Hô Hàm Trên Có Niềng Răng Được Không? Bác Sĩ Giải Đáp Chi Tiết
Hô hàm trên có niềng răng được không là thắc mắc của rất nhiều người khi nhận thấy răng cửa chìa ra, gương mặt kém hài hòa và khớp cắn không chuẩn. Không chỉ ảnh hưởng đến thẩm mỹ, tình trạng hô hàm trên còn gây khó khăn trong ăn nhai và khiến nhiều người mất tự tin khi giao tiếp.
Thực tế, không phải mọi trường hợp hô hàm trên đều cần phẫu thuật. Việc niềng răng có hiệu quả hay không phụ thuộc vào nguyên nhân gây hô: hô do răng, hô do xương hàm hoặc kết hợp cả hai. Thông qua thăm khám và chẩn đoán bằng X-quang, bác sĩ sẽ xác định chính xác tình trạng của bạn để chỉ định phương án điều trị phù hợp nhất - có thể chỉ niềng răng, chỉ phẫu thuật hàm hoặc kết hợp cả hai nhằm đạt hiệu quả tối ưu cả về thẩm mỹ lẫn chức năng ăn nhai.

1. Hô Hàm Trên Là Gì?
Hô hàm trên là tình trạng răng hàm trên hoặc xương hàm trên nhô ra phía trước quá mức so với hàm dưới, gây sai lệch khớp cắn và làm gương mặt mất cân đối, đặc biệt dễ nhận thấy khi nhìn nghiêng. Tình trạng này không chỉ ảnh hưởng đến thẩm mỹ khuôn mặt mà còn có thể gây khó khăn trong ăn nhai, phát âm và khiến nhiều người thiếu tự tin khi giao tiếp.
1.1. Dấu hiệu nhận biết hô hàm trên
Một số biểu hiện thường gặp gồm:
-
Răng cửa hàm trên chìa ra ngoài rõ rệt
-
Khi cười dễ bị hở lợi
-
Nhìn nghiêng thấy môi và miệng nhô ra
-
Trường hợp nặng có thể khó khép kín môi khi thả lỏng
1.2. Phân loại hô hàm trên theo chuyên môn
Dựa vào nguyên nhân, hô hàm trên được chia thành 3 dạng chính:
-
Hô do răng: Xương hàm bình thường, răng hàm trên mọc chìa ra ngoài - niềng răng thường mang lại hiệu quả cao.
-
Hô do xương: Xương hàm trên phát triển quá mức - thường cần can thiệp phẫu thuật hàm.
-
Hô do cả răng và xương: Kết hợp cả hai yếu tố - cần phối hợp niềng răng và phẫu thuật để đạt kết quả tối ưu.
Việc xác định chính xác bạn thuộc dạng hô nào là yếu tố quyết định phương pháp điều trị, và cần được bác sĩ chẩn đoán thông qua thăm khám lâm sàng kết hợp phim X-quang.
Xem Thêm: Niềng Răng Hô Là Gì? Thời Gian Bao Lâu?

2. Nguyên Nhân Gây Hô Hàm Trên
Hô hàm trên không hình thành ngẫu nhiên mà thường xuất phát từ nhiều yếu tố khác nhau, bao gồm di truyền, thói quen sinh hoạt từ nhỏ, chế độ dinh dưỡng và sự phát triển mất cân đối của xương hàm. Việc xác định đúng nguyên nhân là cơ sở quan trọng để lựa chọn phương pháp điều trị hiệu quả và phù hợp nhất.
2.1. Hô hàm trên do yếu tố di truyền
-
Di truyền được xem là nguyên nhân phổ biến nhất gây hô hàm trên. Theo thống kê lâm sàng, khoảng 60 - 70% trường hợp hô hàm có liên quan đến yếu tố gia đình. Nếu ông bà hoặc cha mẹ có cấu trúc hàm hô, khả năng con cái gặp tình trạng tương tự sẽ cao hơn do kế thừa đặc điểm xương hàm và vị trí răng.
