Niềng Răng Hô Là Gì? Có Tốt Hiệu Không? Các Phương Pháp Niềng Răng Phổ Biến
Niềng răng hô là phương pháp chỉnh nha sử dụng các khí cụ nha khoa chuyên dụng nhằm điều chỉnh tình trạng răng vẩu, răng chìa hoặc sai lệch khớp cắn, giúp răng dịch chuyển về đúng vị trí trên cung hàm. Không chỉ cải thiện thẩm mỹ khuôn mặt và mang lại nụ cười đều đẹp, niềng răng hô còn giúp nâng cao hiệu quả ăn nhai, hỗ trợ phát âm chính xác và góp phần bảo vệ sức khỏe răng miệng lâu dài.
Vậy răng hô là gì, răng hô có niềng được không, niềng răng hô mất bao lâu và chi phí niềng răng hô bao nhiêu? Bài viết dưới đây sẽ cung cấp thông tin chi tiết, giúp bạn hiểu rõ trước khi đưa ra quyết định điều trị.

1. Răng Hô Là Gì?
Răng hô (còn gọi là răng vẩu) là tình trạng sai lệch khớp cắn, trong đó răng hàm trên chìa ra phía trước quá mức so với răng hàm dưới. Đây là dạng sai lệch khớp cắn hạng II thường gặp trong chỉnh nha, ảnh hưởng trực tiếp đến thẩm mỹ khuôn mặt, chức năng ăn nhai và phát âm.
1.1. Dấu hiệu nhận biết răng hô
Người bị răng hô thường có một hoặc nhiều dấu hiệu sau:
-
Răng hàm trên nhô ra rõ rệt so với răng hàm dưới
-
Môi trên bị đẩy ra phía trước, khó khép kín tự nhiên
-
Gương mặt nhìn nghiêng bị lồi, cằm có xu hướng tụt ra sau
-
Khớp cắn không đều, khả năng ăn nhai kém hiệu quả
-
Phát âm một số âm không rõ, đặc biệt là âm gió
Những dấu hiệu này có thể biểu hiện ở nhiều mức độ khác nhau, từ nhẹ đến nặng.
1.2. Phân loại răng hô phổ biến
Dựa vào nguyên nhân, răng hô được chia thành hai nhóm chính:
Hô do răng
-
Răng mọc chìa ra phía trước trong khi xương hàm phát triển bình thường. Trường hợp này thường đáp ứng tốt với các phương pháp niềng răng chỉnh nha.
Hô do xương hàm
-
Xương hàm trên phát triển quá mức hoặc xương hàm dưới kém phát triển. Đây là dạng răng hô phức tạp hơn, có thể cần kết hợp chỉnh nha và can thiệp xương hàm để đạt hiệu quả tối ưu.
Lưu ý: Việc phân loại chính xác răng hô đóng vai trò rất quan trọng trong việc lựa chọn phương pháp điều trị phù hợp, giúp đảm bảo hiệu quả chỉnh nha và hạn chế tái phát sau điều trị.
2. Nguyên Nhân Gây Răng Hô
Răng hô có thể hình thành do nhiều nguyên nhân khác nhau, trong đó phổ biến nhất là yếu tố di truyền, thói quen xấu từ nhỏ và sự phát triển bất cân xứng giữa răng và xương hàm.
2.1. Di truyền (yếu tố bẩm sinh)
-
Khoảng 70% trường hợp răng hô có liên quan đến yếu tố di truyền. Nếu cha mẹ hoặc người thân trong gia đình có cấu trúc xương hàm bất thường hoặc răng hô, con cái có nguy cơ cao gặp tình trạng tương tự.
2.2. Thói quen xấu lúc nhỏ
-
Các thói quen như mút ngón tay cái, sử dụng ti giả trong thời gian dài, đẩy lưỡi, thở bằng miệng, cắn môi hoặc chống cằm có thể tạo lực đẩy liên tục lên răng cửa, khiến răng chìa ra phía trước và hình thành răng hô.
