Chi phí lấy tủy răng thường nằm trong khoảng 250.000 - 2.500.000 VNĐ/răng, thay đổi tùy theo vị trí răng (răng cửa, răng hàm nhỏ hay răng hàm lớn), mức độ viêm nhiễm, kỹ thuật điều trị (lấy tủy bằng tay hoặc bằng máy) và tiêu chuẩn của từng nha khoa. Với những trường hợp răng bị hư tổn nặng, cần xử lý nhiều ống tủy hoặc điều trị tủy lại, chi phí sẽ cao hơn.
Ngoài ra, một số bệnh nhân có thể phát sinh thêm các khoản như đặt chốt sợi, phục hình hoặc bọc răng sứ sau điều trị. Thông thường, răng cửa có giá thấp nhất, trong khi răng hàm lớn và các ca phức tạp sẽ có mức phí cao hơn do cấu trúc tủy nhiều và khó xử lý.
Để hiểu rõ hơn về từng mức giá, quy trình điều trị tủy và những yếu tố ảnh hưởng đến chi phí, bạn có thể xem thêm phân tích chi tiết trong bài viết dưới đây.

1. Tủy Răng Là Gì Và Khi Nào Cần Lấy Tủy?
Tủy răng là mô sống nằm sâu bên trong răng, chứa mạch máu và dây thần kinh giúp nuôi dưỡng răng. Khi tủy bị vi khuẩn tấn công do sâu răng, nứt vỡ hoặc chấn thương, răng thường đau nhức dữ dội, ê buốt và dễ nhiễm trùng nặng.
Những trường hợp bắt buộc phải lấy tủy:
-
Răng sâu lớn, viêm tủy gây đau nhức kéo dài.
-
Răng có mủ, đau khi nhai hoặc nhạy cảm với nóng - lạnh.
-
Răng gãy, vỡ lộ tủy do tai nạn.
-
Viêm tủy răng lan rộng ảnh hưởng mô quanh chóp răng.
Nếu không điều trị kịp thời, vi khuẩn có thể lan sang răng kế cận, thậm chí gây sưng mặt, áp xe nguy hiểm.

2. Lấy Tủy Răng Giá Bao Nhiêu? Bảng Giá Điều Trị Tủy Răng Mới Nhất
Chi phí lấy tủy răng phụ thuộc vào loại răng, số lượng ống tủy và độ phức tạp khi điều trị. Dưới đây là bảng giá điều trị tủy răng tham khảo:
-
Điều trị tủy răng sữa: 250.000 - 500.000 VNĐ
-
Điều trị tủy răng cửa / răng nanh: 800.000 VNĐ
-
Điều trị tủy răng cối nhỏ: 1.000.000 VNĐ
-
Điều trị tủy răng cối lớn hàm dưới: 2.000.000 VNĐ
-
Điều trị tủy răng cối lớn hàm trên: 2.000.000 VNĐ
-
Điều trị tủy lại (răng cửa - răng cối nhỏ): 1.000.000 - 1.500.000 VNĐ
-
Điều trị tủy lại răng cối lớn: 2.500.000 VNĐ
Mức chi phí trên có thể thay đổi tùy vào tình trạng viêm nhiễm, số ống tủy, kỹ thuật lấy tủy (tay hay máy) và tay nghề bác sĩ. Với những ca phức tạp hoặc cần điều trị lại, chi phí thường cao hơn do thời gian và kỹ thuật yêu cầu nhiều hơn.
Xem Thêm: Lấy Tủy Răng Bọc Răng Sứ Giá Bao Nhiêu 2026
Xem Thêm: Trám Răng Sâu Giá Bao Nhiêu Tiền

