Nhổ răng khôn (răng số 8) là một tiểu phẫu nha khoa nhằm loại bỏ chiếc răng mọc cuối cùng trên cung hàm - nơi rất dễ gây đau nhức, viêm nhiễm, sâu răng và chèn ép răng số 7. Răng khôn thường mọc lệch, mọc ngầm hoặc không đủ chỗ, khiến nhiều người buộc phải nhổ bỏ để tránh biến chứng.
Hiện nay có hai phương pháp phổ biến: nhổ răng truyền thống và nhổ răng bằng sóng siêu âm Piezotome, trong đó Piezotome được ưu tiên vì ít xâm lấn, thời gian thực hiện nhanh, giảm sưng đau và phục hồi tốt hơn. Dù chỉ là tiểu phẫu, việc nhổ răng khôn vẫn cần được thực hiện bởi bác sĩ có chuyên môn và tuân thủ chăm sóc hậu phẫu để vết thương mau lành và an toàn.
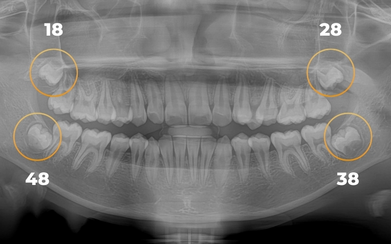
1. Răng Khôn (Răng Số 8) Là Gì?
Răng khôn (răng số 8) là chiếc răng hàm lớn mọc cuối cùng, thường xuất hiện trong độ tuổi 17 - 25 khi xương hàm đã gần như ổn định. Do không còn đủ không gian để mọc đúng vị trí, răng khôn rất dễ mọc lệch hoặc mọc ngầm, từ đó gây ra nhiều vấn đề răng miệng:
-
Răng khôn mọc lệch chèn ép răng số 7, làm yếu răng kế cận.
-
Răng khôn mọc ngầm trong xương hàm hoặc kẹt trong nướu, dễ gây viêm.
-
Sâu răng, viêm nướu, viêm nha chu quanh răng số 8.
-
Đau nhức lan sang tai, đầu hoặc thái dương.
-
Tích tụ thức ăn - hôi miệng, viêm quanh thân răng.
-
Hình thành u nang quanh răng khôn, làm tiêu xương hàm và gây biến chứng nếu không điều trị.

2. Các Trường Hợp Cần Nhổ Răng Khôn (Răng Số 8)
Không phải răng khôn nào mọc lên cũng cần phải nhổ bỏ. Tuy nhiên, bạn nên thực hiện nhổ răng số 8 càng sớm càng tốt nếu gặp các dấu hiệu sau:
2.1. Răng khôn mọc lệch gây đau hoặc chèn ép răng số 7
-
Răng mọc nghiêng đẩy vào răng số 7 có thể gây sâu răng, viêm tủy, làm yếu chân răng và nghiêm trọng hơn là mất răng số 7 nếu không xử lý kịp thời.
2.2. Răng khôn mọc ngầm hoặc không đủ chỗ để trồi lên
-
Răng bị kẹt trong nướu hoặc xương hàm thường gây viêm quanh thân răng, đau tái phát nhiều lần và dễ gây nhiễm trùng lan rộng.
2.3. Răng số 8 bị sâu, nứt vỡ hoặc viêm nha chu
-
Do nằm sâu và khó vệ sinh, răng khôn rất dễ sâu, gây viêm nướu, hôi miệng và có nguy cơ phát triển thành ổ nhiễm trùng cấp.
2.4. Xuất hiện u nang quanh răng khôn
-
U nang có thể phát triển âm thầm, làm tiêu xương hàm, đẩy lệch răng bên cạnh và gây biến dạng cấu trúc hàm nếu không điều trị.
2.5. Đau nhức kéo dài hoặc tái phát nhiều lần
-
Cơn đau tái diễn nhiều đợt là dấu hiệu cho thấy răng khôn đang gây viêm, gây áp lực hoặc có nguy cơ biến chứng sớm.
Xem Thêm: Những Biến Chứng Khi Mọc Răng Khôn? Có Nguy Hiểm Không?
3. Nhổ Răng Khôn Có Đau Không?
Nhổ răng khôn (răng số 8) thường khiến nhiều người lo lắng, nhưng thực tế mức độ đau phụ thuộc vào nhiều yếu tố như: răng mọc lệch hay mọc ngầm, tình trạng viêm nhiễm, phương pháp nhổ và tay nghề của bác sĩ. Với công nghệ hiện đại, cảm giác đau đã được giảm đáng kể.
Hiện nay, nhổ răng khôn bằng sóng siêu âm Piezotome giúp tách mô - xương chính xác, ít xâm lấn, hạn chế chảy máu và giảm sưng đau sau nhổ. Nhờ gây tê tại chỗ, hầu hết bệnh nhân không cảm thấy đau trong suốt quá trình tiểu phẫu, chỉ hơi ê hoặc sưng nhẹ từ 1 - 2 ngày, sau đó hồi phục hoàn toàn trong khoảng 3 - 7 ngày tùy cơ địa.