2.3. Sự phát triển bất thường của xương hàm và răng
Tình trạng răng hô có thể xuất phát từ:
-
Hô do răng: Răng mọc lệch trục, không song song với phương thẳng đứng, có xu hướng chìa ra ngoài.
-
Hô do xương hàm: Xương hàm trên phát triển quá mức hoặc xương hàm dưới kém phát triển so với hàm trên.
2.4. Thiếu chỗ mọc răng
-
Cung hàm quá nhỏ không đủ không gian cho răng vĩnh viễn mọc đúng vị trí sẽ dẫn đến răng mọc chen chúc, xô đẩy nhau ra phía trước, làm tăng mức độ răng hô.
2.5. Mất răng sữa sớm
-
Răng sữa bị sâu hỏng hoặc nhổ răng sớm nhưng không được giữ khoảng có thể làm thay đổi hướng mọc của răng vĩnh viễn, gây sai lệch khớp cắn và hình thành răng hô.

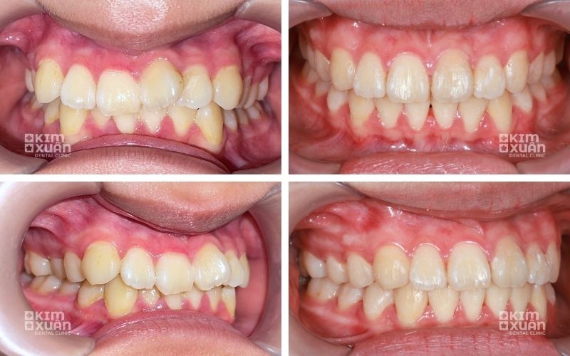
3. Niềng Răng Hô Là Gì? Có Hiệu Quả Không?
Niềng răng hô là phương pháp chỉnh nha sử dụng các khí cụ chuyên dụng như mắc cài, dây cung hoặc khay niềng trong suốt nhằm tạo lực sinh học giúp răng dịch chuyển dần về đúng vị trí trên cung hàm. Quá trình này giúp điều chỉnh khớp cắn, đưa răng hàm trên về vị trí cân đối hơn so với hàm dưới, từ đó cải thiện cả thẩm mỹ khuôn mặt và chức năng ăn nhai.
Về hiệu quả, niềng răng hô được đánh giá là giải pháp điều trị an toàn, mang lại kết quả bền vững nếu được thực hiện đúng chỉ định và theo phác đồ chỉnh nha phù hợp.
Răng hô niềng được không?
Khả năng niềng răng hô phụ thuộc chủ yếu vào nguyên nhân gây hô:
-
Hô do răng: Niềng răng mang lại hiệu quả rất tốt, có thể cải thiện gần như hoàn toàn tình trạng răng vẩu và sai lệch khớp cắn.
-
Hô do xương hàm: Niềng răng đơn thuần thường không đủ để khắc phục triệt để. Trong nhiều trường hợp, cần kết hợp chỉnh nha và phẫu thuật chỉnh hàm để đạt kết quả tối ưu về cả chức năng và thẩm mỹ.
Nhìn chung, khi được thăm khám kỹ lưỡng và xây dựng phác đồ điều trị đúng, niềng răng hô là giải pháp chỉnh nha hiệu quả lâu dài, giúp cải thiện nụ cười và chất lượng cuộc sống cho người bệnh.
Xem Thêm: Răng Hô Hàm Trên Có Niềng Được Không?
Xem Thêm: Niềng Răng Móm Giá Bao Nhiêu?
4. Các Phương Pháp Niềng Răng Hô Phổ Biến Hiện Nay
Hiện nay, niềng răng hô có nhiều phương pháp khác nhau, được lựa chọn dựa trên mức độ răng hô, nhu cầu thẩm mỹ và điều kiện tài chính của từng người.
4.1. Niềng răng hô bằng mắc cài kim loại
Đây là phương pháp chỉnh nha truyền thống, sử dụng hệ thống mắc cài và dây cung kim loại gắn cố định trên răng để tạo lực kéo răng về đúng vị trí.
-
Ưu điểm: Hiệu quả cao, kiểm soát lực tốt, chi phí thấp, phù hợp với cả các trường hợp răng hô nặng.
