Niềng răng trẻ em là phương pháp chỉnh nha giúp sắp xếp răng mọc lệch, chen chúc, hô, móm… về đúng vị trí trên cung hàm, từ đó cải thiện thẩm mỹ khuôn mặt, khả năng ăn nhai và phát âm cho trẻ. Việc can thiệp chỉnh nha sớm còn giúp xương hàm phát triển cân đối, rút ngắn thời gian điều trị và giảm nguy cơ phải nhổ răng hoặc phẫu thuật hàm khi trẻ trưởng thành.
Tuy nhiên, niềng răng trẻ em giá bao nhiêu tiền, chi phí có cao không và nên chọn phương pháp niềng răng nào phù hợp với từng độ tuổi vẫn là băn khoăn lớn của nhiều phụ huynh. Trong bài viết này, bác sĩ chỉnh nha sẽ giúp bạn hiểu rõ bảng giá niềng răng cho trẻ em hiện nay, các phương pháp phổ biến và cách lựa chọn giải pháp tối ưu nhất cho con.

1. Niềng Răng Trẻ Em Giá Bao Nhiêu Tiền 2026
Trên thực tế, niềng răng trẻ em giá bao nhiêu tiền không có một mức cố định. Chi phí niềng răng cho trẻ em sẽ dao động tùy theo phương pháp chỉnh nha, mức độ sai lệch răng - khớp cắn và thời điểm can thiệp sớm hay muộn.
Mức giá niềng răng trẻ em tham khảo hiện nay
-
Niềng răng mắc cài kim loại cho trẻ em: 15.000.000 - 30.000.000 VNĐ
-
Niềng răng mắc cài sứ cho trẻ em: 35.000.000 - 45.000.000 VNĐ
-
Niềng răng máng trong suốt cho trẻ em (Invisalign): 40.000.000 - 90.000.000 VNĐ
Nhìn chung, chi phí niềng răng trẻ em thường thấp hơn so với người lớn, do răng và xương hàm còn đang phát triển, dễ dịch chuyển và thời gian điều trị ngắn hơn nếu can thiệp đúng giai đoạn.
Xem Thêm: Niềng Răng Móm Giá Bao Nhiêu? Các Yếu Tố Ảnh Hưởng Đến Chi Phí

2. Các Yếu Tố Ảnh Hưởng Đến Chi Phí Niềng Răng Cho Trẻ Em
Chi phí niềng răng trẻ em giá bao nhiêu tiền sẽ khác nhau ở mỗi trường hợp, do phụ thuộc vào nhiều yếu tố sau:
Độ tuổi bắt đầu niềng răng:
-
Trẻ được can thiệp sớm (giai đoạn răng hỗn hợp) thường có chi phí thấp hơn vì răng dễ dịch chuyển, thời gian điều trị ngắn và ít phải sử dụng khí cụ phức tạp.
Mức độ lệch răng, sai khớp cắn:
-
Trường hợp răng chen chúc nhẹ, hô hoặc móm mức độ thấp sẽ có chi phí thấp hơn so với các ca sai khớp cắn nặng, cần điều chỉnh xương hàm hoặc phối hợp nhiều khí cụ.
Phương pháp chỉnh nha được lựa chọn:
-
Mỗi phương pháp như khí cụ tháo lắp, mắc cài kim loại hay Invisalign cho trẻ em sẽ có mức chi phí khác nhau, tùy vào công nghệ và vật liệu sử dụng.
Thời gian điều trị dự kiến:
-
Thời gian niềng răng càng dài thì chi phí theo dõi, tái khám và điều chỉnh khí cụ càng cao.
Tình trạng răng miệng ban đầu:
-
Nếu trẻ đang gặp các vấn đề như sâu răng, viêm nướu, viêm tủy…, cần điều trị ổn định trước khi niềng răng, từ đó làm phát sinh thêm chi phí.
Để biết chính xác niềng răng trẻ em giá bao nhiêu, phụ huynh nên đưa trẻ đến cơ sở nha khoa uy tín để thăm khám, chụp phim và nhận phác đồ điều trị cá nhân hóa từ bác sĩ chỉnh nha, giúp đảm bảo chi phí hợp lý và hiệu quả lâu dài cho sự phát triển răng hàm của trẻ.
