Bọc Răng Sứ Titan Có Bị Đen Viền Nướu Không? Sau Bao Lâu Sẽ Xuất Hiện
Bọc răng sứ Titan có khả năng xuất hiện tình trạng đen viền nướu sau một thời gian sử dụng, thường khoảng 2 - 5 năm. Nguyên nhân chủ yếu đến từ phần sườn kim loại bên trong (Niken - Crom - Titan) có thể bị oxy hóa trong môi trường khoang miệng, từ đó tạo viền thâm nhẹ quanh nướu. Đây là hạn chế thường gặp của dòng răng sứ kim loại, khác với răng toàn sứ có tính thẩm mỹ ổn định hơn và không gây xám nướu.
Dù vậy, răng sứ Titan vẫn được nhiều người lựa chọn nhờ chi phí hợp lý và độ bền tốt trong ăn nhai. Tuy nhiên, không ít khách hàng vẫn băn khoăn liệu răng sứ Titan có bị đen nướu không, sử dụng được bao lâu và làm sao để hạn chế nhược điểm này. Những thông tin dưới đây sẽ giúp bạn hiểu rõ trước khi quyết định phục hình.

1. Răng Sứ Titan Là Gì?
Răng sứ Titan là dòng răng sứ kim loại có cấu tạo gồm khung sườn hợp kim Niken - Crom - Titan bên trong và lớp sứ thẩm mỹ phủ bên ngoài. Nhờ cấu trúc này, răng sứ Titan có độ cứng chắc cao, chịu lực tốt và chi phí hợp lý nên được sử dụng phổ biến trong phục hình răng.
Răng sứ Titan thường được chỉ định trong các trường hợp:
-
Răng sâu, vỡ lớn
-
Răng đã điều trị tủy
-
Răng nhiễm màu nặng
-
Phục hình răng hàm cần lực nhai lớn
So với răng toàn sứ, bọc răng sứ Titan có chi phí thấp hơn nhưng vẫn đảm bảo chức năng ăn nhai và độ bền tốt, vì vậy vẫn là lựa chọn của nhiều khách hàng hiện nay.

2. Bọc Răng Sứ Titan Có Bị Đen Viền Nướu Không?
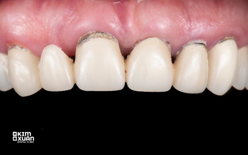
Câu trả lời là: CÓ thể xảy ra. Bọc răng sứ Titan thuộc nhóm răng sứ kim loại nên sau một thời gian sử dụng, tình trạng đen viền nướu hoặc thâm nướu nhẹ có thể xuất hiện. Nguyên nhân chủ yếu là do phần sườn kim loại bên trong có thể bị oxy hóa trong môi trường khoang miệng, tạo viền sẫm màu ở vùng tiếp giáp nướu.
Tuy nhiên, không phải ai bọc răng sứ Titan cũng bị đen nướu. Thời gian và mức độ xuất hiện phụ thuộc vào nhiều yếu tố như:
-
Cơ địa mỗi người
-
Kỹ thuật bọc răng sứ
-
Chất lượng mão sứ Titan
-
Cách chăm sóc răng miệng sau khi phục hình
Nếu được thực hiện đúng chỉ định, đúng kỹ thuật và chăm sóc tốt, răng sứ Titan vẫn có thể duy trì thẩm mỹ và chức năng ăn nhai ổn định trong nhiều năm.
3. Vì Sao Răng Sứ Titan Bị Đen Viền Nướu?
Răng sứ Titan có thể xuất hiện tình trạng đen viền nướu sau một thời gian sử dụng. Nguyên nhân chủ yếu liên quan đến cấu tạo kim loại bên trong, quá trình oxy hóa trong khoang miệng và một số yếu tố kỹ thuật, cơ địa.
3.1. Do cấu tạo có kim loại bên trong
Răng sứ Titan là dòng răng sứ kim loại, có khung sườn hợp kim bên trong và lớp sứ phủ bên ngoài. Khi ánh sáng chiếu vào, phần kim loại bên trong có thể phản chiếu nhẹ khiến:
-
Màu răng kém trong tự nhiên so với răng toàn sứ
-
Có thể lộ viền tối ở chân răng trong một số trường hợp
Nhược điểm này dễ nhận thấy hơn ở vùng răng cửa - nơi yêu cầu thẩm mỹ cao.