-
Nhược điểm: Tính thẩm mỹ không cao, dễ gây vướng víu trong sinh hoạt ban đầu.
-
Phù hợp với: Người không quá đặt nặng yếu tố thẩm mỹ và ưu tiên hiệu quả điều trị.
Xem Thêm: Niềng Răng Kim Loại Giá Bao Nhiêu?
4.2. Niềng răng hô bằng mắc cài sứ
Mắc cài được chế tác từ vật liệu sứ có màu sắc gần giống răng thật, giúp giảm sự lộ rõ trong quá trình niềng.
-
Ưu điểm: Thẩm mỹ cao hơn so với mắc cài kim loại, hiệu quả chỉnh nha tốt.
-
Nhược điểm: Chi phí cao hơn, mắc cài sứ dễ vỡ nếu va chạm mạnh.
-
Phù hợp với: Người muốn cân bằng giữa hiệu quả chỉnh nha và yếu tố thẩm mỹ.
Xem Thêm: Niềng Răng Mắc Cài Sứ Là Gì? Có Tốt Không?

4.3. Niềng răng hô bằng khay niềng trong suốt
Đây là phương pháp chỉnh nha hiện đại, sử dụng chuỗi khay niềng răng trong suốt được thiết kế riêng theo từng giai đoạn điều trị.
-
Ưu điểm: Gần như vô hình, dễ tháo lắp, thuận tiện khi ăn uống và vệ sinh răng miệng.
-
Nhược điểm: Chi phí cao, hiệu quả hạn chế với các trường hợp răng hô nặng hoặc hô do xương hàm.
-
Phù hợp với: Người trưởng thành, công việc giao tiếp nhiều, yêu cầu thẩm mỹ cao.
Lưu Ý: Việc lựa chọn phương pháp niềng răng hô phù hợp cần dựa trên thăm khám lâm sàng, phim X-quang và phác đồ điều trị cụ thể. Không phải phương pháp thẩm mỹ cao nhất luôn là lựa chọn tối ưu cho mọi trường hợp.
5. Niềng Răng Hô Có Cần Nhổ Răng Không?
Niềng răng hô có thể cần hoặc không cần nhổ răng, tùy thuộc vào tình trạng răng - hàm cụ thể của từng người. Quyết định nhổ răng luôn được bác sĩ chỉnh nha cân nhắc kỹ lưỡng dựa trên nhiều yếu tố chuyên môn.
5.1. Những yếu tố quyết định việc có cần nhổ răng hay không
-
Mức độ răng hô: Răng hô càng nặng, răng chìa ra phía trước nhiều thì khả năng cần tạo khoảng trống càng cao.
-
Độ chen chúc của răng: Khi răng mọc chen chúc, không đủ chỗ sắp xếp lại trên cung hàm, nhổ răng có thể là giải pháp cần thiết.
-
Cấu trúc xương hàm: Tỷ lệ giữa xương hàm trên - hàm dưới ảnh hưởng trực tiếp đến kế hoạch điều trị và chỉ định nhổ răng.
5.2. Nhổ răng khi niềng răng hô có ảnh hưởng gì không?
Trong một số trường hợp, nhổ răng giúp tạo khoảng trống hợp lý để sắp xếp răng đều hơn, cải thiện khớp cắn và mang lại hiệu quả thẩm mỹ tối ưu. Việc nhổ răng luôn được thực hiện theo phác đồ an toàn, không ảnh hưởng đến chức năng ăn nhai hay sức khỏe răng miệng lâu dài.
Lưu ý: Không phải trường hợp răng hô nào cũng cần nhổ răng. Chỉ khi thăm khám và phân tích đầy đủ, bác sĩ mới đưa ra chỉ định phù hợp nhằm đảm bảo hiệu quả điều trị và sự hài hòa khuôn mặt sau niềng.
6. Niềng Răng Hô Mất Bao Lâu?
Thời gian niềng răng hô trung bình dao động từ 18 - 24 tháng. Tuy nhiên, thời gian điều trị thực tế có thể ngắn hơn hoặc kéo dài hơn tùy thuộc vào mức độ răng hô, tình trạng khớp cắn và phương pháp chỉnh nha được lựa chọn.
