Cạo vôi răng là thủ thuật nha khoa giúp loại bỏ mảng bám và cao răng tích tụ trên bề mặt răng và dưới nướu - nguyên nhân chính gây hôi miệng, viêm nướu và viêm nha chu. Tuy nhiên, nhiều người vẫn băn khoăn liệu cạo vôi răng có đau không, bao lâu nên thực hiện một lần và chi phí có đắt không.
Thực tế, cao răng đã cứng lại thì không thể làm sạch bằng bàn chải thông thường. Nếu không được loại bỏ kịp thời, vi khuẩn sẽ phát triển mạnh, gây ảnh hưởng nghiêm trọng đến sức khỏe răng miệng. Trong bài viết này, bạn sẽ hiểu rõ cạo vôi răng là gì, quy trình thực hiện, giá bao nhiêu, cũng như cách phòng ngừa cao răng tái bám hiệu quả.

1. Cạo Vôi Răng Là Gì?
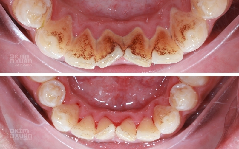
Cạo vôi răng (lấy cao răng) là thủ thuật nha khoa giúp loại bỏ lớp mảng bám và cao răng đã tích tụ lâu ngày trên bề mặt răng và dưới nướu. Đây là nguyên nhân chính gây hôi miệng, viêm nướu và viêm nha chu nếu không được làm sạch kịp thời.
Nhiều người thắc mắc cạo vôi răng có đau không hoặc có cần thiết không. Thực tế, khi mảng bám đã bị vôi hóa, bạn không thể làm sạch bằng bàn chải hay chỉ nha khoa thông thường. Lúc này, bác sĩ sẽ sử dụng thiết bị siêu âm chuyên dụng để loại bỏ cao răng một cách nhẹ nhàng và an toàn.
Việc lấy cao răng giúp làm sạch khoang miệng, giảm hôi miệng, ngăn ngừa viêm nha chu và hạn chế nguy cơ tiêu xương gây mất răng. Đây là bước quan trọng để duy trì sức khỏe răng miệng lâu dài.
Phân biệt:
-
Mảng bám mềm: dễ làm sạch bằng chải răng và chỉ nha khoa
-
Vôi răng: đã cứng và bám sâu, chỉ có thể loại bỏ bằng máy siêu âm hoặc dụng cụ nha khoa chuyên dụng

2. Dấu Hiệu Nhận Biết Cần Lấy Cao Răng Ngay
Khi nào cần lấy cao răng? Nếu bạn gặp các dấu hiệu dưới đây, rất có thể cao răng đã tích tụ nhiều và cần được làm sạch sớm để tránh biến chứng nguy hiểm.
Cao răng tồn tại lâu ngày là nguyên nhân chính gây viêm nướu, hôi miệng và thậm chí làm răng lung lay nếu không được xử lý kịp thời.
Bạn nên đi cạo vôi răng ngay khi có các dấu hiệu sau:
-
Nướu dễ chảy máu khi chải răng hoặc dùng chỉ nha khoa
-
Hơi thở có mùi dù đã vệ sinh răng miệng kỹ
-
Nướu sưng đỏ, đau hoặc khó chịu khi ăn nhai
-
Xuất hiện mảng vôi màu vàng hoặc nâu bám quanh viền nướu
-
Răng có cảm giác lung lay nhẹ, không chắc như trước
-
Tụt nướu, lộ cổ răng khiến răng trông dài hơn
Những biểu hiện trên thường là dấu hiệu sớm của viêm nướu hoặc viêm nha chu do cao răng tích tụ lâu ngày. Việc lấy cao răng đúng thời điểm sẽ giúp ngăn ngừa bệnh tiến triển nặng hơn và giữ cho nướu luôn khỏe mạnh.
Xem Thêm: Tụt Lợi Chân Răng Có Tự Khỏi Không?
3. Quy Trình Cạo Vôi Răng Chuẩn Y Khoa
Quy trình cạo vôi răng bằng máy siêu âm hiện nay diễn ra nhanh chóng, chỉ khoảng 15 - 20 phút và hầu như không gây đau nếu được thực hiện đúng kỹ thuật. Dưới đây là các bước chuẩn y khoa giúp làm sạch cao răng an toàn và hiệu quả:
3.1. Khám và đánh giá tình trạng răng nướu
-
Bác sĩ kiểm tra mức độ cao răng, tình trạng nướu, độ sâu túi nha chu và mức độ viêm hiện tại. Từ đó đưa ra phương án làm sạch phù hợp cho từng trường hợp.
