Biến Chứng Khi Mọc Răng Khôn: Dấu Hiệu Nguy Hiểm Và Cách Xử Lý An Toàn
Răng khôn (răng số 8) là chiếc răng mọc sau cùng trên cung hàm, thường xuất hiện trong độ tuổi từ 17 - 25 khi xương hàm đã phát triển gần như hoàn chỉnh. Do thiếu không gian mọc, răng khôn dễ mọc lệch, mọc ngầm hoặc kẹt dưới nướu, từ đó gây ra nhiều biến chứng răng khôn như viêm nướu trùm, áp xe, sâu răng răng kế cận, tổn thương dây thần kinh, u nang xương hàm hoặc đau kéo dài.
Việc nhận biết sớm các dấu hiệu bất thường và xử lý đúng thời điểm giúp hạn chế biến chứng và bảo vệ sức khỏe răng miệng lâu dài.

1. Vì Sao Khi Mọc Răng Khôn Dễ Gây Biến Chứng Nguy Hiểm?
Nguyên nhân chính khiến răng khôn dễ gây biến chứng là do thiếu không gian mọc. Khi không đủ chỗ, răng khôn có thể:
-
Mọc lệch sang răng bên cạnh
-
Mọc ngầm trong xương hàm
-
Chỉ nhú lên một phần và bị nướu trùm phủ
Bên cạnh đó, vị trí răng khôn nằm sâu phía trong khiến việc vệ sinh khó khăn hơn so với các răng khác. Thức ăn và vi khuẩn dễ tích tụ, tạo điều kiện cho viêm nhiễm kéo dài và tái phát nhiều lần nếu không được kiểm soát kịp thời.
Xem Thêm: Nguyên Nhân Bị Tiêu Xương Hàm, Dấu Hiệu Nhận Biết

2. Răng Khôn Mọc Có Thể Gây Ra Những Biến Chứng Gì?
2.1. Viêm nướu quanh răng khôn (viêm nướu trùm)
-
Đây là biến chứng răng khôn thường gặp nhất. Khi răng khôn chỉ mọc lên một phần, lớp nướu trùm phía trên tạo thành “túi” giữ thức ăn và vi khuẩn.
-
Người bệnh có thể gặp các triệu chứng như đau nhức, sưng đỏ nướu, hôi miệng, khó há miệng hoặc đau lan lên tai, đầu. Nếu để kéo dài, tình trạng viêm có thể tiến triển thành áp xe, ảnh hưởng đến xương hàm và các răng lân cận.
2.2. Răng khôn mọc lệch, mọc ngầm gây đau kéo dài
-
Răng khôn mọc lệch hoặc mọc ngầm có thể gây đau âm ỉ kéo dài, đặc biệt khi ăn nhai hoặc khi cơ thể mệt mỏi. Cơn đau thường không dứt hẳn mà tái phát nhiều lần, khiến người bệnh khó chịu trong sinh hoạt hằng ngày.
-
Ngoài cảm giác đau, răng khôn mọc sai hướng còn làm tăng nguy cơ viêm nhiễm và ảnh hưởng đến cấu trúc xương hàm nếu không được theo dõi sớm.
2.3. Sâu răng số 7 do răng khôn
-
Khi răng khôn mọc lệch về phía răng hàm số 7, thức ăn rất dễ bị mắc kẹt ở kẽ răng nhưng lại khó làm sạch. Lâu ngày, vi khuẩn phát triển gây sâu răng số 7 - chiếc răng đóng vai trò quan trọng trong việc ăn nhai.
-
Nhiều trường hợp chỉ phát hiện khi răng số 7 đã bị tổn thương nặng, việc điều trị trở nên phức tạp hơn.
2.4. U nang và tiêu xương hàm quanh răng khôn
-
Răng khôn mọc ngầm trong thời gian dài có thể gây hình thành u nang quanh thân răng. Đây là biến chứng tiến triển âm thầm, thường không gây đau rõ rệt nên dễ bị bỏ qua.
-
Nếu không được phát hiện sớm, u nang có thể làm tiêu xương hàm, ảnh hưởng đến các răng bên cạnh và làm suy yếu cấu trúc xương.
2.5. Rối loạn cảm giác do răng khôn chèn ép dây thần kinh
-
Trong một số trường hợp hiếm gặp, răng khôn mọc ngầm có thể nằm gần dây thần kinh hàm dưới. Khi bị chèn ép, người bệnh có thể cảm thấy tê môi, tê cằm hoặc giảm cảm giác vùng mặt.
-
Khi xuất hiện các dấu hiệu này, việc thăm khám sớm là rất cần thiết để hạn chế nguy cơ tổn thương thần kinh kéo dài.

