Răng sâu đến tủy là tình trạng sâu răng nặng, khi vi khuẩn xâm nhập vào buồng tủy gây viêm và đau nhức dữ dội. Nếu không điều trị kịp thời, tình trạng này có thể dẫn đến nhiễm trùng, hoại tử tủy và mất răng. Nhận biết sớm các dấu hiệu răng sâu đến tủy giúp người bệnh hạn chế biến chứng và bảo tồn răng hiệu quả. Bài viết dưới đây sẽ giúp bạn hiểu rõ triệu chứng, mức độ nguy hiểm và hướng điều trị phù hợp.

1. Răng Sâu Vào Tủy Là Gì?
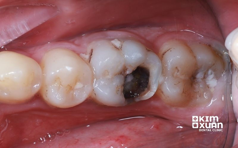
Răng sâu vào tủy là giai đoạn nặng của sâu răng, xảy ra khi vi khuẩn từ mảng bám răng phá hủy dần các lớp cấu trúc răng và xâm nhập vào buồng tủy. Quá trình này thường tiến triển theo thứ tự: men răng - ngà răng - buồng tủy răng.
Khi tủy răng bị viêm hoặc hoại tử, các dây thần kinh bên trong bị kích thích mạnh, gây ra đau nhức dữ dội, kéo dài và khó giảm bằng thuốc, ảnh hưởng nghiêm trọng đến sinh hoạt hằng ngày.
Phân Biệt Sâu Răng Thông Thường Và Sâu Răng Vào Tủy
-
Sâu răng thông thường: Ê buốt nhẹ, đau thoáng qua khi ăn ngọt hoặc lạnh, chưa ảnh hưởng đến tủy.
-
Sâu răng vào tủy: Đau nhức kéo dài, đau nhiều về đêm, có thể lan lên đầu hoặc tai, kèm theo nướu sưng hoặc mủ.
Việc phân biệt sớm giúp quá trình điều trị đơn giản hơn, giảm đau hiệu quả và bảo tồn răng thật tối đa.

2. Dấu Hiệu Nhận Biết Răng Sâu Vào Tủy?
Sâu răng ăn vào tủy không xảy ra đột ngột mà tiến triển qua nhiều giai đoạn, từ tổn thương nhẹ ở men răng đến viêm, hoại tử tủy và áp xe răng. Việc nhận biết sớm dấu hiệu ở từng giai đoạn giúp điều trị kịp thời và hạn chế biến chứng nguy hiểm.
Giai Đoạn Sâu Men - Sâu Ngà Răng
Ở giai đoạn đầu, răng mới bị tổn thương lớp men và ngà, các triệu chứng thường còn nhẹ và dễ bị bỏ qua:
-
Xuất hiện đốm trắng, nâu hoặc đen trên bề mặt răng
-
Ê buốt nhẹ khi ăn đồ nóng, lạnh, chua hoặc ngọt
-
Chưa có đau nhức rõ rệt, cơn ê buốt nhanh hết
Nếu được phát hiện sớm, răng có thể phục hồi đơn giản bằng trám răng, giúp ngăn vi khuẩn lan sâu vào tủy.
Giai Đoạn Viêm Tủy Răng
Khi vi khuẩn xâm nhập vào buồng tủy, các triệu chứng trở nên rõ rệt và gây nhiều khó chịu cho người bệnh:
-
Đau răng dữ dội, kéo dài nhiều giờ
-
Đau tăng mạnh về đêm, gây mất ngủ
-
Đau lan sang hàm, thái dương, tai hoặc nửa đầu
-
Ê buốt dữ dội khi ăn uống, khó giảm bằng thuốc
Đây là giai đoạn cần điều trị tủy răng càng sớm càng tốt để tránh hoại tử tủy và nhiễm trùng lan rộng.
Xem Thêm: Viêm Tủy Răng Là Gì? Nguyên Nhân Và Cách Điều Trị
Giai Đoạn Tủy Chết - Áp Xe Răng
Ở giai đoạn nặng nhất, tủy răng đã bị hoại tử hoàn toàn và xuất hiện nhiều biến chứng nguy hiểm:
-
Răng có thể giảm đau hoặc hết đau nhưng đổi màu xám đen
-
Xuất hiện mủ ở chân răng hoặc vùng nướu
-
Hơi thở có mùi hôi nặng, khó kiểm soát
-
Nguy cơ áp xe răng, viêm xương hàm, nhiễm trùng lan rộng
Đây là giai đoạn nguy hiểm, có thể ảnh hưởng đến sức khỏe toàn thân nếu không được xử lý kịp thời.