Các trường hợp răng hô nặng hoặc sai lệch khớp cắn phức tạp thường cần thời gian điều trị lâu hơn để đạt kết quả ổn định và bền vững.
Xem Thêm: 30 Tuổi Niềng Răng Có Được Không? Thời Gian Bao Lâu?
7. Niềng Răng Hô Bao Lâu Thì Thấy Kết Quả?
Thông thường, sau khoảng 3 - 6 tháng, răng bắt đầu dịch chuyển rõ rệt, tình trạng răng hô được cải thiện dần và dễ nhận thấy bằng mắt thường.
Tuy nhiên, kết quả niềng răng hô nhanh hay chậm còn phụ thuộc vào:
-
Mức độ hợp tác của người niềng trong việc tái khám đúng lịch
-
Chăm sóc và vệ sinh răng miệng trong suốt quá trình điều trị
-
Tuân thủ đúng hướng dẫn của bác sĩ chỉnh nha
Việc duy trì thói quen chăm sóc răng miệng tốt và đeo khí cụ đúng cách giúp rút ngắn thời gian điều trị và đảm bảo kết quả lâu dài sau khi tháo niềng.
8. Niềng Răng Hô Có Đau Không?
Niềng răng hô có thể gây cảm giác ê buốt hoặc hơi đau, đặc biệt trong những giai đoạn đầu của quá trình chỉnh nha. Đây là phản ứng bình thường của răng và mô nướu khi bắt đầu thích nghi với lực kéo.
8.1. Khi nào cảm giác ê buốt thường xuất hiện?
-
Giai đoạn mới đeo niềng: Răng chưa quen với khí cụ nên có thể hơi căng tức, ê nhẹ.
-
Sau mỗi lần siết răng định kỳ: Lực chỉnh nha được điều chỉnh lại khiến răng tiếp tục dịch chuyển.
8.2. Cảm giác đau kéo dài bao lâu?
Thông thường, cảm giác ê buốt ở mức nhẹ đến trung bình và sẽ giảm dần sau vài ngày khi răng và mô quanh răng thích nghi với lực kéo. Phần lớn người niềng răng vẫn sinh hoạt, ăn uống bình thường sau giai đoạn này.
Lưu ý: Nếu cảm giác đau kéo dài bất thường hoặc kèm sưng viêm, người niềng nên liên hệ bác sĩ để được kiểm tra và điều chỉnh kịp thời.
Xem Thêm: Niềng Răng Có Đau Không? Cách Giảm Đau Hiệu Quả?
9. Giá Niềng Răng Hô Bao Nhiêu Tiền?
Giá niềng răng hô không có một mức cố định, mà phụ thuộc vào nhiều yếu tố như phương pháp chỉnh nha, tình trạng răng miệng ban đầu và thời gian điều trị dự kiến.
Mức giá niềng răng hô tham khảo hiện nay
-
Niềng răng hô bằng mắc cài kim loại: khoảng 30 - 35 triệu đồng
-
Niềng răng hô bằng mắc cài sứ: khoảng 35 - 40 triệu đồng
-
Niềng răng hô bằng khay niềng trong suốt: khoảng 50 - 100 triệu đồng
Các yếu tố ảnh hưởng đến chi phí niềng răng hô
-
Phương pháp chỉnh nha: Mắc cài kim loại, mắc cài sứ hay khay niềng trong suốt sẽ có mức chi phí khác nhau.
-
Tình trạng răng miệng ban đầu: Mức độ răng hô, độ chen chúc và tình trạng khớp cắn ảnh hưởng trực tiếp đến kế hoạch điều trị.
-
Thời gian điều trị: Thời gian niềng càng dài, chi phí tổng thể có thể tăng theo.
Lưu ý: Mức giá trên chỉ mang tính tham khảo. Chi phí thực tế có thể thay đổi tùy từng cơ sở nha khoa và phác đồ điều trị cụ thể sau khi thăm khám.
