20 Tuổi Niềng Răng Giá Bao Nhiêu? Chi Phí, Thời Gian Và Những Điều Cần Biết
20 tuổi niềng răng giá bao nhiêu? Thông thường, giá niềng răng ở tuổi 20 tại TP. HCM dao động khoảng từ 35 - 100 triệu đồng, tùy vào phương pháp bạn lựa chọn như mắc cài kim loại, mắc cài sứ, mắc cài tự đóng hay Invisalign, cũng như tình trạng răng cụ thể và nha khoa điều trị. Trong đó, mắc cài kim loại có mức giá dễ tiếp cận nhất, khoảng từ 25 - 35 triệu đồng, còn niềng răng Invisalign thường có chi phí cao hơn, từ 40 - 100 triệu đồng.
Bước sang tuổi 20, nhiều người bắt đầu chú ý nhiều hơn đến nụ cười và sự tự tin khi giao tiếp. Đây cũng là thời điểm khá lý tưởng để niềng răng, vì xương hàm đã phát triển ổn định, răng di chuyển tốt và quá trình chỉnh nha thường đạt hiệu quả cao nếu được thực hiện đúng kế hoạch.

1. 20 Tuổi Niềng Răng Được Không?
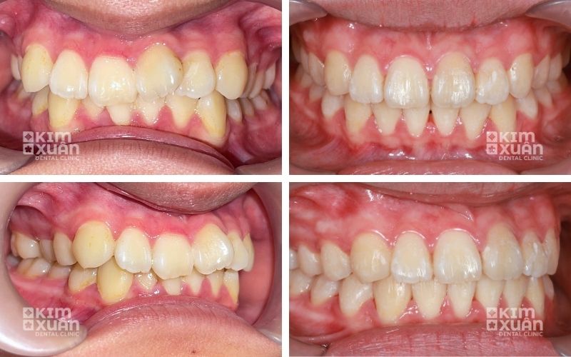
Câu trả lời là: Có. Ở tuổi 20, bạn hoàn toàn có thể niềng răng và đạt hiệu quả tốt trong việc cải thiện cả thẩm mỹ lẫn chức năng răng miệng. Niềng răng ở độ tuổi này giúp khắc phục các tình trạng phổ biến như răng hô, móm, khấp khểnh, răng thưa, sai khớp cắn, từ đó giúp hàm răng đều đặn hơn, khớp cắn chuẩn và nụ cười trông tự nhiên, hài hòa hơn.
1.2. Lợi ích khi niềng răng ở tuổi 20
-
Răng được sắp xếp đều, cải thiện thẩm mỹ nụ cười
-
Khớp cắn chuẩn hơn, ăn nhai hiệu quả
-
Phát âm rõ ràng hơn
-
Tăng sự tự tin khi giao tiếp
1.2. Lưu ý khi niềng răng ở tuổi 20
Do xương hàm đã phát triển ổn định, răng ở tuổi 20 thường dịch chuyển chậm hơn so với trẻ em. Vì vậy, thời gian niềng răng có thể kéo dài hơn, trung bình khoảng 18 - 30 tháng, tùy vào mức độ lệch lạc của răng và phương pháp chỉnh nha được lựa chọn. Tuy nhiên, nếu tuân thủ đúng hướng dẫn của bác sĩ và tái khám đầy đủ, kết quả niềng răng vẫn rất khả quan và duy trì lâu dài.
Xem Thêm: 40 Tuổi Có Niềng Răng Được Không?

