Còn Chân Răng Có Bị Tiêu Xương Hàm Không? Giải Đáp Chi Tiết
Còn chân răng có bị tiêu xương hàm không? Có, phần chân răng còn sót lại vẫn có nguy cơ gây tiêu xương hàm và mức độ tiến triển thường nhanh hơn nếu không được xử lý sớm. Khi chân răng bị viêm hoặc nhiễm khuẩn kéo dài, vi khuẩn sẽ phá hủy dần mô quanh răng và xương ổ răng, dẫn đến tiêu xương mang tính bệnh lý. Điều này khác với tình trạng tiêu xương do mất răng hoàn toàn - vốn xảy ra chủ yếu vì xương không còn nhận được lực ăn nhai. Ngoài ra, chân răng còn lại rất dễ giữ thức ăn, khó làm sạch triệt để, tạo điều kiện cho vi khuẩn phát triển, từ đó đẩy nhanh quá trình tiêu xương, gây teo nướu, hóp má và làm sai lệch khớp cắn.

1. Còn Chân Răng Là Gì?
Còn chân răng là tình trạng thân răng đã mất hoàn toàn, chỉ còn lại phần chân răng nằm trong xương hàm. Tình trạng này thường xảy ra do:
-
Sâu răng nặng nhưng không điều trị sớm
-
Răng gãy, vỡ do tai nạn hoặc chấn thương
-
Viêm tủy, hoại tử răng kéo dài
Việc chỉ còn chân răng không chỉ khiến ăn nhai kém, mất thẩm mỹ, mà còn tiềm ẩn nhiều biến chứng nguy hiểm cho sức khỏe răng miệng, đặc biệt là nguy cơ tiêu xương hàm nếu để lâu ngày.

2. Tiêu Xương Hàm Là Gì?
Tiêu xương hàm là hiện tượng xương ổ răng và xương hàm bị suy giảm dần về chiều cao, mật độ và thể tích theo thời gian. Khi xảy ra tiêu xương, người bệnh có thể gặp các biểu hiện như:
-
Má hóp, khuôn mặt trông già hơn tuổi
-
Nướu tụt, lộ chân răng
-
Sai lệch khớp cắn, ăn nhai khó khăn
-
Gây trở ngại và tốn kém hơn khi phục hình răng về sau
Tiêu xương có thể xảy ra ở cả hàm trên và hàm dưới, đặc biệt khi xương không còn nhận đủ lực nhai hoặc bị vi khuẩn viêm nhiễm tấn công.
3. Còn Chân Răng Có Bị Tiêu Xương Hàm Không?
Câu trả lời là CÓ, và trong nhiều trường hợp, mức độ tiêu xương còn diễn ra nhanh hơn so với mất răng hoàn toàn.
Phân biệt 2 dạng tiêu xương
-
Tiêu xương sinh lý: xảy ra khi mất cả thân và chân răng, xương hàm không còn nhận lực ăn nhai nên sẽ tiêu dần theo thời gian.
-
Tiêu xương bệnh lý: thường gặp khi mất thân răng nhưng vẫn còn chân răng.
Vì sao còn chân răng vẫn gây tiêu xương? Trong trường hợp còn chân răng:
-
Chân răng thường là ổ viêm nhiễm tiềm ẩn
-
Thức ăn dễ mắc kẹt, rất khó vệ sinh sạch
-
Vi khuẩn phát triển mạnh, tấn công mô nướu và xương xung quanh
Quá trình viêm kéo dài sẽ sinh ra các chất trung gian phá hủy mô xương, khiến xương hàm bị tiêu nhanh, gây ra:
- Teo nướu, má hóp
-
Đau nhức kéo dài
-
Sai lệch khớp cắn
Vì vậy, mất thân răng nhưng còn chân răng vẫn gây tiêu xương hàm và có thể nguy hiểm hơn nếu không điều trị sớm.

