Dán Răng Sứ Veneer Có Tốt Không? Ưu, Nhược Điểm Và Những Điều Cần Biết
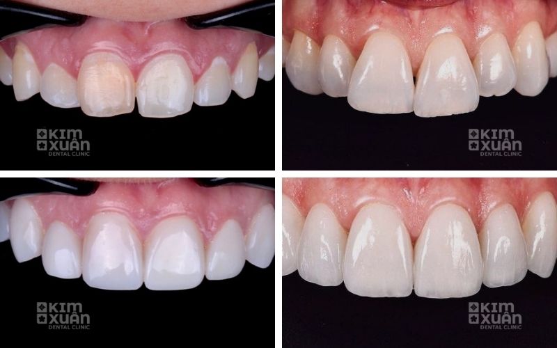
Dán răng sứ Veneer là phương pháp phục hình răng thẩm mỹ hiện đại, giúp cải thiện màu sắc và hình dáng răng với mức độ xâm lấn rất thấp, từ đó bảo tồn tối đa răng thật. Tuy nhiên, không ít người vẫn băn khoăn dán răng sứ Veneer có tốt không, có bền không và có phù hợp với mình hay không.
Thực tế, hiệu quả của Veneer phụ thuộc vào nhiều yếu tố như tình trạng răng ban đầu, chất liệu sứ, tay nghề bác sĩ và cách chăm sóc sau khi thực hiện. Bài viết dưới đây sẽ giúp bạn hiểu rõ ưu - nhược điểm của dán sứ Veneer để đưa ra quyết định phù hợp

1. Dán Răng Sứ Veneer Là Gì?
Dán sứ Veneer là kỹ thuật sử dụng một lớp sứ siêu mỏng (khoảng 0,3 - 0,5 mm) dán lên mặt ngoài của răng thật nhằm cải thiện các khuyết điểm như răng xỉn màu, răng thưa nhẹ, răng sứt mẻ nhỏ hoặc hình dáng răng không đều. Khác với bọc răng sứ truyền thống, phương pháp này chỉ tác động rất ít đến men răng, giúp hạn chế ê buốt và bảo tồn cấu trúc răng thật tối đa.
2. Nhược Điểm Của Dán Răng Sứ Veneer
Không phù hợp với mọi đối tượng
-
Dán sứ Veneer chỉ phù hợp với những trường hợp răng tương đối đều, khớp cắn ổn định, không hô móm nặng và mức độ sứt mẻ không quá 1/3 thân răng.
-
Những ca sai lệch khớp cắn nghiêm trọng hoặc răng tổn thương nhiều thường không được chỉ định Veneer.
Chi phí dán sứ Veneer khá cao
-
So với bọc răng sứ, chi phí dán sứ Veneer thường cao hơn do sử dụng phôi sứ cao cấp và yêu cầu kỹ thuật chế tác - dán sứ chính xác. Mức giá có thể dao động tùy loại sứ và nha khoa thực hiện.
Khả năng che màu răng thật có giới hạn
-
Do mặt sứ Veneer rất mỏng nên với những trường hợp răng nhiễm màu nặng (Tetracycline, Fluor…) thì Veneer khó che phủ hoàn toàn màu răng thật bên trong.
Không thích hợp với người nghiến răng
-
Thói quen nghiến răng khi ngủ có thể tạo lực mạnh khiến mặt dán sứ bị nứt hoặc bong vỡ, làm giảm tuổi thọ Veneer.
Yêu cầu bác sĩ có chuyên môn cao
-
Dán sứ Veneer là kỹ thuật đòi hỏi sự tỉ mỉ và chính xác cao. Nếu bác sĩ thiếu kinh nghiệm, răng thật có thể bị xâm lấn không cần thiết hoặc Veneer dễ bong tróc sau thời gian ngắn.

3. Ưu Điểm Của Dán Răng Sứ Veneer
Tính thẩm mỹ cao, tự nhiên
-
Mặt dán sứ Veneer có độ trong và độ bóng gần giống răng thật, giúp hàm răng trắng sáng tự nhiên, hài hòa với khuôn mặt.
Bảo tồn răng thật tối đa
-
Chỉ mài rất ít hoặc gần như không mài răng, giúp giảm nguy cơ ê buốt và bảo vệ mô răng thật lâu dài.
An toàn và độ bền cao
-
Veneer được chế tác từ sứ nguyên khối cao cấp như sứ Emax, Cercon…, có độ bền tốt, lành tính và không gây kích ứng. Tuổi thọ trung bình có thể đạt 10 - 20 năm nếu chăm sóc đúng cách.
Cảm giác ăn nhai thoải mái
-
Thiết kế siêu mỏng giúp Veneer ôm sát răng thật, không gây cộm cấn hay khó chịu khi sử dụng.
Ít đau, ít ê buốt
-
Quá trình thực hiện nhẹ nhàng, không xâm lấn sâu nên hầu như không gây đau hay ê buốt kéo dài.
4. Chi Phí Dán Sứ Veneer Tại TP. HCM Bao Nhiêu?
Giá dán sứ Veneer tại TP.HCM dao động tùy theo chất liệu sứ, công nghệ chế tác và mức độ thẩm mỹ mong muốn của từng khách hàng. Các dòng Veneer cao cấp thường cho màu sắc tự nhiên, độ bền cao và khả năng mô phỏng răng thật tốt hơn.
Dưới đây là bảng giá dán sứ Veneer tham khảo tại Nha Khoa Kim Xuân theo từng dòng sứ phổ biến hiện nay:
-
Veneer Lithium Disilicate Emax Press Giá 6.000.000 VNĐ/răng
-
Veneer Lithium Disilicate Emax CAD Giá 7.000.000 VNĐ/răng
-
Veneer Lithium Disilicate GC Lisi Press Giá 8.000.000 VNĐ/răng
-
Veneer Prettau Zirkonzahn cao cấp Giá 12.000.000 VNĐ/răng
Lưu ý: Mức giá có thể thay đổi tùy tình trạng răng thực tế, số lượng răng cần dán Veneer và kế hoạch điều trị cụ thể của từng khách hàng.
Xem Thêm: Dán Sứ Veneer 2 Răng Cửa Thưa Bao Nhiêu Tiền?

