Lấy tủy bọc răng sứ giá bao nhiêu là thắc mắc của nhiều người khi răng bị viêm tủy và cần điều trị. Hiện nay, chi phí lấy tủy bọc răng sứ dao động khoảng 1.000.000 - 10.000.000 VNĐ/răng, tùy thuộc vào vị trí răng cần điều trị, mức độ viêm tủy và loại răng sứ được lựa chọn.
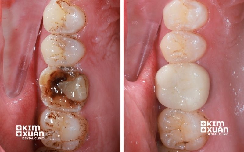
Phương pháp lấy tủy kết hợp bọc răng sứ không chỉ giúp loại bỏ cơn đau do viêm tủy, mà còn bảo vệ răng thật, phục hồi chức năng ăn nhai và đảm bảo thẩm mỹ nụ cười lâu dài.

1. Lấy Tủy Bọc Răng Sứ Giá Bao Nhiêu Tiền?
Lấy tủy răng (điều trị nội nha) là quá trình loại bỏ phần tủy bị viêm, nhiễm trùng hoặc hoại tử bên trong răng. Sau khi lấy tủy, răng sẽ yếu và giòn hơn do không còn được nuôi dưỡng, vì vậy bọc răng sứ là chỉ định cần thiết để bảo tồn răng.
1.1. Chi phí lấy tủy răng phụ thuộc vào:
-
Vị trí răng (răng cửa - răng cối nhỏ - răng cối lớn)
-
Số lượng ống tủy
-
Trường hợp lấy tủy lần đầu hay nội nha lại
2.2. Bảng giá lấy tủy răng (nội nha)
Nội nha răng vĩnh viễn
-
Nội nha răng cửa: 500.000 VNĐ/răng
-
Nội nha răng cối nhỏ: 1.000.000 VNĐ/răng
-
Nội nha răng cối lớn: 2.000.000 VNĐ/răng
Nội nha lại
-
Nội nha lại răng cửa: 1.000.000 VNĐ/răng
-
Nội nha lại răng cối nhỏ: 1.500.000 VNĐ/răng
-
Nội nha lại răng cối lớn: 2.500.000 VNĐ/răng
Bít ống tủy vật liệu sinh học MTA: 1.500.000 VNĐ/răng
Xem Thêm: Giá Lẩy Tủy Răng Bao Nhiêu Tiền?

2. Chi Phí Bọc Răng Sứ Sau Khi Lấy Tủy
Sau khi lấy tủy, bọc răng sứ giúp bảo vệ phần thân răng còn lại, hạn chế gãy vỡ và phục hồi hình dáng răng như ban đầu. Chi phí bọc răng sứ sẽ khác nhau tùy theo vật liệu sứ.
Bảng giá răng sứ thẩm mỹ
-
Răng sứ kim loại thường: 1.500.000 VNĐ/răng
-
Răng sứ Titan: 2.000.000 VNĐ/răng
-
Răng sứ Zirconia: 3.500.000 - 5.500.000 VNĐ/răng
-
Răng sứ Cercon HT: 6.000.000 VNĐ/răng
-
Răng sứ Lava Plus: 8.000.000 - 10.000.000 VNĐ/răng
-
Veneer Emax Press: 6.000.000 VNĐ/răng
Các dòng răng sứ toàn sứ có ưu điểm vượt trội về thẩm mỹ, không đen viền nướu, màu sắc tự nhiên và độ bền cao.
Xem Thêm: Bọc Răng Sứ Giá Bao Nhiêu? Bảng Giá Mới Nhất Tại TP. HCM

