Niềng Răng Móm Là Gì? Có Hiệu Quả Không, Mất Bao Lâu?
Niềng răng móm là phương pháp chỉnh nha giúp cải thiện tình trạng khớp cắn ngược bằng cách sử dụng mắc cài hoặc khay niềng để đưa răng về đúng vị trí trên cung hàm. Phương pháp này giúp cải thiện thẩm mỹ khuôn mặt, hỗ trợ ăn nhai tốt hơn và mang lại nụ cười hài hòa. Tuy nhiên, niềng răng móm có hiệu quả không, mất bao lâu, có cần nhổ răng hay phẫu thuật không vẫn là thắc mắc của nhiều người. Bài viết dưới đây sẽ giúp bạn hiểu rõ hơn trước khi quyết định điều trị.

1. Răng Móm Là Gì?
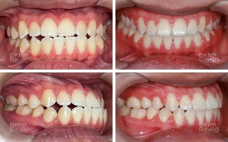
Răng móm (khớp cắn ngược) là tình trạng răng hàm dưới phát triển hoặc chìa ra phía trước so với răng hàm trên. Khi ngậm miệng lại, răng hàm dưới sẽ phủ ra ngoài răng hàm trên, khiến khớp cắn mất cân đối và ảnh hưởng đến thẩm mỹ khuôn mặt.
Ở người có khớp cắn chuẩn, răng hàm trên sẽ phủ nhẹ lên răng hàm dưới. Ngược lại, người bị răng móm thường có hàm dưới đưa ra phía trước, khiến khuôn mặt mất cân đối khi nhìn nghiêng.
Dấu hiệu nhận biết răng móm
Một số dấu hiệu thường gặp của tình trạng khớp cắn ngược gồm:
-
Hàm dưới nhô ra phía trước
-
Cằm và môi dưới đưa ra nhiều hơn bình thường
-
Khuôn mặt khi nhìn nghiêng có dạng “lưỡi cày”
-
Răng hàm dưới phủ ra ngoài răng hàm trên
Nếu không điều trị sớm, răng móm có thể gây ảnh hưởng đến chức năng ăn nhai, làm tăng nguy cơ mòn răng và ảnh hưởng đến thẩm mỹ khuôn mặt.

2. Nguyên Nhân Gây Răng Móm
Nguyên nhân răng móm có thể xuất phát từ nhiều yếu tố khác nhau như di truyền, răng mọc lệch, thói quen xấu hoặc sự phát triển bất thường của xương hàm. Việc xác định đúng nguyên nhân sẽ giúp bác sĩ đưa ra phương pháp điều trị phù hợp và mang lại hiệu quả chỉnh nha tốt hơn.
2.1. Do di truyền
Di truyền là một trong những nguyên nhân phổ biến gây răng móm. Nếu trong gia đình có người bị khớp cắn ngược, con cái cũng có nguy cơ cao gặp tình trạng tương tự.
2.2. Do răng mọc lệch
Một số trường hợp thiếu răng cửa hàm trên hoặc răng cửa mọc chậm khiến cung răng trên ngắn hơn bình thường. Khi đó, răng hàm dưới có xu hướng trượt ra phía trước và tạo nên tình trạng móm.
2.3. Do thói quen xấu
Một số thói quen kéo dài trong thời gian dài có thể làm lệch khớp cắn, chẳng hạn như:
-
Đẩy lưỡi ra phía trước
-
Thường xuyên đưa hàm dưới ra trước
-
Mút tay trong thời gian dài
Những thói quen này có thể ảnh hưởng đến sự phát triển của răng và gây ra khớp cắn ngược.
2.4. Do xương hàm phát triển bất thường
Trong một số trường hợp, hàm dưới phát triển quá mức hoặc hàm trên kém phát triển sẽ khiến khớp cắn bị đảo ngược. Đây thường là dạng móm do xương hàm, đôi khi cần kết hợp niềng răng và phẫu thuật để điều trị hiệu quả.

3. Răng Móm Có Niềng Răng Được Không?
Răng móm hoàn toàn có thể niềng răng để cải thiện khớp cắn và thẩm mỹ khuôn mặt. Theo các bác sĩ chỉnh nha, niềng răng là phương pháp phổ biến giúp điều chỉnh tình trạng khớp cắn ngược, đưa răng về đúng vị trí trên cung hàm.
