Niềng Răng Móm Giá Bao Nhiêu 2026? Chi Phí 2 Hàm Mới Nhất Tại TP. HCM
Hiện nay chi phí niềng răng móm dao động từ 35.000.000 - 100.000.000 VNĐ/2 hàm, tùy thuộc vào phương pháp chỉnh nha, mức độ móm do răng hay do xương hàm và kế hoạch điều trị cụ thể. Dưới đây là bảng giá niềng răng móm mới nhất 2026 và những yếu tố ảnh hưởng đến chi phí bạn cần biết trước khi quyết định điều trị.

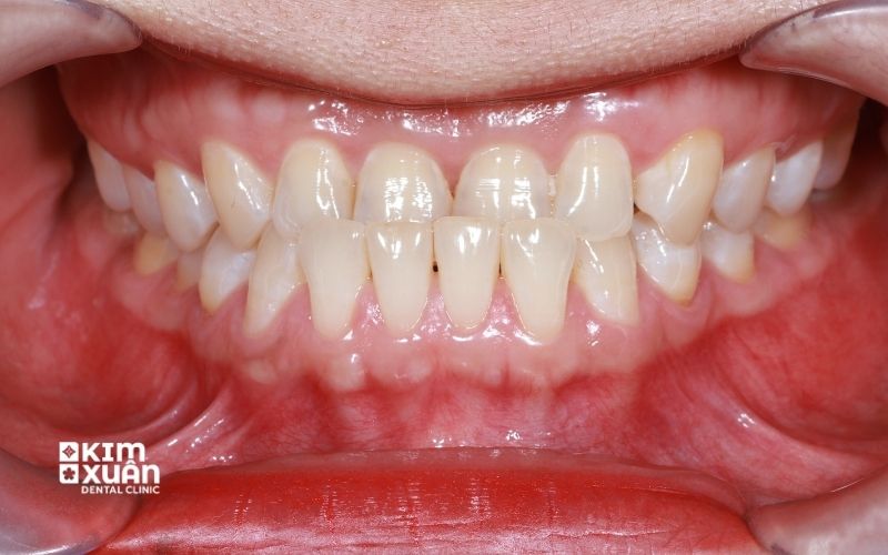
1. Niềng Răng Móm Là Gì?
Niềng răng móm là phương pháp chỉnh nha giúp điều chỉnh khớp cắn ngược, trong đó răng hoặc hàm dưới đưa ra trước so với hàm trên. Tình trạng răng móm không chỉ ảnh hưởng đến thẩm mỹ khuôn mặt mà còn gây khó khăn khi ăn nhai. Nếu không điều trị sớm, răng móm có thể dẫn đến mòn răng, sai lệch khớp cắn và rối loạn khớp thái dương hàm về lâu dài.
Dấu hiệu nhận biết răng móm thường gặp:
-
Khi cắn lại, răng cửa hàm dưới che phủ hoặc chạm trực tiếp vào răng cửa hàm trên
-
Môi dưới và cằm nhô ra, khuôn mặt nhìn nghiêng có cảm giác lõm
-
Khớp cắn lệch, ăn nhai không thoải mái, dễ mỏi hàm

2. Nguyên Nhân Gây Ra Tình Trạng Răng Móm
Răng móm có thể hình thành do nhiều nguyên nhân khác nhau, trong đó phổ biến nhất là các yếu tố liên quan đến xương hàm, răng và thói quen sinh hoạt từ nhỏ.
Các nguyên nhân gây răng móm thường gặp bao gồm:
-
Di truyền hoặc bẩm sinh: Cấu trúc xương hàm trên kém phát triển hoặc hàm dưới phát triển quá mức, dẫn đến tình trạng khớp cắn ngược
-
Thiếu răng hàm trên (đặc biệt là răng cửa): Mất điểm chặn phía trước khiến hàm dưới có xu hướng phát triển ra trước
-
Răng cửa hàm trên mọc chậm so với hàm dưới trong giai đoạn tăng trưởng
-
Thói quen xấu lúc nhỏ như mút tay, đẩy lưỡi, ngậm ti giả kéo dài… ảnh hưởng đến sự phát triển của xương hàm
Xem Thêm: Niềng Răng Là Gì? Lợi ÍCh Khi Niềng Răng?