Xem Thêm: 20 Tuổi Niềng Răng Giá Bao Nhiêu?
3. Các Phương Pháp Niềng Răng Trẻ Em Phổ Biến Hiện Nay
Tùy theo độ tuổi, tình trạng răng - khớp cắn và mức độ sai lệch, bác sĩ chỉnh nha sẽ chỉ định phương pháp niềng răng trẻ em phù hợp. Hiện nay, có 3 nhóm phương pháp niềng răng cho trẻ em phổ biến như sau:
3.1. Khí cụ chỉnh nha tăng trưởng (niềng răng sớm cho trẻ)
Phương pháp này phù hợp với trẻ từ 7 - 9 tuổi, khi răng sữa và răng vĩnh viễn cùng tồn tại (giai đoạn răng hỗn hợp). Bác sĩ sẽ sử dụng hàm tháo lắp hoặc khí cụ chức năng nhằm:
-
Định hướng sự phát triển của xương hàm
-
Tạo khoảng trống cho răng vĩnh viễn mọc đúng vị trí
-
Giảm nguy cơ hô, móm nặng khi trẻ trưởng thành
Ưu điểm:
-
Chi phí thấp
-
Can thiệp sớm, ít xâm lấn
-
Giúp giảm thời gian và chi phí niềng răng về sau
Nhược điểm:
-
Hiệu quả phụ thuộc nhiều vào sự hợp tác của trẻ (đeo khí cụ đúng thời gian)
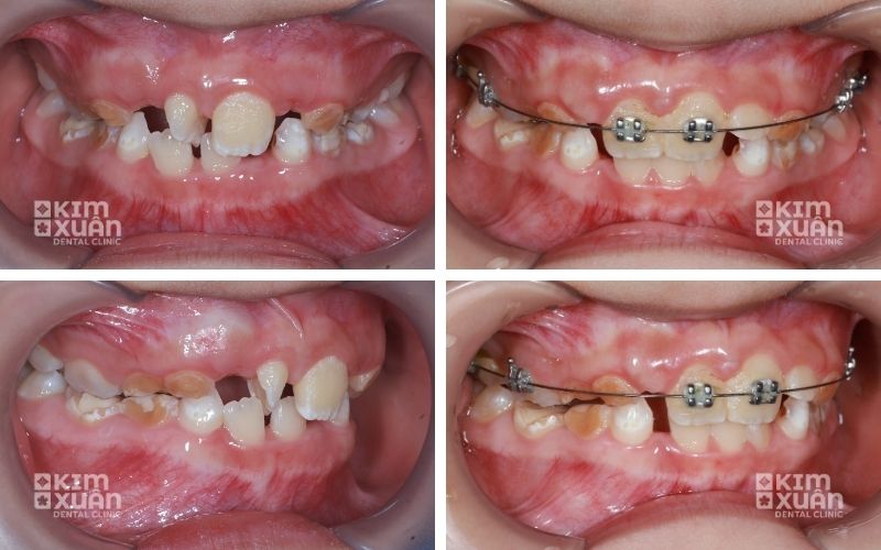
3.2. Niềng răng mắc cài cố định cho trẻ em
Niềng răng mắc cài thường được áp dụng cho trẻ từ 12 - 16 tuổi, khi răng vĩnh viễn đã mọc tương đối đầy đủ. Bác sĩ sẽ gắn mắc cài và dây cung cố định trên răng để tạo lực kéo, giúp răng di chuyển từng bước về vị trí chuẩn trên cung hàm.
Ưu điểm:
-
Hiệu quả cao, kiểm soát tốt lực kéo
-
Xử lý được cả các trường hợp sai lệch răng và khớp cắn phức tạp
Nhược điểm:
-
Tính thẩm mỹ thấp hơn
-
Vệ sinh răng miệng khó hơn, cần chăm sóc kỹ
3.3. Niềng răng Invisalign cho trẻ em
Niềng răng Invisalign cho trẻ em sử dụng khay trong suốt tháo lắp, được thiết kế cá nhân hóa theo từng giai đoạn dịch chuyển răng. Phương pháp này thường phù hợp với trẻ từ 9 - 12 tuổi, trong các trường hợp sai lệch răng mức độ nhẹ đến trung bình.
