Răng Khôn Mọc Ngầm: Dấu Hiệu Nhận Biết, Mức Độ Nguy Hiểm Và Cách Xử Lý
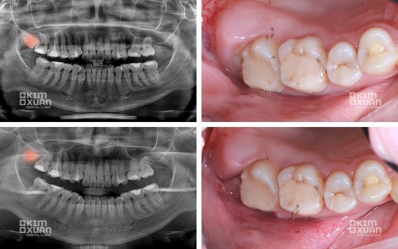
Răng khôn mọc ngầm là tình trạng thường gặp ở người trưởng thành, xảy ra khi răng số 8 không thể trồi lên hoàn toàn do thiếu chỗ trên cung hàm. Nhiều trường hợp không có triệu chứng rõ ràng, trong khi một số người lại bị đau nhức, sưng viêm tái phát kéo dài. Chính sự “âm thầm” này khiến răng khôn mọc ngầm dễ bị bỏ qua và chỉ được phát hiện khi đã gây biến chứng như viêm lợi, hôi miệng, đau lan lên đầu hoặc ảnh hưởng đến răng số 7 kế cận.
Vậy răng khôn mọc ngầm là gì, đâu là dấu hiệu nhận biết sớm và khi nào cần can thiệp để tránh rủi ro? Bài viết dưới đây sẽ giúp bạn hiểu rõ bản chất vấn đề và chủ động bảo vệ sức khỏe răng miệng.

1. Răng Khôn Mọc Ngầm Là Gì?
Răng khôn, hay còn gọi là răng số 8, là chiếc răng mọc sau cùng trên cung hàm, thường xuất hiện trong độ tuổi từ 17 - 25. Khi xương hàm đã phát triển ổn định và không còn đủ khoảng trống, răng khôn rất dễ gặp tình trạng mọc bất thường.
Răng khôn được gọi là mọc ngầm khi:
-
Răng không thể trồi lên khỏi nướu
-
Bị kẹt hoàn toàn hoặc một phần trong xương hàm
-
Mọc lệch, mọc xiên hoặc đâm ngang về phía răng kế cận
Tình trạng này có thể xảy ra ở cả hàm trên và hàm dưới, tuy nhiên răng khôn mọc ngầm ở hàm dưới thường gặp hơn và dễ gây biến chứng hơn.
Xem Thêm: Nhổ Răng Khôn Khi Nào? Quy Trình Nhổ Răng Khôn Chuẩn Y Khoa

2. Dấu Hiệu Nhận Biết Răng Khôn Mọc Ngầm
Không phải lúc nào răng khôn mọc ngầm cũng gây đau dữ dội ngay từ đầu. Một số dấu hiệu thường gặp gồm:
2.1. Đau âm ỉ vùng hàm trong cùng
-
Cơn đau có thể xuất hiện theo từng đợt, tăng lên khi ăn nhai, há miệng lớn hoặc khi cơ thể mệt mỏi.
2.2. Nướu sưng đỏ, căng cứng
-
Phần nướu tại vị trí răng khôn có thể sưng, đỏ và đau khi chạm vào. Tình trạng này có thể giảm rồi tái phát nhiều lần.
2.3. Khó há miệng, cứng hàm
-
Viêm quanh răng khôn mọc ngầm có thể khiến cơ hàm co cứng, gây khó khăn khi nói chuyện hoặc ăn uống.
2.4. Hôi miệng kéo dài
-
Do răng khôn nằm sâu và khó vệ sinh, thức ăn dễ mắc kẹt, tạo điều kiện cho vi khuẩn phát triển gây mùi khó chịu.
2.5. Đau lan lên tai, thái dương hoặc đầu
-
Ở một số trường hợp, áp lực từ răng khôn mọc ngầm có thể ảnh hưởng đến dây thần kinh xung quanh, khiến cơn đau lan rộng.

3. Răng Khôn Mọc Ngầm Có Nguy Hiểm Không?
Câu trả lời là có thể nguy hiểm nếu không được theo dõi và xử lý kịp thời. Trên thực tế, răng khôn mọc ngầm có thể gây ra nhiều biến chứng như:
-
Viêm nướu tái phát nhiều lần
-
Sâu răng hoặc tổn thương răng số 7 kế cận
-
Tiêu xương hàm quanh răng khôn
-
Hình thành nang quanh thân răng
-
Ảnh hưởng đến dây thần kinh (hiếm gặp)
Chính vì vậy, ngay cả khi chưa xuất hiện đau nhức rõ rệt, răng khôn mọc ngầm vẫn cần được kiểm tra định kỳ để phát hiện sớm và phòng ngừa biến chứng.
Xem Thêm: Còn Chân Răng Có Bị Tiêu Xương Hàm Không?
Xem Thêm: Tiêu Xương Hàm Có Trồng Răng Implant Được Không?

