Dán răng sứ veneer giá bao nhiêu? Giá dán sứ Veneer tại TP.HCM hiện nay dao động từ 6.000.000 - 12.000.000 VNĐ/răng, tùy vào chất liệu sứ, thương hiệu và kỹ thuật chế tác. Dán sứ Veneer là phương pháp thẩm mỹ giúp cải thiện màu sắc và hình dáng răng với mức độ mài răng tối thiểu, mang lại nụ cười tự nhiên và bền đẹp.
Đây là lựa chọn được nhiều khách hàng ưa chuộng nhờ độ bền cao, tính an toàn và khả năng giữ màu lâu dài. Nếu bạn đang tìm hiểu chi phí dán sứ Veneer trong năm 2026, bài viết dưới đây sẽ giúp bạn nắm rõ bảng giá và các yếu tố ảnh hưởng.

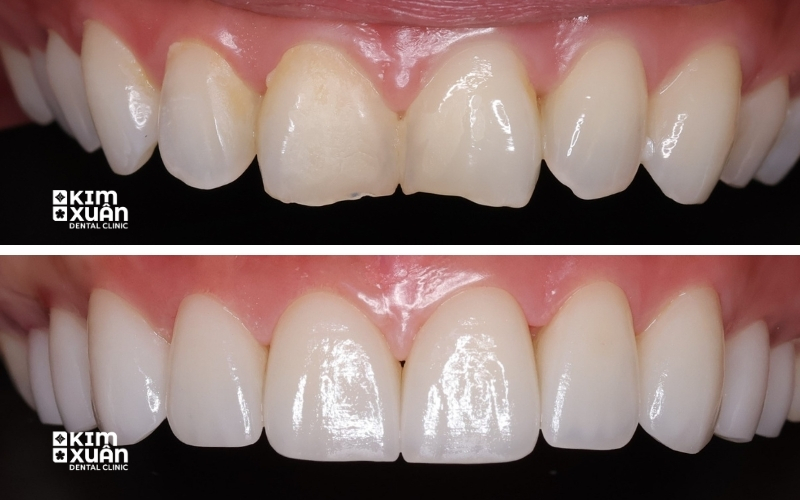
1. Dán Răng Sứ Veneer Là Gì?
Dán sứ Veneer là phương pháp phục hình thẩm mỹ răng bằng cách dán một lớp sứ mỏng lên mặt ngoài của răng nhằm cải thiện màu sắc, hình dáng và kích thước. Kỹ thuật này giúp khắc phục các khuyết điểm như răng ố màu, mòn cạnh, sứt mẻ hoặc thưa nhẹ. Lớp sứ Veneer có độ dày chỉ khoảng 0.3 - 0.5 mm và được gắn cố định bằng keo chuyên dụng, giúp bảo tồn tối đa răng thật vì hầu như không cần mài hoặc chỉ mài rất ít. Đây là lựa chọn phổ biến trong thẩm mỹ nha khoa nhờ tính tự nhiên, bền chắc và an toàn.
2. Dán Sứ Veneer Giá Bao Nhiêu Tiền Năm 2026
Chi phí dán sứ Veneer tại TP.HCM năm 2026 dao động từ 6.000.000 - 12.000.000 VNĐ/răng tùy theo chất liệu sứ, công nghệ chế tác và mức độ tự nhiên mà khách hàng mong muốn.
Dưới đây là bảng giá tham khảo tại Nha Khoa Kim Xuân theo từng dòng sứ Veneer phổ biến:
-
Veneer Lithium Disilicate Emax Press giá 6.000.000 VNĐ/răng.
-
Veneer Lithium Disilicate GC Lisi Press giá 8.000.000 VNĐ/răng.
-
Veneer Lithium Disilicate Emax CAD giá 7.000.000 VNĐ/răng
-
Veneer Prettau Zirkonzahn giá 12.000.000 VNĐ/răng.
