Tẩy trắng răng giữ được bao lâu là câu hỏi được rất nhiều người quan tâm trước khi quyết định làm trắng răng. Thực tế, hiệu quả duy trì độ trắng sáng không giống nhau ở mỗi người mà phụ thuộc vào phương pháp tẩy trắng, tình trạng răng ban đầu và cách chăm sóc răng miệng sau điều trị. Bài viết dưới đây sẽ giúp bạn hiểu rõ và có lựa chọn phù hợp nhất.

1. Tẩy Trắng Răng Là Gì?
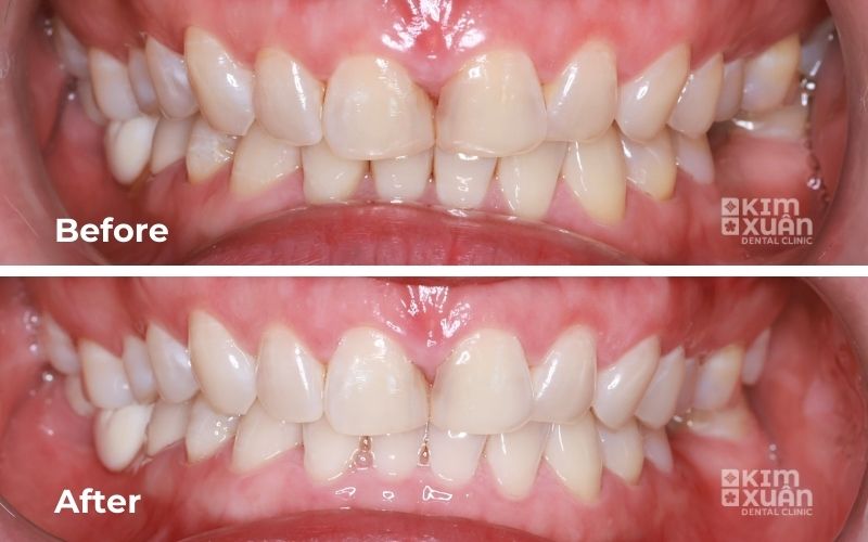
Tẩy trắng răng là phương pháp sử dụng chất oxy hóa chuyên dụng kết hợp ánh sáng để phá vỡ các chuỗi phân tử gây màu trong men răng và ngà răng. Nhờ đó, răng trở nên trắng sáng hơn rõ rệt mà không làm tổn hại cấu trúc răng thật nếu thực hiện đúng kỹ thuật.
Phần lớn mọi người đều có thể tẩy trắng răng. Tuy nhiên, một số trường hợp cần cân nhắc hoặc thăm khám kỹ trước khi thực hiện, bao gồm:
-
Phụ nữ đang mang thai hoặc cho con bú
-
Trẻ em dưới 16 tuổi (men răng và tủy răng còn nhạy cảm)
-
Người đang gặp các vấn đề răng miệng như sâu răng, viêm nướu, mòn cổ chân răng
-
Người có tiền sử dị ứng với thành phần thuốc tẩy trắng
Việc thăm khám và tư vấn bởi bác sĩ nha khoa là bước quan trọng để đảm bảo an toàn và hiệu quả.

2. Tẩy Trắng Răng Giữ Được Bao Lâu
Sau khi tẩy trắng, răng thường trắng sáng rõ rệt ngay sau điều trị. Thời gian duy trì kết quả trung bình từ 6 tháng đến 1 năm, tùy cơ địa và cách chăm sóc răng miệng.
Thông thường:
-
Trong 1 - 2 tuần đầu, màu răng có thể giảm nhẹ do răng dần ổn định
-
Sau đó, màu răng giữ tương đối ổn định trong 6 - 12 tháng
-
Nếu chăm sóc răng miệng tốt và hạn chế các tác nhân gây sậm màu, độ trắng có thể duy trì từ 2 - 3 năm, thậm chí lâu hơn
Như vậy, tẩy trắng răng không phải là vĩnh viễn, nhưng hoàn toàn có thể duy trì lâu dài nếu thực hiện đúng cách.
Xem Thêm: Lấy Cao Răng Giá Bao Nhiêu?

