Răng Sứ Emax Là Gì? Có Mấy Loại? Ưu Nhược Điểm? Giá Bao Nhiêu?
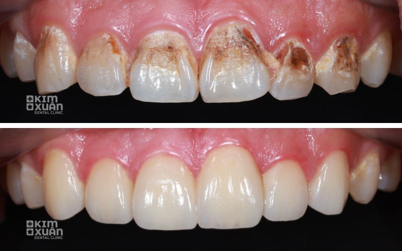
Răng sứ Emax là dòng răng toàn sứ cao cấp (không kim loại) có xuất xứ từ Đức, được chế tác từ vật liệu gốm thủy tinh Lithium Disilicate nguyên khối. Nhờ độ bền cao, khả năng chịu lực tốt và độ thấu quang tự nhiên, răng sứ Emax mang lại màu sắc và hình thể gần giống răng thật. Dòng sứ này thường được chỉ định trong các trường hợp răng sứt mẻ, xỉn màu, răng ố vàng hoặc khấp khểnh nhẹ, giúp phục hồi thẩm mỹ và chức năng ăn nhai hiệu quả.

1. Răng Sứ Emax Là Gì?
Răng sứ Emax (Esthetic Maximum) là dòng răng toàn sứ cao cấp, được chế tác 100% từ Lithium Disilicate (glass-ceramic) - vật liệu sứ thủy tinh nổi bật với độ bền cao và độ thấu quang tự nhiên gần giống răng thật. Nhờ đặc tính quang học ưu việt, răng sứ Emax mang lại màu sắc trong mờ, sống động và tính thẩm mỹ cao, đặc biệt phù hợp cho phục hình răng trước.
Cấu tạo răng sứ Emax gồm:
-
Lõi sườn Lithium Disilicate nguyên khối: đảm bảo độ cứng chắc và khả năng chịu lực ổn định.
-
4–5 lớp sứ phủ thẩm mỹ bên ngoài: giúp tăng chiều sâu màu sắc, tạo hiệu ứng tự nhiên như răng thật.
Nhờ cấu trúc toàn sứ không kim loại, răng sứ Emax không gây đen viền nướu, không bị oxy hóa và duy trì tính thẩm mỹ ổn định theo thời gian, đồng thời đảm bảo an toàn sinh học cho mô nướu.

2. Răng Sứ Emax Phù Hợp Với Những Trường Hợp Nào?
Răng sứ Emax thường được chỉ định trong các trường hợp phục hình răng thẩm mỹ, đặc biệt khi cần đảm bảo màu sắc tự nhiên, độ thấu quang cao và bảo tồn mô răng tối đa. Cụ thể, răng sứ Emax phù hợp với các tình trạng sau:
-
Răng ố vàng, xỉn màu nặng không đáp ứng hoặc đáp ứng kém với các phương pháp tẩy trắng thông thường
-
Răng sứt mẻ, mòn men hoặc gãy vỡ mức độ nhẹ, chưa cần can thiệp phục hình phức tạp
-
Răng thưa, hở kẽ nhỏ, ảnh hưởng đến thẩm mỹ nụ cười
-
Sai lệch khớp cắn mức độ nhẹ, có thể cải thiện bằng phục hình sứ
-
Phục hình thẩm mỹ vùng răng trước, nơi yêu cầu cao về màu sắc và hình thể
-
Dán sứ veneer, inlay - onlay hoặc phục hình trên Implant, trong những chỉ định phù hợp theo đánh giá của bác sĩ
Xem Thêm: Giá Dán Sứ Veneer Bao Nhiêu? Bảng Giá Mới Nhất 2026

3. Răng Sứ Emax Có Mấy Loại?
Hiện nay, răng sứ Emax (Lithium Disilicate) được ứng dụng phổ biến với 3 dòng vật liệu chính. Mỗi loại có đặc tính cơ học, thẩm mỹ và chỉ định lâm sàng khác nhau, phù hợp với từng nhu cầu phục hình cụ thể.
