Làm Răng Sứ Có Đau Không? Cách Hạn Chế Đau Khi Bọc Răng Sứ Hiệu Quả
Bọc răng sứ có đau không? Bọc răng sứ hầu như không gây đau trong quá trình thực hiện vì bác sĩ sẽ gây tê cục bộ trước khi mài răng. Sau khi hoàn tất, răng có thể xuất hiện ê buốt nhẹ trong khoảng 2 - 3 ngày do mô răng cần thời gian thích nghi với mão sứ mới. Đây là phản ứng bình thường và sẽ giảm dần. Tuy nhiên, nếu tình trạng đau nhức kéo dài trên 1 tuần, người bệnh nên tái khám sớm vì có thể liên quan đến kỹ thuật mài răng chưa chính xác hoặc bệnh lý răng miệng chưa được điều trị triệt để

1. Bọc Răng Sứ Có Đau Không?
Về bản chất, bọc răng sứ không gây đau nếu được thực hiện đúng quy trình kỹ thuật. Trước khi mài răng, bác sĩ sẽ gây tê cục bộ tại vùng cần điều trị, vì vậy trong suốt quá trình mài cùi răng và gắn mão sứ, người làm răng hầu như không cảm nhận đau nhức.
Quá trình mài răng khi bọc sứ chỉ tác động đến lớp men răng bên ngoài, không xâm lấn đến tủy răng nếu được chỉ định và thao tác đúng. Do đó, cảm giác đau thường không xuất hiện trong lúc làm răng; nếu có, chỉ là ê nhẹ sau khi thuốc tê hết tác dụng, và sẽ giảm dần sau 1 - 2 ngày khi răng thích nghi.
2. Sau Khi Bọc Răng Sứ Sẽ Có Cảm Giác Như Thế Nào?
Sau khi hoàn tất bọc răng sứ, một số người có thể gặp các cảm giác sau:
-
Ê buốt nhẹ khi ăn đồ nóng hoặc lạnh
-
Cảm giác hơi cộm hoặc chưa quen khi nhai
-
Nướu hơi nhạy cảm trong vài ngày đầu
Đây là phản ứng sinh lý bình thường khi răng và mô nướu cần thời gian thích nghi với mão sứ mới. Thông thường, các cảm giác này sẽ giảm rõ rệt sau 2 - 3 ngày và biến mất hoàn toàn sau khoảng 5 - 7 ngày.
Lưu ý: Nếu tình trạng đau nhức kéo dài hơn 1 tuần, đau tăng dần hoặc đau khi nhai dù đã điều chỉnh khớp cắn, bạn nên tái khám để kiểm tra nguyên nhân.

3. Mài Răng Bọc Sứ Có Đau Không? Chỉ Định Trong Trường Hợp Nào?
3.1. Mài răng bọc sứ có đau không?
Mài răng để bọc sứ không gây đau vì đã được gây tê trước đó. Hiện nay, các thiết bị mài răng hiện đại có độ chính xác cao, kiểm soát lực tốt và hạn chế xâm lấn, giúp giảm tối đa ê buốt so với công nghệ cũ.
Độ mài răng thường dao động từ 0.5 - 1.2 mm, nằm trong giới hạn an toàn và không ảnh hưởng đến tủy răng. Cảm giác khó chịu duy nhất có thể gặp là mỏi miệng do phải há trong thời gian dài, nhưng hoàn toàn có thể nghỉ giữa chừng.