Giá Dán Sứ Veneer Non Prep (Không Mài Răng)
-
Veneer Feldspathic Ceramco: giá 8.000.000 VNĐ/răng
-
Veneer Feldspathic Vita: giá 10.000.000 VNĐ/răng
-
Veneer Feldspathic Emax: giá 10.000.000 VNĐ/răng
-
Veneer Feldspathic GC Lisi: giá 12.000.000 VNĐ/răng
Xem Thêm: Dán Sứ Veneer Nguyên Hàm Giá Bao Nhiêu Năm 2026 Tại TP. HCM

3. Các Yếu Tố Ảnh Hưởng Đến Giá Dán Sứ Veneer
-
Chất liệu sứ: Mỗi loại sứ có độ mỏng, độ bền và khả năng kháng màu khác nhau. Đây là yếu tố quyết định lớn nhất đến chi phí.
-
Thương hiệu - xuất xứ: Sứ nhập khẩu từ Đức, Mỹ, Nhật, Hàn thường có mức giá cao hơn nhờ tiêu chuẩn sản xuất nghiêm ngặt và độ chính xác cao.
-
Tay nghề bác sĩ - công nghệ nha khoa: Bác sĩ chuyên về phục hình thẩm mỹ kết hợp với phòng Lab chuẩn sẽ giúp mặt dán khít, đẹp tự nhiên và bền lâu hơn.
-
Tình trạng răng miệng của khách hàng: Nếu có sâu răng, viêm nướu, lệch nhẹ hoặc cần xử lý hình thể trước khi dán sứ, chi phí sẽ thay đổi tuỳ theo mức độ điều trị.
Xem Thêm: Dán Răng Sứ Veneer Có Tốt Không? Có Bền Không?
4. Các Trường Hợp Nên Dán Rắng Sứ Veneer
-
Răng ố vàng, xỉn màu: Phù hợp cho răng đổi màu do Tetracycline, thuốc lá, cà phê, trà hoặc xỉn màu lâu năm không đáp ứng với tẩy trắng.
-
Răng nứt, mẻ, mòn nhẹ: Áp dụng cho răng mẻ cạnh, nứt nhỏ hoặc mòn men dưới 1/3 thân răng.
-
Răng thưa, hở kẽ: Hiệu quả với các khe hở nhỏ giữa răng, đặc biệt là răng cửa.
-
Răng lệch lạc nhẹ: Dành cho răng hơi xoay, không đều, kích thước mất cân đối nhưng khớp cắn vẫn ổn định.
-
Răng hô hoặc móm nhẹ: Có thể cải thiện thẩm mỹ trong các trường hợp hô - móm mức độ nhẹ, không do xương hàm.
Xem Thêm: Dán Răng Sứ Veneer Có Cần Mài Răng Không? Giải Đáp Chi Tiết

5. Quy Trình Dán Răng Sứ Veneer Chuẩn Y Khoa
Bươc 1. Thăm khám và lập kế hoạch
-
Bác sĩ kiểm tra tổng quát răng miệng, chụp X-quang và đánh giá tình trạng răng. Từ đó lập kế hoạch điều trị, thiết kế nụ cười và lựa chọn màu sắc - kiểu dáng veneer phù hợp.
Bước 2. Mài răng và gắn răng tạm
-
Bác sĩ gây tê và mài một lớp men rất mỏng (0.3 - 0.5 mm) ở mặt ngoài răng. Sau đó gắn răng tạm để bảo vệ răng thật trong thời gian chờ veneer chế tác.
Bước 3. Chế tác mặt dán sứ Veneer
-
Dấu răng được chuyển đến labo để kỹ thuật viên chế tác veneer theo đúng thiết kế đã thống nhất.
Bước 4. Gắn cố định veneer
-
Bác sĩ làm sạch răng, bôi keo dán chuyên dụng và đặt veneer lên răng, căn chỉnh chuẩn khớp cắn - thẩm mỹ. Cuối cùng dùng đèn quang trùng hợp để cố định veneer.
Bước 5. Kiểm tra và tái khám
-
Sau vài ngày, bệnh nhân được hẹn tái khám để kiểm tra lại khớp cắn và điều chỉnh nếu cần. Bác sĩ hướng dẫn cách chăm sóc để tăng tuổi thọ veneer.
Xem Thêm: Quy Trình Dán Sứ Veneer Chuẩn Y Khoa Tại Nha Khoa Kim Xuân. Chi Tiết
6. Các Chăm Sóc Răng Sau Khi Dán Sứ Veneer
-
Chải răng bằng bàn chải lông mềm: Giúp làm sạch nhẹ nhàng, tránh gây mòn hoặc tạo áp lực lên mặt dán sứ.
