Tiêu Xương Hàm Là Gì? Nguyên Nhân, Dấu Hiệu Và Giải Pháp Hiệu Quả
Tiêu xương hàm (hay còn gọi là tiêu xương ổ răng) là tình trạng xương hàm bị suy giảm về mật độ, chiều cao và thể tích, thường xảy ra sau khi mất răng do xương không còn được kích thích và dần tiêu biến theo thời gian. Nếu không được điều trị sớm, tiêu xương có thể gây tụt lợi, răng lung lay, hóp má, chảy xệ khuôn mặt, khiến gương mặt trông già hơn tuổi và ảnh hưởng nghiêm trọng đến việc phục hình răng giả, đặc biệt là cấy ghép Implant.

1. Tiêu Xương Hàm Là Gì?
Tiêu xương hàm là tình trạng xương hàm trên hoặc xương hàm dưới bị teo dần về chiều cao, chiều ngang và mật độ xương do không còn chịu lực ăn nhai từ răng. Tình trạng này thường xảy ra sau khi mất răng, đặc biệt khi răng bị mất nhưng không được phục hình sớm.
Về cơ chế sinh học, khi răng mất đi, lực ăn nhai không còn truyền xuống xương hàm, làm mất cân bằng giữa quá trình tạo xương và hủy xương. Kết quả là xương ổ răng dần tiêu biến theo thời gian, ảnh hưởng trực tiếp đến chức năng ăn nhai, thẩm mỹ khuôn mặt và khả năng phục hình răng về sau.
Theo các nghiên cứu lâm sàng trong nha khoa:
-
Sau khoảng 3 tháng mất răng: xương hàm bắt đầu có dấu hiệu tiêu biến
-
Trong 12 tháng đầu: có thể mất khoảng 20 - 25% thể tích xương
-
Sau 3 năm: mức tiêu xương có thể lên đến 45 - 60% nếu không được can thiệp kịp thời
Đây là lý do vì sao các bác sĩ nha khoa luôn khuyến nghị phục hình răng sớm, đặc biệt bằng các phương pháp có khả năng kích thích xương như cấy ghép Implant, nhằm hạn chế tiêu xương và bảo tồn cấu trúc xương hàm lâu dài.

2. Nguyên Nhân Gây Tiêu Xương Hàm
2.1. Mất răng lâu ngày không trồng lại
-
Mất răng là nguyên nhân phổ biến nhất gây tiêu xương hàm. Khi không còn chân răng truyền lực nhai, xương tại vị trí đó sẽ thoái hóa dần theo thời gian.
2.2. Cao răng và viêm nha chu
-
Cao răng tích tụ lâu ngày gây viêm nướu, phá hủy dây chằng nha chu, tạo điều kiện cho vi khuẩn tấn công xương ổ răng.
2.3. Sử dụng hàm giả tháo lắp hoặc cầu răng sứ
-
Các phương pháp này chỉ phục hình thân răng, không thay thế được chân răng đã mất, do đó không ngăn được tiêu xương hàm.
Xem Thêm: Bọc Răng Sứ Là Gì? Có Tốt Không? Giá Bao Nhiêu?

3. Các Dạng Tiêu Xương Hàm Thường Gặp Sau Khi Mất Răng
3.1. Tiêu xương theo chiều ngang
-
Xương hàm bị thu hẹp bề rộng, khiến răng kế cận nghiêng đổ về khoảng trống, gây xô lệch khớp cắn.
3.2. Tiêu xương theo chiều dọc
-
Xương hàm bị sụt thấp, nướu teo nhỏ, ảnh hưởng lớn đến thẩm mỹ và khả năng phục hình răng sau này.
3.3. Tiêu xương vùng xoang hàm trên
-
Xảy ra khi mất răng hàm trên lâu ngày, khiến xoang hàm hạ thấp, gây khó khăn khi cấy ghép Implant.
3.4. Tiêu xương toàn hàm
-
Gặp ở người mất nhiều răng hoặc mất răng toàn hàm, làm khuôn mặt hóp lại, già nua sớm.
4. Phân Loại Tiêu Xương Răng
Dựa vào nguồn gốc khởi phát và cơ chế phá hủy xương, tiêu xương răng được chia thành hai dạng chính: tiêu xương chân răng nội tại và tiêu xương chân răng bên ngoài. Mỗi dạng có đặc điểm tiến triển, nguyên nhân và hướng điều trị khác nhau.
4.1. Tiêu xương chân răng nội tại
Tiêu xương chân răng nội tại là tình trạng tiêu xương bắt nguồn từ bên trong ống tủy răng, thường xảy ra khi tủy răng bị viêm kéo dài hoặc hoại tử. Quá trình viêm làm kích hoạt các tế bào hủy xương, khiến cấu trúc xương quanh chân răng bị phá hủy từ trong ra ngoài.
Dạng tiêu xương này tiến triển âm thầm, khó phát hiện ở giai đoạn sớm và thường chỉ được nhận biết thông qua chụp X-quang hoặc CT Cone Beam trong quá trình thăm khám nha khoa.
4.2. Tiêu xương chân răng bên ngoài
Tiêu xương chân răng bên ngoài là dạng phổ biến hơn, xảy ra do các yếu tố tác động từ bên ngoài chân răng như viêm nha chu, tụt nướu, sang chấn răng hoặc lực cắn bất thường. Các yếu tố này làm phá hủy dần bề mặt xương ổ răng, khiến xương tiêu biến theo thời gian.
Nếu không được điều trị kịp thời, tiêu xương bên ngoài có thể dẫn đến lung lay răng, mất răng sớm và ảnh hưởng nghiêm trọng đến chức năng ăn nhai cũng như thẩm mỹ.

