Giá Niềng Răng Mắc Cài Kim Loại Bao Nhiêu Tiền? Cập Nhật 2026
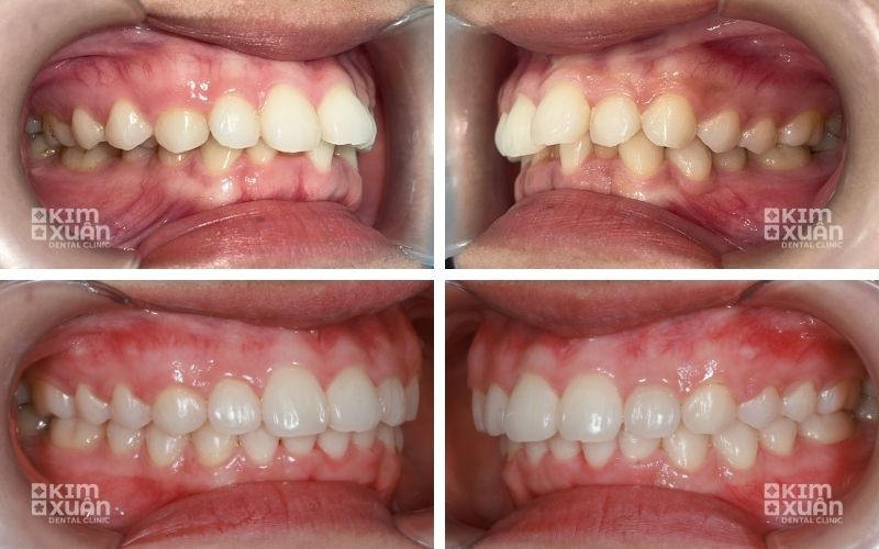
Niềng răng mắc cài kim loại bao nhiêu tiền? Niềng răng mắc cài kim loại là phương pháp chỉnh nha truyền thống, được nhiều người lựa chọn nhờ hiệu quả cao và khả năng kiểm soát lực tốt. Giá niềng răng mắc cài kim loại hiện nay tại TP.HCM dao động từ 35.000.000 - 45.000.000 VNĐ cho 2 hàm, tùy thuộc vào loại mắc cài sử dụng cũng như mức độ sai lệch răng và khớp cắn của từng trường hợp.

1. Niềng Răng Mắc Cài Kim Loại Là Gì?
Niềng răng mắc cài kim loại là phương pháp chỉnh nha sử dụng mắc cài bằng kim loại gắn trực tiếp lên bề mặt răng, kết hợp với dây cung và dây thun để tạo lực kéo giúp răng dịch chuyển dần về vị trí mong muốn trên cung hàm.
Đây là kỹ thuật được ứng dụng lâu đời trong chỉnh nha và vẫn giữ vai trò “tiêu chuẩn vàng” trong điều trị các ca sai lệch răng từ nhẹ đến phức tạp.
Ưu điểm nổi bật:
-
Hiệu quả cao với hầu hết tình trạng răng
-
Kiểm soát lực chỉnh nha tốt
-
Chi phí thấp hơn so với các phương pháp thẩm mỹ khác
Xem Thêm: Niềng Răng Mắc Cài Sứ: Ưu Nhược Điểm?

2. Niềng Răng Mắc Cài Kim Loại Giá Bao Nhiêu?
Tại Nha khoa Kim Xuân, giá niềng răng mắc cài kim loại hiện nay được tham khảo như sau:
-
Niềng răng mắc cài kim loại tiêu chuẩn: từ 35.000.000 VNĐ/2 hàm
-
Niềng răng mắc cài kim loại tự buộc: từ 45.000.000 VNĐ/2 hàm
Chi phí niềng răng có thể thay đổi tùy theo mức độ sai lệch răng - khớp cắn, thời gian điều trị và chỉ định chuyên môn sau khi thăm khám trực tiếp.
Xem Thêm: Giá Niềng Răng Bao Nhiêu Tại TP. HCM?
Xem Thêm: Niềng Răng Móm Giá Bao Nhiêu?

3. Chi Phí Niềng Răng Phụ Thuộc Vào Những Yếu Tố Nào?
Chi phí niềng răng không có mức cố định cho mọi trường hợp mà được xác định dựa trên nhiều yếu tố chuyên môn khác nhau. Trong đó, các yếu tố chính bao gồm:
3.1. Mức độ sai lệch răng - khớp cắn
-
Trường hợp răng lệch nhẹ, chen chúc ít, khớp cắn không phức tạp thường có chi phí thấp hơn.
-
Các ca sai khớp cắn phức tạp như hô, móm nặng, lệch hàm hoặc cần can thiệp chuyên sâu sẽ có chi phí điều trị cao hơn.
3.2. Thời gian điều trị
-
Thời gian niềng răng trung bình dao động từ 12 - 36 tháng, tùy tình trạng răng.
-
Thời gian điều trị càng kéo dài thì chi phí theo dõi, tái khám và điều chỉnh càng tăng.
3.3. Loại mắc cài sử dụng
-
Mắc cài kim loại thường có chi phí thấp hơn do cấu trúc đơn giản.
-
Mắc cài tự buộc hoặc mắc cài mặt trong có giá cao hơn vì yêu cầu kỹ thuật phức tạp và thời gian điều trị chuyên sâu hơn.
3.4. Tay nghề bác sĩ và trang thiết bị
-
Bác sĩ chỉnh nha có chuyên môn sâu cùng hệ thống máy móc hiện đại giúp lập phác đồ chính xác, kiểm soát lực tốt và hạn chế rủi ro trong quá trình điều trị, từ đó ảnh hưởng đến chi phí niềng răng.
Xem Thêm: 20 Tuổi Niềng Răng Giá Bao Nhiêu? Có Hiệu Quả Không?
Xem Thêm: Niềng Răng Imvisalign Là Gì?
4. Phân Loại Mức Độ Niềng Răng Mắc Cài Kim Loại
Mức độ sai lệch răng và khớp cắn là yếu tố quan trọng quyết định thời gian điều trị cũng như chi phí niềng răng mắc cài kim loại. Dựa trên tình trạng răng thực tế, niềng răng mắc cài kim loại thường được chia thành các cấp độ sau:
Cấp độ 1: Sai lệch nhẹ
-
Răng chen chúc nhẹ hoặc thưa nhẹ
-
Ít ảnh hưởng đến chức năng ăn nhai và thẩm mỹ
-
Thời gian điều trị dự kiến: khoảng 12 - 18 tháng
Cấp độ 2: Sai lệch trung bình
-
Răng hô, chen chúc ở mức vừa
-
Có thể cần nhổ răng tiền cối để tạo khoảng chỉnh nha
-
Thời gian điều trị dự kiến: khoảng 18 - 24 tháng
Cấp độ 3: Sai lệch nặng
-
Sai lệch răng và xương hàm nghiêm trọng, khớp cắn phức tạp
-
Có thể cần phối hợp các phương pháp điều trị chuyên sâu
-
Thời gian điều trị dự kiến: 24 - 36 tháng hoặc lâu hơn
Xem Thêm: 30 Tuổi Niềng Răng Có Được Không? Thời Gian Bao Lâu?

