Viêm Lợi Ở Trẻ Em: Nguyên Nhân, Dấu Hiệu Và Cách Điều Trị Hiệu Quả
Viêm lợi ở trẻ em là bệnh lý răng miệng phổ biến nhưng thường bị nhiều phụ huynh bỏ qua ở giai đoạn đầu. Khi trẻ có biểu hiện sưng nướu, đỏ lợi, chảy máu chân răng hoặc đau khi ăn nhai, đó có thể là dấu hiệu viêm lợi đang hình thành. Nếu không được phát hiện và điều trị kịp thời, viêm lợi có thể ảnh hưởng đến việc ăn uống, sinh hoạt hằng ngày và sự phát triển răng vĩnh viễn của trẻ.
Trong bài viết này, Nha khoa Kim Xuân sẽ giúp phụ huynh hiểu rõ nguyên nhân viêm lợi ở trẻ em, nhận biết sớm các dấu hiệu cảnh báo và hướng dẫn cách điều trị viêm lợi cho bé an toàn, hiệu quả tại nhà. Đồng thời, chúng tôi cũng chia sẻ thời điểm cần đưa trẻ đến nha khoa để được thăm khám và xử lý đúng cách, giúp bé duy trì nụ cười khỏe mạnh ngay từ nhỏ.

1. Viêm Lợi Ở Trẻ Em Là Gì?
Viêm lợi ở trẻ em (viêm nướu trẻ em) là tình trạng phần nướu xung quanh răng bị vi khuẩn trong mảng bám tấn công, gây sưng đỏ, đau nhức và dễ chảy máu khi ăn nhai hoặc đánh răng. Đây là một trong những bệnh lý răng miệng phổ biến ở trẻ nhỏ, thường xuất hiện do vệ sinh răng miệng chưa đúng cách, tích tụ mảng bám và sức đề kháng của trẻ còn nhạy cảm.
Ở giai đoạn đầu, viêm lợi ở trẻ em chỉ ảnh hưởng đến mô nướu và có thể điều trị đơn giản nếu được phát hiện sớm. Tuy nhiên, nếu tình trạng viêm nướu kéo dài mà không xử lý đúng cách, vi khuẩn có thể lan sâu hơn và gây ra nhiều vấn đề răng miệng nghiêm trọng như:
-
Sâu răng ở trẻ em
-
Viêm tủy răng
-
Viêm nha chu
-
Ảnh hưởng đến mầm răng vĩnh viễn
Chính vì vậy, khi thấy trẻ bị sưng nướu, chảy máu chân răng hoặc đau khi ăn uống, phụ huynh cần theo dõi và điều trị viêm lợi cho bé sớm. Việc phát hiện viêm lợi ở trẻ em kịp thời không chỉ giúp bé giảm đau, ăn nhai tốt hơn mà còn bảo vệ sự phát triển khỏe mạnh của răng vĩnh viễn trong tương lai.
Xem Thêm: Dấu Hiệu Nhận Biết Viêm Tủy Răng, Đau Răng Về Đêm

2. Nguyên Nhân Gây Viêm Lợi Ở Trẻ Em
Viêm lợi ở trẻ em là tình trạng khá phổ biến và có thể xuất phát từ nhiều nguyên nhân khác nhau. Việc xác định đúng nguyên nhân viêm lợi ở trẻ em sẽ giúp phụ huynh phòng ngừa sớm và lựa chọn cách điều trị phù hợp, tránh ảnh hưởng đến sức khỏe răng miệng và sự phát triển răng vĩnh viễn của bé.
2.1. Vệ sinh răng miệng chưa đúng cách
Đây là nguyên nhân phổ biến nhất gây viêm lợi ở trẻ em. Khi trẻ chưa được hướng dẫn cách chải răng đúng hoặc chưa có thói quen vệ sinh răng miệng thường xuyên, thức ăn thừa sẽ dễ tích tụ quanh răng và nướu.
Hậu quả gồm:
-
Thức ăn thừa tích tụ lâu ngày
-
Hình thành mảng bám vi khuẩn
-
Vi khuẩn phát triển gây viêm nướu
Các vi khuẩn trong mảng bám sẽ kích ứng nướu, khiến trẻ bị sưng lợi, đỏ nướu và chảy máu chân răng khi đánh răng hoặc ăn nhai.
