Bọc răng sứ có cần lấy tủy răng không? Không phải mọi trường hợp bọc răng sứ đều cần lấy tủy. Việc có phải điều trị tủy trước hay không còn tùy thuộc vào tình trạng răng miệng thực tế của mỗi người. Tủy răng chỉ được chỉ định lấy khi răng bị sâu nặng, viêm tủy, chấn thương làm lộ tủy hoặc khi cần mài răng nhiều và có nguy cơ xâm phạm tủy. Ở những răng còn khỏe, bác sĩ sẽ ưu tiên giữ nguyên tủy để bảo tồn mô răng thật và tránh biến chứng về sau. Trước khi bọc sứ, bạn sẽ được thăm khám và chụp X-quang để xác định có cần điều trị tủy hay không.

1. Lấy Tủy Răng Là Gì? Trường Hợp Nào Nên Cần Lấy Tủy?
Lấy tủy răng (điều trị nội nha) là thủ thuật loại bỏ mô mềm bên trong răng - gồm buồng tủy và ống tủy - khi tủy bị viêm, nhiễm trùng hoặc tổn thương nặng.
Quy trình gồm: gây tê - mở buồng tủy - làm sạch - tạo hình ống tủy - hàn kín - phục hồi bằng trám hoặc mão răng sứ.
Các trường hợp bắt buộc phải điều trị tủy:
-
Sâu răng gây viêm tủy: sâu ăn vào ngà - tủy gây đau nhói, ê buốt về đêm, hơi thở hôi, răng đổi màu.
-
Răng gãy, vỡ lộ tủy: chấn thương mạnh làm răng nứt vỡ, lộ mô tủy - dễ nhiễm trùng, phải lấy tủy để bảo tồn răng.
-
Viêm tủy không điều trị dẫn đến viêm chóp: vi khuẩn lan xuống chóp răng gây sưng má, nổi hạch, có lỗ dò.
-
Răng chết tủy: răng không còn cảm giác, đổi màu đen/xám - cần điều trị để tránh nhiễm trùng lan rộng.
Điều trị tủy giúp: giảm đau, loại bỏ viêm nhiễm, ngăn biến chứng xương hàm.
Xem Thêm: Lấy Tủy Răng Giá Bao Nhiều Tiền? Bảng Giá Chi Tiết

2. Bọc Răng Sứ Có Cần Lấy Tủy Răng Không?
Không phải mọi trường hợp bọc răng sứ đều cần lấy tủy. Việc có phải điều trị tủy hay không phụ thuộc vào mức độ tổn thương của răng. Bác sĩ chỉ chỉ định lấy tủy khi răng bị sâu nặng, viêm tủy, chấn thương làm lộ tủy hoặc khi cần mài răng quá nhiều và có nguy cơ xâm lấn vào buồng tủy.
Nguyên tắc quan trọng trong bọc răng sứ: luôn ưu tiên giữ nguyên tủy răng để bảo tồn mô răng thật, giúp răng bền hơn và giảm nguy cơ biến chứng. Vì vậy, điều trị tủy chỉ thực hiện khi thật sự cần thiết và không thể bảo tồn được tủy.
2.1. Bọc Răng Sứ Cần Lấy Tủy Khi Răng Bị Sâu Nặng
-
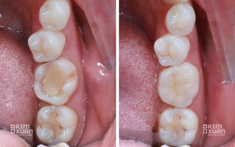
Khi sâu răng lan vào buồng tủy, vi khuẩn gây viêm - nhiễm trùng khiến răng đau nhức dữ dội. Điều trị tủy là bước bắt buộc để loại bỏ hoàn toàn vi khuẩn. Sau đó, răng đã mất tủy trở nên yếu hơn, vì vậy bác sĩ sẽ bọc mão sứ để bảo vệ và phục hồi lại hình dáng - chức năng - thẩm mỹ của răng.
2.2. Bọc răng sứ cần lấy tủy khi răng hô hoặc lệch nặng
-
Ở những trường hợp răng hô, lệch nhiều, bác sĩ phải mài răng nhiều hơn để chỉnh trục răng về đúng vị trí. Nếu mức mài tiến sát hoặc chạm buồng tủy, răng có nguy cơ ê buốt kéo dài, viêm tủy hoặc chết tủy. Khi đó, điều trị tủy trước khi bọc sứ là cần thiết để đảm bảo an toàn và độ bền lâu dài.