2.2. Hô hàm trên do thói quen xấu từ nhỏ
Những thói quen hình thành trong giai đoạn răng - hàm đang phát triển có thể ảnh hưởng trực tiếp đến hướng mọc của răng và sự tăng trưởng của xương hàm trên, bao gồm:
-
Mút tay hoặc ngậm ti giả kéo dài
-
Thói quen đẩy lưỡi khi nuốt hoặc nói
-
Thở miệng thường xuyên
Nếu không được can thiệp sớm, các thói quen này có thể dẫn đến răng cửa chìa ra ngoài và hình thành hô hàm trên khi trưởng thành.
2.3. Hô hàm trên do thiếu hụt dinh dưỡng
-
Trong giai đoạn thay răng và phát triển xương, việc thiếu canxi, vitamin D và các khoáng chất cần thiết có thể khiến xương hàm phát triển không đồng đều, răng mọc lệch vị trí, từ đó góp phần gây hô hàm trên.
2.4. Hô hàm trên do sự phát triển mất cân đối của xương hàm
-
Khi xương hàm trên phát triển quá mức so với hàm dưới, khuôn mặt sẽ mất cân đối rõ rệt, đặc biệt khi nhìn nghiêng. Đây là nguyên nhân thường gặp trong các trường hợp hô do xương, và việc điều trị thường cần đánh giá chuyên sâu để cân nhắc phẫu thuật chỉnh hàm kết hợp các phương pháp khác.
Xem Thêm: Niềng Răng Móm Giá Bao Nhiêu Tiền 2026
3. Hô Hàm Trên Có Niềng Răng Được Không?
Hô hàm trên có niềng răng được không? Câu trả lời là: CÓ - nhưng không áp dụng cho tất cả các trường hợp. Hiệu quả của việc niềng răng phụ thuộc trực tiếp vào nguyên nhân gây hô, mức độ sai lệch của xương hàm và độ tuổi của người điều trị. Dưới đây là những trường hợp cụ thể:
3.1. Trường hợp hô hàm trên có thể niềng răng hiệu quả
Niềng răng thường mang lại kết quả tốt trong các trường hợp:
-
Hô hàm trên do răng (xương hàm bình thường, răng chìa ra ngoài)
-
Hô nhẹ do xương hàm (mức độ sai lệch không nhiều)
-
Trẻ em trong độ tuổi tăng trưởng (khoảng 6 - 12 tuổi)
Ở những trường hợp này, niềng răng giúp kéo răng lùi về sau, dựng thẳng trục răng, từ đó cải thiện rõ rệt tình trạng hô, cân đối khớp cắn và nâng cao thẩm mỹ gương mặt.
3.2. Trường hợp hô hàm trên cần kết hợp phẫu thuật
Niềng răng đơn thuần không thể xử lý triệt để trong các trường hợp:
-
Hô hàm trên nặng do xương
-
Hô do cả răng và xương ở mức độ nghiêm trọng
Với những tình trạng này, bác sĩ thường chỉ định phẫu thuật chỉnh hình xương hàm để đưa hàm về vị trí cân đối, sau đó niềng răng nhằm hoàn thiện khớp cắn và thẩm mỹ tổng thể.
3.3. Khi nào biết chính xác có niềng răng được hay không?
Để xác định chính xác hô hàm trên có niềng răng được không, bạn cần:
-
Thăm khám trực tiếp với bác sĩ chỉnh nha
-
Chụp X-quang / phim sọ nghiêng để đánh giá xương hàm và răng
Từ đó, bác sĩ sẽ đưa ra phác đồ điều trị phù hợp nhất: chỉ niềng răng, chỉ phẫu thuật hàm hoặc kết hợp cả hai.
Xem Thêm: 30 Tuổi Có Niềng Răng Được Không? Thời Gian Bao Lâu?
Xem Thêm: 20 Tuổi Niềng Răng Giá Bao Nhiêu?

4. Các Phương Pháp Niềng Răng Cho Người Bị Hô Hàm Trên
Hiện nay, với sự phát triển của chỉnh nha hiện đại, người bị hô hàm trên có nhiều phương pháp niềng răng để lựa chọn. Tùy vào mức độ hô, nhu cầu thẩm mỹ và ngân sách, bác sĩ sẽ tư vấn giải pháp phù hợp nhất.