2.2. Giai đoạn mọc răng ở trẻ
Trong giai đoạn mọc răng sữa hoặc thay răng, nướu của trẻ thường nhạy cảm và dễ bị viêm. Đây cũng là thời điểm viêm lợi ở trẻ em dễ xuất hiện nếu không chăm sóc răng miệng tốt.
Trẻ có thể có các biểu hiện:
-
Sưng nướu
-
Đỏ lợi
-
Khó chịu khi ăn uống
-
Thường xuyên đưa tay hoặc đồ vật vào miệng
Nếu không vệ sinh sạch khoang miệng trong giai đoạn này, vi khuẩn dễ tích tụ và gây viêm nướu kéo dài.
2.3. Thói quen sinh hoạt gây tổn thương nướu
Một số thói quen sinh hoạt hằng ngày cũng là nguyên nhân gây viêm lợi ở trẻ em mà phụ huynh thường bỏ qua, như:
-
Cắn móng tay
-
Nhai bút, đồ chơi hoặc vật cứng
-
Đánh răng quá mạnh
-
Sử dụng bàn chải lông cứng
Những thói quen này dễ làm tổn thương nướu, tạo điều kiện cho vi khuẩn xâm nhập và gây sưng đau, viêm nướu.
2.4. Nhiễm khuẩn hoặc virus trong khoang miệng
Một số trường hợp viêm lợi ở trẻ em có mủ hoặc viêm nặng có thể xuất phát từ nhiễm khuẩn hoặc virus trong khoang miệng. Khi đó, trẻ có thể xuất hiện các dấu hiệu như:
-
Sốt nhẹ
-
Đau miệng
-
Khó ăn uống
-
Hôi miệng
-
Nướu sưng đỏ hoặc có mủ
Phụ huynh nên đưa trẻ đến nha khoa sớm khi có các dấu hiệu trên để được kiểm tra và điều trị viêm lợi đúng cách, tránh nhiễm trùng lan rộng.
Xem Thêm: Viêm Nha Chu Nguyên Nhân Và Cách Điều Trị?
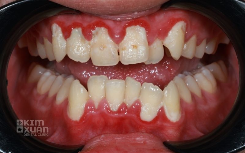
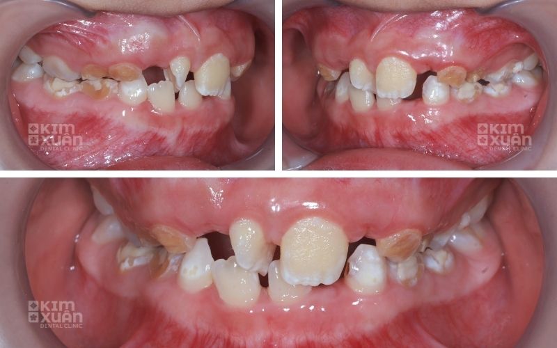
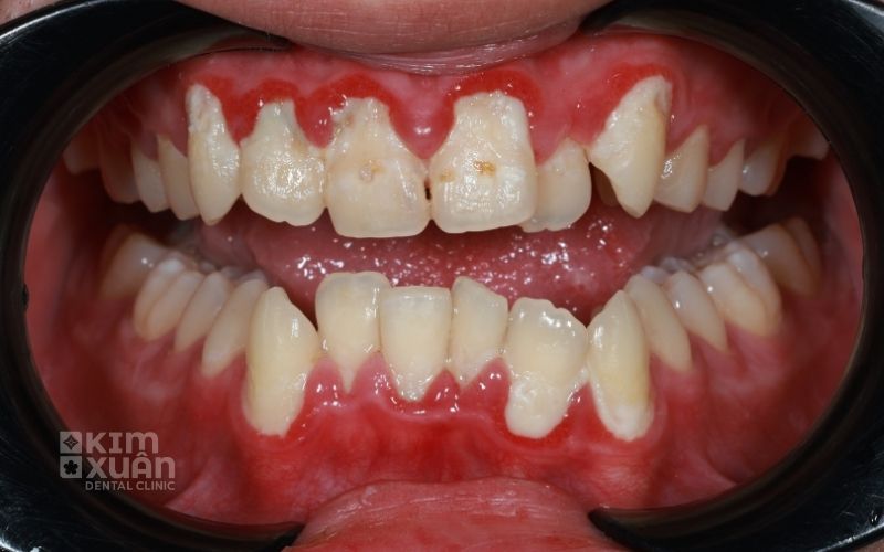
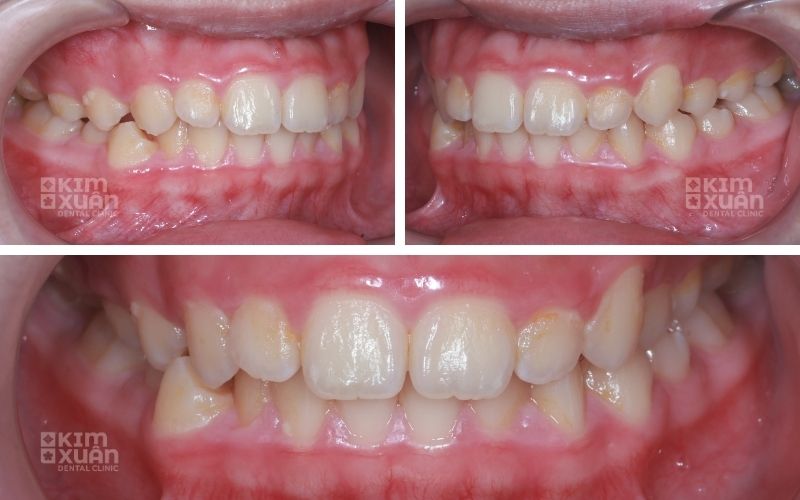
3. Dấu Hiệu Nhận Biết Viêm Lợi Ở Trẻ Em
Việc nhận biết sớm các dấu hiệu viêm lợi ở trẻ em sẽ giúp phụ huynh xử lý kịp thời và tránh để tình trạng viêm nướu tiến triển nặng hơn. Trong giai đoạn đầu, các biểu hiện thường khá nhẹ nên dễ bị bỏ qua nếu không quan sát kỹ.
