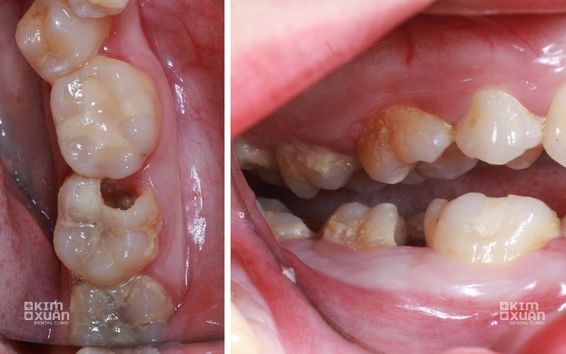
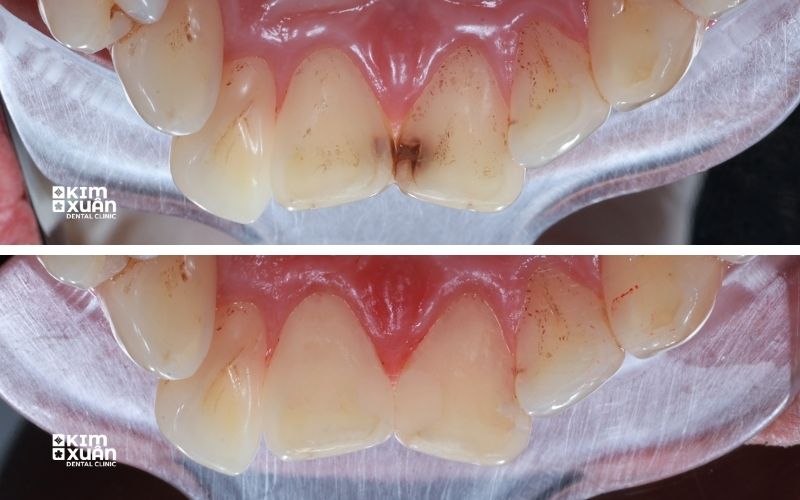
Sâu răng là một trong những bệnh lý răng miệng phổ biến nhưng lại thường bị phát hiện muộn khi đã gây đau nhức hoặc hư răng nặng. Tại Nha khoa Kim Xuân, nhiều bệnh nhân chỉ đến khám khi sâu răng đã tiến triển đến tủy, khiến việc điều trị phức tạp và tốn kém hơn. Vậy sâu răng là gì, dấu hiệu nhận biết ra sao và khi nào cần điều trị? Bài viết dưới đây sẽ giúp bạn hiểu rõ nguyên nhân, mức độ nguy hiểm và cách xử lý hiệu quả.
1. Sâu Răng Là Gì?
Sâu răng là tình trạng mô cứng của răng (men răng và ngà răng) bị phá hủy do vi khuẩn trong mảng bám tạo ra axit. Quá trình này diễn ra âm thầm trong thời gian dài, ban đầu có thể chỉ là những đốm nhỏ trên răng nhưng dần hình thành lỗ sâu nếu không được xử lý.
Trên thực tế, sâu răng là một trong những bệnh lý răng miệng phổ biến nhất, có thể gặp ở mọi lứa tuổi. Tại các phòng khám nha khoa, phần lớn bệnh nhân chỉ phát hiện khi răng đã ê buốt hoặc đau nhức, lúc này việc điều trị thường phức tạp và tốn kém hơn. Nếu không được phát hiện sớm, sâu răng có thể tiến triển vào tủy, gây viêm nhiễm, áp xe và thậm chí mất răng vĩnh viễn.

2. Nguyên Nhân Gây Sâu Răng
Sâu răng không xảy ra ngay lập tức mà là kết quả của một quá trình tích tụ lâu dài. Trong thực tế, đa số trường hợp sâu răng đều bắt nguồn từ thói quen vệ sinh răng miệng và ăn uống hằng ngày.
2.1. Mảng bám răng và vi khuẩn
-
Mảng bám là lớp màng dính chứa vi khuẩn hình thành trên bề mặt răng khi thức ăn, đặc biệt là đường và tinh bột, không được làm sạch hoàn toàn.
