Trồng răng Implant là giải pháp phục hình răng hiện đại nhất hiện nay, giúp thay thế răng mất bằng trụ titanium tích hợp vào xương hàm. Phương pháp này mang lại khả năng ăn nhai vượt trội, tuổi thọ cao và tính thẩm mỹ tự nhiên. Tuy nhiên, Implant cũng có những hạn chế mà bạn cần hiểu rõ trước khi lựa chọn.
Dưới đây là phân tích chi tiết ưu - nhược điểm trồng răng Implant, đối tượng phù hợp và những thông tin quan trọng trước khi quyết định điều trị.

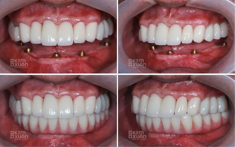
1. Trồng Răng Implant Là Gì?
Trồng răng Implant (cấy ghép Implant) là phương pháp phục hình răng hiện đại, trong đó bác sĩ đặt một trụ titanium vào xương hàm để thay thế cho chân răng thật đã mất. Trụ Implant sẽ tích hợp với xương thông qua quá trình liền xương (osseointegration), tạo nền tảng vững chắc như chân răng tự nhiên.
Sau khoảng 2 - 6 tháng, khi trụ Implant đã ổn định hoàn toàn, bác sĩ sẽ tiến hành gắn abutment (khớp nối) và lắp mão sứ lên trên để tái tạo thân răng. Sau khi hoàn thiện, bạn sẽ sở hữu một chiếc răng Implant chắc chắn, bền đẹp và ăn nhai gần như răng thật. Implant không chỉ phục hồi chức năng mà còn giúp ngăn tiêu xương hàm và cải thiện thẩm mỹ nụ cười một cách rõ rệt.
2. Ưu Điểm Của Trồng Răng Implant
2.1. Khả năng ăn nhai gần như răng thật (95 - 98%)
-
Trụ Implant được cố định trong xương hàm nên mang lại độ vững chắc cao, giúp bạn ăn nhai thoải mái mọi loại thức ăn cứng, dai mà không lo lỏng lẻo như hàm tháo lắp.
2.2. Thẩm mỹ tự nhiên như răng thật
-
Mão sứ trên Implant có hình dáng, màu sắc giống răng thật, giúp nụ cười hài hòa và tự nhiên.
2.3. Bảo tồn răng thật tối đa
-
Implant là giải pháp độc lập, không cần mài răng kế cận, giúp giữ nguyên cấu trúc răng tự nhiên.
2.4. Ngăn ngừa tiêu xương hàm sau mất răng
-
Trụ Implant hoạt động như chân răng thật, kích thích xương hàm và hạn chế teo xương - tình trạng thường gặp khi mất răng lâu năm.
2.5. Tuổi thọ cao - có thể dùng trọn đời
-
Với chăm sóc đúng cách, Implant có độ bền vượt trội hơn nhiều so với cầu răng và hàm tháo lắp.
2.6. An toàn, lành tính
-
Titanium là vật liệu sinh học tương thích cao, rất ít gây kích ứng hay đào thải.
3. Nhược Điểm Trồng Răng Implant
3.1. Chi phí cao hơn các phương pháp khác
-
Giá trồng răng Implant bao gồm trụ titanium, phẫu thuật cấy ghép, abutment và mão sứ nên tổng giá thành thường cao hơn cầu răng và hàm tháo lắp. Tuy nhiên, xét về tuổi thọ, đây vẫn là khoản đầu tư dài hạn hợp lý.
3.2. Thời gian điều trị kéo dài (2 - 6 tháng)
-
Trụ Implant cần thời gian để tích hợp với xương (osseointegration), vì vậy quá trình hoàn thiện mất từ 2–6 tháng.
3.3. Yêu cầu bác sĩ có chuyên môn cao
-
Cấy ghép Implant là phẫu thuật đòi hỏi bác sĩ giàu kinh nghiệm, hiểu rõ cấu trúc xương và mô mềm để tránh biến chứng.
3.4. Cần trang thiết bị hiện đại
-
Phòng khám phải có CT ConeBeam 3D, phòng phẫu thuật vô trùng, phần mềm mô phỏng Implant… để đảm bảo an toàn và chính xác.
3.5. Không phù hợp trong một số trường hợp
-
Người tiêu xương nặng, người mắc bệnh lý nghiêm trọng hoặc trẻ <16 tuổi có thể phải cân nhắc hoặc điều trị bổ trợ như ghép xương - nâng xoang.
Xem Thêm: Ghép Xương Trong Implant Là Gì?

4. Trồng Răng Implant Phù Hợp Với Ai?
-
Người mất 1 răng, nhiều răng hoặc mất răng toàn hàm
-
Người muốn răng giả cố định, ăn nhai chắc chắn
-
Người không muốn mài răng để làm cầu răng
-
Người mất răng lâu năm (tiêu xương nhẹ - trung bình)
-
Người có sức khỏe ổn định, kiểm soát tốt các bệnh lý toàn thân
5. Trồng Răng Implant Giá Bao Nhiêu 2025 Tại Nha Khoa Kim Xuân
Giá trồng răng Implant phụ thuộc vào:
-
Loại trụ Implant (Hàn Quốc, Mỹ, Thụy Sĩ…)
-
Tình trạng xương hàm
-
Có cần ghép xương/nâng xoang hay không
-
Loại mão sứ phục hình
Giá tham khảo:
-
Implant đơn lẻ: từ 15 - 30 triệu/răng
-
Implant All-on 4: từ 60 - 120 triệu/hàm
-
Implant All-on-6: từ 120 - 180 triệu/hàm
Xem Thêm: Bảng Giá Trồng Răng Implant Bao Nhiêu 2025 Bảng Giá Mới Nhất