5. Dán Răng Sứ Veneer Có Tốt Không?
Dán răng sứ Veneer là giải pháp thẩm mỹ răng an toàn và hiệu quả, phù hợp với các trường hợp răng xỉn màu, răng thưa nhẹ, răng sứt mẻ nhỏ hoặc mong muốn cải thiện nụ cười nhưng vẫn bảo tồn tối đa răng thật.
Phương pháp này không gây hại răng miệng nếu được thực hiện đúng kỹ thuật, sử dụng mặt dán sứ Veneer chính hãng, bác sĩ có tay nghề cao và người bệnh tuân thủ chế độ chăm sóc răng miệng khoa học sau khi dán.

6. Lưu Ý Quan Trọng Giúp Hạn Chế Rủi Ro Khi Dán Sứ Veneer
Để dán răng sứ Veneer an toàn, bền đẹp và không gây hại răng thật, bạn cần lưu ý một số vấn đề quan trọng sau:
-
Lựa chọn nha khoa uy tín, có giấy phép hoạt động hợp pháp, trang thiết bị hiện đại và quy trình dán sứ rõ ràng
-
Bác sĩ có chuyên môn và kinh nghiệm về phục hình Veneer, đảm bảo mài răng tối thiểu và dán đúng kỹ thuật
-
Sử dụng vật liệu sứ Veneer chính hãng, có nguồn gốc rõ ràng và chế độ bảo hành minh bạch
-
Tái khám định kỳ theo hướng dẫn của bác sĩ và duy trì chăm sóc răng miệng đúng cách hằng ngày
-
Tránh nhai đồ quá cứng, hạn chế thói quen cắn vật cứng và kiểm soát nghiến răng để tăng tuổi thọ Veneer
Xem Thêm: Dấu Hiệu Nhận Biết Răng Sâu Đến Tủy và Cách Điều Trị
Xem Thêm: Dán Răng Sứ Veneer Ở Đâu Uy Tín?
Câu Hỏi Thường Gặp?
Dán răng sứ Veneer có bền không?
-
Có. Veneer có độ bền cao, trung bình từ 10 - 20 năm nếu thực hiện đúng kỹ thuật và chăm sóc tốt.
Dán răng sứ Veneer có gây đau không?
-
Không. Phương pháp này chỉ mài rất ít men răng nên hầu như không gây đau hay ê buốt.
Ai không nên dán răng sứ Veneer?
-
Người bị nghiến răng, sai lệch khớp cắn nặng hoặc răng nhiễm màu quá nặng thường không phù hợp.
Veneer có bị bong không?
-
Veneer có thể bong nếu thực hiện sai kỹ thuật hoặc chịu lực mạnh thường xuyên, vì vậy cần chọn nha khoa uy tín.
Kết Luận
Dán răng sứ Veneer là phương pháp phục hình răng thẩm mỹ hiện đại, mang lại hiệu quả cao về mặt thẩm mỹ và bảo tồn tối đa răng thật. Tuy nhiên, Veneer cũng có những hạn chế nhất định về đối tượng thực hiện và chi phí, vì vậy không phải trường hợp nào cũng phù hợp.
Để đảm bảo an toàn, độ bền lâu dài và kết quả thẩm mỹ như mong muốn, khách hàng nên thăm khám trực tiếp tại Nha Khoa Kim Xuân để được bác sĩ kiểm tra tình trạng răng miệng, tư vấn phương án dán sứ Veneer phù hợp và báo chi phí chính xác theo từng trường hợp.
Đặt lịch thăm khám & tư vấn Veneer miễn phí tại Nha Khoa Kim Xuân ngay hôm nay để được hỗ trợ chi tiết và thiết kế nụ cười hài hòa, tự nhiên.
Nha Khoa Kim Xuân - Bình Thạnh TP. HCM
Địa Chỉ: 165 Ngô Tất Tố, Phường Thạnh Mỹ Tây, Tp Hồ Chí Minh
Hotline: 0899 922 668 (Viber, Zalo, FaceTime)
ZaLo: https://zalo.me/nhakhoakimxuan
WebSite: https://nhakhoakimxuan.com.vn
