Tụt Lợi Là Gì? Nguyên Nhân, Dấu Hiệu Và Cách Điều Trị Tụt Lợi Hiệu Quả
Tụt lợi (tụt nướu răng) là tình trạng mô lợi quanh răng bị co rút dần, làm lộ chân răng và khoảng trống giữa các răng. Đây là bệnh lý răng miệng khá phổ biến, có thể gặp ở cả người trẻ lẫn người lớn tuổi. Tụt lợi không chỉ ảnh hưởng đến thẩm mỹ nụ cười mà còn gây ê buốt răng, khó ăn nhai, tăng nguy cơ viêm nha chu và mất răng sớm nếu không được phát hiện và điều trị kịp thời.
Vậy tụt lợi là gì, nguyên nhân gây tụt lợi chân răng do đâu, tụt lợi có tự khỏi không và điều trị tụt lợi như thế nào hiệu quả, an toàn? Hãy cùng tìm hiểu chi tiết trong bài viết dưới đây để bảo vệ sức khỏe răng miệng lâu dài.

1. Tụt Lợi Là Gì?
Tụt lợi (tụt nướu răng) là tình trạng mô nướu bao quanh răng bị co rút dần, làm lộ phần chân răng ra ngoài. Khi nướu không còn bám sát và bảo vệ răng như bình thường, chân răng sẽ trở nên nhạy cảm hơn, dễ ê buốt và dễ bị tác động bởi vi khuẩn trong khoang miệng.
Nếu tụt lợi chân răng không được phát hiện và kiểm soát sớm, tình trạng này có thể tiến triển nặng, dẫn đến viêm nha chu, tiêu xương ổ răng, khiến răng lung lay, giảm chức năng ăn nhai và làm tăng nguy cơ mất răng sớm.
2. Dấu Hiệu Nhận Biết Răng Bị Tụt Lợi
Người bị tụt lợi (tụt nướu răng) thường có thể nhận biết thông qua một hoặc nhiều dấu hiệu tụt lợi dưới đây:
-
Nướu co rút, phần chân răng lộ rõ, khiến răng trông dài hơn bình thường
-
Dễ chảy máu nướu khi đánh răng hoặc sử dụng chỉ nha khoa
-
Nướu sưng đỏ, đau nhức, có cảm giác khó chịu kéo dài
-
Răng ê buốt, nhạy cảm khi ăn uống đồ nóng, lạnh, chua hoặc ngọt
-
Xuất hiện khe hở giữa các răng, thức ăn dễ mắc vào, khó vệ sinh
-
Răng yếu dần, có cảm giác lung lay, giảm khả năng ăn nhai
Lưu ý: Ở giai đoạn đầu, tụt lợi chân răng thường diễn ra âm thầm, ít đau, nên rất dễ bị bỏ qua. Việc thăm khám răng miệng định kỳ giúp phát hiện sớm và điều trị kịp thời, hạn chế biến chứng nguy hiểm.
Xem Thêm: Viêm Nướu (Viêm Lợi) Dấu Hiệu Nhận Biết Và Cách Điều Trị

3. Nguyên Nhân Gây Tụt Lợi Hở Chân Răng
Tụt lợi hở chân răng không xảy ra ngẫu nhiên mà thường là kết quả của nhiều yếu tố tác động kéo dài. Dưới đây là những nguyên nhân gây tụt lợi phổ biến nhất mà bạn cần lưu ý:
3.1. Vệ sinh răng miệng sai cách
-
Đánh răng quá mạnh, chải răng theo chiều ngang, hoặc sử dụng bàn chải lông cứng có thể làm tổn thương mô nướu. Lâu dần, nướu bị mòn, co rút và dẫn đến tụt lợi chân răng.
3.2. Cao răng tích tụ lâu ngày
-
Cao răng không được làm sạch định kỳ sẽ trở thành môi trường thuận lợi cho vi khuẩn phát triển, gây viêm lợi, phá hủy mô nâng đỡ răng và làm tăng nguy cơ tụt nướu răng.
3.3. Bệnh lý răng miệng
-
Các bệnh lý như viêm lợi, viêm nha chu, viêm quanh chân răng là nguyên nhân hàng đầu gây tụt lợi. Tình trạng này thường đi kèm với sưng đau, chảy máu nướu và hơi thở có mùi.