3.1. Răng sứ Emax Press (Lithium Disilicate Press)
-
Emax Press được chế tác bằng công nghệ nén nhiệt (Press) từ khối sứ Lithium Disilicate nguyên khối, nổi bật với độ thấu quang cao và tính thẩm mỹ vượt trội.
Ưu điểm nổi bật:
-
Thẩm mỹ cao, che phủ tốt cùi răng nhiễm màu
-
Độ trong mờ tự nhiên, màu sắc sống động
-
Độ chịu lực khoảng 800 - 850 MPa
-
Nhiều mức độ màu và độ trong: HT, MT, LT, HO, MO, Multi
Chỉ định lâm sàng:
-
Dán sứ Veneer
-
Inlay - Onlay sứ
-
Mão sứ đơn
-
Cầu răng ngắn (≤ 3 đơn vị)
-
Phục hình răng trên Implant
Hạn chế: Không phù hợp cho cầu răng dài hoặc vùng răng hàm chịu lực nhai lớn.
3.2. Răng sứ Lithium Disilicate GC LiSi Press
-
GC LiSi Press là dòng Lithium Disilicate cao cấp của GC (Nhật Bản), được đánh giá cao về độ ổn định vật liệu và khả năng cá nhân hóa phục hình.
Ưu điểm:
-
Cấu trúc sứ ổn định, độ bền và độ dẻo tốt
-
Độ sát khít cao, tương thích sinh học tốt
-
Màu sắc tự nhiên, dễ tinh chỉnh theo từng ca lâm sàng
Chỉ định lâm sàng:
-
Veneer thẩm mỹ
-
Mão sứ đơn
-
Phục hình răng trước và răng sau
-
Cầu răng ngắn 3 - 4 đơn vị
Hạn chế: Độ trong mờ thấp hơn Emax Press trong các ca yêu cầu thẩm mỹ cực cao vùng răng cửa.
3.3. Răng sứ Emax CAD (Lithium Disilicate CAD/CAM)
- Emax CAD được chế tác bằng công nghệ CAD/CAM kỹ thuật số, cho phép kiểm soát hình thể và độ chính xác cao trong phục hình.
Ưu điểm:
-
Độ chịu lực lên đến 850 MPa
-
Thiết kế mỏng, nhẹ nhưng vẫn bền chắc
-
16 tông màu, dễ phối hợp với răng thật
-
Độ chính xác cao, khớp cắn ổn định
Chỉ định lâm sàng:
-
Veneer siêu mỏng
-
Mão sứ nguyên chiếc
-
Phục hình yêu cầu độ chính xác cao
-
Cầu răng 4 - 5 đơn vị (trong chỉ định phù hợp)
Xem Thêm: Răng Sứ Cercon HT Có Tốt Không?
Xem Thêm: Răng Sứ Zirconia Giá Bao Nhiêu? Có Tốt Không?

4. Răng Sứ Emax Có Tót Không?
Răng sứ Emax được đánh giá là dòng răng toàn sứ cao cấp, đáp ứng tốt cả yêu cầu thẩm mỹ lẫn chức năng ăn nhai trong phục hình nha khoa hiện đại. Nhờ vật liệu Lithium Disilicate và công nghệ chế tác tiên tiến, Emax mang lại hiệu quả ổn định và lâu dài khi được chỉ định đúng.
Ưu điểm nổi bật của răng sứ Emax
-
Độ bền cao: Răng sứ Emax có khả năng chịu lực gấp khoảng 4 - 6 lần răng thật, đảm bảo ăn nhai ổn định trong sinh hoạt hằng ngày.
-
Thẩm mỹ tự nhiên: Độ thấu quang tốt, màu sắc trong mờ và chiều sâu tự nhiên giúp răng sứ Emax không bị đen viền nướu, đặc biệt phù hợp cho vùng răng trước.
-
An toàn sinh học: Cấu trúc toàn sứ không kim loại giúp Emax tương thích tốt với mô nướu, không gây kích ứng hay phản ứng phụ trong khoang miệng.