Niềng răng sử dụng các khí cụ như mắc cài, dây cung hoặc khay niềng trong suốt để tạo lực kéo ổn định, giúp răng dịch chuyển dần về vị trí chuẩn. Nhờ đó, khớp cắn được cân đối hơn và khả năng ăn nhai cũng được cải thiện.
Tuy nhiên, hiệu quả niềng răng móm sẽ phụ thuộc vào nguyên nhân gây ra tình trạng móm.
Phương pháp điều trị răng móm theo nguyên nhân
|
Nguyên Nhân |
Hướng điều trị |
|
Móm do răng |
Niềng răng có hiệu quả |
|
Móm do xương hàm |
Có thể cần phẫu thuật kết hợp |
|
Móm do răng và xương |
Điều trị kết hợp niềng răng và phẫu thuật |
Trong đa số trường hợp móm do răng, niềng răng có thể cải thiện rõ rệt khớp cắn, giúp khuôn mặt cân đối hơn và mang lại nụ cười hài hòa.
Xem Thêm: Hô Hàm Trên Có Niềng Răng Được Không?
Xem Thêm: 30 Tuổi Niềng Răng Có Được Không?
Xem Thêm: Niềng Răng Hô Có Hiệu Quả Không?
4. Niềng Răng Móm Có Hiệu Quả Không?
Niềng răng móm là phương pháp chỉnh nha hiệu quả giúp cải thiện tình trạng khớp cắn ngược và mang lại nụ cười hài hòa hơn. Bằng cách sử dụng các khí cụ chỉnh nha như mắc cài, dây cung hoặc khay niềng trong suốt, răng sẽ được dịch chuyển dần về vị trí đúng trên cung hàm.
Trong nhiều trường hợp móm do răng, niềng răng có thể cải thiện rõ rệt khớp cắn và thẩm mỹ khuôn mặt. Tuy nhiên, nếu móm do cấu trúc xương hàm, bác sĩ có thể chỉ định kết hợp niềng răng và phẫu thuật để đạt kết quả tối ưu.
Niềng răng móm mang lại nhiều lợi ích cho sức khỏe răng miệng và thẩm mỹ khuôn mặt:
Cải thiện khớp cắn
-
Niềng răng giúp sắp xếp răng đều hơn, từ đó điều chỉnh tương quan giữa hai hàm và cải thiện khớp cắn.
Tăng tính thẩm mỹ
-
Sau khi niềng răng, khuôn mặt thường trở nên hài hòa và cân đối hơn, giúp nụ cười tự nhiên và tự tin hơn.
Cải thiện chức năng ăn nhai
-
Khớp cắn chuẩn giúp phân bố lực nhai đều trên các răng, giảm áp lực lên hệ thống răng hàm.
Kết quả lâu dài
-
Nếu tuân thủ đúng hướng dẫn của bác sĩ và đeo hàm duy trì sau khi tháo niềng, kết quả chỉnh nha có thể duy trì ổn định trong nhiều năm.

5. Niềng Răng Móm Mất Bao Lâu?
Thời gian niềng răng móm thường dao động từ 12 đến 30 tháng, tùy thuộc vào mức độ móm, độ tuổi của bệnh nhân, phương pháp chỉnh nha và sự hợp tác trong quá trình điều trị.
Trên thực tế, mỗi trường hợp niềng răng móm sẽ có thời gian điều trị khác nhau. Bác sĩ sẽ thăm khám, chụp phim và lập kế hoạch chỉnh nha để xác định thời gian cụ thể.
5.1. Các yếu tố ảnh hưởng đến thời gian niềng răng móm
Thời gian niềng răng móm phụ thuộc vào một số yếu tố như:
-
Mức độ móm (móm nhẹ, trung bình hoặc nặng)
-
Độ tuổi của bệnh nhân
-
Phương pháp chỉnh nha (mắc cài hoặc khay niềng trong suốt)
-
Sự hợp tác của bệnh nhân trong quá trình điều trị
5.2. Thời gian niềng răng móm theo mức độ
|
Mức Độ Móm |
Thời Gian Niềng |
|
Móm nhẹ |
12 - 18 tháng |
|
Móm trung bình |
18 - 24 tháng |
|
Móm nặng |
24 - 30 tháng |
Ở trẻ em và thanh thiếu niên, quá trình niềng răng thường diễn ra nhanh hơn vì xương hàm vẫn đang trong giai đoạn phát triển và dễ điều chỉnh hơn so với người trưởng thành.