3. Những Yếu Tố Ảnh Hưởng Đến Thời Gian Giữ Trắng
3.1. Phương pháp tẩy trắng
-
Tẩy trắng tại nha khoa: hiệu quả nhanh, màu trắng bền và an toàn hơn
-
Tẩy trắng tại nhà bằng máng: duy trì tốt nếu tuân thủ hướng dẫn
-
Phương pháp tự nhiên: hiệu quả chậm, khó duy trì lâu dài
3.2. Mức độ ố màu ban đầu
-
Răng ố vàng nhẹ do thực phẩm thường dễ làm trắng và giữ màu lâu hơn so với răng nhiễm màu nặng hoặc nhiễm kháng sinh.
3.3. Chế độ ăn uống & sinh hoạt
-
Cà phê, trà, rượu vang, nước ngọt sẫm màu, thuốc lá là những nguyên nhân khiến răng nhanh xỉn màu trở lại.
3.4. Cách chăm sóc răng miệng
-
Đánh răng đúng cách, dùng chỉ nha khoa, súc miệng và khám răng định kỳ giúp kéo dài hiệu quả tẩy trắng.
Xem Thêm: Trồng Răng Sứ Vĩnh Viễn Giá Bao Nhiêu?

4. Thời Gian Tẩy Trắng Răng Mất Bao Lâu?
Tùy phương pháp và tình trạng răng, thời gian tẩy trắng có sự khác nhau:
-
Tẩy trắng răng tại nha khoa: khoảng 60 - 90 phút cho một lần điều trị
-
Tẩy trắng bằng máng tại nhà: từ 7 - 10 ngày
-
Phương pháp tự nhiên: có thể kéo dài nhiều tuần nhưng hiệu quả không rõ rệt
Trong đó, tẩy trắng trực tiếp tại nha khoa vẫn là lựa chọn được nhiều người ưu tiên vì nhanh - an toàn - kiểm soát tốt ê buốt.
5. Bao Lâu Tẩy Trắng Răng 1 Lần?
Tần suất tẩy trắng răng không cố định cho tất cả mọi người mà phụ thuộc vào nhiều yếu tố khác nhau, cụ thể:
5.1. Tình trạng răng miệng hiện tại
-
Răng và nướu khỏe mạnh, không sâu răng, không viêm nướu sẽ đáp ứng tẩy trắng tốt hơn
-
Men răng khỏe giúp duy trì màu trắng lâu và hạn chế ê buốt sau khi tẩy
5.2. Thói quen ăn uống hàng ngày
-
Thường xuyên sử dụng cà phê, trà, rượu vang, nước ngọt có màu, thuốc lá khiến răng dễ nhiễm màu hơn
-
Người ít dùng thực phẩm sậm màu sẽ giữ được độ trắng lâu hơn
5.3. Cách chăm sóc răng miệng sau tẩy trắng
-
Chải răng đúng cách, dùng chỉ nha khoa, súc miệng thường xuyên
-
Tái khoáng men răng và tái khám định kỳ giúp kéo dài hiệu quả tẩy trắng
5.4. Khuyến nghị về tần suất tẩy trắng răng
-
Tẩy trắng răng tại nha khoa: 6 - 12 tháng/lần
-
Đây là khoảng thời gian an toàn, giúp răng ổn định màu sắc và hạn chế ê buốt
5.5. Trường hợp có thể kéo dài thời gian tẩy trắng
-
Răng giữ màu tốt, ít nhiễm màu
-
Có thể kéo dài hơn 12 tháng mới cần tẩy trắng lại
5.6. Không nên tẩy trắng răng quá thường xuyên
Tẩy trắng dày có thể gây:
-
Răng nhạy cảm, ê buốt kéo dài
-
Khó chịu khi ăn nhai nóng - lạnh
Nên thực hiện theo chỉ định của bác sĩ nha khoa để đảm bảo an toàn cho men răng
Xem Thêm: Bảng Giá Dán Sứ Veneer Tại Nha Khoa Kim Xuân
6. Sau Khi Tẩy Trắng Răng Cần Lưu Ý Gì?
Để giữ răng trắng sáng lâu hơn sau khi tẩy trắng, bạn nên lưu ý:
-
Tránh thực phẩm và đồ uống đậm màu trong 48 - 72 giờ đầu như cà phê, trà, rượu vang, nước ngọt có màu
-
Hạn chế rượu bia, cà phê và thuốc lá trong 3 - 5 ngày đầu để tránh răng nhanh xỉn màu
-
Chỉ uống nước lọc ở nhiệt độ thường trong vài giờ đầu sau khi tẩy trắng
-
Chăm sóc răng miệng nhẹ nhàng, dùng bàn chải lông mềm, tránh chải răng quá mạnh
7. Tẩy Trắng Răng Có Gây Ê Buốt Không
Sau khi tẩy trắng răng, một số người có thể cảm thấy ê buốt nhẹ trong 1 - 2 ngày đầu. Đây là phản ứng bình thường và sẽ tự hết khi răng ổn định lại. Nếu tẩy trắng được thực hiện đúng kỹ thuật tại nha khoa uy tín, phương pháp này không làm yếu răng và không gây mòn men răng.
Ngược lại, việc sử dụng thuốc tẩy trắng không rõ nguồn gốc hoặc thực hiện tại cơ sở kém chất lượng có thể gây kích ứng nướu, ê buốt kéo dài và tổn thương răng.
Xem Thêm: Cạo Vôi Răng Tẩy Trắng Răng Giá Bao Nhiêu?
8. Tẩy Trắng Răng An Toàn, Hiệu Quả Tại Nha Khoa Kim Xuân
Nha Khoa Kim Xuân địa chỉ nha khoa uy tín mang đến giải pháp tẩy trắng răng nhanh chóng - an toàn - hiệu quả rõ rệt với:
-
Đội ngũ bác sĩ nhiều năm kinh nghiệm, tư vấn và chỉ định nồng độ thuốc phù hợp
-
Ứng dụng công nghệ tẩy trắng hiện đại, hạn chế tối đa ê buốt
-
Quy trình vô trùng nghiêm ngặt, đảm bảo an toàn sức khỏe
-
Chi phí minh bạch, rõ ràng trước khi điều trị
Nếu bạn đang băn khoăn tẩy trắng răng giữ được bao lâu và đâu là phương pháp phù hợp với mình, hãy chủ động thăm khám để được tư vấn chính xác.

