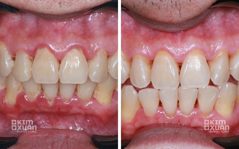
Răng Ố Vàng Là Gì? Nguyên Nhân, Ảnh Hưởng Và Cách Điều Trị Hiệu Quả
Răng ố vàng là tình trạng răng không còn giữ được màu trắng sáng tự nhiên mà chuyển dần sang vàng nhạt, vàng đậm hoặc nâu xỉn. Nguyên nhân thường đến từ mảng bám tích tụ lâu ngày, thói quen sử dụng thực phẩm sậm màu như cà phê, trà, thuốc lá, hoặc do men răng mỏng khiến ngà răng lộ ra. Theo Bác Sĩ tại Nha khoa Kim Xuân, răng ố vàng không chỉ ảnh hưởng đến thẩm mỹ nụ cười mà còn có thể là dấu hiệu cảnh báo các vấn đề răng miệng tiềm ẩn nếu không được kiểm tra và xử lý kịp thời.

1. Răng Ố Vàng Là Gì?
Răng ố vàng là tình trạng răng bị nhiễm màu, khiến màu sắc ngả sang vàng, vàng sậm hoặc xỉn màu so với ban đầu. Mức độ ố vàng ở mỗi người không giống nhau, phụ thuộc vào nguyên nhân, thời gian nhiễm màu và cấu trúc men - ngà răng.
Không phải mọi răng có màu vàng nhạt đều là bệnh lý. Một số người có màu răng tự nhiên hơi vàng do di truyền hoặc men răng mỏng. Tuy nhiên, nếu răng đổi màu theo thời gian, kèm theo mảng bám, cao răng hoặc viêm nướu, đây có thể là dấu hiệu cảnh báo sức khỏe răng miệng.
2. Răng Ố Vàng Có Nguy Hiểm Không?
Ở mức độ nhẹ, răng ố vàng chủ yếu gây ảnh hưởng đến thẩm mỹ nụ cười và khiến nhiều người thiếu tự tin khi giao tiếp. Tuy nhiên, theo khuyến cáo từ Nha khoa Kim Xuân, nếu tình trạng răng ố vàng kéo dài và đi kèm các dấu hiệu bất thường như:
-
Cao răng tích tụ nhiều
-
Viêm nướu, viêm nha chu
-
Hôi miệng kéo dài
-
Ê buốt hoặc đau răng
Thì rất có thể đây không chỉ là vấn đề thẩm mỹ, mà còn liên quan đến các bệnh lý răng miệng tiềm ẩn hoặc rối loạn sức khỏe bên trong cơ thể. Vì vậy, khi răng thay đổi màu sắc bất thường, người bệnh không nên chủ quan mà cần thăm khám sớm để xác định nguyên nhân và có hướng điều trị phù hợp.

3. Nguyên Nhân Khiến Răng Bị Ố Vàng
Về mặt chuyên môn, răng ố vàng được chia thành 2 nhóm nguyên nhân chính: nhiễm màu ngoại sinh và nhiễm màu nội sinh.
3.1. Nhiễm màu ngoại sinh (từ bên ngoài men răng)
Đây là nhóm nguyên nhân phổ biến nhất, bao gồm:
Vệ sinh răng miệng kém:
-
Không chải răng đúng cách, không dùng chỉ nha khoa hoặc tăm nước khiến mảng bám và cao răng tích tụ, lâu ngày làm răng xỉn màu, vàng rõ rệt.
Thực phẩm và đồ uống sẫm màu:
-
Cà phê, trà, nước ngọt có màu, rượu vang, nước sốt đậm màu, bánh kẹo nhiều đường… nếu sử dụng thường xuyên sẽ khiến răng nhiễm màu theo thời gian.
Hút thuốc lá:
-
Nicotine và hắc ín trong thuốc lá là tác nhân hàng đầu khiến răng vàng nâu, xỉn đen, đồng thời làm tăng nguy cơ viêm nướu, nha chu và hôi miệng.
3.2. Nhiễm màu nội sinh (từ bên trong cấu trúc răng)
Tuổi tác:
-
Theo thời gian, men răng mòn dần, lớp ngà răng bên trong (có màu vàng) lộ ra nhiều hơn, khiến răng trông sậm màu hơn.
Di truyền:
-
Một số người có màu răng tự nhiên hơi vàng hoặc trắng ngà - đây là yếu tố sinh lý bình thường, không phải bệnh lý.
Nhiễm tetracycline:
-
Sử dụng kháng sinh tetracycline trong thai kỳ hoặc giai đoạn hình thành răng ở trẻ nhỏ có thể khiến răng nhiễm màu từ vàng, nâu đến xám tím. Trường hợp này rất khó cải thiện bằng tẩy trắng thông thường.
Nhiễm fluor:
-
Tiếp xúc quá nhiều fluor trong thời gian dài có thể làm men răng suy yếu, xuất hiện đốm màu và răng vàng không đồng đều.
Thay đổi nội tiết và bệnh lý:
-
Phụ nữ mang thai - sau sinh, người mắc bệnh gan, đái tháo đường, bệnh nha chu hoặc thiếu canxi cũng có nguy cơ răng ố vàng cao hơn.
4. Răng Ố Vàng Có Tẩy Trắng Được Không?
Không phải trường hợp răng ố vàng nào cũng tẩy trắng hiệu quả.
-
Tẩy trắng răng tốt: răng ố vàng do thực phẩm, mảng bám, hút thuốc, tuổi tác (mức độ nhẹ - trung bình).
-
Khó tẩy trắng răng: răng nhiễm tetracycline, nhiễm fluor nặng, răng đổi màu từ cấu trúc bên trong.
Trong các trường hợp nhiễm màu nặng, bác sĩ thường chỉ định dán sứ veneer hoặc bọc răng sứ để đạt hiệu quả thẩm mỹ tối ưu.
Xem Thêm: Cạo Vôi Răng Và Tẩy Trắng Răng Giá Bao Nhiêu Tiền?