-
Tuổi thọ dài: Tuổi thọ trung bình của răng sứ Emax đạt khoảng 15 - 20 năm, thậm chí lâu hơn nếu được chăm sóc đúng cách và thăm khám định kỳ.
Xem Thêm: Răng Sứ Kim Loại Giá Bao Nhiêu?
5. Răng Sứ Emax Giá Bao Nhiêu Tiền? Cập Nhật 2026
Chi phí làm răng sứ Emax hiện nay phụ thuộc vào loại vật liệu, công nghệ chế tác và chỉ định phục hình cụ thể. Mức giá tham khảo năm 2025 như sau:
-
Răng sứ Emax Press: giá 6.000.000 VNĐ/răng. Phù hợp cho veneer, mão sứ đơn và cầu răng ngắn, ưu tiên thẩm mỹ cao.
-
Răng sứ GC LiSi Press: giá 8.000.000 VNĐ/răng. Cân bằng tốt giữa độ bền, độ dẻo và tính ổn định vật liệu.
-
Răng sứ Emax CAD: giá 7.000.000 VNĐ/răng. Ứng dụng công nghệ CAD/CAM, cho độ chính xác cao và khả năng cá nhân hóa tốt.
Lưu ý:
Chi phí răng sứ Emax có thể thay đổi tùy theo:
-
Tình trạng răng miệng và mức độ can thiệp
-
Loại phục hình (veneer, mão sứ, cầu răng, phục hình trên Implant)
-
Công nghệ chế tác và tay nghề kỹ thuật
-
Chính sách bảo hành của từng cơ sở nha khoa
Xem Thêm: Dán Sứ Veneer 2 Răng Thưa Giá Bao Nhiêu?
Xem Thêm: Giá Bọc Răng Sứ Bao Nhiêu Tiền Tại TP. HCM

6. Cách Chăm Sóc Răng Sứ Emax Sau Khi Phục Hình
Việc chăm sóc đúng cách sau khi phục hình răng sứ Emax đóng vai trò quan trọng trong việc duy trì độ bền, thẩm mỹ và tuổi thọ của răng sứ. Dưới đây là những hướng dẫn cần lưu ý:
Giai đoạn đầu sau phục hình
-
Ưu tiên thức ăn mềm, dễ nhai; tránh thực phẩm quá cứng hoặc dai
-
Hạn chế nóng - lạnh đột ngột để tránh cảm giác ê buốt và ảnh hưởng đến khớp cắn
Vệ sinh răng miệng hằng ngày
-
Đánh răng 2 lần/ngày bằng bàn chải lông mềm
-
Sử dụng chỉ nha khoa hoặc tăm nước để làm sạch kẽ răng
-
Kết hợp nước súc miệng phù hợp nhằm giảm vi khuẩn và mảng bám
Thói quen sinh hoạt cần lưu ý
-
Hạn chế đồ uống sậm màu, có gas và thực phẩm dễ bám màu
-
Không dùng răng để cắn, mở vật cứng hoặc tạo lực bất thường lên răng sứ
Tái khám nha khoa định kỳ
-
Tái khám 3 - 6 tháng/lần để kiểm tra tình trạng răng sứ và khớp cắn
-
Cạo vôi răng định kỳ nhằm hạn chế mảng bám, giúp duy trì sức khỏe nướu
7. Có Nên Làm Răng Sứ Emax Không?
Răng sứ Emax là lựa chọn phù hợp trong nhiều trường hợp phục hình nha khoa thẩm mỹ, đặc biệt nếu bạn có các nhu cầu sau:
-
Ưu tiên thẩm mỹ tự nhiên, màu sắc trong mờ và hình thể giống răng thật
-
Mong muốn phục hình an toàn, ổn định và lâu dài
-
Cần cảm giác ăn nhai gần giống răng tự nhiên, không cộm cấn
Tuy nhiên, không phải mọi trường hợp đều phù hợp với cùng một loại Emax. Mỗi dòng vật liệu sẽ có chỉ định riêng tùy theo:
-
Tình trạng răng miệng cụ thể
-
Mức độ mài răng cần thiết
-
Vị trí răng phục hình (răng trước hay răng sau)
Do đó, thăm khám trực tiếp với bác sĩ nha khoa là bước quan trọng giúp xác định loại sứ Emax phù hợp, phương án phục hình tối ưu và đảm bảo hiệu quả lâu dài.
