Cạo Vôi Răng Và Tẩy Trắng Răng Giá Bao Nhiêu Tiền? Bảng Giá Tham Khảo.
Chi phí cạo vôi răng và tẩy trắng răng phụ thuộc vào tình trạng răng miệng, mức độ vôi răng, cũng như phương pháp tẩy trắng mà khách hàng lựa chọn. Việc nắm rõ bảng giá và từng dịch vụ cụ thể sẽ giúp bạn chủ động hơn khi thăm khám và tránh các phát sinh không cần thiết.
Dưới đây là bảng giá tham khảo phổ biến năm 2026, kèm giải thích chi tiết để bạn dễ hình dung.

1. Bảng Giá Cạo Vôi Răng - Đánh Bóng Răng 2026
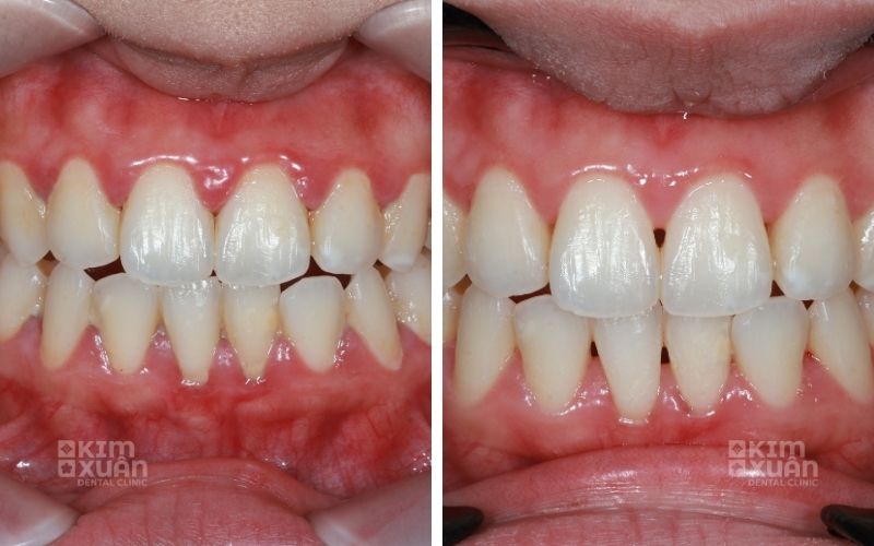
Cạo vôi răng là bước chăm sóc răng miệng cơ bản nhưng rất quan trọng, giúp loại bỏ mảng bám và vi khuẩn tích tụ lâu ngày - nguyên nhân chính gây viêm nướu, hôi miệng và viêm nha chu.
1.1 Cạo vôi - đánh bóng răng bằng máy rung siêu âm
-
Chi phí: 300.000 - 500.000 VNĐ / 2 hàm
-
Áp dụng cho trường hợp vôi răng ít đến trung bình
-
Thực hiện nhẹ nhàng, hạn chế ê buốt
-
Giúp bề mặt răng sạch hơn, giảm bám màu sau ăn uống
Phù hợp với khách hàng cạo vôi định kỳ 6 tháng/lần.
1.2 Cạo vôi dưới nướu (Deep Clean) - điều trị viêm nướu, nha chu
-
Chi phí: 1.000.000 VNĐ / 2 hàm
-
Áp dụng cho trường hợp vôi răng nhiều, bám sâu dưới nướu
-
Hỗ trợ làm sạch ổ viêm, giảm chảy máu nướu, hôi miệng
Thường được chỉ định khi có dấu hiệu viêm nướu hoặc nha chu nhẹ đến trung bình.
Lưu ý: Bác sĩ sẽ thăm khám để xác định bạn phù hợp với cạo vôi thông thường hay cạo vôi sâu, từ đó tư vấn đúng phương pháp và chi phí.
Xem Thêm: Lấy Cao Răng Giá Bao Nhiêu Tiền Tại TP. HCM