3.4. Tuổi tác
-
Theo thời gian, mô nướu có xu hướng lão hóa và suy yếu tự nhiên, khiến khả năng bám dính vào răng giảm dần, từ đó làm tăng nguy cơ tụt lợi ở người lớn tuổi.
3.5. Thói quen xấu
-
Một số thói quen như nghiến răng khi ngủ, hút thuốc lá, ăn nhai lệch một bên trong thời gian dài có thể gây áp lực bất thường lên răng và nướu, ảnh hưởng tiêu cực đến mô nướu và dẫn đến tụt lợi.
Xem Thêm: Bọc Răng Sứ Bị Viêm Lợi Nguyên Nhân Và Dấu Hiệu Nhận Biết
4. Tụt Lợi Có Tự Khỏi Không?
Câu trả lời là: KHÔNG. Tụt lợi (tụt nướu răng) không thể tự khỏi vì mô nướu đã bị co rút sẽ không có khả năng tự phục hồi hoàn toàn như ban đầu. Nếu không được can thiệp và điều trị đúng cách, tình trạng tụt lợi có thể tiến triển nặng hơn theo thời gian, dẫn đến nhiều biến chứng răng miệng nghiêm trọng như viêm nha chu, tiêu xương ổ răng, răng lung lay và thậm chí mất răng.
Tuy nhiên, tụt lợi hoàn toàn có thể được kiểm soát và cải thiện hiệu quả nếu được phát hiện sớm và điều trị đúng phương pháp tại nha khoa. Việc can thiệp kịp thời không chỉ giúp hạn chế tổn thương mà còn bảo vệ răng thật và duy trì sức khỏe răng miệng lâu dài.
5. Cách Điều Trị Tụt Lợi Chân Răng Hiệu Quả Hiện Nay
Việc điều trị tụt lợi chân răng cần được thực hiện sau khi thăm khám và đánh giá chính xác mức độ tụt lợi. Tùy vào tình trạng nhẹ hay nặng, bác sĩ sẽ chỉ định phương pháp điều trị phù hợp nhằm kiểm soát bệnh và bảo tồn răng thật.
5.1. Trường hợp tụt lợi nhẹ
Ở giai đoạn nhẹ, tụt lợi có thể được kiểm soát hiệu quả bằng các biện pháp điều trị không xâm lấn, bao gồm:
-
Cạo vôi răng, làm sạch mảng bám và vi khuẩn quanh chân răng
-
Hướng dẫn chải răng đúng kỹ thuật, tránh chải mạnh gây tổn thương nướu
-
Sử dụng bàn chải lông mềm, kem đánh răng dành cho răng nhạy cảm
-
Theo dõi và tái khám định kỳ để kiểm soát tiến triển của tụt lợi
Việc can thiệp sớm giúp ngăn ngừa tụt lợi tiến triển nặng hơn và hạn chế biến chứng.
Xem Thêm: Lấy Cao Răng Giá Bao Nhiêu? Bảng Giá Chi Tiết Tại Nha Khoa Kim Xuân
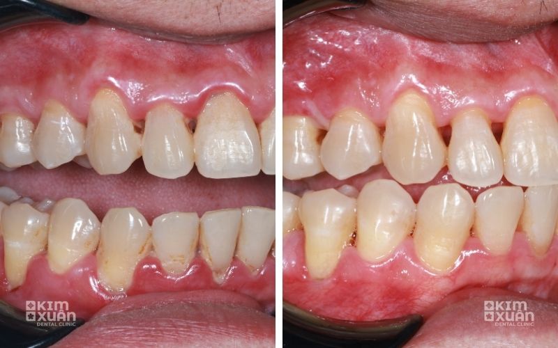
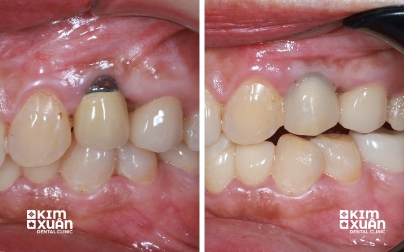
5.2. Trường hợp tụt lợi nặng
Khi tụt lợi đã tiến triển nặng, làm lộ nhiều chân răng và ảnh hưởng đến chức năng ăn nhai, bác sĩ có thể chỉ định phẫu thuật ghép nướu. Phương pháp này giúp:
-
Che phủ phần chân răng bị lộ
-
Bảo vệ chân răng khỏi vi khuẩn và tác nhân bên ngoài
-
Giảm ê buốt, nhạy cảm răng
-
Ngăn ngừa tụt lợi tiếp tục tiến triển
-
Cải thiện thẩm mỹ nụ cười và chức năng ăn nhai
Xem Thêm: Chữa Tụt Lợi Chân Răng Giá Bao Nhiêu Tiền?