Xem Thêm: Niềng Răng Móm Mất Bao Lâu?
6. Niềng Răng Móm Có Phải Nhổ Răng Không?
Niềng răng móm không phải lúc nào cũng cần nhổ răng. Việc có cần nhổ răng hay không sẽ phụ thuộc vào tình trạng răng miệng, mức độ móm và cấu trúc cung hàm của từng người. Sau khi thăm khám, chụp phim và phân tích khớp cắn, bác sĩ chỉnh nha sẽ đưa ra chỉ định phù hợp.
Các trường hợp niềng răng móm có thể không cần nhổ răng
Một số trường hợp niềng răng móm không cần nhổ răng, bao gồm:
-
Móm nhẹ
-
Răng thưa
-
Cung hàm còn khoảng trống để răng dịch chuyển
Trong những trường hợp này, bác sĩ có thể sử dụng các khí cụ chỉnh nha để điều chỉnh vị trí răng mà không cần tạo khoảng bằng cách nhổ răng.
Khi nào niềng răng móm cần nhổ răng?
Nếu răng chen chúc nhiều hoặc khớp cắn lệch nặng, bác sĩ có thể chỉ định nhổ răng để tạo khoảng trống. Việc này giúp răng di chuyển dễ dàng hơn và đảm bảo khớp cắn sau khi niềng đạt kết quả ổn định.
7. Khi Nào Niềng Răng Móm Kết Hợp Phẫu Thuật
Trong nhiều trường hợp, niềng răng móm có thể cải thiện hiệu quả nếu nguyên nhân xuất phát từ răng mọc lệch hoặc khớp cắn sai vị trí. Tuy nhiên, nếu tình trạng móm do xương hàm dưới phát triển quá mức hoặc hàm trên kém phát triển, niềng răng đơn thuần có thể không đủ để điều chỉnh hoàn toàn khớp cắn.
Khi đó, bác sĩ chỉnh nha có thể chỉ định kết hợp niềng răng và phẫu thuật chỉnh hàm để đạt được kết quả tối ưu. Phẫu thuật sẽ giúp điều chỉnh lại cấu trúc xương hàm, sau đó niềng răng sẽ tiếp tục sắp xếp răng về vị trí chuẩn trên cung hàm.
Việc kết hợp hai phương pháp này giúp:
-
Cải thiện khớp cắn ngược hiệu quả hơn
-
Cân đối cấu trúc khuôn mặt
-
Nâng cao chức năng ăn nhai và phát âm
-
Mang lại kết quả thẩm mỹ lâu dài
Tuy nhiên, không phải trường hợp móm nào cũng cần phẫu thuật. Sau khi thăm khám, chụp phim và phân tích khớp cắn, bác sĩ sẽ đưa ra phác đồ điều trị phù hợp nhất với từng bệnh nhân.
8. Niềng Răng Móm Bao Nhiêu Tiền?
Chi phí niềng răng móm hiện nay thường dao động từ khoảng 35.000.000 - 100.000.000 VNĐ, tùy thuộc vào mức độ lệch lạc của răng, phương pháp chỉnh nha và kế hoạch điều trị của bác sĩ.
Trên thực tế, mỗi trường hợp niềng răng móm sẽ có mức chi phí khác nhau. Sau khi thăm khám, chụp phim và đánh giá khớp cắn, bác sĩ sẽ tư vấn phương pháp phù hợp và báo giá cụ thể.
Các yếu tố ảnh hưởng đến chi phí niềng răng móm
Chi phí niềng răng móm bao nhiêu tiền thường phụ thuộc vào các yếu tố sau:
-
Phương pháp niềng răng (mắc cài kim loại, mắc cài sứ, khay niềng trong suốt…)
-
Tay nghề và kinh nghiệm của bác sĩ chỉnh nha
-
Tình trạng răng miệng và mức độ móm
-
Thời gian điều trị và các khí cụ hỗ trợ
Thông thường, các phương pháp niềng răng hiện đại sẽ có chi phí cao hơn nhưng mang lại tính thẩm mỹ và sự thoải mái trong quá trình điều trị.
Xem Thêm: Giá Niềng Răng Móm Bao Nhiêu Tiền?
Xem Thêm: Bảng Giá Niềng Răng Tại Nha Khoa Kim Xuân?