3.2. Hiện tượng oxy hóa theo thời gian
Sau thời gian dài trong môi trường khoang miệng (nước bọt, axit, vi khuẩn), phần kim loại bên trong răng sứ Titan có thể bị oxy hóa nhẹ. Quá trình này có thể dẫn đến:
-
Thâm viền nướu
-
Đổi màu nhẹ vùng chân răng
-
Lộ viền kim loại khi nướu tụt
Thời gian xuất hiện thường từ 3 - 7 năm, tùy cơ địa và cách chăm sóc răng miệng.
3.3. Do kỹ thuật bọc răng sứ và chế tác
Một số trường hợp đen viền nướu xuất hiện sớm có thể liên quan đến kỹ thuật thực hiện, như:
-
Mài cùi răng chưa đúng kỹ thuật
-
Lấy dấu không chính xác
-
Răng sứ không sát khít viền nướu
-
Viền sứ quá mỏng
Những yếu tố này khiến vi khuẩn dễ tích tụ tại viền nướu, lâu dài có thể gây thâm nướu hoặc viêm nướu nhẹ.
3.4. Do cơ địa và tình trạng nướu
Người có nướu mỏng, nướu nhạy cảm hoặc cơ địa dễ thâm thường dễ thấy viền kim loại hơn sau khi bọc răng sứ Titan. Ngoài ra, nếu cùi răng thật bên trong sậm màu hoặc nhiễm màu nặng, màu sắc phục hình cũng có thể bị ảnh hưởng theo thời gian.
Xem Thêm: Răng Sứ Zirconia Là Gì? Có Tốt Không?

4. Bọc Răng Sứ Titan Bao Lâu Thì Đen Viền Nướu?
Tình trạng đen viền nướu ở răng sứ Titan không xuất hiện ngay sau khi bọc mà thường diễn ra sau một thời gian sử dụng. Thời gian cụ thể phụ thuộc vào cơ địa, kỹ thuật và cách chăm sóc.
4.1. Thời gian trung bình theo từng giai đoạn
-
3 - 5 năm: Có thể bắt đầu thâm viền nướu nhẹ
-
5 - 7 năm: Viền nướu sậm màu rõ hơn, dễ nhận thấy khi cười
-
Sau 7 năm: Có thể cần thay mới để đảm bảo thẩm mỹ
4.2. Trường hợp sử dụng được lâu hơn (7 - 10 năm hoặc hơn)
Nếu đảm bảo các yếu tố sau, răng sứ Titan có thể duy trì thẩm mỹ và chức năng lâu hơn:
-
Bọc răng đúng kỹ thuật
-
Mão sứ Titan chất lượng tốt
-
Khớp cắn chuẩn, không quá tải lực
-
Chăm sóc răng miệng đúng cách
-
Cạo vôi răng và tái khám định kỳ
4.3. Trường hợp có thể đen viền nướu sớm
Tình trạng thâm nướu có thể xuất hiện sớm nếu:
-
Kỹ thuật bọc sứ không chính xác
-
Răng sứ không sát khít viền nướu
-
Vệ sinh răng miệng kém
-
Cơ địa nướu mỏng, dễ thâm
Kết Luận: Răng sứ Titan thường có tuổi thọ thẩm mỹ khoảng 5 - 7 năm, và tuổi thọ sử dụng có thể 7 - 10 năm hoặc lâu hơn nếu được thực hiện đúng kỹ thuật và chăm sóc tốt.
5. Răng Sứ Titan Có Tốt Không?
Răng sứ Titan là dòng răng sứ tốt trong phân khúc chi phí hợp lý, đặc biệt phù hợp với các trường hợp phục hình răng cần độ bền và khả năng chịu lực cao.
5.1. Ưu điểm của răng sứ Titan
-
Chi phí thấp hơn so với răng toàn sứ
-
Độ bền cao, chịu lực nhai tốt
-
Phù hợp phục hình răng hàm
-
Bảo vệ răng đã điều trị tủy
-
Thời gian sử dụng nhiều năm nếu chăm sóc tốt
5.2. Nhược điểm của răng sứ Titan
-
Có thể đen viền nướu sau một thời gian
-
Màu sắc và độ trong tự nhiên không cao bằng răng toàn sứ
-
Không phải lựa chọn tối ưu cho răng cửa yêu cầu thẩm mỹ cao
5.3. Khi nào nên chọn răng sứ Titan?
Răng sứ Titan phù hợp khi:
-
Cần phục hình răng hàm chịu lực nhai lớn
-
Muốn chi phí hợp lý
-
Ưu tiên độ bền hơn thẩm mỹ cao
Răng sứ Titan vẫn là lựa chọn tốt nếu phục hình đúng chỉ định và đúng kỹ thuật. Tuy nhiên, với những trường hợp yêu cầu thẩm mỹ cao và ổn định lâu dài, răng toàn sứ sẽ là giải pháp tối ưu hơn.