5. Dấu Hiệu Nhận Biết Tiêu Xương Hàm Sớm
Tiêu xương hàm thường diễn tiến âm thầm, ít gây đau ở giai đoạn đầu nên rất dễ bị bỏ qua. Tuy nhiên, người bệnh vẫn có thể nhận biết sớm thông qua một số dấu hiệu lâm sàng dưới đây:
-
Vùng mất răng bị lõm sâu, hẹp lại so với các vùng xung quanh, sống hàm thấp dần theo thời gian
-
Nướu tụt, lộ chân răng, kèm cảm giác ê buốt kéo dài khi ăn uống nóng – lạnh
-
Răng lung lay, yếu khi ăn nhai, đặc biệt ở những răng kế cận vị trí mất răng
-
Khớp cắn bị lệch, cảm giác cắn không đều, ăn nhai khó khăn hoặc mỏi hàm
-
Má hóp, da chảy xệ, gương mặt mất cân đối, trông già hơn so với tuổi thật
Khi xuất hiện một hoặc nhiều dấu hiệu trên, người bệnh nên thăm khám nha khoa sớm để được chẩn đoán chính xác mức độ tiêu xương và có hướng can thiệp kịp thời, tránh ảnh hưởng đến việc phục hình răng về sau.
6. Tiêu Xương Hàm Gây Ảnh Hưởng Gì?
Tiêu xương hàm không chỉ ảnh hưởng đến răng miệng mà còn tác động trực tiếp đến chức năng ăn nhai, thẩm mỹ khuôn mặt và khả năng phục hình răng lâu dài. Cụ thể, tình trạng này có thể gây ra những hệ quả sau:
-
Giảm chức năng ăn nhai, gây đau mỏi hàm, nhai yếu, ảnh hưởng đến sinh hoạt và tiêu hóa
-
Lệch khớp cắn, răng xô lệch, làm mất cân bằng lực nhai và tăng nguy cơ mất thêm răng
-
Gương mặt lão hóa sớm, má hóp, da chảy xệ, khuôn mặt mất hài hòa và giảm thẩm mỹ
-
Cản trở việc trồng răng Implant, khiến người bệnh phải thực hiện thêm các thủ thuật hỗ trợ như ghép xương, nâng xoang hàm, làm tăng thời gian và chi phí điều trị
Vì vậy, phát hiện và điều trị tiêu xương hàm sớm là yếu tố quan trọng giúp bảo tồn cấu trúc xương, duy trì chức năng ăn nhai và tối ưu hiệu quả phục hình răng về lâu dài.
7. Tiêu Xương Răng Hàm Có Nguy Hiểm Không?
Tiêu xương răng là bệnh lý nguy hiểm nếu không được phát hiện và điều trị kịp thời. Tình trạng này tiến triển âm thầm nhưng có thể gây ra nhiều hậu quả nghiêm trọng cho sức khỏe răng miệng và khả năng phục hình về sau.
Cụ thể, tiêu xương răng kéo dài có thể dẫn đến:
-
Tụt nướu nghiêm trọng, làm lộ chân răng và tăng nguy cơ viêm nhiễm
-
Răng yếu, dễ gãy rụng, mất khả năng ăn nhai ổn định
-
Tiêu xương hàm trên diện rộng, ảnh hưởng đến cấu trúc toàn bộ cung hàm
-
Khó khăn trong việc phục hình răng, đặc biệt là trồng răng Implant, thường phải kết hợp ghép xương hoặc các thủ thuật hỗ trợ khác
Tiêu xương răng không thể tự hồi phục nếu không có sự can thiệp của nha khoa. Vì vậy, việc thăm khám sớm và điều trị đúng thời điểm đóng vai trò then chốt trong việc bảo tồn răng và xương hàm lâu dài.