3. Giá Niềng Răng Móm Bao Nhiêu Tiền Năm 2026? Bảng Giá 2 Hàm Mới Nhất
Giá niềng răng móm năm 2026 hiện nay dao động từ 30.000.000 - 135.000.000 VNĐ, tùy thuộc vào phương pháp chỉnh nha, mức độ móm của răng - xương hàm và kế hoạch điều trị cụ thể của từng trường hợp.
Bảng giá niềng răng móm tham khảo 2026
-
Niềng răng móm bằng mắc cài kim loại tiêu chuẩn giá từ 35.000.000 VNĐ/ 2 Hàm
-
Niềng răng móm bằng mắc cài kim loại tự buộc: giá từ 45.000.000 VNĐ/ 2 Hàm
-
Niềng răng móm bằng mắc cài sứ tiêu chuẩn: giá từ 40.000.000 VNĐ/ 2 Hàm
-
Niềng răng móm bằng mắc cài sứ tự buộc: giá từ 50.000.000 VNĐ/ 2 Hàm
-
Niềng răng móm bằng khay trong suốt Invisalign: giá từ 50.000.000 - 100.000.000 VNĐ/ 2 Hàm
Lưu ý: Chi phí niềng răng móm có thể thay đổi tùy theo mức độ khớp cắn ngược, thời gian điều trị và chỉ định chuyên môn của bác sĩ sau khi thăm khám trực tiếp.
Xem Thêm: Giá Niềng Răng Bao Nhiêu Tiền? Bảng Giá Mới 2026
Xem Thêm: Niềng Răng Mọc Lệch Lạc Giá Bao Nhiêu 2026

4. 4 Yếu Tố Ảnh Hưởng Đến Chi Phí Niềng Răng Móm 2026
Chi phí niềng răng móm không cố định cho mọi trường hợp mà phụ thuộc vào nhiều yếu tố khác nhau. Dưới đây là những yếu tố quan trọng quyết định giá niềng răng móm cao hay thấp:
4.1. Mức độ móm của răng và xương hàm
-
Móm nhẹ, chủ yếu do răng: Kế hoạch điều trị đơn giản hơn nên chi phí thấp hơn
-
Móm nặng, kèm lệch xương hàm: Điều trị phức tạp, thời gian kéo dài, có thể cần phối hợp nhiều kỹ thuật nên chi phí cao hơn
4.2. Phương pháp niềng răng móm
-
Niềng răng móm bằng mắc cài kim loại: Hiệu quả cao, chi phí tiết kiệm
-
Niềng răng móm bằng mắc cài sứ: Thẩm mỹ hơn, giá cao hơn mắc cài kim loại
-
Niềng răng móm bằng khay trong suốt Invisalign: Gần như vô hình, tháo lắp linh hoạt, chi phí cao nhất
4.3. Thời gian điều trị
Thời gian niềng răng móm thường kéo dài 18 - 30 tháng, tùy thuộc vào tình trạng răng, mức độ khớp cắn ngược và sự hợp tác của người niềng. Thời gian càng dài, chi phí điều trị có thể càng cao.
4.4. Nha khoa và bác sĩ điều trị
-
Trình độ và kinh nghiệm của bác sĩ chỉnh nha
-
Trang thiết bị chẩn đoán hiện đại như CT Cone Beam, scan răng 3D
-
Chính sách theo dõi - tái khám - chăm sóc sau niềng
Xem Thêm: 20 Tuổi Niềng Răng Bao Nhiêu Tiền? Có Hiệu Quả Không?
Xem Thêm: Niềng Răng Hô Là Gì? Có Hiệu Quả Không?