5. Có Nên Niềng Răng Mắc Cài Kim Loại Không?
Niềng răng mắc cài kim loại là phương pháp chỉnh nha phù hợp với đa số trường hợp, đặc biệt là những tình trạng răng - khớp cắn cần kiểm soát lực chính xác và hiệu quả điều trị cao.
Phương pháp này thường phù hợp với:
-
Người có sai lệch răng hoặc khớp cắn phức tạp
-
Người ưu tiên hiệu quả chỉnh nha lâu dài với chi phí hợp lý
-
Học sinh, sinh viên hoặc những người không đặt nặng yếu tố thẩm mỹ trong suốt quá trình niềng răng
Nhờ sự phát triển của vật liệu nha khoa và kỹ thuật chỉnh nha hiện nay, cảm giác cộm vướng và khó chịu khi niềng răng mắc cài kim loại đã được cải thiện đáng kể so với trước đây, giúp người niềng thích nghi dễ dàng hơn trong giai đoạn đầu điều trị.
Xem Thêm: Niềng Răng Có Đau Không? 5 Giai Đoạn Đau Và Cách Giảm Đau Hiệu Quả
Câu Hỏi Thường Gặp? (FAQ)
Niềng răng mắc cài kim loại có đau không?
-
Trong vài ngày đầu sau khi gắn mắc cài hoặc siết dây, người niềng có thể cảm thấy ê nhẹ hoặc căng tức. Đây là phản ứng bình thường của răng khi bắt đầu dịch chuyển và thường giảm dần sau 3 – 5 ngày.
Niềng răng mắc cài kim loại mất bao lâu?
-
Thời gian điều trị trung bình dao động từ 12 - 36 tháng, tùy thuộc vào mức độ sai lệch răng - khớp cắn và việc tuân thủ lịch tái khám theo chỉ định.
Có cần nhổ răng khi niềng răng mắc cài kim loại không?
-
Không phải trường hợp nào cũng cần nhổ răng. Việc nhổ răng chỉ được chỉ định khi cung hàm không đủ khoảng trống để sắp xếp răng về vị trí đúng.
Niềng răng mắc cài kim loại có ảnh hưởng đến ăn nhai không?
-
Trong giai đoạn đầu, việc ăn nhai có thể gặp đôi chút khó khăn do chưa quen mắc cài. Sau khi thích nghi, sinh hoạt và ăn uống thường trở lại bình thường.
Kết Luận
Giá niềng răng mắc cài kim loại hiện nay dao động khoảng 35.000.000 - 45.000.000 VNĐ cho 2 hàm, tùy thuộc vào loại mắc cài, mức độ sai lệch răng - khớp cắn và kế hoạch điều trị của từng trường hợp. Để biết chính xác chi phí, người niềng cần được thăm khám trực tiếp, chụp phim và đánh giá toàn diện tình trạng răng trước khi xây dựng phác đồ phù hợp.
Bên cạnh yếu tố chi phí, việc lựa chọn nha khoa uy tín, bác sĩ chỉnh nha có chuyên môn sâu và quy trình điều trị rõ ràng đóng vai trò quan trọng trong việc đảm bảo hiệu quả chỉnh nha và sự an toàn lâu dài.
Nếu bạn đang tìm hiểu về niềng răng mắc cài kim loại, bạn có thể đến thăm khám và tư vấn trực tiếp tại Nha khoa Kim Xuân để được:
-
Chụp phim và đánh giá tình trạng răng - khớp cắn
-
Tư vấn phương án niềng răng phù hợp với từng trường hợp
-
Minh bạch chi phí và lộ trình điều trị ngay từ đầu
Hãy liên hệ Nha Khoa Kim Xuân để được thăm khám và tư vấn miễn phí!
Nha Khoa Kim Xuân - Bình Thạnh TP. HCM
Địa Chỉ: 165 Ngô Tất Tố, Phường Thạnh Mỹ Tây, Tp Hồ Chí Minh
Hotline: 0899 922 668 (Viber, Zalo, FaceTime)
ZaLo: https://zalo.me/nhakhoakimxuan
WebSite: https://nhakhoakimxuan.com.vn