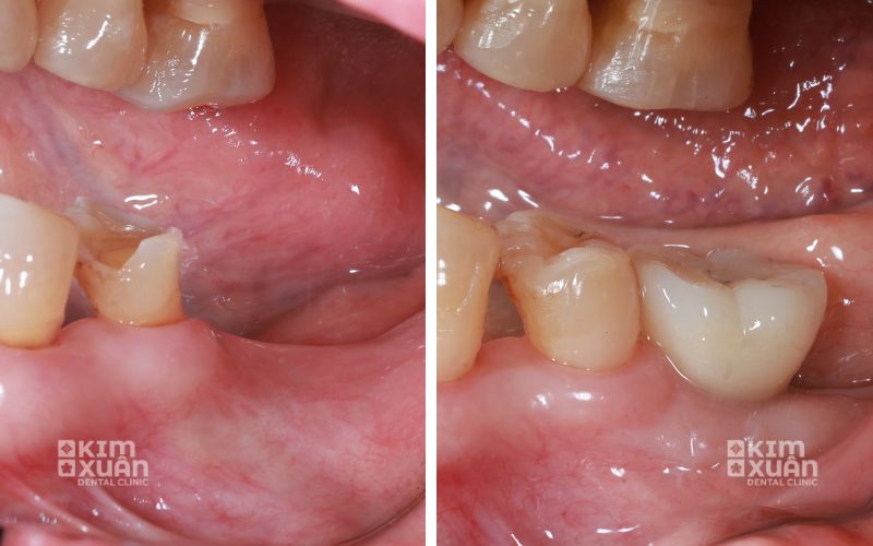
8. Trồng Răng Implant - Giải Pháp Ngăn Ngừa Tiêu Xương Hiệu Quả
Trồng răng Implant hiện được xem là phương pháp duy nhất có khả năng ngăn chặn tiêu xương hàm một cách hiệu quả, nhờ trụ Implant đóng vai trò tương tự chân răng thật, giúp truyền lực ăn nhai trực tiếp xuống xương hàm và duy trì hoạt động sinh học tự nhiên của xương.
Khi được cấy ghép đúng kỹ thuật, trụ Implant không chỉ thay thế răng đã mất mà còn giúp kích thích xương hàm phát triển ổn định, hạn chế tối đa tình trạng tiêu xương theo thời gian.
Lợi ích nổi bật của trồng răng Implant:
-
Duy trì mật độ và thể tích xương hàm, hạn chế tiêu xương sau mất răng
-
Ngăn ngừa tiêu xương lâu dài, giúp bảo tồn cấu trúc xương ổ răng
-
Ăn nhai chắc chắn, bền vững, cảm giác gần như răng thật
-
Bảo tồn răng thật kế cận, không cần mài răng như các phương pháp phục hình truyền thống
Nhờ những ưu điểm vượt trội này, trồng răng Implant được xem là giải pháp tối ưu trong việc phục hồi răng đã mất và bảo vệ xương hàm lâu dài, đặc biệt khi thực hiện sớm sau khi mất răng.
Xem Thêm: Trồng Răng Implant Giá Bao Nhiêu? Bảng Giá Mới Nhất Tại TP. HCM
Xem Thêm: Trồng Răng Implant Có Đau Không?

Câu Hỏi Thường Gặp?
Tiêu chân răng là gì?
-
Tiêu chân răng là tình trạng xương ổ răng quanh chân răng bị phá hủy dần theo thời gian, khiến răng yếu, lung lay và có nguy cơ mất răng nếu không được điều trị nha khoa kịp thời.
Mất răng bao lâu thì bắt đầu tiêu xương?
-
Thông thường, tiêu xương hàm có thể bắt đầu sau khoảng 3 tháng mất răng và diễn tiến mạnh trong 1 - 3 năm đầu, đặc biệt nếu không phục hình răng sớm.
Còn chân răng thì có bị tiêu xương không?
-
Có. Trong trường hợp chân răng còn sót lại nhưng bị viêm nhiễm, hoại tử hoặc viêm nha chu, xương hàm vẫn có thể tiếp tục tiêu do phản ứng viêm bệnh lý kéo dài.
Kết Luận
Tiêu xương hàm là bệnh lý răng miệng nguy hiểm nhưng hoàn toàn có thể phòng ngừa nếu được phát hiện sớm và điều trị đúng cách. Việc thăm khám định kỳ và phục hình răng mất kịp thời đóng vai trò quyết định trong việc bảo tồn xương hàm và sức khỏe răng miệng lâu dài.
Nếu bạn đang gặp tình trạng mất răng, nghi ngờ tiêu xương hàm hoặc có nhu cầu trồng răng Implant, hãy liên hệ Nha khoa Kim Xuân để được thăm khám, chụp phim và tư vấn giải pháp phù hợp cho từng tình trạng cụ thể. Đội ngũ bác sĩ giàu kinh nghiệm cùng hệ thống thiết bị hiện đại sẽ đồng hành giúp bạn bảo tồn xương hàm - phục hồi ăn nhai - duy trì nụ cười khỏe đẹp lâu dài.
Liên hệ Nha khoa Kim Xuân ngay hôm nay để được tư vấn chi tiết và đặt lịch thăm khám sớm.
Nha Khoa Kim Xuân - Bình Thạnh TP. HCM
Địa Chỉ: 165 Ngô Tất Tố, Phường Thạnh Mỹ Tây, Tp Hồ Chí Minh
Hotline: 0899 922 668 (Viber, Zalo, FaceTime)
ZaLo: https://zalo.me/nhakhoakimxuan
WebSite: https://nhakhoakimxuan.com.vn