5. Răng Ố Vàng Nên Điều Trị Bằng Phương Pháp Nào?
Tùy mức độ ố vàng, bác sĩ sẽ tư vấn giải pháp phù hợp:
-
Ố vàng nhẹ: lấy vôi răng, cải thiện vệ sinh răng miệng
-
Ố vàng trung bình: tẩy trắng răng tại phòng khám hoặc tại nhà theo chỉ định
-
Ố vàng nặng: dán sứ veneer hoặc bọc răng sứ
Việc lựa chọn đúng phương pháp giúp đảm bảo an toàn men răng và duy trì kết quả lâu dài.
Xem Thêm: Tẩy Trắng Răng Giá Bao Nhiêu? Bảng Giá Chi Tiết Từng Phương Pháp
6. Cách Điều Trị Răng Ố Vàng Hiệu Quả An Toàn
6.1. Lấy vôi răng định kỳ
-
Lấy cao răng giúp loại bỏ mảng bám - nguyên nhân chính gây răng xỉn màu, đồng thời phòng ngừa viêm nướu, nha chu. Nên thực hiện 6–12 tháng/lần.
6.2. Tẩy trắng răng
-
Tẩy trắng răng sử dụng các hoạt chất oxy hóa để phá vỡ phân tử màu trong men răng, giúp răng sáng hơn. Phù hợp với răng nhiễm màu nhẹ đến trung bình.
6.3. Dán sứ veneer
-
Dán sứ veneer giúp che phủ bề mặt răng ố vàng, sứt mẻ hoặc không đều màu. Veneer mỏng, màu sắc tự nhiên và duy trì lâu dài.
6.4. Bọc răng sứ
-
Áp dụng cho răng nhiễm màu nặng hoặc răng hư tổn nhiều. Phương pháp này cần mài răng và chỉ nên thực hiện khi có chỉ định.
Xem Thêm: Dán Răng Sứ Veneer Giá Bao Nhiêu?
Xem Thêm: Giá Bọc Răng Sứ Bao Nhiêu Tiền? Bảng Giá Các Loại Răng Sứ Phổ Biến

7. Có Nên Tự Làm Trắng Răng Ố Vàng Tại Nhà Không?
-
Không nên tự ý áp dụng các mẹo truyền miệng như dùng baking soda, chanh, than hoạt tính… vì có thể gây mòn men răng, ê buốt và loang màu răng.
-
Nếu muốn tẩy trắng tại nhà, cần thực hiện theo hướng dẫn của bác sĩ nha khoa.
8. Cách Phòng Ngừa Răng Ố Vàng
-
Chải răng đúng cách ít nhất 2 lần/ngày
-
Dùng chỉ nha khoa hoặc tăm nước sau ăn
-
Hạn chế thực phẩm sẫm màu, nhiều đường
-
Không hút thuốc lá
-
Khám răng định kỳ để phát hiện và xử lý sớm các vấn đề răng miệng
Câu Hỏi Thường Gặp?
Răng ố vàng có phải bệnh không?
-
Không phải lúc nào cũng là bệnh, nhưng có thể là dấu hiệu cảnh báo nếu đi kèm triệu chứng bất thường.
Tẩy trắng răng có hại men răng không?
-
Không, nếu thực hiện đúng kỹ thuật và theo chỉ định của bác sĩ.
Bao lâu nên lấy vôi răng một lần?
- Thông thường từ 6 - 12 tháng/lần, tùy tình trạng răng miệng mỗi người
Kết Luận
Răng ố vàng là tình trạng răng miệng khá phổ biến, có thể xuất phát từ thói quen sinh hoạt hằng ngày, yếu tố sinh lý tự nhiên hoặc các bệnh lý răng miệng tiềm ẩn. Việc xác định đúng nguyên nhân răng ố vàng đóng vai trò quan trọng trong việc lựa chọn phương pháp điều trị phù hợp, đảm bảo an toàn và duy trì hiệu quả lâu dài.
Để sở hữu nụ cười trắng sáng và răng miệng khỏe mạnh, mỗi người nên chủ động chăm sóc răng đúng cách và thăm khám răng miệng định kỳ. Nếu bạn đang gặp tình trạng răng ố vàng kéo dài hoặc chưa biết đâu là giải pháp phù hợp, Nha khoa Kim Xuân luôn sẵn sàng đồng hành, thăm khám - tư vấn chuyên sâu và xây dựng phác đồ điều trị cá nhân hóa, giúp bạn cải thiện màu răng một cách an toàn, tự nhiên và bền vững.
Liên hệ Nha khoa Kim Xuân để được kiểm tra răng miệng và tư vấn giải pháp cải thiện răng ố vàng phù hợp ngay hôm nay.
Nha Khoa Kim Xuân - Bình Thạnh TP. HCM
Địa Chỉ: 165 Ngô Tất Tố, Phường Thạnh Mỹ Tây, Tp Hồ Chí Minh
Hotline: 0899 922 668 (Viber, Zalo, FaceTime)
ZaLo: https://zalo.me/nhakhoakimxuan
WebSite: https://nhakhoakimxuan.com.vn