Chi phí lấy cao răng hiện nay dao động từ 300.000 - 500.000 VNĐ cho cả hai hàm, tùy vào lượng vôi răng tích tụ, mức độ viêm nướu và công nghệ làm sạch được sử dụng. Trường hợp cao răng cứng hoặc có viêm lợi đi kèm có thể phát sinh chi phí cao hơn. Đây là thủ thuật nhanh, an toàn và nên thực hiện định kỳ 3 - 6 tháng/lần để giữ răng sạch khỏe và hạn chế bệnh lý nha chu.
Chi phí lấy cao răng có thể khác nhau giữa các nha khoa vì phụ thuộc vào tình trạng răng miệng, mức độ cao răng và trang thiết bị sử dụng. Với những trường hợp vôi răng bám dày, nằm sâu dưới nướu hoặc gây viêm, bác sĩ có thể chỉ định làm sạch chuyên sâu (Deep Clean) hoặc cần nhiều buổi để xử lý triệt để. Một số nha khoa còn kết hợp đánh bóng men và bôi gel bảo vệ để hạn chế mảng bám quay trở lại, giúp răng sáng và sạch lâu hơn.

1. Giá Lấy Cao Răng Bao Nhiêu? Bảng Giá Mới Nhất Tại TP. HCM
Tại TP. HCM, giá cạo vôi răng phổ biến dao động từ 300.000 - 500.000 VNĐ, thay đổi tùy theo:
-
Mức độ mảng bám và cao răng
-
Tình trạng nướu (có viêm hay không)
-
Phương pháp thực hiện (dụng cụ thường / máy siêu âm)
-
Cơ sở nha khoa thực hiện
Nếu kèm theo dịch vụ đánh bóng men răng hoặc điều trị viêm nướu, chi phí có thể cao hơn.
Xem Thêm: Cạo Vôi Răng Và Tẩy Trắng Răng Giá Bao Nhiêu?

2. Tại Sao Giá Lấy Vôi Răng Lại Khác Nhau?
Mỗi người sẽ có tình trạng cao răng khác nhau:
-
Cấp độ nhẹ: cao răng bám ở bề mặt thân răng
-
Cấp độ trung bình: cao răng bám ở kẽ răng, chân răng
-
Cấp độ nặng: cao răng ăn sâu xuống dưới nướu, gây viêm và chảy máu
Sau khi thăm khám, bác sĩ sẽ xác định cấp độ cao răng và báo giá chính xác trước khi thực hiện.
Hiện nay, kỹ thuật lấy cao răng siêu âm được ưa chuộng nhờ khả năng làm sạch nhanh, ít đau, loại bỏ được cả cao răng dưới nướu. Đồng thời, đánh bóng răng giúp hạn chế mảng bám tái tích tụ, tăng độ sáng và bảo vệ men răng.
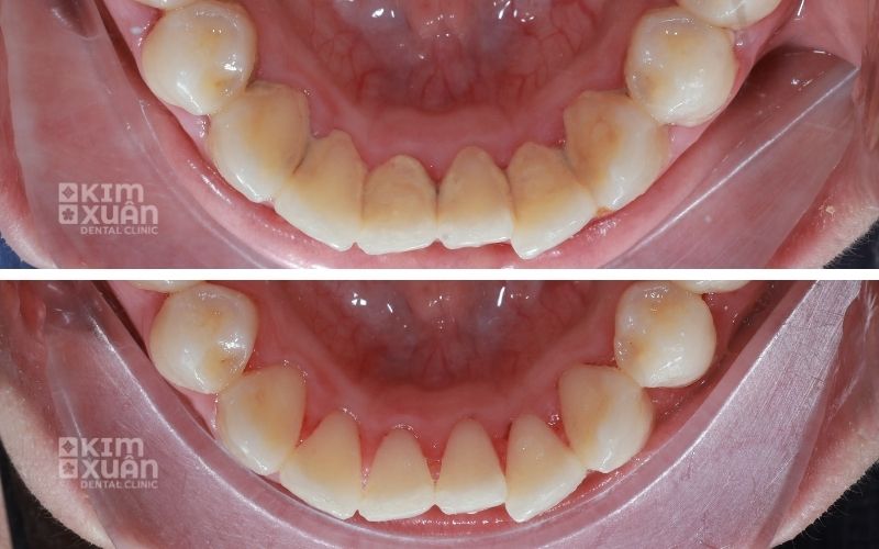
3. Bảng Giá Cạo Vôi Răng 2026 Tại Nha Khoa Kim Xuân Bình Thạnh - TP. HCM
Cạo vôi - đánh bóng răng bằng máy rung siêu âm
-
Chi phí: 300.000 - 500.000 VNĐ/2 hàm
-
Dịch vụ sử dụng máy siêu âm hiện đại giúp loại bỏ mảng bám, vôi răng cứng và làm sạch bề mặt men răng, hỗ trợ giảm viêm nướu nhẹ và hạn chế tái bám cao răng.
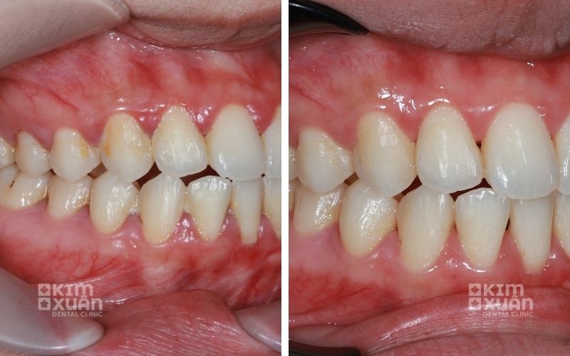
Cạo vôi dưới nướu (Deep Clean) - điều trị viêm nướu, nha chu
-
Chi phí: 1.000.000 VNĐ/2 hàm
-
Quy trình làm sạch chuyên sâu dưới đường nướu, phù hợp cho trường hợp viêm nướu nặng, túi nha chu sâu hoặc cao răng bám cứng lâu ngày. Phương pháp này giúp giảm viêm, cải thiện hơi thở và ngăn ngừa tiêu xương răng.
Xem Thêm: Tẩy Trắng Răng Giá Bao Nhiêu? Bảng Giá Chi Tiết
Xem Thêm: Cạo Vôi Răng, Tẩy Trắng Răng Giá Bao Nhiêu?
4. Cạo Vôi Răng Là Gì?
Cạo vôi răng (scaling) là thủ thuật làm sạch mảng bám và cao răng bám chặt trên bề mặt răng. Vôi răng được hình thành từ:
-
Mảng bám thức ăn còn sót
-
Vi khuẩn tích tụ
-
Khoáng chất trong nước bọt
Ban đầu, mảng bám mềm và dễ loại bỏ bằng bàn chải. Nhưng sau vài ngày, chúng sẽ cứng lại thành cao răng, bám chặt vào răng và nướu, không thể tự làm sạch. Cao răng làm răng xỉn màu, hôi miệng và là nguyên nhân gây viêm lợi, viêm nha chu, tụt nướu.