2. Các Phương Pháp Niềng Răng Phổ Biến Cho Người 20 Tuổi
Hiện nay, người 20 tuổi thường được chỉ định niềng răng theo 2 phương pháp chính, tùy nhu cầu thẩm mỹ và tài chính.
2.1. Niềng Răng Mắc Cài
Niềng răng mắc cài là phương pháp chỉnh nha truyền thống, sử dụng hệ thống mắc cài và dây cung để tạo lực kéo răng dịch chuyển dần về vị trí mong muốn. Phương pháp này có hiệu quả cao, phù hợp với cả những trường hợp sai lệch phức tạp.
Niềng răng mắc cài gồm nhiều loại như:
-
Mắc cài kim loại
-
Mắc cài sứ
-
Mắc cài tự buộc / tự khóa
-
Mắc cài mặt trong
Ưu điểm lớn là độ bền cao, hiệu quả ổn định và chi phí đa dạng, phù hợp với nhiều đối tượng 20 tuổi.
Xem Thêm: Niềng Răng Mắc Cài Tự Buộc Là Gì?
2.2. Niềng Răng Trong Suốt
Niềng răng máng trong suốt sử dụng khay niềng trong suốt có thể tháo lắp, được thiết kế riêng theo dấu răng từng người. Mỗi giai đoạn sẽ thay khay mới để tạo lực chỉnh nha.
Phương pháp này nổi bật nhờ:
-
Tính thẩm mỹ cao
-
Thuận tiện khi ăn uống, vệ sinh
-
Ít gây cộm, vướng
Tuy nhiên, chi phí niềng răng trong suốt thường cao hơn và đòi hỏi người niềng phải đeo khay đủ thời gian mỗi ngày để đạt hiệu quả.
Xem Thêm: 30 Tuổi Niềng Răng Có Được Không? Thời Gian Bao Lâu?
3. 20 Tuổi Niềng Răng Giá Bao Nhiêu Tiền?
Giá niềng răng cho người 20 tuổi hiện nay thường dao động từ 35.000.000 - 100.000.000 đồng, tùy thuộc vào phương pháp niềng, mức độ lệch lạc của răng và bảng giá của từng nha khoa.
Giá Niềng Răng 20 Tuổi Tại Nha Khoa Kim Xuân
-
Niềng răng mắc cài kim loại giá 35.000.000/ VNĐ/2 hàm
-
Niềng răng mắc cài sứ giá 40.000.000/ VNĐ/2 hàm
-
Niềng răng mắc cài kim loại tự cài dây cung giá 45.000.000/ VNĐ/2 hàm
-
Niềng răng mắc cài sứ tự cài dây cung giá 50.000.000/ VNĐ/2 hàm
-
Niềng răng máng trong suốt invisalign giá 49.000.000 - 100.000.000// VNĐ/2 hàm
Lưu Ý: Mức giá trên chỉ mang tính tham khảo, chi phí thực tế sẽ phụ thuộc vào tình trạng răng miệng của từng người.
Xem Thêm: Giá Niềng Răng Bao Nhiêu Tiền?

4. 20 Tuổi Niềng Răng Mất Bao Lâu?
Thời gian niềng răng ở tuổi 20 thường dao động từ 18 - 36 tháng, tùy vào tình trạng răng ban đầu và phương pháp chỉnh nha được lựa chọn.
-
Trường hợp răng lệch nhẹ: thời gian niềng khoảng 12 - 24 tháng
-
Trường hợp răng hô, móm hoặc sai khớp cắn phức tạp: thời gian điều trị có thể trên 36 tháng
Bên cạnh mức độ sai lệch của răng, thời gian niềng răng ở tuổi 20 còn phụ thuộc vào nhiều yếu tố khác như phương pháp chỉnh nha, tay nghề và phác đồ điều trị của bác sĩ, cũng như mức độ tuân thủ của người niềng trong suốt quá trình điều trị. Nếu tái khám đúng lịch và chăm sóc răng miệng tốt, thời gian niềng có thể được tối ưu và đạt kết quả ổn định hơn.
Xem Thêm: 30 Tuổi Niềng Răng Mất Bao Lâu?
Xem Thêm: Niềng Răng Móm Giá Bao Nhiêu 2026? Bảng Giá Chi Tiết

5. Niềng Răng Ở Tuổi 20 Có Đau Không? Có Ảnh Hưởng Không?
Niềng răng ở tuổi 20 thường không gây đau nhiều như nhiều người lo lắng. Trong những ngày đầu sau khi gắn mắc cài hoặc sau mỗi lần điều chỉnh lực, bạn có thể cảm thấy ê nhẹ hoặc căng tức răng. Đây là phản ứng hoàn toàn bình thường khi răng bắt đầu dịch chuyển và cảm giác này thường giảm dần sau vài ngày.
Niềng răng ở tuổi 20 có ảnh hưởng gì không?
Về lâu dài, niềng răng không làm yếu răng và không ảnh hưởng xấu đến sức khỏe nếu được thực hiện đúng kỹ thuật và theo phác đồ phù hợp. Ngược lại, việc điều chỉnh răng và khớp cắn về đúng vị trí còn mang lại nhiều lợi ích như:
-
Hạn chế tình trạng mòn răng không đều
-
Giảm nguy cơ rối loạn khớp thái dương hàm
-
Cải thiện chức năng ăn nhai và phát âm
-
Giúp răng dễ vệ sinh hơn, hạn chế các bệnh lý răng miệng
Xem Thêm: Niềng Răng Có Đau Không? 5 Giai Đoạn Đau Và Cách Giảm Đau Hiệu Quả?
Xem Thêm: Răng Bị Hô Hàm Trên Có Niềng Răng Được Không?
6. 20 Tuổi Niềng Răng Có Cần Nhổ Răng Không?
Không phải trường hợp 20 tuổi niềng răng nào cũng cần nhổ răng. Việc nhổ răng phụ thuộc vào mức độ chen chúc của răng, cấu trúc xương hàm và kế hoạch điều trị.
Thông thường, nhổ răng được chỉ định khi:
-
Răng khấp khểnh nhiều, không đủ khoảng sắp xếp
-
Răng hô, móm nặng cần tạo khoảng kéo lùi răng
-
Sai khớp cắn phức tạp
Với các trường hợp nhẹ, bác sĩ có thể áp dụng nong hàm hoặc mài kẽ răng (IPR) để tạo khoảng mà không cần nhổ răng.
Xem Thêm: Nhổ Răng Khôn (Răng Số 8) Giá Bao Nhiêu?