Kết Luận
Tóm lại, tẩy trắng răng giữ được bao lâu phụ thuộc vào nhiều yếu tố như phương pháp tẩy trắng, tình trạng răng ban đầu và đặc biệt là cách chăm sóc răng miệng sau điều trị. Trung bình, hiệu quả làm trắng có thể duy trì từ 6 tháng đến 1 năm, thậm chí 2 - 3 năm nếu được thực hiện đúng kỹ thuật và chăm sóc khoa học. Việc lựa chọn nha khoa uy tín ngay từ đầu sẽ giúp đảm bảo an toàn cho men răng, hạn chế ê buốt và duy trì độ trắng sáng lâu dài.
Nếu bạn đang băn khoăn không biết tình trạng răng của mình phù hợp với phương pháp tẩy trắng nào hoặc mong muốn đạt hiệu quả trắng sáng tối ưu nhưng vẫn đảm bảo an toàn, hãy chủ động thăm khám để được tư vấn chính xác.
Nha Khoa Kim Xuân sẵn sàng đồng hành cùng bạn với dịch vụ tẩy trắng răng nhanh chóng - an toàn - hiệu quả, được thực hiện bởi đội ngũ bác sĩ giàu kinh nghiệm và công nghệ hiện đại. Liên hệ đặt lịch hẹn trực tiếp để được thăm khám và tư vấn chi tiết.
Nha Khoa Kim Xuân - Bình Thạnh TP. HCM
Địa Chỉ: 165 Ngô Tất Tố, Phường Thạnh Mỹ Tây, Tp Hồ Chí Minh
Hotline: 0899 922 668 (Viber, Zalo, FaceTime)
ZaLo: https://zalo.me/nhakhoakimxuan
WebSite: https://nhakhoakimxuan.com.vn