3. Khi Nào Biến Chứng Răng Khôn Cần Được Xử Lý Sớm
Bạn không nên chủ quan nếu gặp một hoặc nhiều dấu hiệu biến chứng răng khôn sau:
-
Đau răng khôn tái đi tái lại nhiều lần, cơn đau có xu hướng tăng dần
-
Nướu quanh răng khôn sưng đỏ kéo dài, có dấu hiệu viêm lợi hoặc chảy mủ
-
Hôi miệng dai dẳng dù đã vệ sinh răng miệng kỹ lưỡng
-
Sốt, mệt mỏi, đau lan sang vùng tai, thái dương hoặc xương hàm
Những biểu hiện trên cho thấy răng khôn đang gây biến chứng nguy hiểm. Nếu không được thăm khám và xử lý kịp thời, tình trạng này có thể ảnh hưởng đến răng số 7 kế cận, gây viêm nhiễm lan rộng và tác động xấu đến sức khỏe răng miệng tổng thể.
Xem Thêm: Còn Chân Răng Có Bị Tiêu Xương Hàm Không?

4. Có Phải Ai Mọc Răng Khôn Cũng Cần Phải Nhổ
Không phải ai mọc răng khôn cũng cần nhổ bỏ. Trong những trường hợp răng khôn mọc thẳng, không gây đau nhức, không ảnh hưởng đến răng kế cận và có thể vệ sinh răng miệng tốt, bác sĩ thường chỉ định theo dõi định kỳ thay vì can thiệp nhổ bỏ ngay.
Ngược lại, nhổ răng khôn thường được khuyến nghị khi răng khôn mọc lệch, mọc ngầm, mọc kẹt dưới nướu hoặc gây ra các tình trạng như đau nhức kéo dài, viêm nướu, hôi miệng, ảnh hưởng răng số 7 kế cận. Việc xử lý sớm giúp phòng ngừa biến chứng răng khôn và bảo vệ sức khỏe răng miệng về lâu dài.
5. Cách Hạn Chế Biến Chứng Khi Mọc Răng Khôn
Để hạn chế biến chứng răng khôn, việc theo dõi và chăm sóc răng miệng đúng cách đóng vai trò rất quan trọng. Người bệnh nên lưu ý:
-
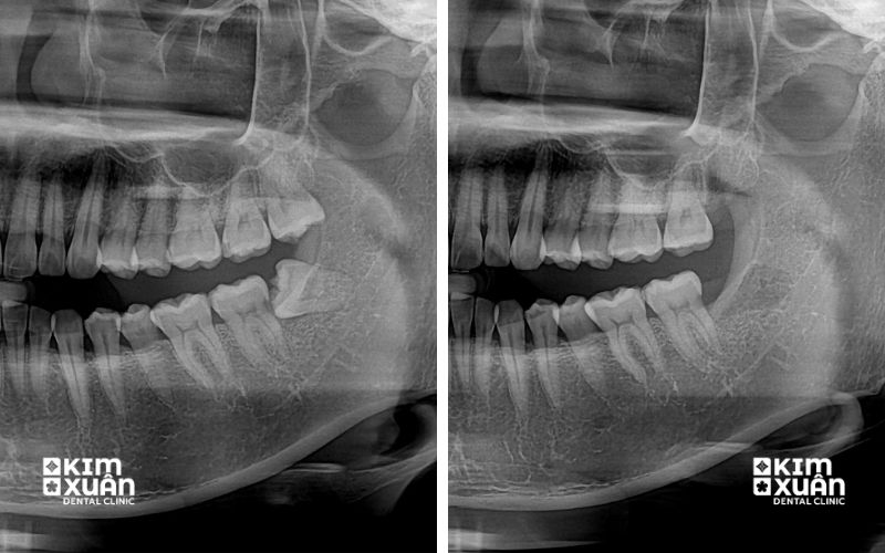
Thăm khám nha khoa định kỳ, kết hợp chụp phim X-quang để theo dõi chính xác hướng mọc và tình trạng răng khôn
-
Vệ sinh răng miệng kỹ lưỡng, đặc biệt là vùng răng phía trong; sử dụng chỉ nha khoa và nước súc miệng phù hợp để giảm nguy cơ viêm nhiễm
-
Khi xuất hiện các dấu hiệu như đau nhức, sưng nướu hoặc khó chịu kéo dài, không nên tự ý dùng thuốc mà cần được tư vấn và xử lý chuyên môn kịp thời
Việc chủ động theo dõi và can thiệp đúng thời điểm giúp phòng ngừa biến chứng răng khôn, bảo vệ răng kế cận và duy trì sức khỏe răng miệng lâu dài.
6. Nhổ Răng Khôn Giá Bao Nhiêu Năm 2026
Chi phí nhổ răng khôn không có mức giá cố định cho tất cả mọi người. Trên thực tế, giá nhổ răng khôn phụ thuộc chủ yếu vào tình trạng mọc của răng, mức độ phức tạp khi can thiệp và kỹ thuật nhổ được áp dụng.
Những trường hợp răng khôn mọc lệch, mọc ngầm sâu trong xương hàm thường có quá trình nhổ phức tạp hơn, thời gian thực hiện lâu hơn và do đó chi phí cũng sẽ cao hơn so với răng mọc thẳng.
Bảng giá nhổ răng khôn theo mức độ mọc, chi phí tham khảo
-
Răng khôn mọc thẳng giá từ 1.000.000 - 1.500.000 VNĐ / răng
-
Răng khôn mọc lệch, mọc kẹt giá từ 2.000.000 - 3.000.000 VNĐ / răng
-
Răng khôn mọc ngầm trong xương hàm giá 3.000.000 VNĐ / răng
Lưu ý: Mức giá trên mang tính tham khảo. Chi phí thực tế có thể thay đổi tùy theo vị trí răng, mức độ viêm nhiễm, tình trạng xương hàm và chỉ định điều trị cụ thể của bác sĩ sau khi thăm khám và chụp phim.
Xem Thêm: Nhổ Răng Bị Sâu Giá Bao Nhiêu Năm 2026 Tại TP. HCM