Tóm lại: Nhổ răng khôn KHÔNG đau nhiều như bạn nghĩ, đặc biệt khi thực hiện đúng kỹ thuật và bằng công nghệ Piezotome.
4. Các Phương Pháp Nhổ Răng Khôn Phổ Biến Hiện Nay
Hiện nay, nhổ răng khôn (răng số 8) có hai phương pháp được sử dụng phổ biến: nhổ răng truyền thống và nhổ răng bằng công nghệ sóng siêu âm Piezotome. Mỗi phương pháp có ưu - nhược điểm riêng và phù hợp với từng tình trạng răng.
4.1. Nhổ răng khôn truyền thống
Phương pháp này sử dụng dụng cụ để rạch nướu, mở xương và chia nhỏ răng nhằm lấy ra từng phần.
-
Ưu điểm: chi phí thấp, áp dụng được ở nhiều cơ sở.
-
Nhược điểm: xâm lấn nhiều hơn, dễ gây sưng đau, chảy máu và thời gian hồi phục lâu. Người bệnh có thể khó chịu từ 3 - 7 ngày sau nhổ.
4.2. Nhổ răng khôn bằng sóng siêu âm Piezotome
Piezotome là công nghệ dùng sóng siêu âm tần số cao để tách dây chằng quanh răng và mở xương một cách chính xác, không làm tổn thương mô mềm xung quanh.
Ưu điểm nổi bật của Piezotome:
-
Ít đau - ít chảy máu
-
Giảm tối đa sưng nề
-
Thời gian nhổ nhanh hơn
-
Hạn chế biến chứng sau nhổ
-
Vết thương phục hồi nhanh, ăn nhai lại sớm
Công nghệ Piezotome phù hợp cho răng khôn mọc lệch phức tạp và mọc ngầm.
5. Quy Trình Nhổ Răng Khôn (Răng Số 8 ) An Toàn
Bước 1. Thăm khám và chuẩn bị
-
Khám tổng quát: Bác sĩ kiểm tra răng miệng và đánh giá tình trạng răng khôn.
-
Chụp X-quang: Xác định vị trí, hướng mọc (lệch, ngầm), chân răng và cấu trúc xương.
-
Xét nghiệm (khi cần): Thực hiện xét nghiệm máu cho các trường hợp đặc biệt.
-
Vệ sinh - sát khuẩn: Làm sạch và khử khuẩn khoang miệng để giảm nguy cơ nhiễm trùng.
Bước 2. Gây tê
-
Bác sĩ gây tê tại chỗ để bạn không đau trong suốt quá trình nhổ. Thuốc tê thường phát huy tác dụng sau vài phút.
Bước 3. Tiến hành nhổ răng
-
Lập kế hoạch: Dựa trên phim X-quang để chọn phương pháp phù hợp.
-
Rạch nướu (nếu cần): Áp dụng cho răng mọc ngầm hoặc khó tiếp cận.
-
Chia nhỏ răng: Thực hiện khi răng lệch hoặc chân răng phức tạp để giảm sang chấn.
-
Dùng dụng cụ chuyên dụng: Nhổ răng bằng kìm - bẩy hoặc hỗ trợ bằng công nghệ siêu âm Piezotome để thao tác nhẹ nhàng và ít xâm lấn.
Bước 4. Hoàn tất - chăm sóc sau nhổ
-
Khâu vết thương: Giúp cầm máu và thúc đẩy quá trình lành thương.
-
Kê thuốc: Bác sĩ cung cấp thuốc giảm đau, kháng sinh, chống viêm.
-
Hướng dẫn chăm sóc: Dặn dò chế độ ăn, vệ sinh và lưu ý sau nhổ.
-
Tái khám: Kiểm tra lại để đảm bảo vết thương hồi phục tốt.
Xem Thêm: Quy Trình Dán Sứ Veneer Chuẩn y Khoa Tại Nha Khoa Kim Xuân

6. Hướng Dẫn Chăm Sóc Sau Khi Nhổ Răng Khôn
6.1. Vệ sinh răng miệng đúng cách
-
Không súc miệng mạnh trong 24 - 48 giờ đầu để bảo vệ cục máu đông.
-
Tránh khạc nhổ, dùng tay hoặc vật cứng chạm vào ổ răng.
6.2. Ăn uống phù hợp
-
Ưu tiên thức ăn mềm: cháo, súp, sinh tố, thức ăn xay.
-
Tránh đồ cay nóng, giòn cứng, thức ăn cần nhai nhiều.
-
Không dùng rượu bia và nước có gas trong 24 giờ đầu.
6.3. Dùng thuốc theo hướng dẫn bác sĩ
-
Uống thuốc giảm đau, kháng viêm, kháng sinh đúng liều và đúng thời gian.
6.4. Tránh thói quen gây hại
-
Không hút thuốc lá.
-
Không dùng lưỡi chạm vào vết thương hoặc ăn nhai bên răng vừa nhổ.
