Giá cầu răng sứ hiện nay dao động từ 1.500.000 VNĐ/răng đến 10.000.000 VNĐ/răng, tùy vào chất liệu sứ và tay nghề bác sĩ thực hiện. Cầu răng sứ hay còn gọi là trồng răng bắc cầu cố định là một trong những giải pháp phục hình phổ biến giúp khôi phục răng mất nhanh chóng, an toàn và thẩm mỹ cao. Phương pháp này không chỉ giúp bạn ăn nhai gần như răng thật mà còn tiết kiệm chi phí hơn so với trồng răng Implant.
Trong bài viết này, đội ngũ chuyên gia Nha khoa Kim Xuân sẽ chia sẻ chi tiết về cầu răng sứ là gì, bảng giá cầu răng sứ 2025, ưu - nhược điểm của từng loại vật liệu, cùng cách chăm sóc sau khi làm cầu răng sứ để răng luôn bền đẹp và nụ cười tự tin lâu dài.

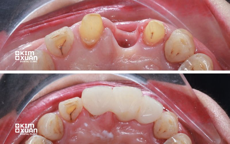
1. Cầu Răng Sứ Là Gì?
Cầu răng sứ (hay còn gọi là trồng răng bắc cầu) là phương pháp phục hình răng giả cố định được sử dụng phổ biến để thay thế răng đã mất. Bác sĩ sẽ mài nhỏ hai răng thật kế cận để làm trụ, sau đó gắn lên đó một dãy cầu gồm 2 - 5 mão sứ liền nhau. Phần răng sứ ở giữa có nhiệm vụ thay thế cho răng đã mất, trong khi hai răng sứ ở hai đầu được chụp cố định lên răng trụ, tạo nên một khối vững chắc và hài hòa.
Đây là giải pháp giúp khôi phục chức năng ăn nhai lên đến 80% so với răng thật, đồng thời mang lại hiệu quả thẩm mỹ cao cho nụ cười.
Xem Thêm: Trồng Răng Vĩnh Viễn Giá Bao Nhiêu?
2. Làm Cầu Răng Sứ Giá Bao Nhiêu? Bảng Giá 2025
Chi phí làm cầu răng sứ hiện nay dao động từ 1.500.000 - 10.000.000 VNĐ/răng, tùy theo chất liệu răng sứ, vị trí phục hình và tay nghề bác sĩ.
-
Răng sứ kim loại thường: 1.500.000 VNĐ/đơn vị
-
Răng sứ Titan: 2.000.000 VNĐ/đơn vị
-
Răng sứ Zirconia: 3.500.000 - 5.500.000 VNĐ/đơn vị
-
Răng sứ Cercon HT: 6.000.000 VNĐ/đơn vị
-
Răng sứ Emax: 6.000.000 VNĐ/đơn vị
-
Mặt dán sứ Veneer Emax Press: 6.000.000 VNĐ/đơn vị
-
Răng sứ Lava Plus (3M): 8.000.000 - 10.000.000 VNĐ/đơn vị
Lưu Ý: Chi phí có thể thay đổi tùy vào số lượng răng cần làm cầu và tình trạng răng trụ. Nếu chỉ mất 1 răng, bác sĩ thường sẽ phục hình 3 mão sứ liền nhau. Trường hợp mất nhiều răng, cần từ 4 - 6 mão sứ để đảm bảo lực nâng đỡ.
Xem Thêm: Răng Sứ Cercon HT Có Tốt Không?
Xem Thêm: Răng Sứ Zirconia Là Gì? Có Tốt Không?

3. Ưu Điểm Của Cầu Răng Sứ
Cầu răng sứ là lựa chọn phổ biến vì tính thẩm mỹ, thời gian phục hình nhanh và chi phí hợp lý.
Một số ưu điểm nổi bật:
-
Khôi phục khả năng ăn nhai: Chất liệu sứ có độ chịu lực cao, giúp phục hồi 80 - 90% sức nhai so với răng thật.