4. Khi Nào Cần Nhổ Răng Khôn Mọc Ngầm?
Không phải tất cả các trường hợp răng khôn mọc ngầm đều bắt buộc phải nhổ. Tuy nhiên, bác sĩ thường chỉ định can thiệp khi răng khôn gây ảnh hưởng đến sức khỏe răng miệng, cụ thể như:
-
Răng gây đau nhức, sưng viêm tái phát nhiều lần
-
Răng khôn chèn ép hoặc làm tổn thương răng bên cạnh
-
Có nguy cơ biến chứng liên quan đến xương hàm hoặc mô nướu
-
Răng nằm ở vị trí khó vệ sinh, dễ tích tụ thức ăn và nhiễm trùng
Việc nhổ răng khôn mọc ngầm đúng thời điểm, khi răng chưa gây biến chứng nặng, sẽ giúp quá trình điều trị nhẹ nhàng hơn và rút ngắn thời gian hồi phục.
5. Nhổ Răng Khôn Mọc Ngầm Giá Bao Nhiêu 2026 Tại TP. HCM
Chi phí nhổ răng khôn mọc ngầm thường cao hơn so với răng khôn mọc thẳng hoặc mọc lệch do kỹ thuật can thiệp phức tạp hơn. Hiện nay, giá nhổ răng khôn mọc ngầm dao động khoảng 3.000.000 VNĐ cho 1 răng.
Mức chi phí này có thể thay đổi tùy theo vị trí răng (hàm trên hoặc hàm dưới), mức độ mọc ngầm, hướng mọc của răng, tình trạng viêm nhiễm cũng như tay nghề bác sĩ và trang thiết bị hỗ trợ. Để biết chính xác chi phí, người bệnh nên thăm khám trực tiếp và chụp X-quang nhằm đánh giá cụ thể tình trạng răng khôn trước khi chỉ định nhổ.
Bảng Giá Nhổ Răng Khôn Theo Mức Độ Mọc
-
Răng khôn mọc thẳng giá từ 1.000.000 - 1.500.000 VNĐ/1 Răng
-
Răng khôn mọc lệch, kẹt giá từ 2.000.000 - 3.000.000 VNĐ/1 Răng
-
Răng khôn mọc ngầm giá 3.000.000 VNĐ/1 Răng
Xem Thêm: Nhổ Răng Sâu Giá Bao Nhiêu 2026 Tại TP. HCM

6. Cách Nhận Biết Răng Khôn Mọc Ngầm Chính Xác
Để xác định răng khôn mọc ngầm, cần thực hiện các bước sau:
-
Thăm khám nha khoa định kỳ nhằm kiểm tra tình trạng nướu, vị trí răng khôn và phát hiện sớm các dấu hiệu bất thường.
-
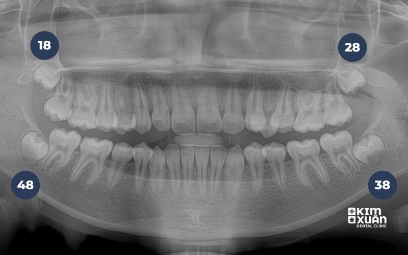
Chụp X-quang răng để xác định chính xác vị trí răng khôn trong xương hàm, hướng mọc, mức độ mọc ngầm và mức độ ảnh hưởng đến răng kế cận.
-
Đánh giá tổng thể kết quả kiểm tra, từ đó bác sĩ sẽ tư vấn phương án theo dõi hoặc chỉ định điều trị phù hợp với từng trường hợp cụ thể.
Trong nhiều trường hợp, răng khôn mọc ngầm không gây đau nhức rõ ràng nên rất khó nhận biết bằng mắt thường hoặc tự kiểm tra tại nhà. Vì vậy, thăm khám nha khoa kết hợp chụp X-quang vẫn là phương pháp chính xác và an toàn nhất để phát hiện sớm và phòng ngừa biến chứng.

7. Lời Khuyên Giúp Phòng Tránh Biến Chứng Khi Mọc Răng Khôn
Để hạn chế nguy cơ biến chứng do răng khôn, bạn nên lưu ý những vấn đề sau:
-
Không chủ quan với các cơn đau vùng hàm sau, đặc biệt khi tình trạng đau tái phát nhiều lần hoặc kèm sưng viêm.
-
Giữ vệ sinh răng miệng kỹ lưỡng, chú trọng làm sạch khu vực răng khôn để hạn chế thức ăn mắc kẹt và vi khuẩn tích tụ.
-
Khám răng định kỳ 6 tháng/lần để theo dõi sự mọc của răng khôn và phát hiện sớm các bất thường.
-
Xử lý sớm khi xuất hiện dấu hiệu bất thường, giúp ngăn ngừa biến chứng phức tạp và giảm nguy cơ phải can thiệp điều trị khó khăn về sau.
Kết Luận
Răng khôn mọc ngầm là tình trạng thường gặp nhưng không nên xem nhẹ. Việc nhận biết sớm các dấu hiệu, theo dõi răng khôn định kỳ và can thiệp đúng thời điểm sẽ giúp hạn chế biến chứng, bảo vệ răng kế cận và duy trì sức khỏe răng miệng lâu dài.
Nếu bạn đang nghi ngờ răng khôn mọc ngầm hoặc gặp các triệu chứng bất thường, nên chủ động thăm khám tại Nha khoa Kim Xuân để được kiểm tra, chụp X-quang và tư vấn hướng xử lý phù hợp, an toàn cho từng trường hợp cụ thể.
Hãy liên hệ nha khoa Kim Xuân để được tư vấn và thăm khám miễn phí!
Nha Khoa Kim Xuân - Bình Thạnh TP. HCM
Địa Chỉ: 165 Ngô Tất Tố, Phường Thạnh Mỹ Tây, Tp Hồ Chí Minh
Hotline: 0899 922 668 (Viber, Zalo, FaceTime)
ZaLo: https://zalo.me/nhakhoakimxuan
WebSite: https://nhakhoakimxuan.com.vn