Phụ huynh nên chú ý khi trẻ có các dấu hiệu viêm lợi ở trẻ em sau:
-
Trẻ bị sưng nướu, đỏ lợi quanh răng
-
Chảy máu chân răng khi đánh răng hoặc ăn nhai
-
Hơi thở có mùi hôi kéo dài
-
Nướu đau, khó chịu khi ăn uống
-
Xuất hiện mủ ở vùng lợi
-
Bé biếng ăn, quấy khóc hoặc khó chịu trong miệng
Khi viêm lợi ở trẻ em tiến triển nặng, nướu có thể sưng to, đau nhiều và xuất hiện túi mủ quanh răng. Đây là dấu hiệu viêm lợi có mủ ở trẻ, cần được thăm khám và điều trị sớm để tránh nguy cơ nhiễm trùng lan rộng.
Nếu phụ huynh nhận thấy tình trạng sưng nướu kéo dài, chảy máu chân răng thường xuyên hoặc trẻ đau khi ăn uống, nên đưa bé đến nha khoa để được kiểm tra. Việc phát hiện sớm dấu hiệu viêm lợi ở trẻ em sẽ giúp điều trị nhẹ nhàng, nhanh hồi phục và bảo vệ sự phát triển răng miệng lâu dài cho bé.

4. Trẻ Bị Sưng Nướu Phải Làm Sao?
Khi thấy trẻ bị sưng nướu, nhiều phụ huynh thường lo lắng nhưng chưa biết xử lý thế nào cho đúng. Trên thực tế, nếu phát hiện sớm và chăm sóc đúng cách, tình trạng sưng nướu ở trẻ có thể cải thiện nhanh và tránh tiến triển thành viêm lợi nặng.
Dưới đây là những cách xử lý khi trẻ bị sưng nướu mà phụ huynh có thể áp dụng:
4.1. Kiểm tra tình trạng nướu của bé
Phụ huynh nên quan sát kỹ vùng nướu bị sưng để xác định mức độ viêm. Nếu nướu chỉ sưng nhẹ, đỏ hoặc hơi đau khi ăn, có thể chăm sóc tại nhà. Tuy nhiên, nếu nướu sưng to, có mủ hoặc chảy máu nhiều, cần theo dõi sát và đưa trẻ đi khám sớm.
4.2. Cho bé súc miệng nước muối sinh lý
Nước muối sinh lý giúp làm sạch khoang miệng, giảm vi khuẩn và hỗ trợ giảm viêm nướu. Phụ huynh có thể cho trẻ súc miệng 2 - 3 lần mỗi ngày, đặc biệt sau khi ăn và trước khi ngủ.