3.2. Những trường hợp cần mài răng bọc sứ
Bác sĩ sẽ chỉ định mài răng trong các trường hợp sau:
-
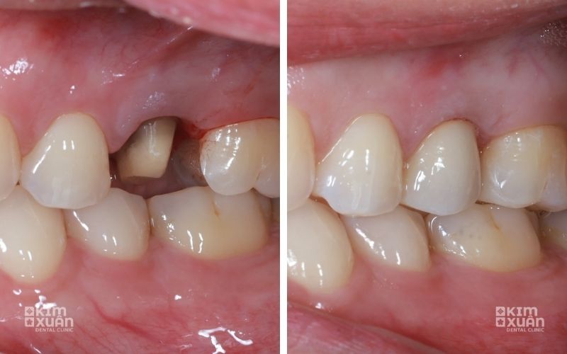
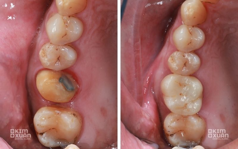
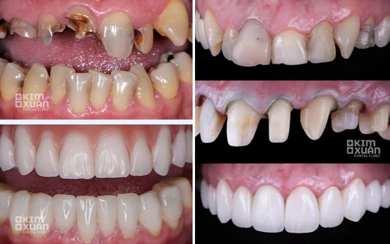
Bọc răng sứ thẩm mỹ: Răng sứt mẻ, răng nhiễm màu nặng, răng sâu đã điều trị tủy, răng lệch nhẹ hoặc hình dáng không đẹp
-
Dán sứ veneer: Chỉ mài rất mỏng (0.3 - 0.5 mm), ít xâm lấn, phù hợp răng còn khỏe
-
Điều chỉnh hình dáng răng: Răng quá dài, răng không đều
-
Làm cầu răng sứ: Mài răng trụ hai bên để phục hình răng đã mất
Xem Thêm: Dán Sứ Veneer Giá Bao Nhiêu Tiền 2026? Bảng Giá Mới Nhất Tại TP. HCM
Xem Thêm: Giá Bọc Răng Sứ Bao Nhiêu Tại TP. HCM
4. Những Nguyên Nhân Khiến Bọc Răng Sứ Bị Đau
Trên thực tế, đau sau khi bọc răng sứ không đến từ bản thân phương pháp, mà thường xuất phát từ các yếu tố sau:
4.1. Tay nghề bác sĩ không đảm bảo
-
Mài răng sai tỷ lệ, xâm lấn quá sâu hoặc gắn mão sứ không khít có thể khiến răng bị ê buốt kéo dài, đau khi ăn nhai hoặc cấn khớp cắn.
4.2. Răng có bệnh lý nhưng chưa điều trị dứt điểm
-
Viêm tủy, sâu răng, viêm nha chu nếu không xử lý triệt để trước khi bọc sứ sẽ khiến cơn đau xuất hiện sau phục hình.
4.3. Trang thiết bị nha khoa lạc hậu
-
Máy móc kém chính xác làm tăng ma sát khi mài răng, gây kích thích ngà răng và mô xung quanh.
4.4. Vật liệu sứ kém chất lượng
-
Răng sứ không đạt chuẩn có thể gây kích ứng nướu, viêm quanh răng hoặc phản ứng dị ứng, dẫn đến đau nhức kéo dài.
4.5. Chăm sóc răng sau bọc sứ chưa đúng
-
Nhai đồ cứng, nghiến răng, vệ sinh kém hoặc không tái khám định kỳ đều có thể khiến răng sứ bị ê buốt và giảm tuổi thọ.
Xem Thêm: Bọc Răng Sứ Bị Viêm Tủy Nguyên Nhân Và Cách Điều Trị
Xem Thêm: Những Trường Hợp Nên Bọc Răng Sứ
5. Cách Giảm Đau Và Ê Buốt Sau Khi Bọc Răng Sứ
Sau khi bọc răng sứ, nếu xuất hiện ê buốt nhẹ, bạn có thể áp dụng một số biện pháp sau để giúp răng nhanh thích nghi và dễ chịu hơn:
-
Uống đủ nước mỗi ngày để làm sạch khoang miệng và hạn chế vi khuẩn tích tụ
-
Súc miệng bằng nước muối loãng giúp làm dịu nướu và giảm cảm giác khó chịu
-
Chườm lạnh bên ngoài má tại vị trí làm răng (tránh chườm trực tiếp lên răng) để giảm ê và sưng nhẹ
-
Ăn thức ăn mềm trong vài ngày đầu, tránh đồ quá cứng, quá nóng hoặc quá lạnh
-
Sử dụng thuốc giảm đau theo đúng hướng dẫn của bác sĩ nếu cảm giác ê buốt kéo dài
Trong đa số trường hợp, tình trạng ê buốt sẽ giảm dần sau vài ngày. Nếu cảm giác đau tăng lên hoặc kéo dài bất thường, bạn nên tái khám sớm để bác sĩ kiểm tra lại khớp cắn và tình trạng răng.