Xem Thêm: Răng Sứ Cercon HT Có Tốt Không?
6. So Sánh Răng Sứ Titan Và Răng Toàn Sứ
Nhiều khách hàng phân vân giữa răng sứ Titan và răng toàn sứ khi lựa chọn phục hình. Dưới đây là bảng so sánh chi tiết để dễ hiểu hơn:
|
Tiêu Chí |
Răng Sứ Titan |
Răng Toàn Sứ |
|
Thẩm Mỹ |
Khá |
Cao |
|
Độ Trong Tự Nhiên |
Trung bình |
Rất cao |
|
Đen Viền Nướu |
Có thể xảy ra |
Không |
|
Độ Bền |
Cao |
Rất cao |
|
Chi Phí |
Thấp hơn |
Cao hơn |
|
Tuổi Thọ Trung Bình |
5 - 7 năm |
10 - 20 năm |
Nên chọn răng sứ Titan hay răng toàn sứ?
-
Nếu yêu cầu thẩm mỹ cao ở răng cửa hoặc vùng cười, răng toàn sứ thường được ưu tiên vì màu sắc trong tự nhiên và không gây đen viền nướu.
-
Nếu phục hình răng hàm cần chịu lực nhai lớn và muốn tối ưu chi phí, răng sứ Titan vẫn là lựa chọn hợp lý và bền chắc.
Xem Thêm: Bọc Răng Sứ Titan Giá Bao Nhiêu Tiền?
Xem Thêm: Bọc Răng Sứ Toàn Sứ Giá Bao Nhiêu?

7. Cách Hạn Chế Răng Sứ Titan Bị Đem Viền Nướu
Mặc dù răng sứ Titan có thể xuất hiện đen viền nướu theo thời gian, nhưng nếu thực hiện đúng kỹ thuật và chăm sóc tốt, tình trạng này có thể hạn chế đáng kể.
7.1. Lựa chọn nha khoa uy tín, bác sĩ có kinh nghiệm
Kỹ thuật bọc răng sứ ảnh hưởng lớn đến độ bền và thẩm mỹ lâu dài. Một ca bọc răng sứ Titan đúng chuẩn cần đảm bảo:
-
Mài răng đúng tỉ lệ
-
Lấy dấu chính xác
-
Răng sứ sát khít viền nướu
-
Lắp đúng khớp cắn
Khi răng sứ khít sát và đúng kỹ thuật, vi khuẩn khó tích tụ tại viền nướu, từ đó giảm nguy cơ thâm nướu.
7.2. Chăm sóc răng miệng đúng cách mỗi ngày
Vệ sinh răng miệng tốt giúp duy trì màu sắc và độ bền của răng sứ Titan. Nên duy trì các thói quen:
-
Đánh răng ít nhất 2 lần/ngày
-
Dùng bàn chải lông mềm
-
Sử dụng chỉ nha khoa làm sạch kẽ răng
-
Súc miệng sát khuẩn
Chăm sóc đúng giúp hạn chế viêm nướu và tình trạng sậm màu viền nướu.
7.3. Hạn chế các thói quen dễ gây thâm nướu
Một số thói quen có thể khiến viền nướu sậm màu nhanh hơn:
-
Hút thuốc lá thường xuyên
-
Uống nhiều cà phê, trà đậm
-
Ăn uống quá nhiều thực phẩm axit
-
Cắn vật cứng
Việc hạn chế các yếu tố này giúp duy trì thẩm mỹ của răng sứ Titan lâu dài.
7.4. Khám răng định kỳ
Nên kiểm tra răng sứ định kỳ mỗi 6 tháng để:
-
Cạo vôi răng
-
Kiểm tra viền sứ
-
Phát hiện sớm viêm nướu hoặc hở viền
Tái khám định kỳ giúp kéo dài tuổi thọ và hạn chế đen viền nướu hiệu quả.