3. Răng Sâu Vào Tủy Có Nguy Hiểm Không? Các Biến Chứng Thường Gặp?
Răng sâu vào tủy là tình trạng nguy hiểm và có thể gây ra nhiều biến chứng nghiêm trọng nếu không được điều trị kịp thời và đúng cách. Khi vi khuẩn đã xâm nhập vào buồng tủy, nguy cơ nhiễm trùng lan rộng không chỉ ảnh hưởng đến răng mà còn tác động đến sức khỏe toàn thân.
Nguy Cơ Mất Răng Vĩnh Viễn
-
Khi tủy răng bị viêm nặng hoặc hoại tử, răng không còn được nuôi dưỡng đầy đủ, trở nên giòn, yếu và dễ gãy vỡ. Nếu điều trị muộn, răng có thể không còn khả năng bảo tồn, buộc phải nhổ bỏ để tránh nhiễm trùng lan rộng.
Áp Xe Răng, Viêm Xương Hàm
-
Vi khuẩn từ buồng tủy có thể lan xuống chóp răng và xương hàm, hình thành ổ mủ (áp xe răng). Tình trạng này gây sưng đau dữ dội, khó ăn nhai và có nguy cơ dẫn đến viêm xương hàm nếu không được xử lý kịp thời.
Ảnh Hưởng Đến Sức Khỏe Toàn Thân
-
Nhiễm trùng răng kéo dài có thể khiến cơ thể mệt mỏi, sốt nhẹ, suy giảm sức đề kháng. Trong những trường hợp nặng, vi khuẩn có thể xâm nhập vào máu, làm tăng nguy cơ biến chứng tim mạch và các bệnh lý toàn thân khác.

4. Cách Điều Trị Răng Sâu Vào Tủy?
Việc điều trị răng sâu vào tủy phụ thuộc vào mức độ tổn thương của tủy và cấu trúc răng. Sau khi thăm khám và chụp phim, bác sĩ sẽ chỉ định phương pháp phù hợp nhằm giảm đau, loại bỏ nhiễm trùng và bảo tồn răng thật tối đa.
Điều Trị Tủy Răng Là Gì?
Điều trị tủy răng (chữa tủy) là phương pháp loại bỏ ổ viêm nhiễm bên trong răng, bao gồm các bước:
-
Loại bỏ hoàn toàn mô tủy bị viêm hoặc hoại tử
-
Làm sạch và tạo hình hệ thống ống tủy
-
Trám bít ống tủy nhằm ngăn vi khuẩn tái xâm nhập
Phương pháp này giúp giữ lại răng thật, giảm đau hiệu quả và ngăn ngừa các biến chứng nguy hiểm.
Xem Thêm: Lấy Tủy Răng Giá Bao Nhiêu? Bảng Giá Mới Nhất
Khi Nào Cần Bọc Răng Sứ Sau Điều Trị Tủy?
Sau khi chữa tủy, răng thường trở nên yếu và giòn hơn do không còn được nuôi dưỡng từ tủy. Bác sĩ có thể chỉ định bọc răng sứ trong các trường hợp:
-
Răng bị sâu lớn, mất nhiều mô răng
-
Thành răng mỏng, dễ nứt vỡ khi ăn nhai
-
Cần phục hồi thẩm mỹ và chức năng nhai lâu dài
Bọc răng sứ giúp bảo vệ răng đã chữa tủy và kéo dài tuổi thọ răng.
Xem Thêm: Bọc Răng Sứ Giá Bao Nhiêu? Bảng Giá Chi Tiết Tại Nha Khoa Kim Xuân
Xem Thêm: Lấy Tủy Bọc Răng Sứ Giá Bao Nhiêu?
Trường Hợp Phải Nhổ Răng Và Phục Hình Thay Thế
Nếu răng bị phá hủy quá nặng, không còn khả năng bảo tồn, bác sĩ sẽ chỉ định nhổ răng để loại bỏ ổ nhiễm trùng. Sau đó, người bệnh có thể được tư vấn các phương pháp phục hình như:
-
Cầu răng sứ
-
Trồng răng Implant
Việc phục hình sớm giúp khôi phục chức năng ăn nhai và ngăn tiêu xương hàm.
Xem Thêm: Trồng Răng Implant Là Gì? Giá Bao Nhiêu?