4.3. Hướng dẫn trẻ đánh răng nhẹ nhàng
Khi trẻ bị sưng nướu, nên sử dụng bàn chải lông mềm và hướng dẫn bé chải răng nhẹ nhàng. Tránh chải mạnh vào vùng nướu đang viêm để hạn chế chảy máu và tổn thương thêm.
4.4. Điều chỉnh chế độ ăn uống
Trong thời gian nướu bị viêm, nên hạn chế cho trẻ ăn:
-
Đồ ngọt nhiều đường
-
Thức ăn quá cứng hoặc quá nóng
-
Đồ ăn dễ mắc kẽ răng
Thay vào đó, ưu tiên thức ăn mềm, dễ nhai và giàu vitamin để hỗ trợ phục hồi nướu.
4.5. Đưa trẻ đến nha khoa khi cần thiết
Nếu sau vài ngày chăm sóc tại nhà mà tình trạng sưng nướu không cải thiện, hoặc xuất hiện các dấu hiệu như chảy máu nhiều, đau kéo dài, có mủ hoặc hôi miệng nặng, phụ huynh nên đưa trẻ đến nha khoa để được kiểm tra.
Việc thăm khám sớm sẽ giúp xác định nguyên nhân trẻ bị sưng nướu và có hướng điều trị phù hợp, đảm bảo an toàn và bảo vệ sức khỏe răng miệng lâu dài cho bé.
5. Cách Điều Trị Viêm Lợi Cho Bé Tại Nhà
Đối với những trường hợp viêm lợi ở trẻ em mức độ nhẹ, phụ huynh có thể áp dụng một số cách trị viêm lợi cho bé tại nhà để giúp giảm viêm, giảm sưng nướu và hỗ trợ phục hồi nhanh chóng. Việc chăm sóc đúng cách sẽ giúp ngăn viêm nướu tiến triển nặng và bảo vệ sức khỏe răng miệng lâu dài cho trẻ.
5.1. Giữ vệ sinh răng miệng cho bé sạch sẽ
Giữ vệ sinh răng miệng tốt là yếu tố quan trọng nhất trong việc điều trị viêm lợi ở trẻ em tại nhà. Phụ huynh nên:
-
Hướng dẫn trẻ đánh răng 2 lần/ngày (sáng và tối)
-
Sử dụng bàn chải lông mềm để tránh làm tổn thương nướu
-
Chọn kem đánh răng phù hợp với độ tuổi của bé
-
Tập cho trẻ thói quen vệ sinh răng miệng sau khi ăn
Việc làm sạch mảng bám và thức ăn thừa sẽ giúp hạn chế vi khuẩn gây viêm nướu.
5.2. Cho trẻ súc miệng nước muối sinh lý
Súc miệng nước muối sinh lý là cách trị viêm lợi cho bé tại nhà đơn giản và an toàn. Nước muối có tác dụng:
-
Giảm vi khuẩn trong khoang miệng
-
Làm dịu vùng nướu bị sưng viêm
-
Hỗ trợ phục hồi mô lợi tổn thương
Phụ huynh có thể cho trẻ súc miệng 2 - 3 lần/ngày, đặc biệt sau khi ăn và trước khi ngủ để đạt hiệu quả tốt hơn.
5.3. Xây dựng chế độ ăn uống lành mạnh
Chế độ dinh dưỡng hợp lý cũng góp phần quan trọng trong việc cải thiện viêm lợi ở trẻ em. Nên bổ sung cho bé:
Thực phẩm nên ăn:
-
Rau xanh
-
Trái cây giàu vitamin C
-
Thực phẩm mềm, dễ nhai
-
Uống đủ nước mỗi ngày
Thực phẩm nên hạn chế:
-
Bánh kẹo nhiều đường
-
Nước ngọt có gas
-
Đồ ăn quá cứng hoặc quá dai
Chế độ ăn uống lành mạnh giúp tăng sức đề kháng, hỗ trợ nướu nhanh hồi phục và hạn chế vi khuẩn phát triển.
Khi nào cần đưa trẻ đến nha khoa?