2. Bảng Giá Tẩy Trắng Tại Nha Khoa Kim Xuân
Tẩy trắng răng là dịch vụ thẩm mỹ nha khoa giúp cải thiện màu sắc răng, mang lại nụ cười sáng và tự nhiên hơn. Mỗi phương pháp sẽ phù hợp với tình trạng răng và mức độ nhạy cảm khác nhau.
2.1 Các phương pháp tẩy trắng răng phổ biến hiện nay: Phương pháp tẩy trắng răng
-
Tẩy trắng răng tại nhà giá 2.000.000 VNĐ
-
Tẩy trắng răng bằng đèn plasma giá 3.000.000 VNĐ
-
Tẩy trắng cho răng nhạy cảm giá 5.000.000 VNĐ
-
Tẩy trắng sâu với đèn Flash + khay tẩy + thuốc giá 10.000.000 VNĐ
-
Liệu trình bổ sung giá 1.000.000 VNĐ
-
Tẩy trắng răng chết tủy giá 1.000.000 VNĐ
2.2 Nên chọn phương pháp tẩy trắng răng nào?
-
Răng khỏe, ít nhạy cảm: có thể chọn tẩy trắng bằng đèn plasma để thấy hiệu quả nhanh
-
Răng nhạy cảm: nên ưu tiên liệu trình dành riêng cho răng nhạy cảm
-
Răng nhiễm màu nặng: có thể cần tẩy trắng sâu kết hợp nhiều phương pháp
-
Muốn duy trì lâu dài: có thể thực hiện thêm liệu trình bổ sung theo chỉ định
Bác sĩ sẽ tư vấn phương pháp phù hợp để đạt hiệu quả thẩm mỹ tốt mà vẫn an toàn cho răng
Xem Thêm: Tẩy Trắng Răng Giá Bao Nhiêu Tiền? Bảng Giá Mới Nhất

3. Có Nên Lấy Vôi Răng Và Tẩy Trắng Răng Cùng Một Lúc Không?
Trong nhiều trường hợp, cạo vôi răng và tẩy trắng răng được khuyến khích thực hiện cùng lúc nếu răng và nướu đang trong tình trạng khỏe mạnh. Việc làm sạch cao răng trước khi tẩy trắng không chỉ giúp quá trình điều trị hiệu quả hơn mà còn góp phần tối ưu chi phí tổng thể.
Lợi ích khi cạo vôi răng và tẩy trắng răng cùng lúc:
-
Loại bỏ mảng bám, giúp thuốc tẩy trắng thẩm thấu đều và sâu hơn
-
Màu răng sau tẩy trắng sáng hơn, ổn định và duy trì lâu hơn
-
Tiết kiệm thời gian điều trị và chi phí so với thực hiện riêng lẻ
Ngoài ra, tại một số thời điểm, khách hàng có thể được giảm chi phí hoặc miễn phí cạo vôi răng khi thực hiện tẩy trắng răng, tùy vào tình trạng răng miệng và chương trình ưu đãi áp dụng.
Xem Thêm: Cạo Vôi Răng Có Đau Không? Cạo Vôi Răng Có Tốt Không

4. Những Yếu Tố Ảnh Hưởng Đến Chi Phí Cạo Vôi Răng Và Tẩy Trăng Răng
Thực tế, chi phí cạo vôi răng và tẩy trắng răng không cố định mà có thể thay đổi tùy theo tình trạng răng miệng và phương pháp điều trị của mỗi người. Một số yếu tố quan trọng ảnh hưởng trực tiếp đến mức giá bao gồm:
-
Mức độ cao răng và tình trạng nướu: Vôi răng nhiều, bám lâu năm hoặc kèm viêm nướu có thể cần làm sạch kỹ hơn.
-
Tình trạng răng nhạy cảm: Răng nhạy cảm thường cần sử dụng thuốc tẩy trắng chuyên biệt hoặc điều chỉnh quy trình phù hợp.
-
Phương pháp và công nghệ tẩy trắng: Tẩy trắng tại nhà, tẩy trắng bằng laser hay công nghệ hiện đại sẽ có chi phí khác nhau.
-
Số lần điều trị hoặc liệu trình bổ sung: Một số trường hợp cần tẩy trắng nhiều lần để đạt màu răng mong muốn.
Vì vậy, thăm khám trực tiếp tại nha khoa sẽ giúp bác sĩ đánh giá chính xác tình trạng răng miệng, tư vấn đúng phương pháp và xác định chi phí phù hợp ngay từ đầu, hạn chế phát sinh không cần thiết trong quá trình điều trị.
5. Lưu Ý Trước Và Sau Khi Cạo Vôi Răng Và Tẩy Trắng Răng
Để cạo vôi răng và tẩy trắng răng đạt hiệu quả tốt và duy trì màu răng lâu dài, bạn cần lưu ý một số vấn đề quan trọng trước và sau khi thực hiện:
-
Nên cạo vôi răng trước khi tẩy trắng để loại bỏ mảng bám, giúp thuốc tẩy trắng thẩm thấu đều và phát huy hiệu quả tối ưu.
-
Hạn chế các thực phẩm sậm màu như cà phê, trà, rượu vang, nước ngọt có màu… trong vòng 24 - 48 giờ sau khi tẩy trắng để tránh răng bị nhiễm màu trở lại.
-
Duy trì vệ sinh răng miệng đúng cách bằng cách chải răng ít nhất 2 lần/ngày, sử dụng chỉ nha khoa và nước súc miệng phù hợp.
-
Tái khám định kỳ theo hướng dẫn của bác sĩ để kiểm tra tình trạng răng miệng và duy trì kết quả tẩy trắng lâu dài.
Xem Thêm: Quy Trình Tẩy Trắng Tại Nha Khoa Gồm Mấy Bước?
6. Địa Chỉ Lấy Cao Răng Và Tẩy Trắng Răng Uy Tín Tại TP. HCM
Khi lựa chọn địa chỉ cạo vôi răng và tẩy trắng răng, yếu tố quan trọng không chỉ nằm ở chi phí mà còn ở độ an toàn, hiệu quả và sự chăm sóc lâu dài cho răng miệng.
Tại Nha khoa Kim Xuân, mỗi khách hàng đều được:
-
Bác sĩ trực tiếp thăm khám và tư vấn dựa trên tình trạng răng miệng thực tế
-
Lựa chọn phương pháp cạo vôi và tẩy trắng phù hợp, hạn chế ê buốt
-
Thực hiện trong môi trường vô trùng nghiêm ngặt, đảm bảo an toàn
-
Chi phí minh bạch, tư vấn rõ ràng trước khi thực hiện
Kim Xuân không chạy theo tẩy trắng quá mức, mà ưu tiên màu răng tự nhiên - hài hòa - bền lâu, giúp khách hàng an tâm sử dụng trong sinh hoạt hằng ngày.