4.1. Niềng răng mắc cài
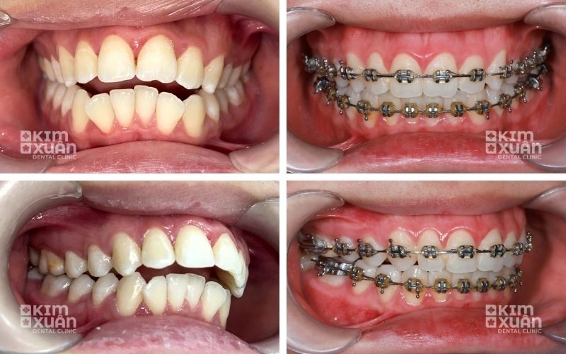
Niềng răng mắc cài là phương pháp chỉnh nha truyền thống, sử dụng mắc cài và dây cung để tạo lực kéo ổn định, giúp đưa răng về đúng vị trí trên cung hàm. Đây là lựa chọn phổ biến cho các trường hợp hô hàm trên từ nhẹ đến nặng do răng.
Các loại niềng răng mắc cài thường dùng
-
Niềng răng mắc cài kim loại: Hiệu quả chỉnh nha cao, lực kéo ổn định, chi phí hợp lý, phù hợp với nhiều đối tượng.
-
Niềng răng mắc cài sứ: Có màu sắc gần giống răng thật, tính thẩm mỹ cao hơn so với mắc cài kim loại.
-
Niềng răng mắc cài tự buộc: Thiết kế thông minh giúp giảm ma sát, hạn chế đau nhức và có thể rút ngắn thời gian niềng răng.
Niềng răng mắc cài thường được chỉ định cho hô hàm trên do răng hoặc hô mức độ trung bình, mang lại hiệu quả rõ rệt về khớp cắn và thẩm mỹ gương mặt.
4.2. Niềng răng trong suốt (Invisalign)
Niềng răng trong suốt sử dụng hệ thống khay nhựa trong suốt được thiết kế cá nhân hóa, ôm sát răng và có thể tháo lắp linh hoạt trong quá trình sử dụng.
Ưu điểm
-
Thẩm mỹ cao, khó nhận biết khi đeo
-
Thuận tiện khi ăn uống và vệ sinh răng miệng
-
Ít gây cộm vướng, mang lại cảm giác dễ chịu hơn
Hạn chế
-
Chi phí cao hơn so với niềng răng mắc cài
-
Phù hợp nhất với trường hợp hô hàm trên mức độ nhẹ đến trung bình, không quá phức tạp
Xem Thêm: Niềng Răng Invisalign Ưu Nhược Điểm?

5. Địa Chỉ Niềng Răng Hô Hàm Trêm Uy Tín Tại TP. HCM
Việc lựa chọn địa chỉ niềng răng hô hàm trên uy tín tại TP.HCM đóng vai trò rất quan trọng, quyết định trực tiếp đến hiệu quả điều trị, độ an toàn và tính ổn định lâu dài của kết quả sau niềng. Một nha khoa chất lượng cần đáp ứng đầy đủ các yếu tố: bác sĩ chỉnh nha có chuyên môn, trang thiết bị hiện đại và phác đồ điều trị rõ ràng cho từng trường hợp hô.
Nha khoa Kim Xuân là một trong những địa chỉ được nhiều khách hàng tin tưởng khi có nhu cầu niềng răng hô hàm trên, với đa dạng phương pháp điều trị như:
-
Niềng răng mắc cài kim loại
-
Niềng răng mắc cài sứ thẩm mỹ
-
Niềng răng trong suốt (Invisalign)
Nha khoa đầu tư hệ thống máy chụp phim và scan răng kỹ thuật số hiện đại, hỗ trợ bác sĩ đánh giá chính xác tình trạng hô do răng hay hô do xương, từ đó xây dựng phác đồ điều trị cá nhân hóa, phù hợp với từng độ tuổi và mức độ sai lệch khớp cắn. Bên cạnh đó, chi phí niềng răng được tư vấn minh bạch, có hỗ trợ trả góp linh hoạt, giúp khách hàng an tâm điều trị lâu dài mà không quá áp lực tài chính.