-
Nếu không được loại bỏ thường xuyên, mảng bám sẽ dần cứng lại thành cao răng, tạo môi trường lý tưởng cho vi khuẩn phát triển và làm tăng nguy cơ sâu răng.
2.2. Axit làm mòn men răng
-
Vi khuẩn trong mảng bám sẽ chuyển hóa đường thành axit. Lượng axit này tấn công liên tục vào men răng - lớp bảo vệ cứng nhất của răng - khiến men răng bị mất khoáng và yếu dần theo thời gian.
-
Khi men răng bị phá hủy, vi khuẩn dễ dàng xâm nhập vào ngà răng, gây ê buốt và hình thành lỗ sâu.
2.3. Sâu răng lan đến tủy răng
-
Khi không được điều trị kịp thời, sâu răng sẽ tiếp tục phát triển vào bên trong và lan đến tủy răng - nơi chứa dây thần kinh và mạch máu.
-
Ở giai đoạn này, người bệnh thường bắt đầu đau nhức dữ dội, đặc biệt khi ăn nhai hoặc vào ban đêm, thậm chí có thể xuất hiện áp xe nếu nhiễm trùng nặng.
2.4. Vi khuẩn gây sâu răng
-
Một số loại vi khuẩn có vai trò chính trong quá trình hình thành sâu răng, phổ biến nhất là Streptococcus mutans. Ngoài ra còn có các chủng như Lactobacillus hay Actinomyces, góp phần làm tổn thương men và ngà răng theo thời gian.
Xem Thêm: Sâu Răng Lỗ To Có Trám Được Không? Giá Bao Nhiêu
Xem Thêm: Cách Giảm Đau Răng Tại Nhà Hiệu Quả?

3. Dấu Hiệu Nhận Biết Và Triệu Chứng Của Sâu Răng
Triệu chứng sâu răng thường không xuất hiện rõ ràng ngay từ đầu mà thay đổi theo từng giai đoạn. Đây cũng là lý do nhiều người chỉ phát hiện khi răng đã bị tổn thương nặng.
3.1. Giai đoạn sớm (khó nhận biết)
Ở giai đoạn đầu, sâu răng thường không gây đau nên rất dễ bị bỏ qua. Một số dấu hiệu có thể xuất hiện:
-
Xuất hiện đốm trắng hoặc vết sậm màu nhẹ trên răng
-
Bề mặt răng hơi thô hoặc mất độ bóng tự nhiên
3.2. Giai đoạn tiến triển
Khi sâu răng bắt đầu lan rộng, các triệu chứng trở nên rõ ràng hơn:
-
Răng ê buốt khi ăn đồ nóng, lạnh hoặc ngọt
-
Đau nhẹ khi nhai hoặc cắn
-
Xuất hiện lỗ nhỏ trên bề mặt răng
3.3. Giai đoạn nặng
Nếu không điều trị, sâu răng có thể tiến triển vào bên trong và gây ra:
-
Đau răng âm ỉ hoặc đau tự phát, đặc biệt về đêm
-
Hơi thở có mùi, nướu quanh răng sưng
-
Cơn đau tăng dần, ảnh hưởng đến ăn uống và sinh hoạt
Khi đã xuất hiện đau nhức rõ ràng, sâu răng thường không còn ở giai đoạn nhẹ và cần được điều trị sớm để tránh biến chứng.
Xem Thêm: Dấu Hiệu Nhận Biết Răng Sâu Đến Tủy
Xem Thêm: Đau Răng Nên Kiêng Ăn Gì?

4. Khi Nào Nên Đi Khám Nha Sĩ?
Sâu răng ở giai đoạn sớm thường không gây đau và rất khó nhận biết bằng mắt thường. Vì vậy, nhiều người chỉ phát hiện khi răng đã bị tổn thương nặng, khiến việc điều trị phức tạp và tốn kém hơn.
4.1. Nên khám răng định kỳ
Các chuyên gia khuyến nghị nên khám răng 6 tháng/lần để kiểm tra và phát hiện sớm các dấu hiệu sâu răng, ngay cả khi chưa có triệu chứng rõ ràng.