3. Các Yếu Tố Ảnh Hưởng Đến Giá Lấy Tủy Răng
-
Vị trí răng và số lượng chân răng
-
Mức độ viêm nhiễm, có mủ hay không
-
Kỹ thuật điều trị: tay, máy, Laser 3D
-
Loại vật liệu trám bít (Gutta Percha, MTA…)
-
Có cần đặt chốt sợi gia cố hay không
-
Tay nghề bác sĩ và trang thiết bị nha khoa
Xem Thêm: Trám Răng Sâu Giá Bao Nhiêu?
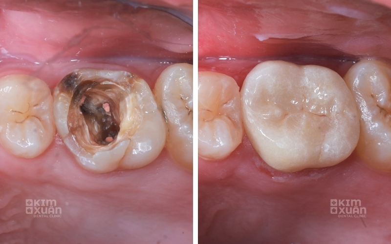
4. Quy Trình Lấy Tủy Răng Chuẩn Y Khoa Tại Nha Khoa Kim Xuân
Hiểu rõ quy trình sẽ giúp bệnh nhân yên tâm hơn trước khi điều trị. Một buổi lấy tủy răng tiêu chuẩn thường gồm các bước:
Bước 1: Thăm khám - Chụp X-quang
-
Bác sĩ xác định mức độ viêm tủy, số lượng ống tủy và tiên lượng điều trị. Đây là yếu tố quyết định chi phí lấy tủy răng cao hay thấp.
Bước 2: Gây tê - Cách ly răng
-
Giảm đau hoàn toàn, đảm bảo quá trình lấy tủy diễn ra an toàn.
Bước 3: Làm sạch hệ thống ống tủy
-
Dùng trâm tay, trâm máy hoặc Laser để loại bỏ mô tủy viêm. Ở bước này, răng hàm có nhiều ống tủy sẽ khó hơn, nên giá điều trị tủy răng hàm thường cao hơn răng cửa.
Bước 4: Trám bít ống tủy
-
Dùng Gutta Percha hoặc MTA để bịt kín, ngăn tái nhiễm trùng.
Bước 5: Phục hình răng sau điều trị
Tùy tình trạng răng, bác sĩ có thể đề nghị:
-
Trám lại
-
Đặt chốt sợi thủy tinh
-
Hoặc bọc răng sứ để bảo vệ răng yếu
Quy trình này thường mất 1 - 2 buổi tùy độ phức tạp.
Xem Thêm: Quy Trình Dán Sứ Veneer Chuẩn Y Khoa Tại Nha Khoa Kim Xuân

5. Lấy Tủy Răng Có Đau Không? Mất Bao Lâu?
5.1. Lấy tủy răng có đau không?
Nhờ ứng dụng thuốc gây tê và các thiết bị nha khoa hiện đại, quá trình lấy tủy răng hiện nay gần như không gây đau. Bệnh nhân chỉ có thể cảm thấy hơi ê nhẹ trong 1 - 2 ngày đầu, tùy theo mức độ viêm và cơ địa mỗi người. Cảm giác này được xem là bình thường và sẽ giảm dần sau đó.
5.2. Lấy tủy răng mất bao lâu?
Thời gian điều trị tủy phụ thuộc vào loại răng và số lượng ống tủy:
-
Răng cửa: 20 - 30 phút
-
Răng hàm có nhiều ống tủy: 40 - 60 phút
-
Điều trị tủy lại: 60 - 90 phút
Đối với những trường hợp viêm nặng, có mủ, đau kéo dài hoặc viêm lan rộng, bác sĩ có thể cần thêm thời gian để theo dõi và hẹn tái khám nhằm đảm bảo tủy được làm sạch hoàn toàn trước khi trám bít.
Quá trình lấy tủy hiện đại nhẹ nhàng hơn rất nhiều so với trước đây, giúp bệnh nhân yên tâm điều trị và bảo tồn răng tối đa.
Xem Thêm: Trồng Răng Sứ Vĩnh Viễn Giá Bao Nhiêu
Xem Thêm: Lấy Tủy Răng Có Đau Không? Giải Đáp Chi Tiết
6. Có Nên Bọc Răng Sứ Sau Khi Lấy Tủy Không?
Sau khi răng được lấy tủy, cấu trúc răng trở nên giòn, yếu và dễ nứt vỡ hơn do không còn mô tủy nuôi dưỡng. Vì vậy, hầu hết bác sĩ đều khuyến nghị bọc răng sứ để bảo vệ răng đã điều trị tủy.
Lợi ích của việc bọc sứ sau khi lấy tủy
-
Khôi phục chức năng ăn nhai: Răng sứ giúp tăng độ cứng, chịu lực tốt hơn, hạn chế tình trạng ê buốt khi sử dụng.
-
Ngăn ngừa nứt vỡ thân răng: Lớp mão sứ bao phủ toàn bộ răng, giảm tối đa nguy cơ răng gãy đôi hoặc vỡ mẻ sau này.
-
Tăng tuổi thọ của răng sau điều trị: Bọc sứ giúp răng ổn định lâu dài, tránh tái viêm, đồng thời bảo tồn răng thật hiệu quả.
Vì vậy, bọc răng sứ được xem là bước quan trọng để bảo vệ răng đã lấy tủy, giúp răng bền hơn và sử dụng được trong nhiều năm.
Xem Thêm: Còn Chân Răng Có Bị Tiêu Xương Hàm Không?
Xem Thêm: Giá Bọc Răng Sứ Bao Nhiêu Tiền? Bảng Giá 2026