6. Quy Trình Trồng Răng Implant Chuẩn Y Khoa
1. Khám tổng quát và chụp CT ConeBeam 3D
-
Bác sĩ kiểm tra răng miệng và chụp CT 3D để đánh giá xương hàm, xác định vị trí cấy ghép và lập kế hoạch chính xác.
2. Lập kế hoạch cấy ghép kỹ thuật số
-
Dựa trên dữ liệu CT, bác sĩ mô phỏng vị trí đặt trụ, chọn loại Implant phù hợp và thiết kế phác đồ điều trị tối ưu.
3. Cắm trụ Implant vào xương hàm
-
Trụ titanium được đặt vào xương trong môi trường vô trùng. Kỹ thuật chuẩn xác giúp Implant ổn định và bám vững ngay từ đầu.
4. Tích hợp xương (2 - 6 tháng)
-
Trụ Implant kết hợp với xương hàm qua quá trình osseointegration, tạo nền tảng chắc chắn cho răng phục hình.
5. Gắn abutment và mão sứ
-
Sau khi trụ ổn định, bác sĩ gắn abutment và lắp mão sứ, hoàn thiện chiếc răng mới với khả năng ăn nhai và thẩm mỹ tự nhiên như răng thật.
Xem Thêm: Quy Trình Trồng Răng Implant Chuẩn Y Khoa Tại Nha Khoa Kim Xuân
7. Trồng Răng Implant Có Đau Không? Có Nguy Hiểm Không?
7.1. Trồng Implant có đau không?
-
Trong lúc làm: không đau (được gây tê)
-
Sau khi làm: ê nhẹ 1 - 2 ngày, giảm nhanh khi uống thuốc - chườm lạnh. Mức độ đau tương đương nhổ răng.
7.2. Trồng Implant có nguy hiểm không?
Implant an toàn nếu thực hiện tại cơ sở uy tín, có:
-
Phòng phẫu thuật vô trùng
-
CT 3D
-
Bác sĩ chuyên Implant
-
Trụ chính hãng
Tỷ lệ thành công đạt 97 - 99%.
Xem Thêm: Trồng Răng Implant Mất Bao Lâu?
Xem Thêm: Trồng Răng Implant Có Nguy Hiểm Không?
Xem Thêm: Tròng Răng Implant Có Đau Không?

Câu Hỏi Thường Gặp?
1. Trồng răng Implant bao lâu thì ăn nhai bình thường?
-
Thông thường, bạn có thể ăn nhai bình thường sau 2 - 6 tháng, tùy vào tốc độ tích hợp xương của mỗi người. Khi trụ Implant ổn định hoàn toàn, răng mới sẽ chắc chắn như răng thật.
2. Người lớn tuổi có trồng răng Implant được không?
-
Có. Người lớn tuổi vẫn có thể cấy ghép Implant nếu sức khỏe ổn định và mật độ xương hàm đủ tốt. Bác sĩ sẽ kiểm tra và đánh giá kỹ trước khi thực hiện.
3. Implant có bị đào thải không?
-
Tỷ lệ đào thải Implant rất thấp. Trường hợp hiếm gặp này thường xuất phát từ nhiễm trùng, chăm sóc sai cách hoặc kỹ thuật đặt trụ không chuẩn tại các cơ sở kém uy tín.
4. Mất răng lâu năm có trồng Implant được không?
-
Có thể. Với trường hợp tiêu xương nhiều, bác sĩ sẽ chỉ định ghép xương hoặc nâng xoang trước khi đặt Implant để đảm bảo trụ tích hợp vững chắc.
Kết Luận
Trồng răng Implant hiện là giải pháp phục hình tối ưu nhất cho những ai mong muốn khôi phục khả năng ăn nhai, cải thiện thẩm mỹ và duy trì sức khỏe răng miệng lâu dài. Mặc dù chi phí có thể cao hơn so với các phương pháp truyền thống, nhưng giá trị mang lại vượt trội về độ bền, sự tiện lợi và tính tự nhiên. Hiểu rõ ưu nhược điểm trồng răng Implant sẽ giúp bạn đưa ra quyết định chính xác và phù hợp nhất với tình trạng răng miệng của mình.
Nếu bạn đang băn khoăn có nên trồng răng Implant hay không, hãy liên hệ Nha Khoa Kim Xuân để được:
-
Miễn phí khám - tư vấn - chụp CT ConeBeam 3D
-
Lập kế hoạch cấy ghép chính xác theo chuẩn y khoa
-
Trụ Implant chính hãng - bảo hành rõ ràng
-
Đội ngũ bác sĩ giàu kinh nghiệm, kỹ thuật an toàn - vô trùng tuyệt đối
Đặt lịch ngay hôm nay để được kiểm tra xương hàm và nhận phác đồ điều trị cá nhân hóa.
Nha Khoa Kim Xuân - Bình Thạnh TP. HCM
Địa Chỉ: 165 Ngô Tất Tố, Phường Thạnh Mỹ Tây, Tp Hồ Chí Minh
Hotline: 0899 922 668 (Viber, Zalo, FaceTime)
ZaLo: https://zalo.me/nhakhoakimxuan
WebSite: https://nhakhoakimxuan.com.vn
