Niềng Răng Mắc Cài Sứ: Ưu Nhược Điểm, Giá Bao Nhiêu Năm 2026
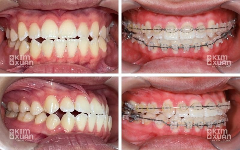
Niềng răng mắc cài sứ là một trong những phương pháp chỉnh nha thẩm mỹ được nhiều người lựa chọn hiện nay bởi hiệu quả chỉnh khớp cắn cao mà vẫn giữ được vẻ tự nhiên khi giao tiếp. Đây là kỹ thuật sử dụng mắc cài làm từ sứ cao cấp - có màu sắc gần giống răng thật, gắn cố định trên bề mặt răng và kết hợp với dây cung/chun để tạo lực kéo, giúp răng dịch chuyển về vị trí đúng, mang lại nụ cười cân đối, hài hòa hơn so với mắc cài kim loại truyền thống.
Trong bài viết này, bạn sẽ hiểu rõ niềng răng mắc cài sứ là gì, ưu - nhược điểm, giá bao nhiêu và phù hợp với ai để quyết định đúng cho bản thân.

1. Niềng Răng Mắc Cài Sứ Là Gì?
Niềng răng mắc cài sứ là kỹ thuật chỉnh nha thẩm mỹ sử dụng mắc cài làm từ vật liệu sứ cao cấp, có màu sắc tương đồng với răng thật, giúp giảm cảm giác lộ niềng khi giao tiếp. Mắc cài sứ được gắn cố định lên bề mặt răng và kết hợp cùng dây cung, dây thun hoặc chốt tự động để tạo lực kéo ổn định, giúp răng dịch chuyển dần về đúng vị trí trên cung hàm, cải thiện khớp cắn và nụ cười một cách hài hòa.
Phương pháp niềng răng mắc cài sứ thường được chỉ định trong các trường hợp:
-
Răng hô, móm
-
Răng chen chúc, lệch lạc
-
Khớp cắn không đều, cắn hở, cắn chéo
So với niềng răng mắc cài kim loại truyền thống, mắc cài sứ mang lại tính thẩm mỹ cao hơn, phù hợp với người trưởng thành, người đi làm hoặc những ai mong muốn chỉnh nha hiệu quả nhưng vẫn giữ được sự tự tin trong suốt quá trình niềng răng.

2. Ưu Và Nhược Điểm Của Niềng Răng Mắc Cài Sứ
2.1. Ưu điểm của niềng răng mắc cài sứ
-
Tính thẩm mỹ cao: Mắc cài sứ có màu gần giống răng thật, khó nhận biết khi giao tiếp trực diện.
-
Hiệu quả chỉnh nha tốt: Cơ chế hoạt động tương tự mắc cài kim loại, đủ lực để xử lý các ca sai lệch từ nhẹ đến phức tạp.
-
Chất liệu an toàn, lành tính: Sứ cao cấp không gây kích ứng mô mềm, phù hợp với người dị ứng kim loại.
-
Cảm giác đeo dễ chịu: Bề mặt mắc cài được mài nhẵn, hạn chế cọ xát môi - má - lưỡi.
2.2. Nhược điểm của niềng răng mắc cài sứ
-
Chi phí cao hơn mắc cài kim loại do vật liệu và yêu cầu kỹ thuật cao hơn.
-
Dễ sứt mẻ nếu va chạm mạnh, cần chú ý khi ăn uống và sinh hoạt.
-
Dễ nhiễm màu nếu vệ sinh răng miệng không kỹ hoặc thường xuyên dùng thực phẩm sậm màu.
-
Thời gian điều trị có thể dài hơn một chút so với mắc cài kim loại trong một số trường hợp phức tạp.
Xem Thêm: Niềng Răng Mắc Cài Kim Loại Giá Bao Nhiêu?

3. Các Loại Niềng Răng Mắc Cài Sứ Phổ Biến Hiện Nay
3.1. Mắc cài sứ thông thường
Đây là loại mắc cài sử dụng dây thun để cố định dây cung trong rãnh mắc cài.
Ưu điểm
-
Thẩm mỹ tốt, màu sắc tiệp răng
-
Chi phí thấp hơn mắc cài sứ tự buộc
-
Hiệu quả chỉnh nha ổn định
Nhược điểm
-
Dây thun dễ giãn, cần tái khám thường xuyên
-
Lực kéo có thể không liên tục
-
Nguy cơ bung mắc cài cao hơn nếu ăn nhai mạnh
3.2. Mắc cài sứ tự buộc
Mắc cài sứ tự buộc được cải tiến với chốt khóa tự động, giúp cố định dây cung mà không cần dây thun.
Ưu điểm
-
Lực kéo ổn định, liên tục
-
Giảm ma sát, ít đau hơn
-
Rút ngắn thời gian điều trị từ 3 - 6 tháng
-
Hạn chế bung tuột mắc cài
Nhược điểm
-
Chi phí cao hơn
-
Kích thước mắc cài lớn hơn đôi chút
-
Vẫn cần vệ sinh kỹ để tránh nhiễm màu
Xem Thêm: Niềng Răng Trẻ Em: Các Phương Pháp Niềng Răng Phổ Biến