Việc thăm khám định kỳ giúp xử lý sớm các tổn thương nhỏ, hạn chế phải điều trị tủy hoặc mất răng.
4.2. Cần đi khám ngay khi có các dấu hiệu sau
Bạn nên đến nha sĩ càng sớm càng tốt nếu gặp các tình trạng:
-
Đau răng âm ỉ hoặc đau nhức kéo dài
-
Răng ê buốt khi ăn đồ nóng, lạnh hoặc ngọt
-
Đau khi ăn nhai hoặc cắn
-
Xuất hiện lỗ sâu hoặc răng đổi màu
-
Hơi thở có mùi, nướu sưng đau
Đây là những dấu hiệu cho thấy sâu răng có thể đã tiến triển và cần được điều trị sớm để tránh biến chứng như viêm tủy, áp xe hoặc mất răng.
4.3. Lời khuyên từ nha khoa Kim Xuân
Trong thực tế, nhiều trường hợp sâu răng nếu được phát hiện sớm chỉ cần trám răng đơn giản. Tuy nhiên, nếu để muộn có thể phải điều trị tủy hoặc bọc sứ với chi phí cao hơn.
Vì vậy, việc chủ động kiểm tra răng định kỳ là cách hiệu quả nhất để bảo vệ răng lâu dài và tiết kiệm chi phí điều trị.
Xem Thêm: Giá Lấy Tủy Răng Bao Nhiêu Tiền?
Xem Thêm: Bọc Răng Sứ Giá Bao Nhiên Tiền 1 Chiếc?

5. Biến Chứng Nguy Hiểm Của Sâu Răng
Nhiều người cho rằng sâu răng chỉ là vấn đề nhỏ và có thể trì hoãn điều trị. Tuy nhiên trên thực tế, sâu răng nếu không xử lý kịp thời có thể dẫn đến nhiều biến chứng nghiêm trọng, ảnh hưởng trực tiếp đến sức khỏe và chất lượng cuộc sống.
-
Đau răng kéo dài, ảnh hưởng sinh hoạt: Khi sâu răng tiến triển, cơn đau có thể xuất hiện âm ỉ hoặc dữ dội, đặc biệt về đêm. Điều này ảnh hưởng lớn đến việc ăn uống, giấc ngủ và sinh hoạt hằng ngày.
-
Viêm tủy răng, áp xe răng: Vi khuẩn từ lỗ sâu có thể xâm nhập vào tủy răng, gây viêm và nhiễm trùng. Ở giai đoạn này, người bệnh thường đau nhức dữ dội, thậm chí sưng mặt hoặc hình thành ổ mủ quanh răng (áp xe).
-
Hư hại cấu trúc răng: Sâu răng kéo dài có thể làm răng bị yếu, dễ gãy vỡ hoặc mất phần lớn cấu trúc răng. Khi đó, việc phục hồi sẽ phức tạp hơn và có thể cần bọc sứ hoặc nhổ răng.
-
Ảnh hưởng ăn nhai và dinh dưỡng: Tình trạng đau và mất răng khiến việc ăn nhai trở nên khó khăn, lâu dài có thể ảnh hưởng đến chế độ dinh dưỡng và sức khỏe tổng thể.
-
Mất răng và ảnh hưởng thẩm mỹ: Nếu không điều trị, sâu răng có thể dẫn đến mất răng vĩnh viễn, gây ảnh hưởng đến thẩm mỹ khuôn mặt, sự tự tin và giao tiếp trong cuộc sống hằng ngày.
-
Nguy cơ ảnh hưởng sức khỏe toàn thân: Trong một số trường hợp hiếm, nhiễm trùng từ răng có thể lan rộng sang các vùng khác trong cơ thể, gây ảnh hưởng nghiêm trọng đến sức khỏe nếu không được kiểm soát kịp thời.
Chính vì vậy, việc phát hiện và điều trị sâu răng sớm không chỉ giúp bảo tồn răng thật mà còn tránh được các biến chứng nguy hiểm và chi phí điều trị cao về sau.