9. Các Phương Pháp Niềng Răng Móm Phổ Biến
Hiện nay có nhiều phương pháp niềng răng móm giúp cải thiện tình trạng khớp cắn ngược và sắp xếp răng về đúng vị trí trên cung hàm. Tùy vào nhu cầu thẩm mỹ, chi phí và tình trạng răng miệng, bác sĩ sẽ tư vấn phương pháp chỉnh nha phù hợp.
9.1. Niềng răng mắc cài kim loại
Đây là phương pháp chỉnh nha truyền thống được sử dụng phổ biến. Niềng răng mắc cài kim loại kết hợp với dây cung tạo lực kéo ổn định, giúp răng dịch chuyển hiệu quả. Phương pháp này có chi phí hợp lý và hiệu quả cao trong nhiều trường hợp răng móm.
9.2. Niềng răng mắc cài sứ
Niềng răng mắc cài sứ có màu gần giống răng thật nên mang lại tính thẩm mỹ cao hơn so với mắc cài kim loại. Phương pháp này vẫn đảm bảo hiệu quả chỉnh nha nhưng ít lộ mắc cài khi giao tiếp.
9.3. Niềng răng trong suốt Invisalign
Niềng răng Invisalign sử dụng khay niềng trong suốt được thiết kế riêng cho từng bệnh nhân. Khay niềng có thể tháo lắp dễ dàng, gần như “vô hình” khi đeo, mang lại sự thoải mái và thẩm mỹ cao trong suốt quá trình chỉnh nha.
10. Câu Hỏi Thường Gặp Về Niềng Răng Móm?
10.1 Niềng răng móm có đau không?
Trong những ngày đầu sau khi gắn mắc cài hoặc thay dây cung, người niềng răng móm có thể cảm thấy hơi ê hoặc khó chịu. Tuy nhiên, cảm giác này thường chỉ kéo dài vài ngày và sẽ giảm dần khi răng bắt đầu thích nghi với lực chỉnh nha.
10.2. Niềng răng móm có hết móm hoàn toàn không?
Trong nhiều trường hợp móm do răng, niềng răng có thể cải thiện rõ rệt khớp cắn và thẩm mỹ khuôn mặt. Tuy nhiên, nếu tình trạng móm xuất phát từ xương hàm phát triển quá mức, bác sĩ có thể chỉ định kết hợp niềng răng và phẫu thuật để đạt kết quả tối ưu.
10.3. Niềng răng móm có tái phát không?
Sau khi tháo niềng, bệnh nhân cần đeo hàm duy trì theo hướng dẫn của bác sĩ để giữ răng ổn định ở vị trí mới. Nếu tuân thủ đúng phác đồ điều trị, kết quả niềng răng móm có thể duy trì ổn định trong nhiều năm.
Kết Luận
Niềng răng là phương pháp chỉnh nha hiệu quả giúp cải thiện tình trạng khớp cắn ngược, mang lại nụ cười hài hòa và cải thiện chức năng ăn nhai. Thông thường, niềng răng móm mất bao lâu sẽ dao động từ 12 đến 30 tháng, tùy thuộc vào mức độ sai lệch của răng, nguyên nhân gây móm và phương pháp điều trị được áp dụng.
Để đạt được kết quả chỉnh nha tốt và đảm bảo khớp cắn ổn định lâu dài, bạn nên thăm khám tại nha khoa uy tín để được bác sĩ kiểm tra và tư vấn kế hoạch điều trị phù hợp.
Nếu bạn đang quan tâm đến niềng răng móm hoặc muốn biết chính xác niềng răng móm mất bao lâu trong trường hợp của mình, hãy đến Nha khoa Kim Xuân để được bác sĩ thăm khám, chụp phim và tư vấn phác đồ chỉnh nha chi tiết. Việc đánh giá đúng tình trạng răng và khớp cắn sẽ giúp quá trình niềng răng diễn ra hiệu quả, an toàn và mang lại kết quả thẩm mỹ lâu dài.
Nha Khoa Kim Xuân - Bình Thạnh TP. HCM
Địa Chỉ: 165 Ngô Tất Tố, Phường Thạnh Mỹ Tây, Tp Hồ Chí Minh
Hotline: 0899 922 668 (Viber, Zalo, FaceTime)
ZaLo: https://zalo.me/nhakhoakimxuan
WebSite: https//:nhakhoakimxuan.com.vn