Câu Hỏi Thường Gặp?
Răng khôn không đau có nguy hiểm không?
-
Răng khôn không gây đau chưa chắc đã an toàn. Trên thực tế, nhiều biến chứng răng khôn như mọc lệch, mọc ngầm hoặc viêm nướu có thể diễn tiến âm thầm mà không gây đau rõ rệt. Vì vậy, người bệnh vẫn nên thăm khám và chụp phim định kỳ để theo dõi chính xác tình trạng răng.
Răng khôn đau bao lâu thì hết?
-
Cơn đau răng khôn có thể giảm tạm thời sau vài ngày, tuy nhiên thường tái phát nhiều lần nếu nguyên nhân như mọc lệch, viêm nhiễm hoặc kẹt thức ăn chưa được xử lý triệt để. Việc trì hoãn điều trị có thể làm tăng nguy cơ biến chứng răng khôn nguy hiểm.
Bao lâu nên kiểm tra răng khôn một lần?
-
Người có răng khôn nên kiểm tra định kỳ mỗi 6 - 12 tháng, kết hợp chụp phim X-quang hoặc theo chỉ định của bác sĩ, đặc biệt khi xuất hiện dấu hiệu đau nhức, sưng nướu hoặc khó chịu kéo dài.
Kết Luận
Răng khôn không phải lúc nào cũng gây hại, tuy nhiên khi mọc sai vị trí, mọc lệch, mọc ngầm hoặc không được chăm sóc đúng cách, chúng có thể dẫn đến nhiều biến chứng răng khôn ảnh hưởng lâu dài đến sức khỏe răng miệng và răng kế cận.
Việc theo dõi sớm, thăm khám nha khoa định kỳ và xử lý đúng thời điểm sẽ giúp hạn chế tối đa biến chứng răng khôn, bảo vệ cấu trúc răng hàm và duy trì chức năng ăn nhai bền vững theo thời gian. Nếu bạn đang gặp các dấu hiệu nghi ngờ liên quan đến răng khôn, việc kiểm tra và tư vấn tại Nha khoa Kim Xuân sẽ giúp xác định chính xác tình trạng răng và lựa chọn hướng xử lý an toàn - phù hợp - hiệu quả.
Hãy liên hệ Nha Khoa Kim Xuân để được tư vấn và thăm khám miễn phí!
Nha Khoa Kim Xuân - Bình Thạnh TP. HCM
Địa Chỉ: 165 Ngô Tất Tố, Phường Thạnh Mỹ Tây, Tp Hồ Chí Minh
Hotline: 0899 922 668 (Viber, Zalo, FaceTime)
ZaLo: https://zalo.me/nhakhoakimxuan
WebSite: https://nhakhoakimxuan.com.vn