5. Có Nên Cạo Vôi Răng Không?
Câu trả lời là: NÊN - và nên thực hiện định kỳ.
Bác sĩ khuyến nghị:
-
6 tháng/lần đối với người răng khỏe
-
3 tháng/lần nếu có viêm nướu, viêm chân răng hoặc đang niềng răng
Cạo vôi răng giúp:
-
Phòng ngừa sâu răng, viêm nướu, viêm nha chu
-
Loại bỏ mùi hôi miệng
-
Giúp răng sạch - sáng - thẩm mỹ hơn
-
Ngăn ngừa nguy cơ vi khuẩn gây bệnh lan sang các cơ quan khác (tim mạch, họng, amidan…)
-
Giữ xương hàm khỏe, hạn chế tình trạng lung lay và mất răng
Việc giữ răng sạch không chỉ thẩm mỹ mà còn bảo vệ sức khỏe toàn bộ khoang miệng.
Xem Thêm: Lấy Tủy Bọc Răng Sứ Giá Bao Nhiêu?

6. Lợi Ích Của Cạo Vôi Răng Định Kỳ
6.1. Giảm nguy cơ bệnh lý răng miệng
-
Cao răng là môi trường lý tưởng cho vi khuẩn gây sâu răng, mòn men răng và tụt lợi.
6.2. Loại bỏ mùi hôi miệng
-
Những mảng bám dưới nướu chứa hàng triệu vi khuẩn gây mùi. Lấy vôi răng sẽ giải quyết triệt để nguyên nhân.
6.3. Răng sáng hơn, sạch hơn
-
Cao răng thường sậm hơn màu răng thật, khiến nụ cười kém tươi. Khi loại bỏ, răng sẽ sáng và đẹp hơn đáng kể.
6.4. Phòng ngừa các bệnh toàn thân
-
Nhiều nghiên cứu cho thấy vi khuẩn trong cao răng có thể gây viêm họng, viêm amidan, thậm chí ảnh hưởng tim mạch.
6.5. Bảo vệ xương hàm và chân răng
-
Nếu không loại bỏ sớm, vi khuẩn sẽ phá hủy mô nướu và xương ổ răng, dẫn đến lung lay và mất răng hàng loạt.

7. Bao Lâu Nên Cạo Vôi Răng Một Lần?
-
Người bình thường: 6 tháng/lần
-
Người nhiều mảng bám, hút thuốc, uống cà phê: 3 - 4 tháng/lần
-
Người bị viêm nướu/viêm nha chu: 3 tháng/lần
-
Người niềng răng: 1 - 2 tháng/lần
Việc duy trì lịch thăm khám định kỳ giúp bảo vệ sức khỏe răng miệng tốt hơn và giảm chi phí điều trị sau này.
Kết Luận
Cạo vôi răng là thủ thuật nha khoa đơn giản, chi phí hợp lý nhưng mang lại nhiều lợi ích quan trọng như giảm viêm nướu, ngăn ngừa sâu răng và cải thiện sức khỏe răng miệng tổng thể. Giá cạo vôi răng năm 2026 thường dao động từ 300.000 - 500.000 VNĐ/2 hàm, cạo vôi răng dưới nướu điều trị nha chu giá từ 1.000.000 VNĐ tùy mức độ vôi răng bám nhiều hay ít, tình trạng nướu và công nghệ làm sạch được sử dụng.
Để biết chi phí chính xác phù hợp với tình trạng răng của bạn, bạn nên đến nha khoa để được khám và tư vấn miễn phí. Việc thăm khám giúp bác sĩ đánh giá đúng mức độ viêm nướu - cao răng và đưa ra phác đồ điều trị hiệu quả, an toàn và tiết kiệm nhất.
Hãy liên hệ nha khoa Kim Xuân để thăm khám và tư vấn miễn phí!
Nha Khoa Kim Xuân - Bình Thạnh TP. HCM
Địa Chỉ: 165 Ngô Tất Tố, Phường Thạnh Mỹ Tây, Tp Hồ Chí Minh
Hotline: 0899 922 668 (Viber, Zalo, FaceTime)
ZaLo: https://zalo.me/nhakhoakimxuan
WebSite: https://nhakhoakimxuan.com.vn