6. Cách Phòng Ngừa Tụt Lợi Hiệu Quả
Phòng ngừa tụt lợi đúng cách giúp bảo vệ nướu răng, hạn chế nguy cơ tụt lợi chân răng và duy trì sức khỏe răng miệng lâu dài. Dưới đây là những biện pháp phòng ngừa tụt lợi hiệu quả được các bác sĩ nha khoa khuyến nghị:
-
Chải răng nhẹ nhàng, đúng kỹ thuật, tránh chải ngang hoặc dùng lực quá mạnh gây tổn thương mô nướu
-
Sử dụng chỉ nha khoa hoặc tăm nước thay cho tăm xỉa răng để làm sạch kẽ răng an toàn
-
Cạo vôi răng định kỳ 6 tháng/lần nhằm loại bỏ mảng bám và vi khuẩn gây viêm lợi
-
Hạn chế hút thuốc lá, vì thuốc lá làm giảm khả năng hồi phục của mô nướu
-
Thăm khám răng miệng định kỳ để phát hiện sớm các vấn đề bất thường và điều trị kịp thời
Việc duy trì những thói quen trên không chỉ giúp ngăn ngừa tụt lợi mà còn góp phần bảo vệ răng chắc khỏe và hạn chế nguy cơ mất răng về lâu dài.
Câu Hỏi Thường Gặp?
Tụt lợi có nguy hiểm không?
-
Tụt lợi không gây nguy hiểm ngay lập tức, nhưng nếu không điều trị kịp thời có thể dẫn đến viêm nha chu, tiêu xương ổ răng, răng lung lay và mất răng. Vì vậy, phát hiện sớm và can thiệp đúng cách là rất quan trọng.
Tụt lợi có chữa dứt điểm được không?
-
Tụt lợi không thể tự phục hồi hoàn toàn như ban đầu, tuy nhiên vẫn có thể kiểm soát và cải thiện hiệu quả bằng các phương pháp điều trị phù hợp như cạo vôi răng, điều trị nha chu hoặc ghép nướu tùy mức độ.
Tụt lợi nhẹ có cần điều trị không?
-
Có. Tụt lợi nhẹ nếu không điều trị sớm vẫn có thể tiến triển nặng hơn theo thời gian. Việc điều trị sớm giúp ngăn ngừa biến chứng và bảo vệ răng thật lâu dài.
Khi nào cần đến nha khoa để điều trị tụt lợi?
-
Bạn nên đi khám nha khoa ngay khi có dấu hiệu như nướu co rút, răng ê buốt, chảy máu nướu hoặc răng trông dài hơn bình thường để được chẩn đoán và tư vấn kịp thời.
Kết Luận
Tụt lợi (tụt nướu răng) là một bệnh lý răng miệng không thể tự khỏi, nhưng hoàn toàn có thể kiểm soát và điều trị hiệu quả nếu được phát hiện sớm và can thiệp đúng phương pháp. Việc chủ động chăm sóc răng miệng đúng cách, kết hợp thăm khám nha khoa định kỳ, đóng vai trò quan trọng trong việc bảo vệ nướu răng và duy trì sức khỏe răng miệng lâu dài.
Nếu bạn đang có dấu hiệu tụt lợi, răng ê buốt, chảy máu nướu hoặc lo lắng về tình trạng răng miệng của mình, hãy liên hệ Nha khoa Kim Xuân để được thăm khám và tư vấn phương án điều trị phù hợp, giúp bảo tồn răng thật và ngăn ngừa biến chứng về sau.
Nha Khoa Kim Xuân - Bình Thạnh TP. HCM
Địa Chỉ: 165 Ngô Tất Tố, Phường Thạnh Mỹ Tây, Tp Hồ Chí Minh
Hotline: 0899 922 668 (Viber, Zalo, FaceTime)
ZaLo: https://zalo.me/nhakhoakimxuan
WebSite: https://nhakhoakimxuan.com.vn