Xem Thêm: Dấu Hiệu Nhận Biết Răng Sâu Đến Tủy
3. Răng Lấy Tủy Có Nên Bọc Sứ Lại?
Có. Răng đã lấy tủy gần như bắt buộc phải bọc sứ. Sau khi điều trị tủy, răng không còn được nuôi dưỡng như trước nên trở nên yếu và giòn hơn, dễ nứt vỡ khi ăn nhai.
Lý do răng lấy tủy cần bọc sứ:
-
Răng mất dinh dưỡng - mô răng yếu, giòn - dễ nứt gãy.
-
Khả năng ăn nhai giảm, dễ bị ê buốt khi tác động mạnh.
-
Màu sắc răng sẫm dần (đen/xám) do mô răng đã chết, ảnh hưởng thẩm mỹ.
-
Bọc răng sứ hoạt động như một “lớp áo giáp”, bao phủ toàn bộ thân răng, giúp răng bền chắc và kéo dài tuổi thọ.
Nếu không bọc sứ, răng đã lấy tủy có nguy cơ vỡ dọc thân răng, và nhiều trường hợp phải nhổ bỏ hoàn toàn vì không thể phục hồi.
Xem Thêm: Bọc Răng Sứ Giá Bao Nhiêu? Bảng Giá Mới Nhất

4. Các Trường Hợp Bọc Răng Sứ Không Cần Lấy Tủy
Nếu răng hoàn toàn khỏe mạnh, không viêm tủy, không tổn thương sâu, bác sĩ sẽ không lấy tủy.
Những trường hợp bọc sứ KHÔNG cần lấy tủy:
-
Răng đổi màu, xỉn màu, nhiễm tetracycline - chỉ cần mài mỏng.
-
Răng sứt mẻ nhỏ, không lộ tủy.
-
Răng thưa, lệch nhẹ, vẫn còn nhiều mô răng khỏe.
-
Răng làm trụ cầu sứ, hai răng hai bên vẫn khỏe mạnh.
-
Răng sâu nhẹ chưa vào tủy, có thể điều trị - trám rồi bọc sứ.
Bác sĩ sẽ đo độ dày men - ngà qua X-quang. Nếu mài răng không chạm tủy thì giữ nguyên tủy để bảo tồn tối đa răng thật.
Xem Thêm: Cạo Vôi Răng Giá Bao Nhiêu? Tại TP. HCM
Xem Thêm: Lấy Tủy Bọc Răng Sứ Giá Bao Nhiêu 2026
5. Răng Lấy Tủy Bọc Sứ Có Bền Không?
Có. Răng đã lấy tủy nếu được bọc sứ đúng kỹ thuật vẫn rất bền và sử dụng tốt trong nhiều năm. Tuổi thọ trung bình của răng đã lấy tủy bọc sứ thường từ 7 - 15 năm, thậm chí lâu hơn nếu chăm sóc tốt và chọn loại sứ chất lượng cao.
Yếu tố quyết định độ bền của răng lấy tủy bọc sứ:
-
Kỹ thuật điều trị tủy: tủy phải được làm sạch, trám bít kín để không còn vi khuẩn tồn đọng.
-
Mô răng còn lại: răng còn nhiều mô thật sẽ chắc hơn và tăng khả năng chịu lực.
-
Loại mão sứ: sứ toàn sứ Zirconia hoặc sứ cao cấp cho độ cứng cao, chống nứt vỡ tốt.
-
Khớp cắn chuẩn xác: bác sĩ phải điều chỉnh lực nhai đúng để tránh quá tải lên răng đã lấy tủy.
-
Cách chăm sóc: vệ sinh tốt, hạn chế thức ăn quá cứng sẽ kéo dài tuổi thọ mão sứ.
Nếu thực hiện đúng kỹ thuật, răng đã lấy tủy được bọc sứ có thể ăn nhai gần như răng thật, không ê buốt và vẫn đảm bảo thẩm mỹ tự nhiên.
Xem Thêm: Lấy Tủy Răng Bọc Răng Sứ Giá Bao Nhiêu Tiền?