3. Tổng Chi Phí Lấy Tủy Bọc Răng Sứ Là Bao Nhiêu?
Tổng chi phí = Chi phí lấy tủy + Chi phí bọc răng sứ
Ví dụ tham khảo:
Răng cửa:
-
Lấy tủy răng cửa 500.000 + Răng sứ Titan 2.000.000
-
Tổng chi phí: 2.500.000 VNĐ/răng
Răng hàm lớn:
-
Lấy tủy răng cối lớn 2.000.000 + Răng sứ Zirconia 3.500.000 - 5.500.000
-
Tổng chi phí: 5.500.000 - 7.500.000 VNĐ/răng
Trường hợp thẩm mỹ cao cấp:
-
Lấy tủy + Răng sứ Lava Plus
-
Tổng chi phí có thể lên đến 10.000.000 - 12.000.000 VNĐ/răng
4. Lợi Ích Khi Lấy Tủy Bọc Răng Sứ
Lấy tủy kết hợp bọc răng sứ không chỉ giúp chấm dứt tình trạng đau nhức mà còn bảo tồn răng thật và phục hồi chức năng toàn diện. Dưới đây là những lợi ích nổi bật khi lấy tủy bọc răng sứ được các bác sĩ khuyến cáo:
-
Loại bỏ hoàn toàn cơn đau do viêm tủy răng, giúp người bệnh thoải mái trong sinh hoạt và ăn uống hằng ngày.
-
Ngăn ngừa vi khuẩn lan rộng, hạn chế nguy cơ áp xe răng, viêm xương hàm hoặc biến chứng nguy hiểm nếu để viêm tủy kéo dài.
-
Bảo tồn răng thật tối đa, tránh phải nhổ răng sớm và giảm chi phí trồng răng về sau.
-
Phục hồi khả năng ăn nhai gần như răng thật, đảm bảo chức năng cắn xé và nghiền thức ăn ổn định.
-
Cải thiện màu sắc và hình dáng răng, giúp răng sau khi lấy tủy trở nên đều đẹp, trắng sáng hơn, nâng cao thẩm mỹ nụ cười.
Đây là lý do vì sao bọc răng sứ sau khi lấy tủy được xem là giải pháp vừa bảo vệ răng, vừa mang lại hiệu quả thẩm mỹ lâu dài.