3.2. Cạo vôi bằng máy siêu âm
-
Đầu siêu âm rung với tần số cao giúp phá vỡ lớp cao răng cứng mà không làm ảnh hưởng đến men răng. Đồng thời, tia nước đi kèm sẽ rửa trôi mảng bám và làm sạch cả vùng dưới nướu.
3.3. Đánh bóng bề mặt răng
-
Sau khi loại bỏ cao răng, bác sĩ tiến hành đánh bóng để làm mịn bề mặt răng, giúp hạn chế mảng bám quay trở lại và tăng tính thẩm mỹ.
3.4. Hướng dẫn chăm sóc sau khi cạo vôi
Người bệnh sẽ được hướng dẫn vệ sinh răng miệng đúng cách như:
-
Sử dụng bàn chải lông mềm
-
Dùng chỉ nha khoa hoặc tăm nước mỗi ngày
-
Súc miệng bằng dung dịch kháng khuẩn khi cần
Việc tuân thủ đúng hướng dẫn sau khi lấy cao răng sẽ giúp duy trì hiệu quả lâu dài và hạn chế cao răng tái bám.
4. Tại Sao Phải Lấy Vôi Răng Định Kỳ?
Có nên cạo vôi răng định kỳ không? Câu trả lời là rất cần thiết nếu bạn muốn duy trì hàm răng khỏe mạnh và tránh các bệnh lý nguy hiểm.
Cao răng tích tụ lâu ngày chính là nguyên nhân hàng đầu gây viêm nướu, hôi miệng và thậm chí dẫn đến mất răng nếu không được xử lý kịp thời. Dưới đây là những lý do bạn không nên bỏ qua việc lấy cao răng định kỳ:
4.1. Ngăn ngừa viêm nướu và viêm nha chu
-
Cao răng là nơi trú ngụ của hàng triệu vi khuẩn gây viêm. Nếu không loại bỏ, chúng sẽ tấn công mô nướu, gây sưng đỏ, chảy máu và tiến triển thành viêm nha chu - bệnh lý có thể dẫn đến tiêu xương và mất răng.
4.2. Giảm hôi miệng hiệu quả
-
Vi khuẩn kỵ khí trong cao răng tạo ra các hợp chất gây mùi khó chịu. Lấy vôi răng giúp loại bỏ tận gốc nguyên nhân gây hôi miệng, mang lại hơi thở thơm tho hơn.
4.3. Hạn chế tiêu xương và nguy cơ rụng răng
-
Khi vi khuẩn tích tụ lâu ngày, chúng phá hủy mô nha chu và xương ổ răng, khiến răng lung lay và dễ rụng sớm. Lấy cao răng định kỳ là cách bảo vệ răng chắc khỏe lâu dài.
4.4. Giúp răng sạch và sáng hơn
-
Sau khi cạo vôi, bề mặt răng được làm sạch và đánh bóng, giúp loại bỏ các mảng ố vàng và cải thiện tính thẩm mỹ tự nhiên.
4.5. Tăng hiệu quả các điều trị nha khoa
-
Cao răng nhiều có thể gây viêm nướu, ảnh hưởng đến niềng răng, implant hoặc dán sứ veneer. Làm sạch định kỳ giúp quá trình điều trị diễn ra thuận lợi và đạt kết quả tốt hơn.
Vì vậy, việc cạo vôi răng định kỳ không chỉ giúp làm sạch mà còn là bước quan trọng để bảo vệ toàn diện sức khỏe răng miệng.
Xem Thêm: Răng Ố Vàng Nguyên Nhân Và Cách Điều Trị?
Xem Thêm: Lấy Cao Răng Có Tốt Không?
5. Bao Lâu Cạo Vôi Răng Một Lần
Bao lâu nên lấy cao răng? Theo khuyến nghị của nha sĩ, bạn nên cạo vôi răng định kỳ từ 3 - 6 tháng/lần để duy trì sức khỏe răng miệng và ngăn ngừa bệnh lý.
