Mất Răng Hàm Có Gây Hóp Má Không? Giải Pháp Khắc Phục Hiệu Quả
Mất răng hàm có gây hóp má không? Câu trả lời là có. Khi răng bị mất, xương hàm không còn nhận được lực kích thích từ chân răng sẽ dần tiêu biến theo thời gian. Quá trình này khiến vùng má mất đi điểm nâng đỡ tự nhiên, dẫn đến hóp má, xuất hiện nếp nhăn và khiến gương mặt trông già hơn so với tuổi thật.
Không chỉ ảnh hưởng đến chức năng ăn nhai, mất răng hàm còn là nguyên nhân âm thầm gây lão hóa sớm. Tình trạng tiêu xương và chảy xệ vùng má thường diễn ra từ từ, nên nhiều người chỉ nhận ra khi má bắt đầu lõm xuống rõ rệt và khuôn mặt kém đầy đặn hơn.
Vậy mất răng hàm bao lâu thì bị hóp má? Có cách nào ngăn ngừa tiêu xương và phục hồi lại cấu trúc khuôn mặt hiệu quả không? Hãy cùng tìm hiểu chi tiết trong bài viết dưới đây.

1. Răng Hàm Là Gì?
Răng hàm là nhóm răng nằm phía trong cung hàm, bao gồm các răng số 4, 5, 6, 7. Đây là những răng đảm nhận chức năng chính trong việc nghiền và xé nhỏ thức ăn trước khi nuốt, giúp quá trình tiêu hóa diễn ra hiệu quả hơn.
Không chỉ dừng lại ở chức năng ăn nhai, răng hàm còn đóng vai trò quan trọng đối với cấu trúc khuôn mặt và sức khỏe răng miệng:
-
Chịu lực nhai chính, đảm bảo khả năng ăn uống ổn định
-
Duy trì mật độ và thể tích xương hàm, hạn chế tiêu xương
-
Nâng đỡ mô mềm vùng má, giúp gương mặt đầy đặn, trẻ trung
-
Ổn định khớp cắn, giữ sự cân đối toàn bộ cung hàm
Vì vậy, khi mất răng hàm, không chỉ ảnh hưởng đến chức năng ăn nhai mà còn làm suy giảm cấu trúc nâng đỡ khuôn mặt, dẫn đến hóp má và lão hóa sớm nếu không được can thiệp kịp thời.
Xem Thêm: Mất Răng Số 6 Có Sao Không?
Xem Thêm: Trồng Răng Hàm Giá Bao Nhiêu Tiền?

2. Mất Răng Hàm Có Bị Hóp Má Không?
Câu trả lời là: Có. Khi răng hàm bị mất, xương hàm bên dưới không còn nhận được lực kích thích từ hoạt động ăn nhai. Theo cơ chế sinh học tự nhiên, xương không được sử dụng sẽ dần tiêu biến theo thời gian.
Quá trình tiêu xương này khiến cấu trúc nâng đỡ khuôn mặt suy giảm rõ rệt, đặc biệt ở vùng má.
Hệ quả thường gặp:
-
Xương hàm teo nhỏ - mất nền nâng đỡ tự nhiên
-
Mô mềm vùng má thiếu điểm tựa - bắt đầu chảy xệ
-
Má dần xẹp vào trong - gương mặt hóp, trông gầy và già hơn
Đặc biệt:
-
Mất răng số 6, 7 - hóp má diễn ra nhanh và rõ rệt nhất
-
Mất nhiều răng liên tiếp - cấu trúc khuôn mặt thay đổi rõ
-
Mất răng lâu năm - tiêu xương nghiêm trọng, khó phục hồi hoàn toàn
Vì vậy, mất răng hàm không chỉ là vấn đề ăn nhai mà còn là nguyên nhân trực tiếp dẫn đến lão hóa sớm nếu không được can thiệp kịp thời.
Xem Thêm: Nguyên Nhân Tiêu Xương Hàm Là Gì?
Xem Thêm: Mất Răng Lâu Năm Có Trồng Được Răng Implant Không?

3. Mất Răng Hàm Bao Lâu Thì Bắt Đầu Hóp Má?
Quá trình tiêu xương hàm sau khi mất răng diễn ra âm thầm nhưng liên tục theo thời gian. Tùy cơ địa và tình trạng xương, tốc độ tiêu xương có thể khác nhau, nhưng thường sẽ tiến triển theo các giai đoạn sau:
-
Sau 3 - 6 tháng: Xương hàm bắt đầu tiêu dần (chưa biểu hiện rõ bên ngoài)
-
Sau 1 - 2 năm: Má có dấu hiệu hóp nhẹ, gương mặt kém đầy đặn hơn
-
Sau nhiều năm: Hóp má rõ rệt, xuất hiện nếp nhăn và dấu hiệu lão hóa sớm
Càng để lâu, mức độ tiêu xương càng nghiêm trọng, việc phục hồi sẽ phức tạp hơn và có thể cần ghép xương trước khi điều trị.
Xem Thêm: Nhổ Răng Bao Lâu Thì Tiêu Xương Hàm?