Xem Thêm: Lấy Tủy Răng Giá Bao Nhiêu Tiền Năm 2026
Xem Thêm: Mất Răng Hàm Có Gây Hóp Má Không?
6. Sâu Răng Có Lây Không?
Sâu răng không phải là bệnh truyền nhiễm theo cách thông thường như cảm cúm hay viêm họng. Tuy nhiên, vi khuẩn gây sâu răng hoàn toàn có thể lây gián tiếp từ người này sang người khác thông qua nước bọt.
6.1. Sâu răng lây như thế nào?
Trong khoang miệng, các vi khuẩn gây sâu răng như Streptococcus mutans có thể truyền qua nước bọt khi:
-
Dùng chung thìa, muỗng, đũa
-
Mớm thức ăn hoặc thổi nguội thức ăn cho trẻ
-
Dùng chung bàn chải đánh răng
Khi vi khuẩn này xâm nhập vào khoang miệng, đặc biệt ở trẻ nhỏ có men răng còn yếu, nguy cơ hình thành sâu răng sẽ cao hơn.
6.2. Ai có nguy cơ bị “lây” sâu răng cao?
Một số đối tượng dễ bị ảnh hưởng hơn:
-
Trẻ nhỏ, đặc biệt trong giai đoạn mọc răng
-
Người có men răng yếu hoặc vệ sinh răng miệng kém
-
Người thường xuyên tiếp xúc gần (cha mẹ - con cái)
6.3. Cách phòng tránh hiệu quả
Để hạn chế nguy cơ lây vi khuẩn gây sâu răng, bạn nên:
-
Không dùng chung dụng cụ ăn uống, đặc biệt với trẻ nhỏ
-
Không mớm thức ăn hoặc thổi nguội thức ăn cho trẻ
-
Duy trì vệ sinh răng miệng tốt mỗi ngày
-
Khám răng định kỳ để kiểm soát vi khuẩn trong khoang miệng
Mặc dù sâu răng không lây trực tiếp, nhưng việc kiểm soát vi khuẩn trong miệng là yếu tố quan trọng giúp phòng ngừa sâu răng hiệu quả, đặc biệt ở trẻ em.
7. Những Đối Tượng Có Nguy Cơ Cao Bị Sâu Răng
Không phải ai cũng có nguy cơ sâu răng giống nhau. Trên thực tế, một số nhóm đối tượng có nguy cơ cao hơn do đặc điểm răng, thói quen sinh hoạt hoặc tình trạng sức khỏe.
7.1. Nhóm có cấu trúc răng dễ bị sâu
-
Răng hàm có nhiều rãnh sâu: dễ đọng thức ăn và khó làm sạch triệt để
-
Người bị tụt nướu (thường ở người lớn tuổi): lộ chân răng - vùng răng nhạy cảm và dễ bị sâu
7.2. Nhóm có thói quen ăn uống không tốt
-
Ăn vặt thường xuyên, đặc biệt là đồ ngọt
-
Uống nước có gas, trà sữa, nước ngọt
-
Trẻ nhỏ bú bình ban đêm khiến sữa đọng lại trên răng
Những thói quen này tạo môi trường axit kéo dài, làm men răng bị bào mòn nhanh hơn.
7.3. Nhóm vệ sinh răng miệng chưa đúng cách
-
Đánh răng không đúng kỹ thuật
-
Không dùng chỉ nha khoa hoặc vệ sinh kẽ răng
-
Không duy trì thói quen chăm sóc răng miệng đều đặn
7.4. Nhóm có yếu tố sức khỏe đặc biệt
-
Người thiếu fluoride: men răng yếu, khó tái khoáng
-
Người bị khô miệng hoặc trào ngược dạ dày (GERD): giảm khả năng trung hòa axit
-
Người mắc rối loạn ăn uống (chán ăn, cuồng ăn): thường xuyên tiếp xúc axit và thiếu dưỡng chất bảo vệ răng
Nếu thuộc một trong các nhóm trên, bạn nên chú trọng kiểm tra răng định kỳ và áp dụng các biện pháp phòng ngừa sâu răng phù hợp để bảo vệ răng lâu dài.