Ưu điểm:
-
Thẩm mỹ cao, khó nhận biết khi đeo
-
Dễ tháo lắp, thuận tiện vệ sinh răng miệng
-
Ít gây cộm vướng, thoải mái cho trẻ
Nhược điểm:
-
Chi phí cao hơn các phương pháp khác
-
Cần trẻ tuân thủ đeo khay đủ 20 - 22 giờ/ngày để đạt hiệu quả
Xem Thêm: 30 Tuổi Niềng Răng Có Được Không?

4. Có Nên Niềng Răng Sớm Cho Trẻ Em Không?
Theo khuyến cáo của Hiệp hội Chỉnh nha Hoa Kỳ, trẻ nên được khám chỉnh nha lần đầu từ khoảng 7 tuổi nhằm sớm phát hiện các vấn đề sai lệch răng và xương hàm, từ đó can thiệp đúng thời điểm.
Lợi ích của việc niềng răng sớm cho trẻ em
Niềng răng sớm mang lại nhiều lợi ích rõ rệt so với việc điều trị khi đã trưởng thành:
-
Răng và xương hàm còn mềm, dễ dịch chuyển, giúp quá trình chỉnh nha nhẹ nhàng và ít gây khó chịu cho trẻ
-
Thời gian điều trị ngắn hơn, tiết kiệm chi phí về lâu dài
-
Giảm nguy cơ phải nhổ răng hoặc phẫu thuật chỉnh hình hàm khi lớn
-
Hỗ trợ phát triển khuôn mặt cân đối, giúp trẻ tự tin hơn trong giao tiếp
Ngược lại, nếu trì hoãn đến tuổi trưởng thành, xương hàm đã phát triển hoàn chỉnh và cứng hơn, khiến việc niềng răng trở nên phức tạp, thời gian điều trị kéo dài và chi phí cao hơn.
Vì vậy, thăm khám chỉnh nha sớm cho trẻ không đồng nghĩa với việc phải niềng răng ngay, mà giúp bác sĩ theo dõi sự phát triển răng - hàm và lựa chọn thời điểm can thiệp tối ưu nhất cho từng trẻ.
5. Độ Tuổi Niềng Răng Phù Hợp Cho Trẻ Em
Nhiều phụ huynh băn khoăn trẻ mấy tuổi nên niềng răng để đạt hiệu quả tốt nhất. Trên thực tế, độ tuổi niềng răng cho trẻ em sẽ khác nhau tùy vào từng giai đoạn phát triển răng và xương hàm.
5.1. Từ 7 - 9 tuổi: Giai đoạn can thiệp sớm, định hướng xương hàm
Đây là thời điểm trẻ đang ở giai đoạn răng hỗn hợp, răng sữa và răng vĩnh viễn cùng tồn tại. Bác sĩ có thể chỉ định các khí cụ chỉnh nha tăng trưởng nhằm:
-
Định hướng sự phát triển của xương hàm
-
Tạo khoảng trống cho răng vĩnh viễn mọc đúng vị trí
-
Hạn chế tình trạng hô, móm hoặc lệch hàm nặng về sau
Giai đoạn này chưa phải lúc nào cũng cần niềng răng cố định, mà chủ yếu là theo dõi và can thiệp sớm khi cần thiết.
5.2. Từ 12 - 16 tuổi: Giai đoạn “vàng” để niềng răng toàn diện
Khi hầu hết răng vĩnh viễn đã mọc đầy đủ, đây được xem là thời điểm lý tưởng để niềng răng cho trẻ em bằng các phương pháp như mắc cài hoặc Invisalign.
Ở giai đoạn này:
-
Răng di chuyển tốt
-
Xương hàm chưa phát triển hoàn toàn cứng như người lớn
-
Hiệu quả chỉnh nha cao, thời gian điều trị hợp lý
5.3. Không có độ tuổi niềng răng cố định cho mọi trẻ
Trên thực tế, không tồn tại một độ tuổi niềng răng “chuẩn” áp dụng cho tất cả trẻ em. Việc niềng răng sớm hay muộn cần được đánh giá dựa trên:
-
Tốc độ phát triển xương hàm
-
Tình trạng răng - khớp cắn thực tế
-
Thói quen xấu (mút tay, đẩy lưỡi, thở miệng…)
Vì vậy, phụ huynh nên cho trẻ thăm khám chỉnh nha định kỳ để bác sĩ theo dõi và xác định thời điểm niềng răng phù hợp nhất, đảm bảo hiệu quả lâu dài và tiết kiệm chi phí.