6. Lợi Ích Bọc Răng Sau Khi Lấy Tủy
Bọc sứ sau khi lấy tủy mang lại nhiều lợi ích về chức năng và thẩm mỹ:
Bảo vệ cấu trúc răng thật
- Răng sau khi lấy tủy rất dễ gãy. Mão sứ bao phủ giúp bảo vệ tối đa mô răng còn lại.
Khôi phục khả năng ăn nhai
- Mão sứ tái tạo lại hình dạng - rãnh răng giúp ăn nhai tốt, không ê buốt.
Giảm đổi màu răng
- Răng chết tủy thường đen/xám - bọc sứ giúp cải thiện thẩm mỹ hoàn toàn.
Ngăn sâu răng tái phát
- Mão sứ ôm sát như “lá chắn” giúp vi khuẩn khó xâm nhập.
Xem Thêm: Bọc Sứ Răng Hàm Bị Sâu Giá Bao Nhiêu?
Câu Hỏi Thường Gặp?
Lấy tủy khi bọc răng sứ có ảnh hưởng gì không?
-
Việc lấy tủy giúp loại bỏ viêm - nhiễm trùng và ngăn ngừa đau nhức kéo dài. Tuy nhiên, sau khi lấy tủy, răng sẽ yếu hơn do mất mô sống và không còn được nuôi dưỡng như trước.
Nếu được bọc mão sứ đúng kỹ thuật, răng vẫn ăn nhai tốt, bền chắc và có thể sử dụng trong nhiều năm, hạn chế tối đa nguy cơ nứt vỡ.
Bọc răng sứ sau khi lấy tủy có đau không?
-
Trong quá trình thực hiện: Không đau vì bác sĩ đã gây tê đầy đủ.
-
Sau khi bọc sứ: Có thể ê nhẹ từ 1 - 3 ngày đầu, đây là phản ứng bình thường và sẽ giảm dần.
Do răng đã lấy tủy không còn dây thần kinh, nên không có cảm giác đau nhói như răng còn tủy.
Răng lấy tủy có nên bọc sứ lại không?
-
Rất nên bọc sứ. Răng đã lấy tủy dễ gãy, nứt dọc thân răng hoặc đổi màu theo thời gian. Nếu không bọc, răng có thể bị tổn thương nghiêm trọng và nhiều trường hợp phải nhổ bỏ. Bọc sứ giúp bảo vệ cấu trúc răng, phục hồi thẩm mỹ và kéo dài tuổi thọ của răng.
Kết Luận
Bọc răng sứ không phải lúc nào cũng cần lấy tủy. Việc điều trị tủy chỉ được bác sĩ chỉ định khi răng sâu nặng, viêm tủy, chấn thương làm lộ tủy hoặc khi phải mài răng nhiều để chỉnh lại trục. Với những răng còn khỏe, bác sĩ tại Nha khoa Kim Xuân luôn ưu tiên giữ nguyên tủy để bảo tồn mô răng thật và giúp răng bền chắc lâu dài.
Ngược lại, với những răng đã lấy tủy, bọc sứ gần như là bước cần thiết. Mão sứ sẽ giúp bảo vệ phần răng còn lại, hạn chế nứt vỡ và duy trì khả năng ăn nhai ổn định theo thời gian. Tại Nha khoa Kim Xuân, quy trình bọc sứ được thực hiện cẩn thận, an toàn và thẩm mỹ để mang lại kết quả tự nhiên, bền đẹp cho khách hàng.
Nếu bạn còn băn khoăn, hãy liên hệ Nha khoa Kim Xuân để được thăm khám và tư vấn miễn phí. Chúng tôi luôn sẵn sàng hỗ trợ bạn chọn giải pháp phù hợp nhất với tình trạng răng miệng của mình.
Nha Khoa Kim Xuân - Bình Thạnh TP. HCM
Địa Chỉ: 165 Ngô Tất Tố, Phường Thạnh Mỹ Tây, Tp Hồ Chí Minh
Hotline: 0899 922 668 (Viber, Zalo, FaceTime)
ZaLo: https://zalo.me/nhakhoakimxuan
WebSite: https:nhakhoakimxuan.com.vn