Xem Thêm: Bọc Sứ Răng Hàm Bị Sâu Giá Bao Nhiêu 2026
Xem Thêm: Trám Răng Sâu Giá Bao Nhiêu Tiền?

8. Cách Phòng Ngừa Sâu Răng Hiệu Quả
Sâu răng hoàn toàn có thể phòng ngừa nếu bạn duy trì thói quen chăm sóc răng miệng đúng cách. Dưới đây là những biện pháp đơn giản nhưng rất hiệu quả được các nha sĩ khuyến nghị.
8.1. Vệ sinh răng miệng đúng cách
-
Đánh răng ít nhất 2 lần/ngày (sáng và tối) với kem đánh răng chứa fluoride
-
Chải răng đúng kỹ thuật, chú ý các vị trí răng hàm và kẽ răng
-
Sử dụng chỉ nha khoa hoặc bàn chải kẽ răng để làm sạch thức ăn mắc kẹt
-
Có thể dùng nước súc miệng để hỗ trợ làm sạch và giảm vi khuẩn
Đây là bước quan trọng nhất giúp ngăn ngừa mảng bám - nguyên nhân chính gây sâu răng.
8.2. Hạn chế ăn vặt và đồ uống có đường
-
Tránh ăn đồ ngọt hoặc uống nước có gas nhiều lần trong ngày
-
Hạn chế các loại thực phẩm dễ bám dính như bánh kẹo, caramel
-
Uống nước lọc sau khi ăn để giảm lượng axit trong khoang miệng
Việc kiểm soát tần suất ăn ngọt quan trọng hơn số lượng ăn.
8.3. Khám răng định kỳ
-
Nên kiểm tra răng miệng 6 tháng/lần
-
Lấy cao răng và làm sạch chuyên sâu giúp loại bỏ mảng bám cứng đầu
Khám định kỳ giúp phát hiện sâu răng từ sớm, khi việc điều trị còn đơn giản và ít tốn kém.
8.4. Biện pháp phòng ngừa chuyên sâu
-
Trám bít hố rãnh: giúp ngăn thức ăn bám vào răng hàm, đặc biệt hiệu quả ở trẻ em
-
Bổ sung fluoride: tăng khả năng tái khoáng men răng, giảm nguy cơ sâu răng
Đây là các phương pháp được nha sĩ khuyến nghị cho những người có nguy cơ sâu răng cao.
Kết hợp đầy đủ các biện pháp trên không chỉ giúp phòng ngừa sâu răng hiệu quả mà còn duy trì sức khỏe răng miệng lâu dài.
Xem Thêm: Cạo Vôi Răng Giá Bao Nhiêu?
9. Các Phương Pháp Điều Trị Sâu Răng Hiện Nay
Tùy vào mức độ tổn thương của răng, nha sĩ sẽ chỉ định phương pháp điều trị phù hợp nhằm bảo tồn tối đa răng thật và ngăn ngừa biến chứng.
-
Điều trị bằng fluoride: Áp dụng cho sâu răng giai đoạn sớm, khi men răng mới bị mất khoáng. Fluoride giúp tái khoáng men răng và làm chậm tiến triển sâu răng.
-
Trám răng: Phương pháp phổ biến nhằm phục hồi mô răng bị sâu, ngăn vi khuẩn xâm nhập sâu hơn và bảo tồn răng thật.
-
Bọc răng sứ: Được chỉ định khi răng bị sâu lớn, mất nhiều mô răng hoặc cấu trúc răng yếu, giúp bảo vệ răng và phục hồi chức năng ăn nhai.
-
Nhổ răng: Áp dụng trong trường hợp răng bị phá hủy nghiêm trọng, không còn khả năng phục hồi, nhằm tránh nhiễm trùng lan rộng.
Xem Thêm: Giá Bọc Răng Sứ Tại Nha Khoa Kim Xuân Bao Nhiêu?
Xem Thêm: Trám Răng Giá Bao Nhiêu Tiền?
Xem Thêm: Chữa Răng Sâu Giá Bao Nhiêu Tiền?