Nếu đã áp dụng các cách trị viêm lợi cho bé tại nhà nhưng sau vài ngày tình trạng sưng nướu, chảy máu chân răng hoặc đau nhức không cải thiện, phụ huynh nên đưa trẻ đến nha khoa để được kiểm tra. Việc thăm khám sớm sẽ giúp xác định chính xác nguyên nhân viêm lợi ở trẻ em và có hướng điều trị phù hợp, đảm bảo an toàn cho sức khỏe răng miệng và sự phát triển răng vĩnh viễn của trẻ.
Xem Thêm: Khi Nào Cần Trám Răng Sữa Cho Trẻ Em?
6. Điều Trị Viêm Lợi Cho Trẻ Tại Nha Khoa
Trong nhiều trường hợp, việc điều trị viêm lợi ở trẻ em tại nha khoa là cần thiết, đặc biệt khi tình trạng sưng nướu kéo dài, chảy máu chân răng nhiều hoặc xuất hiện mủ. Thăm khám sớm giúp xác định đúng nguyên nhân và có hướng điều trị an toàn, hiệu quả cho bé.
6.1. Làm sạch mảng bám và cao răng
Mảng bám và vi khuẩn tích tụ lâu ngày là nguyên nhân chính gây viêm lợi ở trẻ em. Khi đưa trẻ đến nha khoa, bác sĩ sẽ:
-
Kiểm tra tổng quát tình trạng nướu và răng
-
Làm sạch mảng bám vi khuẩn
-
Loại bỏ cao răng nếu có
-
Vệ sinh khoang miệng đúng kỹ thuật
Việc làm sạch chuyên sâu giúp loại bỏ tác nhân gây viêm nướu, hỗ trợ nướu hồi phục nhanh và hạn chế tái phát.
Xem Thêm: Lấy Vôi Răng Trẻ Em Giá Bao Nhiêu Tiền?
6.2. Sử dụng thuốc theo chỉ định của bác sĩ
Trong trường hợp viêm lợi ở trẻ em nặng, chảy máu chân răng nhiều hoặc có mủ, bác sĩ có thể chỉ định thuốc phù hợp để kiểm soát viêm và nhiễm khuẩn.
Các loại thuốc có thể được sử dụng gồm:
-
Thuốc kháng viêm giảm sưng nướu
-
Thuốc kháng sinh khi có nhiễm khuẩn
-
Gel bôi hỗ trợ lành thương nướu
Việc dùng thuốc cần tuân theo chỉ định của bác sĩ để đảm bảo an toàn cho trẻ. Phụ huynh không nên tự ý mua thuốc hoặc sử dụng kháng sinh khi chưa có hướng dẫn chuyên môn, vì có thể gây ảnh hưởng đến sức khỏe của bé.
6.3. Hướng dẫn chăm sóc và phòng ngừa tái phát
Sau khi điều trị, bác sĩ sẽ hướng dẫn phụ huynh cách chăm sóc răng miệng cho bé đúng cách tại nhà như:
-
Hướng dẫn chải răng đúng cách theo độ tuổi
-
Lựa chọn bàn chải và kem đánh răng phù hợp
-
Điều chỉnh chế độ ăn uống
-
Lên lịch kiểm tra răng định kỳ
Điều trị viêm lợi ở trẻ em tại nha khoa đúng thời điểm không chỉ giúp bé giảm đau nhanh chóng mà còn ngăn ngừa biến chứng, bảo vệ sức khỏe răng miệng và sự phát triển răng vĩnh viễn lâu dài.

7. Cách Phòng Ngừa Viêm Lợi Ở Trẻ Em
Việc phòng ngừa viêm lợi ở trẻ em từ sớm sẽ giúp hạn chế tình trạng sưng nướu, chảy máu chân răng và bảo vệ sự phát triển khỏe mạnh của răng vĩnh viễn. Phụ huynh nên duy trì thói quen chăm sóc răng miệng đúng cách cho trẻ để ngăn ngừa viêm lợi tái phát.
7.1. Duy trì thói quen đánh răng mỗi ngày
Đánh răng đúng cách là bước quan trọng nhất để phòng ngừa viêm lợi ở trẻ em. Phụ huynh nên:
-
Cho trẻ đánh răng ít nhất 2 lần/ngày (sáng và tối)
-
Sử dụng bàn chải lông mềm phù hợp với độ tuổi
-
Thay bàn chải định kỳ 2 - 3 tháng/lần
-
Nhắc trẻ súc miệng sau khi ăn
Việc làm sạch răng thường xuyên giúp loại bỏ mảng bám và vi khuẩn gây viêm nướu.