4. Dấu Hiệu Nhận Biết Hóp Má Do Mất Răng Hàm
Bạn có thể nhận biết sớm tình trạng hóp má do mất răng hàm thông qua những biểu hiện sau:
-
Má bên mất răng lõm nhẹ khi nhìn nghiêng
-
Khuôn mặt mất cân đối, đặc biệt khi cười hoặc nói
-
Da vùng má chảy xệ, xuất hiện nếp nhăn quanh miệng
-
Rãnh mũi - má sâu hơn rõ rệt
-
Gương mặt trông gầy và già hơn, dù không thay đổi cân nặng
-
Xu hướng nhai lệch một bên, khiến vùng má bên còn lại phát triển không đều
Những dấu hiệu này cho thấy xương hàm đã bắt đầu tiêu, làm suy giảm khả năng nâng đỡ mô mềm và thay đổi cấu trúc khuôn mặt. Nếu không can thiệp sớm, tình trạng hóp má sẽ ngày càng rõ và khó phục hồi hơn theo thời gian.
Xem Thêm: Người Già Có Nên Trồng Răng Implant Không?
Xem Thêm: Làm Răng Giả Cho Người Già Giá Bao Nhiêu?
5. Những Hậu Quả Khác Khi Mất Răng Hàm
Không chỉ gây hóp má, mất răng hàm còn kéo theo nhiều hệ lụy ảnh hưởng đến sức khỏe răng miệng và toàn bộ cấu trúc khuôn mặt:
-
Giảm khả năng ăn nhai - thức ăn không được nghiền kỹ, ảnh hưởng đến hệ tiêu hóa
-
Xô lệch răng kế cận - gây sai khớp cắn, lệch hàm
-
Tiêu xương hàm tiến triển - làm giảm thể tích xương, gây khó khăn cho việc phục hình sau này
-
Tăng nguy cơ bệnh lý răng miệng - sâu răng, viêm nha chu do mất cân bằng lực nhai
-
Đau khớp thái dương hàm (TMJ) - do lực nhai phân bố không đều
Vì vậy, mất răng hàm không chỉ là vấn đề thẩm mỹ mà còn ảnh hưởng lâu dài đến chức năng ăn nhai và sức khỏe tổng thể. Các bác sĩ luôn khuyến nghị nên phục hình răng càng sớm càng tốt để hạn chế tiêu xương và ngăn ngừa các biến chứng phức tạp.
6. Cách Khắc Phục Mất Răng Hàm Hiệu Quả Nhất Hiện Nay
Hiện nay, có nhiều phương pháp phục hình răng hàm bị mất. Tuy nhiên, mỗi phương pháp sẽ có ưu - nhược điểm khác nhau, đặc biệt về khả năng ngăn tiêu xương và duy trì độ đầy đặn khuôn mặt.
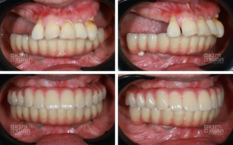
6.1. Trồng Răng Implant (Khuyến nghị hàng đầu)
Đây là giải pháp tối ưu nhất hiện nay vì có thể phục hồi cả chân răng và thân răng, giúp tái tạo lại chức năng và cấu trúc gần như răng thật.
Ưu điểm nổi bật:
-
Ngăn chặn tiêu xương hiệu quả nhờ tích hợp với xương hàm
-
Giữ được độ đầy đặn vùng má, hạn chế hóp má và lão hóa sớm
-
Ăn nhai chắc chắn gần như răng thật
-
Không ảnh hưởng răng kế cận
-
Độ bền lâu dài, có thể sử dụng nhiều năm hoặc trọn đời nếu chăm sóc tốt
Phù hợp: mất 1 hoặc nhiều răng hàm, đặc biệt là mất răng lâu năm hoặc có dấu hiệu tiêu xương.
Xem Thêm: Bảng Giá Trồng Răng Implant Tại Nha Khoa Kim Xuân
Xem Thêm: Giá Trồng Răng Sứ Vĩnh Viễn Bao Nhiêu?
6.2. Cầu Răng Sứ
Là phương pháp phục hình cố định bằng cách mài răng kế cận để làm trụ nâng đỡ cầu răng.
Ưu điểm:
-
Thực hiện nhanh
-
Chi phí thấp hơn Implant
-
Cải thiện thẩm mỹ và ăn nhai ở mức khá
Hạn chế:
-
Không ngăn được tiêu xương hàm
-
Có thể dẫn đến hóp má về lâu dài
-
Cần mài răng thật kế cận - ảnh hưởng răng khỏe
Xem Thêm: Làm Cầu Răng Sứ Giá Bao Nhiêu?
6.3. Hàm Giả Tháo Lắp / Phục Hình Nhiều Răng
Thường áp dụng cho trường hợp mất nhiều răng hoặc toàn hàm.
Ưu điểm:
-
Chi phí thấp
-
Dễ thực hiện
Nhược điểm:
-
Lực nhai kém, không chắc chắn
-
Vẫn xảy ra tiêu xương hàm theo thời gian
-
Thẩm mỹ và cảm giác không tự nhiên như răng thật
Kết luận chuyên gia: Trong các phương pháp hiện nay, trồng răng Implant là giải pháp duy nhất có thể ngăn chặn tiêu xương, duy trì cấu trúc khuôn mặt và hạn chế hóp má hiệu quả lâu dài. Việc lựa chọn phương pháp phù hợp cần dựa trên tình trạng mất răng, mức độ tiêu xương và tư vấn từ bác sĩ chuyên môn.