Xem Thêm: Bảng Giá Niềng Răng Tại Nha Khoa Kim Xuân

6. Câu Hỏi Thường Gặp Về Niềng Răng Hô Hàm Trên?
6.1. Hô hàm trên có niềng răng được không?
-
Có, nhưng hiệu quả còn phụ thuộc vào nguyên nhân gây hô. Trường hợp hô do răng hoặc hô nhẹ có thể điều trị hiệu quả bằng niềng răng. Nếu hô nặng do xương hàm, bác sĩ sẽ cân nhắc kết hợp phẫu thuật chỉnh hàm để đạt kết quả tối ưu.
6.2. Niềng răng hô hàm trên có cần nhổ răng không?
-
Không phải tất cả các trường hợp đều cần nhổ răng. Việc nhổ răng chỉ được chỉ định khi răng mọc chen chúc, thiếu khoảng trống để kéo răng lùi. Bác sĩ sẽ đánh giá dựa trên phim X-quang và tình trạng khớp cắn thực tế.
6.3. Niềng răng hô hàm trên mất bao lâu?
-
Thời gian niềng răng hô hàm trên thường kéo dài từ 18 - 24 tháng. Một số trường hợp hô nặng hoặc cần kết hợp phẫu thuật có thể mất nhiều thời gian hơn để đạt kết quả ổn định.
6.4. Niềng răng hô hàm trên có đau không?
-
Trong những ngày đầu hoặc sau mỗi lần điều chỉnh lực kéo, người niềng có thể cảm thấy ê nhẹ hoặc căng tức. Tuy nhiên, cảm giác này thường giảm nhanh sau vài ngày và hoàn toàn nằm trong ngưỡng chịu đựng được.
6.5. Hô hàm trên nặng có niềng răng được không?
-
Vẫn có thể điều trị, nhưng với các trường hợp hô nặng do xương hàm, niềng răng đơn thuần không đủ. Khi đó, bác sĩ sẽ chỉ định phẫu thuật chỉnh hình hàm kết hợp niềng răng để đảm bảo hiệu quả thẩm mỹ và chức năng ăn nhai lâu dài.
Kết Luận
Hô hàm trên có niềng răng được không phụ thuộc chủ yếu vào nguyên nhân gây hô và mức độ sai lệch của xương hàm. Với các trường hợp hô do răng hoặc hô hàm trên mức độ nhẹ, niềng răng thường mang lại hiệu quả rõ rệt, giúp cải thiện khớp cắn và thẩm mỹ khuôn mặt. Trong khi đó, những trường hợp hô nặng do xương hàm cần được can thiệp phẫu thuật chỉnh hàm kết hợp niềng răng để đạt kết quả ổn định và lâu dài.
Vì vậy, để biết chính xác tình trạng của mình và lựa chọn phương án điều trị phù hợp, an toàn, bạn nên thăm khám trực tiếp tại nha khoa uy tín, nơi có bác sĩ chỉnh nha giàu kinh nghiệm cùng hệ thống chẩn đoán hình ảnh hiện đại nhằm đánh giá đúng hô do răng hay hô do xương.
Nếu bạn đang băn khoăn về tình trạng hô hàm trên và khả năng niềng răng, bạn có thể đến Nha khoa Kim Xuân để được thăm khám, tư vấn phác đồ điều trị cá nhân hóa và giải đáp chi tiết trước khi quyết định.
Nha Khoa Kim Xuân - Bình Thạnh TP. HCM
Địa Chỉ: 165 Ngô Tất Tố, Phường Thạnh Mỹ Tây, Tp Hồ Chí Minh
Hotline: 0899 922 668 (Viber, Zalo, FaceTime)
ZaLo: https://zalo.me/nhakhoakimxuan
WebSite: https//:nhakhoakimxuan.com.vn