Câu Hỏi Thường Gặp?
Răng sứ Emax có bị vàng theo thời gian không?
-
Không. Răng sứ Emax là sứ toàn phần, không bị nhiễm màu hay đổi màu như răng thật. Tuy nhiên, mảng bám bên ngoài vẫn có thể hình thành nếu vệ sinh răng miệng kém, vì vậy cần chăm sóc và làm sạch đúng cách để duy trì độ trắng sáng lâu dài.
Răng sứ Emax dùng được bao lâu?
Tuổi thọ trung bình của răng sứ Emax khoảng 15 - 20 năm, thậm chí có thể lâu hơn nếu:
-
Phục hình đúng chỉ định
-
Vệ sinh răng miệng tốt
-
Tái khám nha khoa định kỳ theo khuyến nghị
Nên chọn răng sứ Emax hay Zirconia?
Việc lựa chọn phụ thuộc vào vị trí răng và nhu cầu phục hình:
-
Răng sứ Emax: thẩm mỹ cao, độ thấu quang tốt, phù hợp răng trước
-
Răng sứ Zirconia: độ chịu lực tốt, phù hợp răng hàm
Bác sĩ sẽ đánh giá khớp cắn và lực nhai để chỉ định loại sứ phù hợp nhất.
Dán sứ veneer Emax có phải mài răng không?
- Có, nhưng rất ít. Trong đa số trường hợp, veneer Emax chỉ cần mài khoảng 0,2 - 0,5 mm, thậm chí gần như không mài răng ở những ca đủ điều kiện, giúp bảo tồn tối đa mô răng thật.
Kết Luận
Răng sứ Emax là dòng răng toàn sứ cao cấp, đa dạng về vật liệu và chỉ định lâm sàng, đáp ứng tốt các yêu cầu phục hình răng thẩm mỹ hiện nay. Mặc dù chi phí cao hơn một số dòng sứ khác, nhưng xét trên các yếu tố độ bền, tính thẩm mỹ tự nhiên và mức độ an toàn sinh học, răng sứ Emax được đánh giá là giải pháp phục hình xứng đáng để cân nhắc trong điều trị nha khoa hiện đại.
Tuy nhiên, để đạt hiệu quả tối ưu, việc lựa chọn đúng loại Emax, mức độ mài răng phù hợp và phương án phục hình chính xác cần được chỉ định dựa trên thăm khám và đánh giá chuyên môn cụ thể.
Nếu bạn đang cân nhắc làm răng sứ Emax và cần:
-
So sánh Emax - Zirconia theo từng vị trí răng
-
Tư vấn chi phí chi tiết theo tình trạng răng miệng
-
Xây dựng phác đồ phục hình cá nhân hóa, an toàn - lâu dài
Bạn có thể liên hệ Nha khoa Kim Xuân để được thăm khám, tư vấn và đánh giá trực tiếp bởi đội ngũ bác sĩ chuyên môn, giúp lựa chọn giải pháp phù hợp và hiệu quả nhất cho từng trường hợp cụ thể.
Nha Khoa Kim Xuân - Bình Thạnh TP. HCM
Địa Chỉ: 165 Ngô Tất Tố, Phường Thạnh Mỹ Tây, Tp Hồ Chí Minh
Hotline: 0899 922 668 (Viber, Zalo, FaceTime)
ZaLo: https://zalo.me/nhakhoakimxuan
WebSite: https://nhakhoakimxuan.com.vn