6.5. Khi nào cần tái khám sớm?
Liên hệ bác sĩ nếu có các dấu hiệu:
-
Đau kéo dài trên 5 - 7 ngày
-
Sưng to, chảy mủ quanh ổ răng
-
Hơi thở có mùi hôi bất thường
-
Sốt, đau lan lên thái dương hoặc xuống cổ
7. Nhổ Răng Khôn Có Nguy Hiểm Không?
Nhổ răng khôn (răng số 8) là thủ thuật an toàn khi được thực hiện bởi bác sĩ có kinh nghiệm và có phim X-quang để đánh giá vị trí, hướng mọc trước phẫu thuật. Hầu hết ca nhổ răng khôn đều diễn ra thuận lợi, ít đau và hồi phục nhanh.
Biến chứng chỉ dễ xảy ra trong các trường hợp:
-
Răng mọc lệch phức tạp hoặc mọc ngầm sát dây thần kinh.
-
Bác sĩ tay nghề kém, thao tác sai kỹ thuật.
-
Chăm sóc sai cách sau nhổ (khạc nhổ mạnh, hút thuốc, không vệ sinh đúng).
Vì vậy, lựa chọn nha khoa uy tín và tuân thủ hướng dẫn chăm sóc hậu phẫu là yếu tố quan trọng để đảm bảo an toàn và hạn chế rủi ro.
8. Chi Phí Nhổ Răng Khôn (Răng Số 8) Giá Bao Nhiêu?
Hiện nay, chi phí nhổ răng khôn (răng số 8) thường dao động từ 1.000.000 - 3.000.000 đồng cho mỗi răng. Chi phí phụ thuộc vào tình trạng răng mức độ mọc thẳng, mọc lệch hay mọc ngầm và phương pháp nhổ:
Bảng giá tham khảo tại nha khoa Kim Xuân:
-
Răng khôn mọc thẳng: 1.000.000 - 1.500.000 VND / 1 đơn vị
-
Răng khôn mọc lệch, kẹt: 2.000.000 - 3.000.000 VND / 1 đơn vị
-
Răng khôn mọc ngầm: 3.000.000 VND / 1 đơn vị
(Giá có thể thay đổi tùy mức độ khó và từng nha khoa.)
Xem Thêm: Giá Nhổ Răng Khôn Bao Nhiêu Tiền?
Xem Thêm: Nhổ Răng Sâu Giá Bao Nhiêu?
Câu Hỏi Thường Gặp?
1. Nhổ răng khôn bao lâu thì lành?
-
Thông thường, vùng nhổ giảm sưng sau 3 - 5 ngày, mô mềm hồi phục trong 7 - 10 ngày và xương ổn định sau 2 - 4 tuần tùy cơ địa.
2. Nhổ răng số 8 có cần nhịn ăn không?
-
Không cần nhịn ăn. Tuy nhiên, bạn nên ăn nhẹ trước khi đến nha khoa để tránh mệt và giúp quá trình gây tê diễn ra thuận lợi.
3. Có nên nhổ răng khôn khi không đau?
-
Nên nhổ nếu răng khôn mọc lệch, mọc ngầm, đâm vào răng số 7 hoặc có nguy cơ gây viêm nhiễm. Nhổ sớm giúp tránh biến chứng về sau.
4. Nhổ răng khôn có sưng không?
-
Rất có thể sưng nhẹ trong 1 - 3 ngày, đặc biệt với răng mọc lệch sâu hoặc mọc ngầm. Sưng sẽ giảm nhanh nếu chăm sóc đúng cách.
Kết Luận
Nhổ răng khôn (răng số 8) là giải pháp an toàn và cần thiết khi răng mọc lệch, gây đau, viêm nướu hoặc đe dọa đến răng số 7. Việc lựa chọn đúng phương pháp nhổ và chăm sóc sau nhổ răng khôn đúng cách sẽ giúp bạn giảm đau, giảm sưng và rút ngắn thời gian hồi phục đáng kể.
Nếu bạn đang gặp tình trạng đau răng khôn, viêm nướu tái phát hoặc nghi ngờ răng khôn mọc lệch - mọc ngầm, hãy liên hệ Nha khoa Kim Xuân để được thăm khám và chụp phim X-quang đánh giá chính xác vị trí răng. Bác sĩ sẽ tư vấn phương pháp nhổ răng khôn phù hợp, an toàn và hạn chế sưng đau tối đa.
Khám sớm giúp bạn ngăn ngừa biến chứng, bảo vệ răng số 7 và đảm bảo quá trình hồi phục diễn ra nhanh chóng hơn.
Nha Khoa Kim Xuân - Bình Thạnh TP. HCM
Địa Chỉ: 165 Ngô Tất Tố, Phường Thạnh Mỹ Tây, Tp Hồ Chí Minh
Hotline: 0899 922 668 (Viber, Zalo, FaceTime)
ZaLo: https://zalo.me/nhakhoakimxuan
WebSite: https://nhakhoakimxuan.com.vn