7. Lưu Ý Sau Khi Điều Trị Tủy Răng
Để răng hồi phục nhanh, giảm ê buốt và hạn chế nguy cơ tái viêm sau khi điều trị tủy, bệnh nhân cần tuân thủ một số lưu ý quan trọng dưới đây:
-
Tránh nhai mạnh trong 24 - 48 giờ: Đây là giai đoạn răng còn yếu, mô quanh răng chưa ổn định.
-
Hạn chế thực phẩm quá cứng, quá nóng hoặc quá lạnh: Những tác động đột ngột có thể làm răng ê buốt hoặc gây nứt vỡ răng đã điều trị.
-
Giữ vệ sinh răng miệng sạch sẽ: Đánh răng 2 - 3 lần/ngày, kết hợp chỉ nha khoa để loại bỏ mảng bám và giảm nguy cơ viêm nhiễm trở lại.
-
Tái khám đúng hẹn: Bác sĩ sẽ kiểm tra ống tủy đã được trám bít kín hay chưa và theo dõi tình trạng hồi phục của răng. Việc tái khám giúp phát hiện sớm các dấu hiệu bất thường (nếu có).
Tuân thủ đúng những hướng dẫn trên sẽ giúp răng sau điều trị tủy bền chắc hơn, hạn chế đau nhức và giảm tối đa nguy cơ phải điều trị lại.
Xem Thêm: Triệu Chứng Sau Khi Lấy Tủy? Đâu Là Bình Thường Và Bất Thường
Câu Hỏi Thường Gặp?
1. Lấy tủy răng hết bao nhiêu tiền?
- Chi phí điều trị tủy răng dao động từ 250.000 - 2.500.000 VNĐ/răng, tùy loại răng, số lượng ống tủy và độ phức tạp của ca điều trị.
2. Lấy tủy răng bao lâu thì hết đau?
-
Thông thường, cảm giác ê buốt sẽ giảm dần và hết hẳn sau 1 - 2 ngày. Nếu đau kéo dài hơn, bạn nên tái khám để được kiểm tra lại.
3. Không lấy tủy răng có nguy hiểm không?
-
Có. Viêm tủy không điều trị kịp thời có thể dẫn đến áp xe răng, sưng mặt, nhiễm trùng nướu, tiêu xương và thậm chí lây lan sang các vùng lân cận.
4. Lấy tủy răng có cần bọc sứ không?
Thường là có, đặc biệt là răng hàm. Sau khi mất tủy, răng trở nên yếu và dễ vỡ, vì vậy bọc sứ giúp bảo vệ răng và kéo dài tuổi thọ sử dụng.
Kết Luận
Chi phí lấy tủy răng từ 500.000 - 2.500.000 VNĐ phụ thuộc vào vị trí răng, số lượng ống tủy và mức độ viêm nhiễm. Khi nắm rõ quy trình điều trị, bảng giá chi tiết cùng những lưu ý chăm sóc sau khi lấy tủy, bệnh nhân sẽ dễ dàng đưa ra quyết định đúng đắn và yên tâm hơn trong suốt quá trình điều trị. Điều trị tủy kịp thời không chỉ giúp bảo tồn răng thật mà còn ngăn ngừa các biến chứng nguy hiểm, góp phần duy trì sức khỏe răng miệng lâu dài.
Nếu bạn đang tìm địa chỉ điều trị tủy an toàn - nhẹ nhàng - đúng chuyên môn, Nha khoa Kim Xuân là lựa chọn phù hợp. Đội ngũ bác sĩ giàu kinh nghiệm cùng hệ thống máy móc hiện đại sẽ giúp bạn chẩn đoán chính xác, điều trị êm ái và hạn chế tái viêm tối đa.
Liên hệ Nha khoa Kim Xuân để được tư vấn chi phí và phác đồ điều trị tủy phù hợp nhất với tình trạng của bạn.
Nha Khoa Kim Xuân - Bình Thạnh TP. HCM
Địa Chỉ: 165 Ngô Tất Tố, Phường Thạnh Mỹ Tây, Tp Hồ Chí Minh
Hotline: 0899 922 668 (Viber, Zalo, FaceTime)
ZaLo: https://zalo.me/nhakhoakimxuan
WebSite: https:nhakhoakimxuan.com.vn