Xem Thêm: Răng Sứ Toàn Sứ Là Gì? Giá Bao Nhiêu Tiền?

6. Làm Sao Để Phòng Tránh Đau Khi Bọc Răng Sứ?
Để quá trình bọc răng sứ diễn ra an toàn, nhẹ nhàng và hạn chế tối đa cảm giác đau, bạn nên lưu ý những điều sau:
-
Thăm khám và điều trị triệt để các bệnh lý răng miệng như sâu răng, viêm nướu, viêm tủy… trước khi tiến hành bọc sứ
-
Lựa chọn nha khoa uy tín, nơi có bác sĩ giàu kinh nghiệm và quy trình điều trị rõ ràng
-
Ưu tiên vật liệu sứ chất lượng cao, có nguồn gốc xuất xứ minh bạch để đảm bảo độ bền và khả năng tương thích sinh học
-
Chăm sóc răng miệng đúng cách sau khi bọc sứ và tái khám định kỳ theo hướng dẫn của bác sĩ
-
Đeo máng chống nghiến răng nếu có thói quen nghiến răng khi ngủ, giúp bảo vệ mão sứ và hạn chế ê buốt, đau nhức về lâu dài
Thực hiện đúng những lưu ý trên sẽ giúp bạn giảm nguy cơ đau nhức, ê buốt, đồng thời kéo dài tuổi thọ của răng sứ sau khi phục hình.
Xem Thêm: Trồng Răng Sứ Vĩnh Viễn Giá Bao Nhiêu?
Xem Thêm: Lấy Tủy Bọc Răng Sứ Giá Bao Nhiêu
Kết Luận
Thực tế, bọc răng sứ không phải là phương pháp gây đau nếu được thực hiện đúng kỹ thuật và đúng chỉ định. Cảm giác ê buốt nhẹ sau khi làm răng là hoàn toàn bình thường và thường sẽ nhanh chóng biến mất sau vài ngày. Những trường hợp đau kéo dài đa phần liên quan đến tay nghề bác sĩ, bệnh lý răng miệng chưa được xử lý triệt để hoặc chất lượng vật liệu sứ không đảm bảo.
Vì vậy, việc tìm hiểu kỹ thông tin và lựa chọn đúng địa chỉ nha khoa uy tín đóng vai trò rất quan trọng, giúp quá trình bọc răng sứ diễn ra nhẹ nhàng, an toàn và mang lại hiệu quả thẩm mỹ lâu dài.
Nếu bạn đang băn khoăn không biết bọc răng sứ có phù hợp với mình hay không, hãy đến Nha khoa Kim Xuân để được thăm khám, tư vấn trực tiếp và cá nhân hóa giải pháp cho từng tình trạng răng. Đội ngũ bác sĩ giàu kinh nghiệm sẽ giúp bạn làm răng sứ an tâm - hạn chế đau - tối ưu thẩm mỹ và độ bền lâu dài.
Liên hệ Nha khoa Kim Xuân ngay hôm nay để được tư vấn chi tiết và kiểm tra răng hoàn toàn nhẹ nhàng.
Nha Khoa Kim Xuân - Bình Thạnh TP. HCM
Địa Chỉ: 165 Ngô Tất Tố, Phường Thạnh Mỹ Tây, Tp Hồ Chí Minh
Hotline: 0899 922 668 (Viber, Zalo, FaceTime)
ZaLo: https://zalo.me/nhakhoakimxuan
WebSite: https://nhakhoakimxuan.com.vn