4. Chân Răng Còn Lại Bao Lâu Thì Tiêu Xương Hàm?
Thời điểm xảy ra tiêu xương ở chân răng còn sót không cố định, mà thay đổi tùy từng trường hợp cụ thể. Một số yếu tố ảnh hưởng trực tiếp đến tốc độ tiêu xương bao gồm:
-
Mức độ viêm và nhiễm khuẩn quanh chân răng
-
Thói quen và hiệu quả vệ sinh răng miệng hằng ngày
-
Cơ địa, sức đề kháng và khả năng đáp ứng miễn dịch của mỗi người
Trên thực tế điều trị, nếu chân răng bị viêm kéo dài nhưng không được can thiệp kịp thời, quá trình tiêu xương mang tính bệnh lý có thể khởi phát chỉ sau vài tháng và tiến triển âm thầm theo thời gian.
5. Những Nguy Cơ Tiềm Ẩn Khi Còn Chân Răng Nhưng Đã Bị Sâu
Khi phần chân răng còn sót lại bị sâu, khu vực này sẽ trở thành môi trường thuận lợi cho vi khuẩn phát triển và gây ra hàng loạt biến chứng nguy hiểm nếu không được xử lý sớm, bao gồm:
5.1. Viêm tủy - hoại tử răng
-
Vi khuẩn từ ổ sâu có thể xâm nhập sâu vào buồng tủy, gây viêm nhiễm và hoại tử. Tình trạng này thường đi kèm với cảm giác đau nhức dữ dội, kéo dài, ảnh hưởng trực tiếp đến sinh hoạt hằng ngày và sức khỏe tổng thể.
5.2. Áp xe quanh chân răng
Áp xe hình thành khi ổ viêm lan rộng, gây tụ mủ quanh chân răng. Một số dấu hiệu thường gặp gồm:
-
Nướu sưng đỏ, phồng to
-
Xuất hiện mủ
-
Đau âm ỉ hoặc đau nhói từng cơn
Áp xe chân răng là nguyên nhân trực tiếp khiến vi khuẩn lan xuống xương hàm, làm tăng tốc độ tiêu xương và phá hủy mô quanh răng.
5.3. Hôi miệng kéo dài
-
Vi khuẩn phân hủy thức ăn và mô viêm tại vị trí chân răng sâu sẽ tạo ra mùi hôi khó chịu. Tình trạng này không chỉ gây mất tự tin khi giao tiếp mà còn ảnh hưởng đến tâm lý người bệnh nếu kéo dài.
Xem Thêm: Dấu Hiệu Nhận Biết Răng Sâu Vào Tủy?
Xem Thêm: Làm Cầu Răng Sứ Có Bị Tiêu Xương Hàm Không?
6. Giải Pháp Khắc Phục Tình Trạng Tiêu Xương Hàm Khi Còn Chân Răng
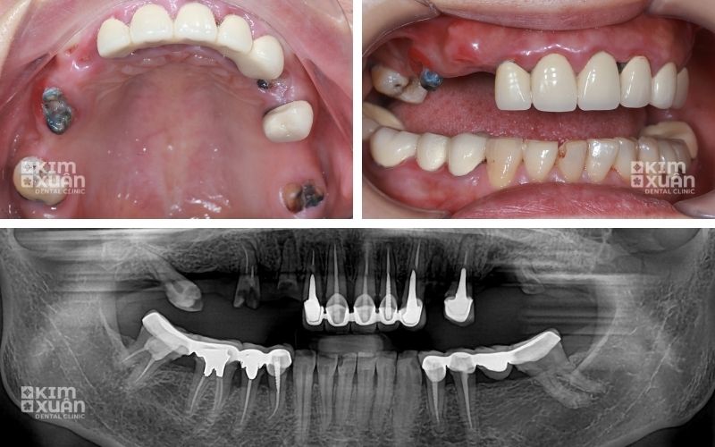
Khi phát hiện răng chỉ còn lại phần chân, người bệnh không nên chờ đợi hay để kéo dài tình trạng viêm nhiễm. Việc thăm khám nha khoa sớm, kết hợp chụp phim CT, giúp bác sĩ đánh giá chính xác mức độ tổn thương xương hàm và đưa ra hướng điều trị phù hợp.
Bước 1: Loại bỏ chân răng bị viêm
Ở giai đoạn này, bác sĩ sẽ tiến hành:
-
Lấy bỏ hoàn toàn phần chân răng đã hư tổn
-
Làm sạch mô viêm và ổ nhiễm khuẩn
-
Ngăn chặn sự lan rộng của vi khuẩn xuống xương hàm
Mục tiêu chính là loại bỏ nguồn viêm, từ đó hạn chế nguy cơ tiêu xương tiến triển nặng hơn.
Bước 2: Phục hồi răng mất càng sớm càng tốt
Sau khi xử lý triệt để chân răng viêm, người bệnh cần được phục hình răng mất để duy trì chức năng ăn nhai và bảo vệ xương hàm. Một số phương pháp thường được chỉ định gồm:
-
Hàm tháo lắp
-
Cầu răng sứ
-
Trồng răng Implant (giải pháp tối ưu hiện nay)
Xem Thêm: Trồng Răng Implant Có Đau Không?
Trong các phương án trên, Implant là phương pháp duy nhất có khả năng thay thế đồng thời cả thân và chân răng, giúp:
-
Truyền lực ăn nhai trực tiếp xuống xương hàm
-
Duy trì mật độ và thể tích xương ổ răng
-
Hạn chế tiêu xương, tụt nướu và hóp má
-
Khôi phục khả năng ăn nhai và tính thẩm mỹ gần tương đương răng thật
Trụ Implant hoạt động như một chân răng nhân tạo, kích thích xương hàm chịu lực sinh lý tự nhiên, từ đó giúp cấu trúc xương ổn định và bền vững lâu dài.
Xem Thêm: Giá Trồng Răng Implant Bao Nhiêu Tiền? Bảng Giá Mới Nhất
Xem Thêm: Trồng Răng Vĩnh Viễn Giá Bao Nhiêu Tiền? Nên Chọn Loại Nào?

Kết Luận
Chân răng còn lại vẫn có thể gây tiêu xương hàm, đặc biệt khi đi kèm viêm nhiễm và vi khuẩn tích tụ .Tiêu xương trong trường hợp còn chân răng thường diễn ra nhanh hơn và tiềm ẩn nhiều rủi ro hơn so với mất răng hoàn toàn Phát hiện sớm, xử lý triệt để chân răng viêm và phục hình đúng phương pháp là yếu tố quyết định để bảo tồn xương hàm lâu dài
Để đánh giá chính xác tình trạng tiêu xương và lựa chọn giải pháp phù hợp, bạn nên thăm khám tại Nha khoa uy tín để được chụp CT xương hàm, phân tích mức độ tiêu xương và tư vấn hướng điều trị cá nhân hóa, giúp hạn chế biến chứng và tối ưu chi phí điều trị về sau. Hãy liên hệ nha khoa Kim Xuân để tư vấn và thăm khám miễn phí!
Nha Khoa Kim Xuân - Bình Thạnh TP. HCM
Địa Chỉ: 165 Ngô Tất Tố, Phường Thạnh Mỹ Tây, Tp Hồ Chí Minh
Hotline: 0899 922 668 (Viber, Zalo, FaceTime)
ZaLo: https://zalo.me/nhakhoakimxuan
WebSite: https://nhakhoakimxuan.com.vn