5. Vì Sao Nên Bọc Răng Sứ Sau Khi Lấy Tủy?
Sau khi lấy tủy răng được xem là răng “chết” vì không còn mạch máu nuôi dưỡng, khiến cấu trúc răng suy yếu dần theo thời gian. Nếu không được bảo vệ đúng cách, răng sau lấy tủy rất dễ gặp các vấn đề nghiêm trọng như:
-
Dễ đổi màu, sậm đen, ảnh hưởng đến thẩm mỹ nụ cười
-
Trở nên giòn và dễ nứt vỡ khi ăn nhai, đặc biệt với thức ăn cứng
-
Tuổi thọ răng giảm nhanh, nguy cơ phải nhổ răng sớm nếu không phục hồi kịp thời
Chính vì vậy, bọc răng sứ sau khi lấy tủy được các bác sĩ khuyến cáo nhằm bảo vệ và duy trì răng lâu dài. Phương pháp này mang lại nhiều lợi ích rõ rệt như:
-
Bao phủ và gia cố toàn bộ thân răng, giúp răng chắc khỏe hơn
-
Phân bố lực nhai đồng đều, hạn chế nguy cơ nứt vỡ răng
-
Kéo dài tuổi thọ răng đã lấy tủy, duy trì chức năng ăn nhai ổn định
-
Giảm nguy cơ phải nhổ răng và trồng răng implant trong tương lai, tiết kiệm chi phí điều trị
Có thể nói, bọc răng sứ là bước phục hồi bắt buộc sau khi lấy tủy, giúp răng vừa bền chắc, vừa đảm bảo thẩm mỹ lâu dài.
Xem Thêm: Trồng Răng Implant Giá Bao Nhiêu? Bảng Giá Mới Tại Nha Khoa Kim Xuân
6. Quy Trình Lấy Tủy Răng Chuẩn Y Khoa
Quy trình lấy tủy răng chuẩn y khoa được thực hiện theo từng bước nghiêm ngặt nhằm loại bỏ hoàn toàn mô tủy viêm, bảo tồn răng thật và đảm bảo an toàn lâu dài cho người bệnh. Cụ thể, các bước lấy tủy răng bọc sứ thường bao gồm:
-
Thăm khám và chụp X-quang để đánh giá chính xác số lượng ống tủy, hình dạng ống tủy và mức độ viêm nhiễm của răng.
-
Gây tê cục bộ và vệ sinh khoang miệng, giúp quá trình điều trị diễn ra nhẹ nhàng, không đau và hạn chế vi khuẩn xâm nhập.
-
Đặt đế cao su (rubber dam) nhằm cách ly răng điều trị, đảm bảo vô trùng tuyệt đối trong suốt quá trình lấy tủy.
-
Lấy tủy và làm sạch toàn bộ hệ thống ống tủy, loại bỏ mô tủy viêm, vi khuẩn và các chất gây nhiễm trùng.
-
Trám bít ống tủy bằng vật liệu nha khoa chuyên dụng, ngăn ngừa vi khuẩn tái xâm nhập và tái viêm tủy.
-
Chuẩn bị răng và bọc mão sứ, giúp phục hồi chức năng ăn nhai, bảo vệ răng sau khi lấy tủy và cải thiện thẩm mỹ nụ cười.
Thực hiện đúng quy trình lấy tủy răng chuẩn y khoa kết hợp bọc răng sứ sẽ giúp răng bền chắc hơn, kéo dài tuổi thọ và hạn chế tối đa biến chứng về sau.
Xem Thêm: Dấu Hiệu Nhận Biết Răng Sâu Đến Tủy?
7. Bọc Răng Sứ Sau Khi Lấy Tủy Có Đau Không?
Bọc răng sứ sau khi lấy tủy hầu như không gây đau, bởi răng lúc này đã không còn dây thần kinh cảm giác. Trong quá trình mài răng và gắn mão sứ, bác sĩ sẽ gây tê cục bộ, giúp người bệnh cảm thấy thoải mái, chỉ hơi ê nhẹ trong thời gian ngắn và không đau nhức như nhiều người lo lắng.
Nhờ công nghệ nha khoa hiện đại cùng kỹ thuật điều trị chuẩn y khoa, quá trình lấy tủy và bọc răng sứ hiện nay diễn ra nhẹ nhàng, an toàn và nhanh chóng. Sau khi hoàn tất, răng được phục hồi chắc khỏe, ăn nhai bình thường và đảm bảo tính thẩm mỹ lâu dài.
Việc lựa chọn địa chỉ nha khoa uy tín và thực hiện đúng quy trình sẽ giúp hạn chế tối đa cảm giác ê buốt và các biến chứng sau điều trị.
Xem Thêm: Lấy Tủy Răng Có Đau Không?

Kết Luận
Lấy tủy bọc răng sứ giá bao nhiêu phụ thuộc vào tình trạng răng cụ thể, số lượng ống tủy và loại răng sứ được lựa chọn, với mức chi phí dao động khoảng 1.000.000 - 10.000.000 VNĐ/răng. Đây là mức giá phổ biến hiện nay, phù hợp với nhiều nhu cầu phục hình răng khác nhau.
Bọc răng sứ sau khi lấy tủy không chỉ giúp bảo vệ răng đã điều trị, mà còn phục hồi chức năng ăn nhai, ngăn ngừa nứt vỡ và đảm bảo thẩm mỹ nụ cười lâu dài. Để đạt hiệu quả tối ưu, người bệnh nên thăm khám tại nha khoa uy tín, được tư vấn phương án điều trị và loại răng sứ phù hợp với tình trạng răng của mình.
Nếu bạn đang băn khoăn về chi phí, quy trình hoặc loại răng sứ phù hợp, hãy liên hệ Nha khoa Kim Xuân để được thăm khám, chụp phim và tư vấn chi tiết, giúp bạn lựa chọn giải pháp lấy tủy bọc răng sứ an toàn, hiệu quả và lâu dài.
Nha Khoa Kim Xuân - Bình Thạnh TP. HCM
Địa Chỉ: 165 Ngô Tất Tố, Phường Thạnh Mỹ Tây, Tp Hồ Chí Minh
Hotline: 0899 922 668 (Viber, Zalo, FaceTime)
ZaLo: https://zalo.me/nhakhoakimxuan
WebSite: https://nhakhoakimxuan.com.vn