Tuy nhiên, tần suất cụ thể sẽ phụ thuộc vào tình trạng răng miệng của từng người:
5.1. Người bình thường
-
Nên lấy cao răng mỗi 3 - 6 tháng/lần để giữ nướu khỏe mạnh và hạn chế mảng bám tích tụ.
5.2. Người hút thuốc, vệ sinh răng miệng kém hoặc đang viêm nướu
-
Cần cạo vôi răng thường xuyên hơn, khoảng 2 - 3 tháng/lần do mảng bám hình thành nhanh.
5.3. Người đang niềng răng
-
Nên làm sạch định kỳ khoảng 2 tháng/lần vì mắc cài và dây cung dễ giữ thức ăn, tạo điều kiện cho cao răng phát triển.
5.4. Trẻ em
-
Trẻ có thể cần lấy cao răng sớm nếu bề mặt răng bám bẩn nhiều hoặc việc vệ sinh răng miệng chưa tốt.
Việc khám răng và cạo vôi định kỳ không chỉ giúp làm sạch cao răng mà còn giúp phát hiện sớm sâu răng, viêm nướu và các vấn đề răng miệng khác để điều trị kịp thời.
Xem Thêm: Lấy Tủy Răng (Chữa Tủy) Giá bao Nhiêu?
6. Cạo Vôi Răng Có Đau Không? Có Làm Mòn Răng Men Răng Không?
Cạo vôi răng có đau không? Câu trả lời là hầu như không đau và không làm mòn men răng nếu được thực hiện đúng kỹ thuật bằng máy siêu âm hiện đại.
Phương pháp này sử dụng đầu siêu âm rung ở tần số cao để làm bong lớp cao răng cứng mà không tác động đến cấu trúc răng thật. Nhờ đó, quá trình làm sạch diễn ra nhẹ nhàng, an toàn và không xâm lấn.
Đối với người có răng nhạy cảm, có thể xuất hiện cảm giác ê buốt nhẹ trong lúc thực hiện hoặc vài giờ sau đó. Tuy nhiên, đây là phản ứng bình thường và sẽ nhanh chóng biến mất trong ngày.
Ngoài ra, tia nước đi kèm đầu siêu âm còn giúp làm mát, giảm ma sát và hạn chế tối đa cảm giác khó chịu trong suốt quá trình cạo vôi răng.
Vì vậy, bạn có thể yên tâm rằng cạo vôi răng là phương pháp nhanh - an toàn - không gây hại cho men răng, phù hợp với hầu hết mọi người và nên thực hiện định kỳ để bảo vệ sức khỏe răng miệng.
Xem Thêm: Mất Răng Số 6 Có Sao Không?
Xem Thêm: Lấy Cao Răng Có Đau Không? Có Ảnh Hưởng Đến Men Răng Không?
7. Cạo Vôi Răng Giá Bao Nhiêu Tiền?
Cạo vôi răng giá bao nhiêu? Thông thường, chi phí dao động khoảng 300.000 - 800.000đ / 2 hàm, tùy vào mức độ cao răng và phương pháp làm sạch.
Cụ thể:
Cạo vôi - đánh bóng bằng máy siêu âm: 300.000đ / 2 hàm
-
Phù hợp với trường hợp cao răng nhẹ đến trung bình. Đây là phương pháp phổ biến, giúp làm sạch mảng bám và đánh bóng bề mặt răng hiệu quả.
Cạo vôi dưới nướu (Deep Clean): 800.000đ / 2 hàm
-
Áp dụng cho người bị viêm nướu, viêm nha chu hoặc có cao răng bám sâu dưới nướu. Phương pháp này giúp làm sạch toàn diện và ngăn bệnh tiến triển nặng hơn.
So với các dịch vụ nha khoa khác, chi phí cạo vôi răng khá thấp nhưng mang lại hiệu quả lớn trong việc bảo vệ sức khỏe răng miệng.
Lưu ý: Trong trường hợp viêm nha chu nặng, bác sĩ có thể chỉ định thêm các bước điều trị chuyên sâu như bào láng chân răng hoặc xử lý túi nha chu. Chi phí sẽ được tư vấn cụ thể trước khi thực hiện.
Xem Thêm: Lấy Cao Răng Giá Bao Nhiêu Tại TP. HCM
Xem Thêm: Còn Chân Răng Có Bị Tiêu Xương Hàm Không?