4. Niềng Răng Mắc Cài Sứ Giá Bao Nhiêu Năm 2026
Giá niềng răng mắc cài sứ năm 2026 hiện nay dao động khoảng 35.000.000 - 50.000.000 VNĐ/2 hàm, tùy thuộc vào từng trường hợp cụ thể và phác đồ điều trị của bác sĩ chỉnh nha.
Mức giá niềng răng mắc cài sứ thường bị ảnh hưởng bởi các yếu tố sau:
-
Tình trạng sai lệch răng và khớp cắn (hô, móm, chen chúc, lệch lạc nhẹ hay phức tạp)
-
Loại mắc cài sứ lựa chọn (mắc cài sứ thường hoặc mắc cài sứ tự buộc)
-
Thời gian điều trị dự kiến
-
Kỹ thuật chỉnh nha và mức độ cá nhân hóa phác đồ
Bảng Giá Niềng Răng Năm 2026 Tại Nha Khoa Kim Xuân
-
Niềng răng mắc cài kim loại giá 35.000.000 VNĐ
-
Niềng răng mắc cài sứ giá 40.000.000 VNĐ
-
Niềng răng mắc cài kim loại tự buộc (tự cài dây cung) giá 45.000.000 VNĐ
-
Niềng răng mắc cài sứ tự buộc (tự cài dây cung) giá 50.000.000 VNĐ
-
Niềng răng máng trong suốt Vinci giá từ 50.000.000 - 100.000.000 VNĐ
Lưu ý: Chi phí niềng răng có thể thay đổi tùy theo tình trạng răng thực tế, mức độ phức tạp của ca điều trị và phác đồ chỉnh nha do bác sĩ chỉ định sau khi thăm khám trực tiếp.
Xem Thêm: Giá Niềng Răng Năm 2026 Tại TP. HCM Bao Nhiêu?
Xem Thêm: 30 Tuổi Niềng Răng Có Được Không?
5. Quy Trình Niềng Răng Mắc Cài Sứ Chuẩn Y Khoa Tại Nha Khoa Kim Xuân
Quy trình niềng răng mắc cài sứ được thực hiện theo từng bước khoa học, đảm bảo hiệu quả chỉnh nha và an toàn cho răng - xương hàm. Cụ thể gồm các giai đoạn sau:
-
Thăm khám và chụp phim X-quang: Bác sĩ kiểm tra tổng thể tình trạng răng miệng, khớp cắn, chụp phim X-quang hoặc CT Cone Beam để đánh giá chính xác cấu trúc răng và xương hàm.
-
Lập phác đồ điều trị cá nhân hóa: Dựa trên kết quả thăm khám, bác sĩ xây dựng kế hoạch niềng răng mắc cài sứ phù hợp với từng tình trạng, xác định thời gian, lực kéo và phương án chỉnh nha tối ưu.
-
Gắn mắc cài sứ và dây cung: Mắc cài sứ được gắn cố định lên răng, kết hợp dây cung và dây thun hoặc chốt tự động để bắt đầu quá trình dịch chuyển răng.
-
Tái khám định kỳ điều chỉnh lực kéo: Người niềng răng cần tái khám theo lịch hẹn để bác sĩ kiểm soát tiến trình, điều chỉnh lực kéo và xử lý kịp thời các vấn đề phát sinh.
-
Tháo mắc cài và đeo hàm duy trì: Sau khi răng đã về vị trí ổn định, mắc cài được tháo bỏ và người bệnh đeo hàm duy trì nhằm giữ kết quả lâu dài, hạn chế tình trạng răng chạy lại.
6. Niềng Răng Mắc Cài Sứ Mất Bao Lâu?
Thời gian niềng răng mắc cài sứ thường kéo dài từ 18 - 24 tháng đối với các trường hợp răng sai lệch mức độ nhẹ đến trung bình. Với những ca phức tạp hơn như hô, móm nặng hoặc răng chen chúc nhiều, thời gian điều trị có thể kéo dài 24 - 36 tháng.
Cụ thể:
-
Thời gian trung bình: khoảng 18 - 24 tháng
-
Trường hợp phức tạp: từ 24 - 36 tháng
-
Niềng răng mắc cài sứ tự buộc thường có thời gian điều trị ngắn hơn khoảng 3 - 6 tháng so với mắc cài sứ thường nhờ khả năng giảm ma sát và kiểm soát lực kéo tốt hơn
Thời gian niềng răng mắc cài sứ không cố định cho tất cả mọi người mà phụ thuộc vào nhiều yếu tố như mức độ sai lệch của răng, độ tuổi, tình trạng xương hàm và đặc biệt là sự tuân thủ lịch tái khám, chăm sóc răng miệng trong suốt quá trình niềng.
Xem Thêm: 20 Tuổi Niềng Răng Giá Bao Nhiêu? Thời Gian Bao Lâu?
Xem Thêm: Niềng Răng Móm Bao Nhiêu Tiền?

