm, khả năng bảo tồn răng thật càng cao.
Xem Thêm: Răng Sứ Kim Loại Có Tốt Không?
Xem Thêm: Răng Sứ Toàn Sứ Là Gì? Giá Bao Nhiêu 2026
4. Lưu Ý Chăm Sóc Răng Sứ Để Tránh Đau Nhức
Chăm sóc răng sứ đúng cách giúp giảm nguy cơ ê buốt, viêm nướu và đau nhức về lâu dài. Đây là yếu tố quan trọng quyết định tuổi thọ răng sứ cũng như sức khỏe răng thật bên trong.
4.1. Vệ sinh răng miệng đúng cách
-
Đánh răng 2 lần/ngày
-
Sử dụng bàn chải lông mềm để tránh tổn thương nướu
-
Kết hợp chỉ nha khoa hoặc tăm nước để làm sạch kẽ răng và viền mão sứ
Vệ sinh đúng giúp hạn chế mảng bám - nguyên nhân hàng đầu gây viêm và đau răng sứ.
4.2. Chế độ ăn uống hợp lý
-
Tránh nhai đồ quá cứng, quá dai
-
Hạn chế nóng - lạnh đột ngột gây ê buốt
-
Giảm thực phẩm đậm màu để bảo vệ thẩm mỹ răng sứ
Chế độ ăn phù hợp giúp giảm áp lực lên răng sứ và bảo vệ cùi răng thật.
Xem Thêm: Bọc Răng Sứ Có Cần Lấy Tủy Răng?
5. Câu Hỏi Thường Gặp?
5.1. Vì sao bọc răng sứ nhai bị đau?
Răng bọc sứ nhai bị đau thường do viêm tủy, lệch khớp cắn hoặc cùi răng thật bị yếu. Khi lực nhai dồn không đều hoặc tủy răng bị tổn thương, cơn đau sẽ xuất hiện rõ hơn lúc ăn nhai.
5.2. Răng sứ lâu năm bị đau phải làm sao?
Người bệnh nên đi khám nha khoa sớm để xác định chính xác nguyên nhân gây đau. Việc thăm khám giúp bác sĩ kiểm tra khớp cắn, đánh giá cùi răng và xử lý kịp thời, tránh biến chứng nặng hơn.
5.3. Đau răng sứ có nguy hiểm không?
Đau răng sứ có thể nguy hiểm nếu cơn đau kéo dài, đau tăng dần hoặc kèm sưng, chảy máu nướu. Đây có thể là dấu hiệu của viêm tủy, viêm nướu hoặc nhiễm trùng quanh răng sứ, cần được điều trị sớm.
Kết Luận
Răng bọc sứ bị đau là dấu hiệu bất thường và không nên chủ quan, đặc biệt khi cơn đau kéo dài, đau tăng dần hoặc xuất hiện sau nhiều năm sử dụng. Trong hầu hết trường hợp, nguyên nhân xuất phát từ răng thật bên trong, mô nướu xung quanh hoặc khớp cắn, cần được kiểm tra và xử lý đúng cách.
Việc thăm khám và điều trị sớm giúp:
-
Giảm đau hiệu quả, tránh tình trạng đau âm ỉ kéo dài
-
Bảo tồn tối đa răng thật, hạn chế phải tháo hoặc nhổ răng
-
Duy trì độ bền và tính thẩm mỹ của răng sứ theo thời gian
Nếu bạn đang gặp tình trạng đau răng sứ khi nhai, ê buốt kéo dài hoặc đau sau nhiều năm bọc sứ, hãy liên hệ Nha khoa Kim Xuân để được thăm khám, chụp phim và tư vấn hướng xử lý phù hợp, giúp bảo vệ răng thật và tránh biến chứng về sau.
Nha Khoa Kim Xuân - Bình Thạnh TP. HCM
Địa Chỉ: 165 Ngô Tất Tố, Phường Thạnh Mỹ Tây, Tp Hồ Chí Minh
Hotline: 0899 922 668 (Viber, Zalo, FaceTime)
ZaLo: https://zalo.me/nhakhoakimxuan
WebSite: https://nhakhoakimxuan.com.vn