8. Có Nên Bọc Răng Sứ Titan Không?
Răng sứ Titan vẫn là lựa chọn phù hợp trong nhiều trường hợp, đặc biệt khi cần phục hình răng bền chắc với chi phí hợp lý. Tuy nhiên, việc có nên bọc răng sứ Titan hay không còn phụ thuộc vào vị trí răng và nhu cầu thẩm mỹ của mỗi người.
8.1. Trường hợp nên bọc răng sứ Titan
Răng sứ Titan phù hợp khi:
-
Cần phục hình răng hàm chịu lực nhai lớn
-
Ngân sách ở mức trung bình
-
Không yêu cầu thẩm mỹ quá cao
-
Muốn độ bền ăn nhai tốt, sử dụng nhiều năm
Trong những trường hợp này, răng sứ Titan vẫn đảm bảo chức năng ăn nhai và độ bền ổn định.
8.2. Trường hợp nên cân nhắc răng toàn sứ
Răng toàn sứ thường được ưu tiên nếu:
-
Yêu cầu thẩm mỹ cao
-
Phục hình răng cửa hoặc vùng cười
-
Không muốn xuất hiện đen viền nướu theo thời gian
-
Muốn màu răng trong tự nhiên lâu dài
Bọc răng sứ Titan vẫn là giải pháp tốt nếu phục hình đúng chỉ định và đúng kỹ thuật. Tuy nhiên, với những trường hợp ưu tiên thẩm mỹ cao và sự ổn định lâu dài, răng toàn sứ sẽ là lựa chọn tối ưu hơn.
Xem Thêm: Giá Bọc Răng Sứ Hiện Nay Bao Nhiêu Tiền?
Câu Hỏi Thường Gặp Về Răng Sứ Titan
Răng sứ Titan có gây hôi miệng không?
Không. Nếu bọc răng sứ Titan đúng kỹ thuật và vệ sinh răng miệng tốt, răng sứ Titan không gây hôi miệng. Tình trạng hôi miệng chỉ có thể xảy ra khi viền răng sứ không khít, vệ sinh kém hoặc có viêm nướu.
Răng sứ Titan dùng được bao lâu?
Răng sứ Titan có thời gian sử dụng trung bình từ 5 - 10 năm, tùy vào cơ địa, kỹ thuật thực hiện và cách chăm sóc răng miệng. Nếu chăm sóc tốt và khám định kỳ, thời gian sử dụng có thể kéo dài lâu hơn.
Có thể thay răng sứ Titan bằng răng toàn sứ không?
Có. Khi cần nâng cấp thẩm mỹ hoặc muốn cải thiện màu sắc tự nhiên, bác sĩ có thể tháo răng sứ Titan và thay bằng răng toàn sứ. Việc thay mới cần được kiểm tra tình trạng cùi răng và nướu trước khi thực hiện.
Kết Luận
Bọc răng sứ Titan có thể xuất hiện tình trạng đen viền nướu sau một thời gian do đặc tính có lõi kim loại bên trong. Tuy nhiên, nếu được thực hiện đúng kỹ thuật và chăm sóc đúng cách, răng sứ Titan vẫn đảm bảo độ bền, chức năng ăn nhai ổn định và thẩm mỹ trong nhiều năm. Việc lựa chọn loại răng sứ phù hợp nên dựa trên vị trí răng phục hình, nhu cầu thẩm mỹ và ngân sách để đạt hiệu quả lâu dài và tự nhiên nhất.
Tại Nha khoa Kim Xuân, mỗi trường hợp bọc răng sứ đều được thăm khám kỹ lưỡng, đánh giá khớp cắn và tình trạng nướu trước khi chỉ định loại răng sứ phù hợp. Chúng tôi chú trọng:
-
Chẩn đoán đúng chỉ định
-
Mài răng đúng tỉ lệ, bảo tồn tối đa răng thật
-
Răng sứ sát khít viền nướu
-
Theo dõi và tái khám định kỳ
Nếu bạn đang phân vân giữa răng sứ Titan và răng toàn sứ, hãy liên hệ Nha khoa Kim Xuân để được tư vấn giải pháp phù hợp với tình trạng răng miệng của mình.
Nha Khoa Kim Xuân - Bình Thạnh TP. HCM
Địa Chỉ: 165 Ngô Tất Tố, Phường Thạnh Mỹ Tây, Tp Hồ Chí Minh
Hotline: 0899 922 668 (Viber, Zalo, FaceTime)
ZaLo: https://zalo.me/nhakhoakimxuan
WebSite: https://nhakhoakimxuan.com.vn