Xem Thêm: Bị Hô Hàm Trên Có Niềng Răng Không?
6. Niềng Răng Cho Trẻ Em Có Đau Không?
Nhiều phụ huynh lo lắng niềng răng cho trẻ em có đau không và liệu con có chịu được quá trình chỉnh nha hay không. Trên thực tế, niềng răng không gây đau dữ dội, mà chỉ tạo cảm giác ê hoặc căng nhẹ trong một số thời điểm nhất định.
6.1. Cảm giác khi niềng răng ở trẻ em
-
Trẻ có thể ê nhẹ trong vài ngày đầu sau khi gắn khí cụ hoặc sau mỗi lần bác sĩ điều chỉnh lực
-
Cảm giác khó chịu thường nhẹ và nhanh hết, không ảnh hưởng nhiều đến sinh hoạt hằng ngày
-
Trẻ em thích nghi tốt hơn người lớn, do răng và xương hàm còn mềm, dễ dịch chuyển
-
Sau khoảng 1 - 2 tuần, cảm giác ê sẽ giảm dần và hầu như không còn
6.2. Niềng răng Invisalign cho trẻ em có đau không?
Với phương pháp niềng răng Invisalign, trẻ sử dụng khay trong suốt tháo lắp, lực tác động nhẹ và đều hơn. Vì vậy:
-
Ít gây cấn má, trầy môi như mắc cài
-
Mức độ khó chịu gần như không đáng kể
-
Trẻ dễ thích nghi, đặc biệt phù hợp với các trường hợp sai lệch nhẹ đến trung bình
Nhìn chung, niềng răng cho trẻ em không quá đau, và mọi cảm giác ê nhẹ đều nằm trong giới hạn cho phép. Bác sĩ chỉnh nha sẽ theo dõi sát sao và điều chỉnh lực phù hợp để trẻ cảm thấy thoải mái trong suốt quá trình điều trị.
Xem Thêm: Niềng Răng Có Đau Không? 5 Giai Đoạn Đau Và Cách Giảm Đau Hiệu Quả

7. Quy Trình Niềng Răng Trẻ Em Chuẩn Y Khoa Tại Nha Khoa Kim Xuân
Niềng răng cho trẻ em cần được thực hiện theo quy trình chỉnh nha bài bản để đảm bảo an toàn và hiệu quả lâu dài. Thông thường gồm các bước sau:
Thăm khám & chẩn đoán:
-
Bác sĩ kiểm tra tình trạng răng, khớp cắn và sự phát triển xương hàm để xác định trẻ có cần niềng răng hay không.
Chụp phim - lấy dấu răng - lập phác đồ:
-
Chụp phim X-quang, lấy dấu hoặc scan răng và xây dựng phác đồ điều trị cá nhân hóa phù hợp với độ tuổi của trẻ.
Gắn khí cụ hoặc giao khay chỉnh nha:
-
Tùy phương pháp lựa chọn, bác sĩ gắn mắc cài, khí cụ chỉnh nha sớm hoặc giao khay Invisalign cho trẻ em.
Tái khám định kỳ 4 - 6 tuần/lần:
-
Theo dõi quá trình dịch chuyển răng, điều chỉnh lực và kiểm soát vệ sinh răng miệng.
Tháo niềng & đeo hàm duy trì:
-
Sau khi hoàn tất, trẻ cần đeo hàm duy trì để giữ răng ổn định và ngăn ngừa tái lệch.
Thực hiện đúng quy trình niềng răng trẻ em giúp rút ngắn thời gian điều trị và đạt hiệu quả chỉnh nha bền vững.