7. Câu Hỏi Thường Gặp?
7.1 Cạo vôi răng có làm mòn răng không?
-
Không. Cạo vôi răng bằng máy rung siêu âm chỉ tác động lên mảng vôi và mảng bám, không làm mòn men răng nếu được thực hiện đúng kỹ thuật.
7.2 Cạo vôi răng có đau hay ê buốt không?
-
Phần lớn khách hàng chỉ cảm thấy hơi ê nhẹ trong quá trình thực hiện, đặc biệt khi vôi răng nhiều. Cảm giác này thường hết nhanh sau khi hoàn tất.
7.3 Tẩy trắng răng có hại men răng không?
-
Tẩy trắng răng đúng chỉ định và đúng kỹ thuật không gây hại men răng. Tại Kim Xuân, bác sĩ luôn đánh giá mức độ nhạy cảm để lựa chọn phương pháp phù hợp.
7.4 Bao lâu nên cạo vôi răng một lần?
-
Thông thường, nên cạo vôi răng khoảng 6 tháng/lần. Với người hút thuốc lá hoặc dễ bám vôi, thời gian có thể rút ngắn theo chỉ định bác sĩ.
7.5 Tẩy trắng răng giữ được bao lâu?
-
Hiệu quả tẩy trắng thường duy trì từ 6 tháng đến 2 - 4 năm, tùy vào chế độ ăn uống và cách chăm sóc răng miệng sau điều trị.
7.6 Có nên cạo vôi răng trước khi tẩy trắng không?
- Có. Cạo vôi răng trước khi tẩy trắng giúp bề mặt răng sạch hơn, từ đó thuốc tẩy trắng thẩm thấu đều và cho màu răng ổn định hơn.
Kết Luận
Cạo vôi răng và tẩy trắng răng là hai dịch vụ nha khoa quan trọng giúp làm sạch mảng bám, bảo vệ sức khỏe răng miệng và cải thiện đáng kể thẩm mỹ nụ cười. Với chi phí dao động từ vài trăm nghìn đến vài triệu đồng, đây là giải pháp chăm sóc răng miệng phù hợp với nhiều đối tượng khi được thực hiện đúng phương pháp và đúng chỉ định nha khoa.
Để đảm bảo hiệu quả an toàn, màu răng ổn định và duy trì lâu dài, bạn nên thăm khám trực tiếp tại nha khoa uy tín để được bác sĩ đánh giá tình trạng răng miệng, tư vấn phương án phù hợp và dự trù chi phí chính xác ngay từ đầu.
Nếu bạn đang quan tâm đến cạo vôi răng, tẩy trắng răng hoặc muốn biết chi phí phù hợp với tình trạng răng của mình, hãy liên hệ Nha khoa Kim Xuân để được thăm khám và tư vấn chi tiết.
Đặt lịch thăm khám ngay hôm nay để chăm sóc răng miệng đúng cách và sở hữu nụ cười khỏe mạnh, tự tin lâu dài.
Nha Khoa Kim Xuân - Bình Thạnh TP. HCM
Địa Chỉ: 165 Ngô Tất Tố, Phường Thạnh Mỹ Tây, Tp Hồ Chí Minh
Hotline: 0899 922 668 (Viber, Zalo, FaceTime)
ZaLo: https://zalo.me/nhakhoakimxuan
WebSite: https://nhakhoakimxuan.com.vn