Xem Thêm: 20 Tuổi Niềng Răng Giá Bao Nhiêu?

10. Lưu Ý Quan Trọng Khi Niềng Răng Hô
Để quá trình niềng răng hô đạt hiệu quả tối ưu và duy trì kết quả lâu dài, người niềng cần lưu ý một số vấn đề quan trọng sau:
10.1. Thăm khám và lập kế hoạch điều trị kỹ lưỡng
-
Việc thăm khám, chụp phim và phân tích khớp cắn giúp bác sĩ xác định chính xác nguyên nhân răng hô và xây dựng phác đồ điều trị phù hợp, tránh sai lệch trong quá trình chỉnh nha.
10.2. Vệ sinh răng miệng đúng cách trong suốt quá trình niềng
-
Niềng răng khiến việc vệ sinh răng miệng trở nên khó khăn hơn. Cần chải răng đúng kỹ thuật, sử dụng bàn chải kẽ, chỉ nha khoa hoặc máy tăm nước để hạn chế sâu răng và viêm nướu.
10.3. Tái khám đúng lịch hẹn
-
Tái khám định kỳ giúp bác sĩ điều chỉnh lực kéo phù hợp, theo dõi tiến độ dịch chuyển răng và xử lý kịp thời các vấn đề phát sinh trong quá trình niềng.
10.4. Đeo hàm duy trì sau khi tháo niềng
-
Sau khi kết thúc điều trị, việc đeo hàm duy trì đúng hướng dẫn là yếu tố bắt buộc để giữ răng ổn định, hạn chế nguy cơ răng dịch chuyển và tái hô.
Câu Hỏi Thường Gặp?
Niềng răng hô có hết hẳn không?
-
Trong trường hợp răng hô do răng, nếu được thăm khám kỹ và điều trị đúng phác đồ chỉnh nha, kết quả niềng răng hô có thể ổn định lâu dài và cải thiện gần như hoàn toàn tình trạng răng vẩu.
Niềng răng hô có tái hô không?
-
Nguy cơ tái hô rất thấp nếu người niềng tuân thủ đeo hàm duy trì đúng thời gian và hướng dẫn của bác sĩ sau khi tháo niềng. Việc bỏ qua hàm duy trì là nguyên nhân chính dẫn đến tái hô.
Niềng răng hô ở người lớn có hiệu quả không?
-
Người trưởng thành vẫn có thể niềng răng hô hiệu quả, dù xương hàm đã ổn định. Tuy thời gian điều trị có thể kéo dài hơn so với trẻ em, nhưng nếu điều trị đúng chỉ định, kết quả vẫn đảm bảo cả về thẩm mỹ và chức năng ăn nhai.
Kết Luận
Niềng răng hô là giải pháp chỉnh nha hiệu quả giúp cải thiện tình trạng răng vẩu, điều chỉnh khớp cắn và mang lại sự hài hòa cho khuôn mặt. Khi được thăm khám sớm, chẩn đoán đúng nguyên nhân và lựa chọn phương pháp niềng răng phù hợp, kết quả điều trị có thể duy trì ổn định lâu dài cả về thẩm mỹ lẫn chức năng ăn nhai. Để đảm bảo hiệu quả tối ưu, người niềng cần tuân thủ đúng phác đồ điều trị, tái khám đầy đủ và đeo hàm duy trì theo chỉ định của bác sĩ chỉnh nha.
Nếu bạn đang băn khoăn về tình trạng răng hô của mình, hãy liên hệ Nha khoa Kim Xuân để được tư vấn chi tiết, xây dựng phác đồ điều trị cá nhân hóa và lựa chọn giải pháp niềng răng phù hợp ngay từ đầu.
Nha Khoa Kim Xuân - Bình Thạnh TP. HCM
Địa Chỉ: 165 Ngô Tất Tố, Phường Thạnh Mỹ Tây, Tp Hồ Chí Minh
Hotline: 0899 922 668 (Viber, Zalo, FaceTime)
ZaLo: https://zalo.me/nhakhoakimxuan
WebSite: https://nhakhoakimxuan.com.vn