-
Tính thẩm mỹ cao: Màu sắc và hình dáng được thiết kế theo răng thật, giúp lấp đầy khoảng trống mất răng, mang lại nụ cười tự nhiên và hài hòa.
-
Thời gian thực hiện nhanh: Chỉ cần 2 - 3 buổi hẹn là hoàn thiện, không cần phẫu thuật hay cấy ghép.
-
Chi phí tiết kiệm hơn Implant: So với trồng răng Implant, cầu răng sứ có mức giá thấp hơn 30 - 50%, phù hợp nhiều đối tượng khách hàng.
Xem Thêm: Trồng Răng Implant Cho Người Già Có Được Không?
Xem Thêm: Mất Răng Bao Lâu Thì Bị Tiêu Xương Hàm?
4. Nhược Điểm Của Cầu Răng Sứ
Bên cạnh ưu điểm, cầu răng sứ vẫn tồn tại một số hạn chế mà người bệnh nên cân nhắc:
-
Phải mài răng thật: Hai răng bên cạnh phải mài nhỏ để làm trụ, có thể gây yếu răng trụ nếu chăm sóc không kỹ.
-
Không ngăn tiêu xương hàm: Vì không có chân răng nhân tạo, vùng xương hàm tại chỗ răng mất vẫn tiêu dần theo thời gian.
-
Giảm độ bền theo thời gian: Sau 7 - 10 năm, cầu răng có thể lỏng hoặc mòn, cần thay mới để đảm bảo chức năng ăn nhai.
-
Không phù hợp khi mất nhiều răng liền kề: Cầu quá dài dễ gãy, đặc biệt vùng răng hàm chịu lực lớn.
Nếu bạn mất nhiều răng hoặc răng trụ yếu, cấy ghép implant sẽ là lựa chọn tối ưu và bền vững hơn.

5. Quy Trình Làm Cầu Răng Sứ Chuẩn Nha Khoa
Tại Nha khoa Kim Xuân, quy trình thực hiện cầu răng sứ được tiến hành bài bản qua 5 bước:
-
Thăm khám & chụp phim: Bác sĩ kiểm tra tình trạng răng và xương hàm.
-
Lên kế hoạch điều trị: Tư vấn lựa chọn vật liệu sứ phù hợp thẩm mỹ và chức năng.
-
Mài răng và lấy dấu: Tiến hành mài 2 răng kế cận, lấy dấu gửi về labo chế tác cầu sứ.
-
Gắn cầu tạm: Giúp bệnh nhân ăn nhai tạm thời trong thời gian chờ cầu sứ thật.
-
Gắn cầu sứ cố định và kiểm tra khớp cắn: Điều chỉnh độ khít, màu sắc và hoàn thiện nụ cười tự nhiên.
Xem Thêm: Quy Trình Bọc Răng Sứ Chuẩn Y Khoa Tại Nha Khoa Kim Xuân
6. Cầu Răng Sứ Có Bền Không? Được Bao Lâu
Thông thường, cầu răng sứ có thể bền 7 - 15 năm, thậm chí hơn nếu chăm sóc đúng cách. Tuổi thọ phụ thuộc vào các yếu tố:
-
Chất liệu sứ: Toàn sứ Zirconia hoặc Cercon HT có độ bền cao hơn kim loại.
-
Vị trí cầu: Cầu răng cửa chịu lực ít, tuổi thọ lâu hơn răng hàm.
-
Kỹ thuật bác sĩ: Cầu sứ gắn không khít dễ lỏng hoặc viêm nướu.
-
Thói quen sinh hoạt: Hút thuốc, nghiến răng hoặc ăn đồ quá cứng đều làm giảm tuổi thọ cầu sứ.
Xem Thêm: Bọc Răng Sứ Bao Lâu Thì Làm Lại?

7. Cách Chăm Sóc Răng Sau Khi Làm Cầu Răng Sứ
-
Chải răng 2 lần/ngày bằng bàn chải lông mềm.