8. Niềng Răng Trẻ Em Mất Bao Lâu?
Thời gian niềng răng cho trẻ em thường ngắn hơn so với người lớn, do răng và xương hàm còn đang phát triển, dễ dịch chuyển. Trung bình:
-
Niềng răng sớm (khí cụ tăng trưởng): khoảng 6 - 12 tháng
-
Niềng răng mắc cài cho trẻ em: khoảng 12 - 24 tháng
-
Niềng răng Invisalign cho trẻ em: khoảng 9 - 18 tháng, tùy mức độ lệch răng
Thời gian điều trị cụ thể còn phụ thuộc vào:
-
Độ tuổi bắt đầu niềng răng
-
Mức độ sai lệch răng - khớp cắn
-
Phương pháp chỉnh nha được lựa chọn
-
Sự hợp tác của trẻ trong quá trình điều trị
Can thiệp đúng thời điểm và tuân thủ tái khám định kỳ sẽ giúp rút ngắn thời gian niềng răng và đạt hiệu quả ổn định lâu dài.
9. Cách Chăm Sóc Răng Miệng Cho Trẻ Khi Niềng Răng
Chăm sóc răng miệng đúng cách giúp niềng răng cho trẻ em đạt hiệu quả tốt và hạn chế sâu răng, viêm nướu trong quá trình điều trị. Phụ huynh cần lưu ý:
-
Chải răng ít nhất 2 lần/ngày bằng bàn chải lông mềm, ưu tiên loại dành cho người niềng răng
-
Dùng chỉ nha khoa hoặc bàn chải kẽ để làm sạch mảng bám quanh mắc cài và kẽ răng
-
Hạn chế đồ cứng, dính, nhiều đường để tránh bong mắc cài và sâu răng
-
Tái khám đúng lịch hẹn để bác sĩ kiểm tra và điều chỉnh lực kịp thời
-
Đeo hàm duy trì theo chỉ định sau khi tháo niềng nhằm giữ răng ổn định, ngăn tái lệch
Chăm sóc răng miệng đúng cách là yếu tố quan trọng giúp rút ngắn thời gian niềng răng và duy trì kết quả lâu dài cho trẻ.
Câu Hỏi Tường Gặp Về Niềng Răng Trẻ Em?
Niềng răng trẻ em và người lớn khác nhau thế nào?
-
Niềng răng cho trẻ em thường dễ và hiệu quả hơn vì xương hàm còn đang phát triển, răng dịch chuyển nhanh và ổn định. Nhờ đó, thời gian điều trị ngắn hơn và ít cần can thiệp phức tạp so với người lớn.
Niềng răng có ảnh hưởng đến phát âm của trẻ không?
-
Trong thời gian đầu, trẻ có thể nói chưa quen hoặc phát âm hơi thay đổi nhẹ. Tuy nhiên, tình trạng này sẽ cải thiện nhanh sau vài ngày đến vài tuần khi trẻ thích nghi với khí cụ và răng được sắp xếp đều hơn.
Kết Luận
Niềng răng trẻ em sớm không chỉ giúp cải thiện thẩm mỹ răng miệng mà còn là giải pháp lâu dài cho sự phát triển hài hòa của xương hàm và sự tự tin của trẻ. Khi được can thiệp đúng thời điểm và lựa chọn phương pháp chỉnh nha phù hợp, quá trình điều trị thường nhẹ nhàng hơn, tiết kiệm chi phí và mang lại kết quả ổn định, bền vững về sau. Vì vậy, phụ huynh nên cho trẻ thăm khám chỉnh nha sớm để được đánh giá chính xác tình trạng răng - xương hàm và xây dựng lộ trình điều trị phù hợp với từng giai đoạn phát triển.
Liên hệ ngay Nha Khoa Kim Xuân để được tư vấn niềng răng cho trẻ em với phác đồ cá nhân hóa, chi phí minh bạch và theo dõi sát sao trong suốt quá trình điều trị.
Nha Khoa Kim Xuân - Bình Thạnh TP. HCM
Địa Chỉ: 165 Ngô Tất Tố, Phường Thạnh Mỹ Tây, Tp Hồ Chí Minh
Hotline: 0899 922 668 (Viber, Zalo, FaceTime)
ZaLo: https://zalo.me/nhakhoakimxuan
WebSite: https://nhakhoakimxuan.com.vn