7. Khi Nào Nên Trồng Lại Răng Để Tránh Hóp Má?
Thời điểm tốt nhất: Càng sớm càng tốt sau khi mất răng.
Sau khi răng bị mất, quá trình tiêu xương hàm sẽ bắt đầu diễn ra chỉ sau vài tháng. Nếu không can thiệp kịp thời, xương hàm sẽ dần teo nhỏ, làm giảm khả năng nâng đỡ vùng má và khiến gương mặt thay đổi rõ rệt.
Việc trồng lại răng sớm giúp:
-
Duy trì thể tích xương hàm, hạn chế tiêu xương
-
Ngăn ngừa hóp má và lão hóa sớm
-
Giữ cấu trúc khuôn mặt cân đối, đầy đặn
-
Giảm chi phí và thời gian điều trị so với khi mất răng lâu năm (có thể phải ghép xương)
Thời điểm lý tưởng:
-
Sau nhổ răng từ 1 - 3 tháng (khi xương ổn định ban đầu)
-
Hoặc theo chỉ định của bác sĩ trong từng trường hợp cụ thể
Càng trì hoãn, xương hàm càng tiêu nhiều, việc phục hình sẽ phức tạp hơn và hiệu quả thẩm mỹ cũng giảm đi. Vì vậy, nếu bạn đang mất răng hàm, hãy thăm khám sớm để được tư vấn thời điểm trồng răng phù hợp nhất.
Xem Thêm: Tiêu Xương Hàm Có Trồng Răng Implant Được Không?
Xem Thêm: Giá Bọc Răng Sứ Bao Nhiêu Tại Nha Khoa Kim Xuân

Kết Luận
Mất răng hàm không chỉ ảnh hưởng đến khả năng ăn nhai mà còn có thể khiến vùng má bị hóp do xương hàm tiêu dần theo thời gian và mô mềm mất đi điểm nâng đỡ. Tình trạng này thường diễn ra âm thầm, nhưng nếu kéo dài sẽ làm gương mặt kém đầy đặn, thiếu cân đối và dễ trông già hơn so với tuổi thật.
Trong các phương pháp phục hồi hiện nay, trồng răng Implant được xem là giải pháp tối ưu nhờ khả năng phục hồi cả chân răng lẫn thân răng, đồng thời hỗ trợ:
-
Hạn chế tiêu xương hàm
-
Duy trì đường nét khuôn mặt hài hòa
-
Khôi phục ăn nhai chắc chắn
-
Cải thiện thẩm mỹ lâu dài
Nếu bạn đang mất răng hàm hoặc bắt đầu nhận thấy dấu hiệu hóp má, việc thăm khám sớm là rất cần thiết. Điều trị đúng thời điểm sẽ giúp bảo tồn xương hàm tốt hơn, giảm phức tạp trong phục hình và nâng cao hiệu quả lâu dài.
Tại Nha khoa Kim Xuân, khách hàng sẽ được:
-
Kiểm tra tình trạng mất răng và mức độ tiêu xương
-
Tư vấn phương án phục hồi phù hợp
-
Xây dựng kế hoạch điều trị cá nhân hóa theo nhu cầu thực tế
Liên hệ Nha khoa Kim Xuân ngay hôm nay để được tư vấn chi tiết và đặt lịch thăm khám sớm.
Nha Khoa Kim Xuân - Bình Thạnh TP. HCM
Địa Chỉ: 165 Ngô Tất Tố, Phường Thạnh Mỹ Tây, Tp Hồ Chí Minh
Hotline: 0899 922 668 (Viber, Zalo, FaceTime)
ZaLo: https://zalo.me/nhakhoakimxuan
WebSite: https://nhakhoakimxuan.com.vn