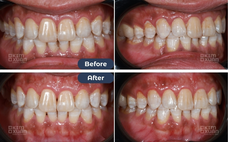
8. Cạo Vôi Răng Có Giúp Trắng Răng Không?
Cạo vôi răng có làm trắng răng không? Câu trả lời là không làm trắng bật tông, nhưng sẽ giúp răng sáng và sạch hơn rõ rệt.
Nguyên nhân là do quá trình cạo vôi răng giúp loại bỏ lớp mảng bám vàng nâu, cao răng cứng và các vết ố tích tụ lâu ngày trên bề mặt răng. Nhờ đó, răng sẽ trở lại màu men tự nhiên và trông trắng sáng hơn trước.
Tuy nhiên, cần phân biệt rõ:
-
Cạo vôi răng: chỉ làm sạch mảng bám và cải thiện màu sắc tự nhiên
-
Tẩy trắng răng: giúp răng trắng bật tông bằng công nghệ chuyên sâu
Nếu bạn muốn răng trắng sáng rõ rệt hơn, nên kết hợp thêm các phương pháp tẩy trắng răng tại nha khoa như laser, đèn Zoom hoặc máng tẩy tại nhà theo hướng dẫn của bác sĩ.
Xem Thêm: Cạo Vôi Răng, Tẩy Trắng Răng Giá Bao Nhiêu Tiền? Bảng Giá Chi Tiết
9. Cách Ngăn Ngừa Vôi Răng Tái Bám
Làm sao để không bị cao răng trở lại sau khi cạo vôi? Nếu không chăm sóc đúng cách, mảng bám có thể tích tụ lại rất nhanh chỉ sau một thời gian ngắn.
Để hạn chế cao răng tái bám hiệu quả, bạn nên duy trì các thói quen sau:
-
Đánh răng 2 lần/ngày bằng bàn chải lông mềm và chải đúng kỹ thuật, đặc biệt ở vùng viền nướu - nơi dễ tích tụ mảng bám
-
Sử dụng chỉ nha khoa hoặc tăm nước mỗi tối để làm sạch kẽ răng - vị trí bàn chải không thể chạm tới
-
Hạn chế đồ ngọt, nước có gas và thuốc lá vì chúng làm tăng tốc độ hình thành cao răng và gây ố vàng răng
-
Khám răng định kỳ 3 - 6 tháng/lần để lấy cao răng kịp thời và kiểm tra sức khỏe răng miệng
Việc duy trì các thói quen này không chỉ giúp răng luôn sạch khỏe mà còn giảm nguy cơ mắc các bệnh lý như viêm nướu, viêm nha chu và hạn chế phải điều trị phức tạp về sau.

Kết Luận
Cạo vôi răng là một thủ thuật đơn giản nhưng đóng vai trò rất quan trọng trong việc bảo vệ sức khỏe răng miệng. Việc lấy cao răng định kỳ không chỉ giúp ngăn ngừa viêm nướu - viêm nha chu mà còn giảm hôi miệng, hạn chế tiêu xương hàm và duy trì hàm răng chắc khỏe lâu dài.
Duy trì thói quen chăm sóc răng miệng đúng cách kết hợp với cạo vôi răng mỗi 3 - 6 tháng/lần sẽ giúp bạn bảo vệ nụ cười một cách toàn diện và hiệu quả.
Nếu bạn đang gặp tình trạng hôi miệng, chảy máu chân răng hoặc thấy cao răng tích tụ nhiều, đừng nên trì hoãn. Việc lấy cao răng sớm sẽ giúp bạn tránh được những vấn đề nghiêm trọng hơn về sau.
Hãy đến Nha Khoa Kim Xuân để được kiểm tra và cạo vôi răng bằng công nghệ siêu âm hiện đại, an toàn - nhẹ nhàng - không đau.
Tại đây, bạn sẽ được thăm khám bởi đội ngũ bác sĩ giàu kinh nghiệm, quy trình chuẩn y khoa và chi phí minh bạch. Liên hệ ngay hôm nay để đặt lịch và chăm sóc răng miệng định kỳ!
Nha Khoa Kim Xuân - Bình Thạnh TP. HCM
Địa Chỉ: 165 Ngô Tất Tố, Phường Thạnh Mỹ Tây, Tp Hồ Chí Minh
Hotline: 0899 922 668 (Viber, Zalo, FaceTime)
ZaLo: https://zalo.me/nhakhoakimxuan
WebSite: https://nhakhoakimxuan.com.vn
