Lấy cao răng (cạo vôi răng) được đánh giá là có lợi và cần thiết cho sức khỏe răng miệng vì giúp làm sạch mảng bám và vi khuẩn tích tụ lâu ngày - nguyên nhân hàng đầu gây viêm nướu, sâu răng, hôi miệng và tụt nướu. Việc lấy cao răng định kỳ 3 - 6 tháng/lần tại nha khoa uy tín giúp bảo vệ chân răng, giữ nụ cười khỏe mạnh và còn hỗ trợ phòng ngừa một số bệnh toàn thân như tim mạch, tiểu đường.
Trên thực tế, lấy cao răng không làm mòn men răng nếu thực hiện đúng kỹ thuật; ngược lại, bỏ qua việc lấy cao răng hoặc thao tác sai mới là yếu tố gây tổn thương men răng và nướu.

1. Cao Răng Là Gì? Vì Sao Không Thể Tự làm Sạch Tại Nhà?
Cao răng là mảng bám đã bị vôi hóa, hình thành từ vi khuẩn, vụn thức ăn và khoáng chất trong nước bọt tích tụ lâu ngày trên răng. Ban đầu, mảng bám còn mềm và có thể làm sạch bằng cách đánh răng thông thường, nhưng chỉ sau vài ngày không được vệ sinh kỹ, chúng sẽ cứng lại, bám chặt vào bề mặt răng, kẽ răng và cả dưới nướu.
Cao răng không thể tự làm sạch tại nhà vì bàn chải đánh răng thông thường không đủ khả năng loại bỏ mảng bám đã vôi hóa; chỉ các thiết bị nha khoa chuyên dụng như sóng siêu âm mới làm sạch cao răng hiệu quả và an toàn.
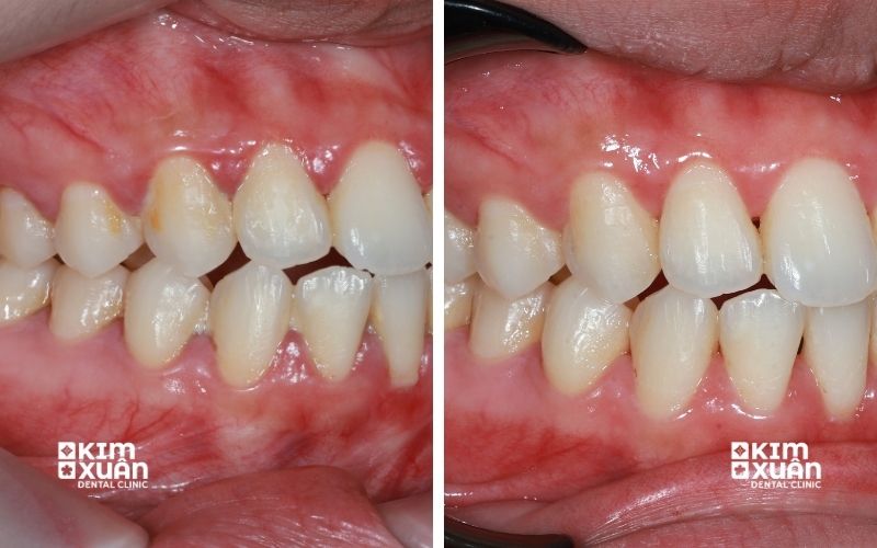
2. Lấy Cao Răng Có Tốt Không?
Câu trả lời là CÓ. Theo nha khoa hiện đại, lấy cao răng định kỳ là việc cần thiết và có lợi cho sức khỏe răng miệng, nếu được thực hiện đúng kỹ thuật và đúng chỉ định.
2.1. Ngăn ngừa viêm nướu và bệnh nha chu
-
Cao răng là nơi vi khuẩn trú ngụ và phát triển mạnh. Nếu để lâu, vi khuẩn sẽ gây viêm nướu, chảy máu chân răng, hôi miệng và nặng hơn là viêm nha chu - nguyên nhân hàng đầu dẫn đến tiêu xương và mất răng sớm.
2.2. Giảm hôi miệng rõ rệt
-
Vi khuẩn trong cao răng tạo ra hợp chất gây mùi khó chịu. Sau khi lấy cao răng, khoang miệng sạch hơn, hơi thở thơm tho hơn và cảm giác tự tin khi giao tiếp cũng được cải thiện rõ ràng.
2.3. Hạn chế nguy cơ sâu răng
-
Cao răng giữ lại axit và vi khuẩn, làm tăng nguy cơ phá hủy men răng. Việc loại bỏ cao răng giúp giảm môi trường thuận lợi cho sâu răng hình thành.
2.4. Bảo vệ nướu và chân răng
-
Cao răng bám lâu ngày có thể khiến nướu tụt dần, lộ chân răng và gây ê buốt. Lấy cao răng giúp nướu hồi phục, bám sát hơn vào răng, bảo vệ cấu trúc nâng đỡ răng.
2.5. Hỗ trợ thẩm mỹ nụ cười
-
Cao răng thường có màu vàng nâu, dễ thấy khi cười. Sau khi cạo vôi răng, bề mặt răng sạch và sáng hơn, nụ cười trông gọn gàng và khỏe mạnh hơn.
Xem Thêm: Lấy Cao Răng Giá Bao Nhiêu Tiền? Lấy Cao Răng Có Đau Không?