-
Dùng chỉ nha khoa và máy tăm nước: Loại bỏ mảng bám ở kẽ răng, giảm nguy cơ viêm nướu và giữ veneer bền đẹp lâu dài.
-
Hạn chế thức ăn quá cứng, quá nóng hoặc quá lạnh: Nhằm tránh làm nứt mẻ veneer và bảo vệ răng thật bên dưới.
-
Khám răng định kỳ 6 tháng/lần: Giúp bác sĩ kiểm tra độ bám dính veneer, khớp cắn và xử lý sớm nếu có bất thường.
-
Tránh đồ uống sậm màu như trà đặc, cà phê: Giúp hạn chế tình trạng nhiễm màu ở viền răng và giữ thẩm mỹ cho nụ cười.
7. Dán Răng Sứ Veneer Ở Đâu Uy Tín Tại TP. HCM
Việc lựa chọn nha khoa uy tín khi dán sứ Veneer ảnh hưởng trực tiếp đến độ bền, tính thẩm mỹ và sự an toàn của răng thật. Một cơ sở chất lượng cần có bác sĩ chuyên môn cao, công nghệ hiện đại và quy trình đạt chuẩn để veneer ôm khít, màu sắc tự nhiên và bền lâu.
Nha Khoa Kim Xuân - Địa Chỉ Dán Sứ Veneer Đáng Tin Tưởng Tại TP.HCM
Tại TP.HCM và Bình Thạnh, Nha khoa Kim Xuân được nhiều khách hàng lựa chọn nhờ kỹ thuật phục hình tinh tế và sử dụng vật liệu sứ chính hãng kết hợp công nghệ thiết kế nụ cười hiện đại.
Công nghệ - quy trình chuẩn y khoa
-
Dán veneer tại Kim Xuân được thực hiện trong môi trường vô trùng, mài siêu ít để bảo tồn răng thật. Labo chất lượng cao giúp mặt sứ ôm khít, trong tự nhiên và chuẩn khớp cắn.
Tư vấn minh bạch - chi phí rõ ràng
-
Khách hàng được kiểm tra răng miệng kỹ, tư vấn chi tiết loại sứ - màu sắc phù hợp và báo giá rõ ràng trước khi điều trị.
Bác sĩ giàu kinh nghiệm phục hình
-
Đội ngũ bác sĩ có kinh nghiệm xử lý nhiều ca Veneer, đảm bảo kết quả tự nhiên và an toàn.
Nếu bạn đang tìm địa chỉ dán răng sứ Veneer uy tín tại TP.HCM, Nha khoa Kim Xuân là lựa chọn phù hợp nhờ tay nghề, công nghệ và dịch vụ tận tâm, giúp bạn sở hữu nụ cười trắng sáng và bền vững theo thời gian.

Kết Luận
Dán răng sứ Veneer là giải pháp thẩm mỹ an toàn và hiệu quả giúp cải thiện màu sắc, hình dáng và độ đều đẹp của nụ cười mà vẫn bảo tồn tối đa răng thật. Chi phí dán Veneer tại TP.HCM dao động theo từng loại sứ, tay nghề bác sĩ và quy trình thực hiện, vì vậy việc lựa chọn đúng nha khoa uy tín có vai trò quyết định đến kết quả sau cùng.
Nếu bạn muốn sở hữu hàm răng trắng sáng, tự nhiên và bền lâu, hãy ưu tiên những cơ sở có công nghệ hiện đại, labo chất lượng và bác sĩ giàu kinh nghiệm phục hình. Nếu bạn đang quan tâm đến dán răng sứ Veneer hoặc chưa biết loại sứ nào phù hợp, hãy liên hệ Nha khoa Kim Xuân để được bác sĩ thăm khám và tư vấn miễn phí.
Nha Khoa Kim Xuân - Bình Thạnh TP. HCM
Địa Chỉ: 165 Ngô Tất Tố, Phường Thạnh Mỹ Tây, Tp Hồ Chí Minh
Hotline: 0899 922 668 (Viber, Zalo, FaceTime)
ZaLo: https://zalo.me/nhakhoakimxuan
WebSite: https://nhakhoakimxuan.com.vn