7. Những Lưu Ý Quan Trọng Khi Niềng Răng Mắc Cài Sứ
Để quá trình niềng răng mắc cài sứ diễn ra an toàn, hiệu quả và đạt kết quả ổn định lâu dài, người niềng răng cần lưu ý một số vấn đề quan trọng trước, trong và sau khi điều trị.
7.1. Trước khi niềng răng mắc cài sứ
-
Tìm hiểu kỹ phương pháp, chi phí và thời gian niềng răng để có sự chuẩn bị phù hợp về tài chính và tâm lý.
-
Lựa chọn nha khoa uy tín, bác sĩ chỉnh nha chuyên sâu, có kinh nghiệm điều trị các ca niềng răng mắc cài sứ nhằm đảm bảo phác đồ điều trị chính xác ngay từ đầu.
7.2. Trong quá trình niềng răng mắc cài sứ
-
Hạn chế ăn đồ cứng, dai, dính như kẹo cứng, đá lạnh, đồ quá dai để tránh bung mắc cài hoặc biến dạng dây cung.
-
Vệ sinh răng miệng kỹ lưỡng bằng bàn chải kẽ, chỉ nha khoa hoặc tăm nước để hạn chế mảng bám, sâu răng và viêm nướu.
-
Tránh va chạm mạnh vùng miệng, đặc biệt khi chơi thể thao hoặc vận động mạnh, nhằm bảo vệ mắc cài và mô mềm.
7.3. Sau khi tháo mắc cài sứ
-
Đeo hàm duy trì từ 6 - 12 tháng hoặc theo chỉ định của bác sĩ để giữ răng ổn định, hạn chế tình trạng răng chạy lại.
-
Tái khám định kỳ nhằm kiểm soát sự ổn định của răng và kịp thời xử lý nếu có dấu hiệu sai lệch.
Xem Thêm: Răng Bị Hô Hàm Trên Có Niềng Răng Được Không?
8. Vì Sao Nhiều Người Chọn Niềng Răng Mắc Cài Sứ Tại Nha Khoa Kim Xuân
-
Đội ngũ bác sĩ chỉnh nha chuyên sâu, có nhiều năm kinh nghiệm trong điều trị niềng răng mắc cài sứ, trực tiếp thăm khám và theo dõi từng ca.
-
Ứng dụng công nghệ chẩn đoán và lập kế hoạch điều trị hiện đại, hỗ trợ đánh giá chính xác tình trạng răng - khớp cắn, xây dựng phác đồ cá nhân hóa.
-
Quy trình niềng răng rõ ràng, theo dõi xuyên suốt, tái khám định kỳ, điều chỉnh lực kéo phù hợp để đảm bảo hiệu quả và an toàn.
-
Chi phí minh bạch, tư vấn rõ ràng ngay từ đầu, hỗ trợ trả góp linh hoạt giúp khách hàng yên tâm điều trị lâu dài.
Câu Hỏi Thường Gặp?
Niềng răng mắc cài sứ có tốt không?
-
Có. Đây là phương pháp chỉnh nha hiệu quả cao, đặc biệt phù hợp với người ưu tiên tính thẩm mỹ trong quá trình điều trị.
Có nên niềng răng mắc cài sứ không?
-
Nếu bạn muốn răng đều đẹp, khớp cắn chuẩn nhưng vẫn tự tin khi giao tiếp, niềng răng mắc cài sứ là lựa chọn rất đáng cân nhắc.
Kết Luận
Niềng răng mắc cài sứ là giải pháp chỉnh nha thẩm mỹ kết hợp hài hòa giữa hiệu quả điều chỉnh khớp cắn và tính thẩm mỹ khi giao tiếp, phù hợp với nhiều đối tượng, đặc biệt là người trưởng thành và người đi làm. Tuy nhiên, để đạt được kết quả ổn định - an toàn - bền vững lâu dài, việc lựa chọn loại mắc cài phù hợp, thời gian điều trị và chi phí cần được bác sĩ chỉnh nha chuyên môn tư vấn và xây dựng phác đồ cá nhân hóa ngay từ đầu.
Nếu bạn đang quan tâm đến niềng răng mắc cài sứ, hãy trực tiếp thăm khám tại Nha khoa Kim Xuân để được bác sĩ tư vấn chi tiết, kiểm tra tình trạng răng - khớp cắn và lên kế hoạch điều trị phù hợp.
Liên hệ ngay Nha khoa Kim Xuân Bình Thạnh, TP.HCM để được hỗ trợ nhanh chóng và chủ động sở hữu nụ cười đều đẹp, tự tin theo cách an toàn nhất.
Nha Khoa Kim Xuân - Bình Thạnh TP. HCM
Địa Chỉ: 165 Ngô Tất Tố, Phường Thạnh Mỹ Tây, Tp Hồ Chí Minh
Hotline: 0899 922 668 (Viber, Zalo, FaceTime)
ZaLo: https://zalo.me/nhakhoakimxuan
WebSite: https://nhakhoakimxuan.com.vn