7. Những Yếu Tố Ảnh Hưởng Đến Chi Phí Niềng Răng 20 Tuổi
Chi phí niềng răng có thể thay đổi dựa trên:
-
Phương pháp niềng răng lựa chọn
-
Mức độ lệch lạc của răng
-
Tình trạng sức khỏe răng miệng ban đầu
-
Tay nghề bác sĩ chỉnh nha
-
Trang thiết bị và cơ sở vật chất của nha khoa
Những ca phức tạp thường cần thời gian và kỹ thuật cao hơn, do đó chi phí cũng sẽ cao hơn.
Kinh Nghiệm Niềng Răng 20 Tuổi Hiệu Quả, Tiết Kiệm Chi Phí
Để quá trình niềng răng ở tuổi 20 đạt hiệu quả tốt, đồng thời hạn chế các chi phí phát sinh, bạn nên lưu ý một số kinh nghiệm quan trọng sau:
-
Thăm khám và chụp phim đầy đủ trước khi niềng để bác sĩ đánh giá chính xác tình trạng răng, xương hàm và xây dựng phác đồ điều trị phù hợp
-
Lựa chọn phương pháp niềng răng phù hợp với nhu cầu thẩm mỹ và khả năng tài chính, tránh chạy theo phương pháp đắt tiền khi chưa thực sự cần thiết
-
Tuân thủ lịch tái khám và hướng dẫn của bác sĩ, giúp răng dịch chuyển đúng kế hoạch và rút ngắn thời gian điều trị
-
Chăm sóc răng miệng kỹ lưỡng trong suốt quá trình niềng, hạn chế viêm nướu, sâu răng - những nguyên nhân có thể làm kéo dài thời gian niềng
-
Tận dụng các chính sách trả góp hoặc chương trình ưu đãi tại nha khoa để giảm áp lực chi phí nhưng vẫn đảm bảo chất lượng điều trị
Kết Luận
Niềng răng ở tuổi 20 hoàn toàn khả thi và là một khoản đầu tư xứng đáng cho cả thẩm mỹ nụ cười lẫn sức khỏe răng miệng lâu dài. Hiện nay, chi phí niềng răng thường dao động khoảng 25.000.000 - 100.000.000 đồng, với thời gian điều trị trung bình từ 18 - 36 tháng, tùy thuộc vào tình trạng răng cụ thể và phương pháp chỉnh nha được lựa chọn.
Để đạt hiệu quả tối ưu và kiểm soát tốt chi phí, bạn nên thăm khám trực tiếp tại nha khoa uy tín nhằm được bác sĩ đánh giá chính xác tình trạng răng, tư vấn phương pháp phù hợp và xây dựng lộ trình điều trị rõ ràng, cá nhân hóa cho từng trường hợp.
Nếu bạn đang cân nhắc niềng răng ở tuổi 20, hãy đến Nha khoa Kim Xuân để được thăm khám, chụp phim và tư vấn chi tiết bởi đội ngũ bác sĩ chỉnh nha giàu kinh nghiệm. Liên hệ ngay để được hỗ trợ lộ trình điều trị phù hợp và các chính sách ưu đãi hiện có, giúp bạn an tâm niềng răng và sớm sở hữu nụ cười tự tin hơn.
Nha Khoa Kim Xuân - Bình Thạnh TP. HCM
Địa Chỉ: 165 Ngô Tất Tố, Phường Thạnh Mỹ Tây, Tp Hồ Chí Minh
Hotline: 0899 922 668 (Viber, Zalo, FaceTime)
ZaLo: https://zalo.me/nhakhoakimxuan
WebSite: https://nhakhoakimxuan.com.vn