3. Lấy Cao Răng Có Làm Hại Men Răng Không?
Không, nếu được thực hiện đúng cách. Nhiều người lo lắng rằng lấy cao răng sẽ làm mòn men răng hoặc khiến răng yếu đi. Thực tế:
-
Thiết bị lấy cao răng siêu âm chỉ tác động lên mảng vôi răng, không bào mòn men răng.
-
Men răng là mô cứng nhất trong cơ thể người, không dễ bị tổn thương bởi thao tác lấy cao răng đúng kỹ thuật.
Cảm giác ê nhẹ sau khi lấy cao răng (nếu có) thường do:
-
Nướu đang viêm trước đó
-
Chân răng từng bị che phủ bởi cao răng nay được làm sạch
Đây là phản ứng tạm thời và sẽ hết sau vài ngày.
Xem Thêm: Lấy Tủy (Chữa Tủy) Giá Bao Nhiêu?

4. Bao Lâu Nên Lấy Cao Răng Một Lần?
Tùy vào cơ địa và thói quen sinh hoạt, thời gian lấy cao răng có thể khác nhau. Tuy nhiên, nha khoa khuyến nghị:
-
Trung bình: 3 - 6 tháng/lần
-
Người hút thuốc, uống cà phê nhiều, dễ bám mảng bám: có thể cần lấy cao răng thường xuyên hơn
-
Người có bệnh nha chu: cần theo dõi và làm sạch theo chỉ định riêng
Xem Thêm: Cạo Vôi Răng Tẩy Trắng Răng Giá Bao Nhiêu?

5. Có Nên Tự Lấy Cao Răng Tại Nhà Không?
Không nên. Việc tự dùng dụng cụ cạo cao răng tại nhà tiềm ẩn nhiều rủi ro:
-
Trầy xước men răng
-
Tổn thương nướu, gây nhiễm trùng
-
Cao răng không được loại bỏ triệt để, dễ tái phát nhanh hơn
Lấy cao răng cần được thực hiện trong môi trường vô trùng, bởi người có chuyên môn và thiết bị phù hợp.
6. Cách Chăm Sóc Răng Miệng Sau Khi Lấy Cao Răng
Để duy trì hiệu quả lâu dài, bạn nên:
-
Đánh răng 2 lần/ngày với bàn chải lông mềm
-
Sử dụng chỉ nha khoa hoặc tăm nước mỗi ngày
-
Hạn chế hút thuốc, nước ngọt, cà phê đậm màu
-
Tái khám và lấy cao răng định kỳ theo khuyến nghị
Câu Hỏi Thường Gặp (FAQ)
Lấy cao răng có đau không?
-
Lấy cao răng thường không gây đau. Với người có nướu khỏe mạnh, cảm giác chỉ là rung nhẹ hoặc hơi khó chịu trong quá trình làm sạch. Trường hợp nướu đang viêm, có thể ê nhẹ nhưng hoàn toàn chịu được và sẽ giảm nhanh sau khi kết thúc.
Lấy cao răng xong có bị ê buốt không?
-
Một số người có thể ê buốt nhẹ trong 1 - 2 ngày đầu, đặc biệt khi răng từng bị cao răng che phủ lâu ngày. Đây là phản ứng tạm thời và sẽ hết khi nướu ổn định trở lại.
Lấy cao răng bao lâu thì ăn uống bình thường?
-
Bạn có thể ăn uống gần như bình thường ngay sau khi lấy cao răng. Tuy nhiên, nên tránh thức ăn quá nóng, lạnh hoặc cứng trong khoảng 24 giờ đầu để răng và nướu thích nghi tốt hơn.
Lấy cao răng có làm răng yếu đi không?
-
Không. Lấy cao răng không làm yếu răng hay mòn men răng nếu được thực hiện đúng kỹ thuật. Ngược lại, không lấy cao răng định kỳ mới là nguyên nhân khiến nướu viêm, tụt nướu và răng yếu dần theo thời gian.
Kết Luận
Lấy cao răng là tốt và cần thiết cho sức khỏe răng miệng, giúp loại bỏ mảng bám, phòng ngừa viêm nướu, nha chu, sâu răng và duy trì nụ cười khỏe mạnh lâu dài. Để đảm bảo an toàn, việc lấy cao răng cần được thực hiện đúng kỹ thuật, đúng định kỳ 3 - 6 tháng/lần tại nha khoa uy tín.
Chủ động lấy cao răng định kỳ chính là bước chăm sóc răng miệng đơn giản nhưng hiệu quả theo đúng khuyến nghị nha khoa hiện đại. Nếu bạn đang tìm địa chỉ lấy cao răng an toàn, nhẹ nhàng, hãy liên hệ Nha khoa Kim Xuân để được thăm khám và tư vấn phù hợp.
Nha Khoa Kim Xuân - Bình Thạnh TP. HCM
Địa Chỉ: 165 Ngô Tất Tố, Phường Thạnh Mỹ Tây, Tp Hồ Chí Minh
Hotline: 0899 922 668 (Viber, Zalo, FaceTime)
ZaLo: https://zalo.me/nhakhoakimxuan
WebSite: https://nhakhoakimxuan.com.vn