5. Cách Ngăn Ngừa Răng Sâu Đến Tủy
Ngăn ngừa răng sâu ăn vào tủy luôn đơn giản, ít đau và tiết kiệm chi phí hơn so với điều trị khi răng đã tổn thương nặng. Việc duy trì thói quen chăm sóc răng miệng đúng cách giúp hạn chế vi khuẩn phát triển và bảo vệ tủy răng hiệu quả.
-
Đánh răng ít nhất 2 lần/ngày với kem đánh răng chứa fluoride
-
Sử dụng chỉ nha khoa và nước súc miệng để làm sạch kẽ răng
-
Hạn chế đồ ngọt, nước có gas, thực phẩm nhiều đường
-
Khám răng định kỳ 6 tháng/lần để phát hiện sớm sâu răng
-
Điều trị sâu răng ngay từ giai đoạn đầu để tránh lan vào tủy
Thực hiện tốt các biện pháp trên giúp giảm nguy cơ sâu răng tiến triển đến tủy và duy trì sức khỏe răng miệng lâu dài.
Câu Hỏi Thường Gặp?
Sâu răng vào tủy có đau không?
-
Có. Phần lớn trường hợp gây đau nhức dữ dội, đau kéo dài và thường đau nhiều hơn vào ban đêm do tủy răng bị viêm nhiễm.
Điều trị tủy răng có đau không?
-
Hầu như không. Quy trình điều trị tủy hiện nay được gây tê cục bộ nên người bệnh chỉ cảm thấy hơi khó chịu nhẹ, không đau như nhiều người lo lắng.
Răng đã chữa tủy dùng được bao lâu?
-
Nếu được điều trị đúng kỹ thuật và chăm sóc răng miệng tốt, răng chữa tủy có thể sử dụng từ 10 - 20 năm hoặc lâu hơn, đặc biệt khi được bọc răng sứ bảo vệ.
Chi phí điều trị sâu răng vào tủy bao nhiêu?
-
Chi phí điều trị phụ thuộc vào vị trí răng, mức độ tổn thương của tủy và phương pháp phục hình sau điều trị (trám răng, bọc sứ hoặc phục hình khác).
Kết Luận
Răng sâu vào tủy là tình trạng răng miệng nghiêm trọng, có thể gây đau nhức kéo dài, nhiễm trùng và dẫn đến mất răng nếu không được điều trị kịp thời. Việc nhận biết sớm các dấu hiệu răng sâu đến tủy và can thiệp đúng thời điểm giúp hạn chế biến chứng, bảo tồn răng thật và tiết kiệm chi phí điều trị về lâu dài.
Vì vậy, ngay khi xuất hiện các triệu chứng như đau răng dữ dội, ê buốt kéo dài, răng đổi màu hoặc nướu sưng mủ, người bệnh nên chủ động thăm khám nha khoa để được chẩn đoán và điều trị phù hợp.
Nếu bạn đang gặp tình trạng sâu răng nghi ngờ đã lan vào tủy, Nha khoa Kim Xuân là địa chỉ đáng tin cậy để bạn an tâm thăm khám và điều trị. Với đội ngũ bác sĩ chuyên môn cao, quy trình điều trị tủy chuẩn y khoa cùng trang thiết bị hiện đại, Nha khoa Kim Xuân luôn hướng đến mục tiêu bảo tồn răng thật tối đa - điều trị nhẹ nhàng - an toàn lâu dài.
Liên hệ Nha khoa Kim Xuân ngay hôm nay để được tư vấn và kiểm tra răng sớm, giúp bảo vệ sức khỏe răng miệng và tránh những biến chứng không mong muốn.
Nha Khoa Kim Xuân - Bình Thạnh TP. HCM
Địa Chỉ: 165 Ngô Tất Tố, Phường Thạnh Mỹ Tây, Tp Hồ Chí Minh
Hotline: 0899 922 668 (Viber, Zalo, FaceTime)
ZaLo: https://zalo.me/nhakhoakimxuan
WebSite: https://nhakhoakimxuan.com.vn