10. Câu Hỏi Thường Gặp?
10.1. Sâu răng nhẹ có tự khỏi không?
Sâu răng không thể tự khỏi. Ở giai đoạn rất sớm (mới mất khoáng men răng), việc bổ sung fluoride và chăm sóc răng miệng đúng cách có thể giúp tái khoáng và làm chậm tiến triển. Tuy nhiên, khi đã hình thành lỗ sâu, bắt buộc phải điều trị nha khoa để tránh bệnh nặng hơn.
10.2. Sâu răng có cần trám không?
Trong hầu hết các trường hợp, trám răng là cần thiết khi đã xuất hiện lỗ sâu. Phương pháp này giúp loại bỏ phần răng bị sâu, ngăn vi khuẩn lan rộng và bảo tồn răng thật. Nếu không trám kịp thời, sâu răng có thể lan đến tủy và gây đau nhức nghiêm trọng.
10.3. Sâu răng bao lâu thì lan đến tủy?
Thời gian sâu răng lan đến tủy không cố định, có thể từ vài tháng đến vài năm, tùy thuộc vào:
- Mức độ sâu ban đầu
- Thói quen ăn uống và vệ sinh răng miệng
- Cấu trúc và độ khỏe của men răng
Khi xuất hiện đau nhiều, sâu răng thường đã tiến triển sâu và việc điều trị sẽ phức tạp hơn.
10.4. Trẻ em bị sâu răng có nguy hiểm không?
Có. Sâu răng ở trẻ em, kể cả răng sữa, đều cần được điều trị sớm. Nếu để lâu, sâu răng có thể gây đau, nhiễm trùng, ảnh hưởng đến ăn nhai, giấc ngủ và sự phát triển của răng vĩnh viễn sau này.
10.5. Điều trị sâu răng có đau không?
Điều trị sâu răng hiện nay thường không đau hoặc chỉ khó chịu nhẹ, đặc biệt khi được phát hiện sớm. Với sự hỗ trợ của gây tê và công nghệ nha khoa hiện đại, các phương pháp như trám răng hoặc điều trị tủy đều được thực hiện nhanh chóng và an toàn.
10.6 Khi nào nên đi khám sâu răng?
Bạn nên đi khám ngay khi có các dấu hiệu như đau răng, ê buốt, răng đổi màu hoặc có lỗ sâu. Ngoài ra, nên kiểm tra răng định kỳ 6 tháng/lần để phát hiện sớm và điều trị kịp thời.
Nếu bạn đang có dấu hiệu nghi ngờ sâu răng, nên thăm khám sớm để được tư vấn phương pháp điều trị phù hợp và tránh biến chứng.
Kết Luận
Sâu răng là bệnh lý răng miệng phổ biến nhưng hoàn toàn có thể phòng ngừa và điều trị hiệu quả nếu được phát hiện sớm. Việc chủ động chăm sóc răng miệng đúng cách và kiểm tra định kỳ không chỉ giúp bảo tồn răng thật mà còn tránh được những biến chứng nguy hiểm và chi phí điều trị cao về sau.
Trên thực tế, nhiều trường hợp sâu răng chỉ cần trám đơn giản nếu phát hiện sớm, nhưng nếu để muộn có thể phải điều trị tủy hoặc mất răng. Vì vậy, việc thăm khám kịp thời đóng vai trò rất quan trọng.
Nếu bạn đang có dấu hiệu như đau răng, ê buốt, hoặc nghi ngờ sâu răng, nên kiểm tra sớm để được tư vấn phương pháp điều trị phù hợp.
Liên hệ Nha khoa Kim Xuân để được thăm khám và tư vấn miễn phí, giúp bảo vệ răng chắc khỏe và hạn chế tối đa chi phí điều trị.
Nha Khoa Kim Xuân - Bình Thạnh TP. HCM
Địa Chỉ: 165 Ngô Tất Tố, Phường Thạnh Mỹ Tây, Tp Hồ Chí Minh
Hotline: 0899 922 668 (Viber, Zalo, FaceTime)
ZaLo: https://zalo.me/nhakhoakimxuan
WebSite: https://nhakhoakimxuan.com.vn