-
Dùng chỉ nha khoa hoặc máy tăm nước thay vì tăm tre để tránh làm hở khe cầu.
-
Hạn chế thức ăn quá cứng, quá nóng hoặc quá lạnh.
-
Tránh rượu, bia, thuốc lá để giữ màu sứ tự nhiên.
-
Tái khám định kỳ 6 tháng/lần để kiểm tra độ khít và làm sạch chuyên sâu.
Xem Thêm: Sau Khi Bọc Răng Sứ Nên Ăn Gì, Kiêng Gì?
8. So Sánh Cầu Răng Sứ Và Trồng Răng Implant
|
Tiêu Chí |
Cầu Răng Sứ |
Trồng Răng Implant |
|
Thời Gian Thực Hiện |
2 - 3 Ngày |
2 - 3 Tháng |
|
Phẩu Thuật |
Không Cần |
Có Phẩu Thuật Dặt Trụ |
|
Chi Phí |
1,5 - 10 Triệu/Răng |
15 - 30 Triệu/Răng |
|
Ảnh Hưởng Răng Thật |
Cần Mài 2 Răng Kế Bên |
Không Ảnh Hưởng |
|
Ngăn Tiêu Xương |
Không |
Có |
|
Tuổi Thọ |
7 - 10 Năm |
Trọn Đời |
Xem Thêm: Trồng Răng Implant Giá Bao Nhiêu?
Xem Thêm: Răng Toàn Sứ Là Gì? Các Loại Răng Sứ Cao Cấp Hiện Nay
Câu Hỏi Thường Gặp?
1. Có nên làm cầu răng sứ không?
-
Nếu bạn mất 1 - 2 răng liền kề và hai răng kế bên còn khỏe mạnh, thì cầu răng sứ là lựa chọn hợp lý phục hình nhanh, chi phí tiết kiệm. Ngược lại, nếu răng trụ đã yếu hoặc từng điều trị tủy, nên chọn trồng răng implant để bảo tồn mô răng và xương hàm.
2. Làm cầu răng sứ có đau không?
-
Quá trình làm cầu răng sứ không đau, vì bác sĩ sẽ gây tê cục bộ khi mài răng. Sau khi hết tê, bạn có thể hơi ê buốt nhẹ vài ngày - cảm giác này sẽ hết hoàn toàn sau 3 - 5 ngày khi răng đã thích nghi.
Kết Luận
Cầu răng sứ là giải pháp phục hình răng mất an toàn, hiệu quả và tiết kiệm, giúp khôi phục khả năng ăn nhai và thẩm mỹ nụ cười chỉ sau vài ngày. Với ưu điểm thời gian thực hiện nhanh, độ bền cao và chi phí hợp lý, làm cầu răng sứ phù hợp cho hầu hết mọi độ tuổi - đặc biệt là người mất 1 - 2 răng liền kề.
Tuy nhiên, để đảm bảo độ khít, thẩm mỹ và tuổi thọ cầu sứ tối đa, bạn nên lựa chọn nha khoa uy tín có bác sĩ chuyên sâu phục hình răng sứ. Tại Nha khoa Kim Xuân, khách hàng sẽ được thăm khám tư vấn lên phác đồ phục hình cá nhân hóa bởi đội ngũ bác sĩ nhiều năm kinh nghiệm, giúp mang lại nụ cười tự tin và tự nhiên nhất.
Liên hệ ngay Nha khoa Kim Xuân để được tư vấn miễn phí & nhận ưu đãi 10 - 15% khi làm cầu răng sứ trong tháng này!
LIÊN HỆ NGAY VỚI NHA KHOA KIM XUÂN ĐỂ ĐƯỢC TƯ VẤN MIỄN PHÍ
HOTLINE: 0899 922 668 ( Viber, Zalo, FaceTime )
ĐỊA CHỈ: 165 Ngô Tất Tố, Phường 22, Quận Bình Thạnh. TP HCM
ZALO: https://zalo.me/nhakhoakimxuan
WEBSITE: https://nhakhoakimxuan.com.vn