5. Niềng Răng Móm Có Tác Dụng Gì? Lợi Ích Thẩm Mỹ Và Khớp Cắn
Niềng răng móm khi được thực hiện đúng kỹ thuật và đúng chỉ định có thể mang lại nhiều hiệu quả tích cực lâu dài, không chỉ về thẩm mỹ mà còn về chức năng ăn nhai và sức khỏe răng miệng.
Cụ thể, hiệu quả của niềng răng móm bao gồm:
-
Cải thiện rõ rệt thẩm mỹ khuôn mặt: Gương mặt trở nên cân đối, hài hòa hơn, giảm tình trạng cằm nhô và khớp cắn ngược
-
Điều chỉnh khớp cắn chuẩn: Giúp ăn nhai hiệu quả hơn, hạn chế đau mỏi hàm và rối loạn khớp thái dương hàm
-
Bảo tồn răng thật tối đa: Không mài răng, không xâm lấn cấu trúc men răng như một số phương pháp phục hình
-
Vệ sinh răng miệng dễ dàng hơn: Răng được sắp xếp đều đặn, giảm nguy cơ sâu răng, viêm nướu và hôi miệng
-
Hiệu quả duy trì lâu dài: Nếu tuân thủ đeo hàm duy trì đúng hướng dẫn sau khi tháo niềng, kết quả chỉnh nha có thể ổn định nhiều năm
Xem Thêm: Những Điều Cần Lưu Ý Trước Khi Niềng Răng
Xem Thêm: Niềng Răng Mất Bao Lâu?
6. Nên Chọn Niềng Răng Móm Bằng Mắc Cài Hay Invisalign?
Việc lựa chọn phương pháp niềng răng móm phù hợp cần dựa trên mức độ móm, nhu cầu thẩm mỹ và khả năng tài chính của từng người. Dưới đây là gợi ý giúp bạn dễ dàng lựa chọn:
Muốn chi phí hợp lý - hiệu quả cao - Niềng răng móm bằng mắc cài kim loại
-
Hiệu quả chỉnh nha tốt, kiểm soát lực ổn định, chi phí tiết kiệm
Ưu tiên thẩm mỹ khi giao tiếp - Niềng răng móm bằng mắc cài sứ
-
Màu sắc gần giống răng thật, ít lộ hơn so với mắc cài kim loại
Công việc yêu cầu kín đáo, linh hoạt - Niềng răng móm bằng khay trong suốt Invisalign
-
Gần như vô hình, có thể tháo lắp, phù hợp người thường xuyên giao tiếp
Không có phương pháp niềng răng móm “tốt nhất cho tất cả”, mà chỉ có phương pháp phù hợp nhất với tình trạng răng - xương hàm và nhu cầu cá nhân của mỗi người.
Xem Thêm: Niềng Răng Mắc Cài Sứ Là Gì? Có Hiệu Quả Không?
Xem Thêm: Mới Niềng Răng Đau Mấy Ngày?
7. Niềng Răng Móm Ở Đâu Uy Tín Tại TP. HCM
Để niềng răng móm đạt hiệu quả cao và chi phí hợp lý, bạn nên lựa chọn nha khoa uy tín đáp ứng đầy đủ các tiêu chí sau:
-
Có bác sĩ chỉnh nha chuyên sâu, trực tiếp thăm khám và lên phác đồ điều trị phù hợp với từng tình trạng răng - xương hàm
-
Trang bị công nghệ và khí cụ hiện đại, hỗ trợ chẩn đoán chính xác và kiểm soát lực chỉnh nha an toàn
-
Quy trình vô trùng nghiêm ngặt, đảm bảo an toàn trong suốt quá trình điều trị
-
Minh bạch chi phí, có lộ trình theo dõi rõ ràng từ khi bắt đầu đến sau khi tháo niềng
Nha khoa Kim Xuân là một trong những địa chỉ được nhiều khách hàng lựa chọn khi niềng răng móm, nhờ đội ngũ bác sĩ chỉnh nha giàu kinh nghiệm, quy trình điều trị bài bản và sự đồng hành sát sao trong suốt quá trình niềng răng.
Kết Luận
Niềng răng móm là giải pháp chỉnh nha hiệu quả, giúp cải thiện rõ rệt thẩm mỹ khuôn mặt, khớp cắn và chức năng ăn nhai về lâu dài. Hiện nay, chi phí niềng răng móm thường dao động từ 35.000.000 - 100.000.000 VNĐ/ 2 Hàm, tùy thuộc vào phương pháp niềng, mức độ móm cũng như nha khoa thực hiện.
Để biết chính xác chi phí niềng răng móm và lựa chọn phương án điều trị phù hợp với tình trạng răng của mình, bạn nên liên hệ hoặc thăm khám trực tiếp tại Nha khoa Kim Xuân để được tư vấn miễn phí, đánh giá tình trạng răng cụ thể và xây dựng phác đồ chỉnh nha cá nhân hóa, đảm bảo hiệu quả và an toàn lâu dài.
Nha Khoa Kim Xuân - Bình Thạnh TP. HCM
Địa Chỉ: 165 Ngô Tất Tố, Phường Thạnh Mỹ Tây, Tp Hồ Chí Minh
Hotline: 0899 922 668 (Viber, Zalo, FaceTime)
ZaLo: https://zalo.me/nhakhoakimxuan
WebSite: https://nhakhoakimxuan.com.vn