7.2. Hướng dẫn trẻ vệ sinh răng miệng đúng cách
Nhiều trẻ đánh răng chưa đúng kỹ thuật nên vẫn còn mảng bám quanh răng và nướu. Phụ huynh nên:
-
Hướng dẫn trẻ chải răng nhẹ nhàng, đúng chiều
-
Tập cho trẻ vệ sinh răng sau khi ăn
-
Theo dõi và hỗ trợ trẻ trong quá trình đánh răng
Thói quen vệ sinh răng miệng tốt sẽ giúp giảm nguy cơ viêm lợi ở trẻ em.
7.3. Hạn chế đồ ngọt và thực phẩm có hại
Chế độ ăn uống ảnh hưởng lớn đến sức khỏe răng miệng của trẻ. Để phòng ngừa viêm nướu, nên:
Hạn chế:
-
Bánh kẹo nhiều đường
-
Nước ngọt có gas
-
Đồ ăn dính, dễ mắc kẽ răng
Khuyến khích:
-
Rau xanh
-
Trái cây tươi
-
Uống đủ nước mỗi ngày
Chế độ ăn lành mạnh giúp giảm vi khuẩn trong khoang miệng và hỗ trợ nướu khỏe mạnh.
7.4. Tránh các thói quen gây tổn thương nướu
Một số thói quen như cắn móng tay, nhai bút hoặc cắn vật cứng có thể làm tổn thương nướu và tăng nguy cơ viêm lợi ở trẻ em. Phụ huynh nên nhắc nhở trẻ tránh các thói quen này để bảo vệ nướu và răng.
7.5. Khám răng định kỳ cho trẻ
Khám răng định kỳ 6 tháng/lần là cách tốt nhất để phát hiện sớm các vấn đề răng miệng và phòng ngừa viêm lợi ở trẻ em. Bác sĩ sẽ kiểm tra tình trạng răng nướu, làm sạch mảng bám và hướng dẫn chăm sóc răng miệng phù hợp cho từng độ tuổi.
Việc chủ động phòng ngừa viêm lợi ở trẻ em không chỉ giúp bé tránh đau nhức, khó chịu mà còn tạo nền tảng cho hàm răng khỏe mạnh và nụ cười tự tin trong tương lai.

Câu Hỏi Thường Gặp Về Viêm Lợi Ở Trẻ Em?
Viêm lợi ở trẻ em bao lâu khỏi?
Nếu viêm lợi ở trẻ em ở mức độ nhẹ, tình trạng sưng nướu và chảy máu chân răng có thể cải thiện sau 5 - 7 ngày khi được chăm sóc răng miệng đúng cách. Trường hợp viêm nặng hơn, thời gian điều trị có thể kéo dài và cần được thăm khám, điều trị chuyên khoa để xử lý triệt để.
Viêm lợi có mủ ở trẻ nguy hiểm không?
Có. Viêm lợi có mủ ở trẻ em là dấu hiệu nhiễm khuẩn nặng. Nếu không điều trị kịp thời, tình trạng này có thể gây nhiễm trùng lan rộng và ảnh hưởng đến răng vĩnh viễn của trẻ.
Khi nào nên đưa trẻ đi nha khoa?
Phụ huynh nên đưa trẻ đi nha khoa khi xuất hiện các dấu hiệu viêm lợi ở trẻ em như:
-
Sưng nướu kéo dài
-
Bé bị chảy máu chân răng liên tục
-
Xuất hiện mủ hoặc hôi miệng
-
Bé đau nhiều, bỏ ăn hoặc quấy khóc
Việc thăm khám sớm giúp xác định nguyên nhân viêm lợi ở trẻ em và có hướng điều trị phù hợp, đảm bảo an toàn cho sức khỏe răng miệng của bé.
Kết Luận
Viêm lợi ở trẻ em là tình trạng răng miệng thường gặp nhưng hoàn toàn có thể điều trị và phòng ngừa hiệu quả nếu được phát hiện sớm. Khi thấy trẻ bị sưng nướu, chảy máu chân răng hoặc hôi miệng kéo dài, phụ huynh không nên chủ quan mà cần theo dõi sát và có hướng xử lý kịp thời. Việc nhận biết sớm dấu hiệu viêm lợi ở trẻ em, chăm sóc răng miệng đúng cách và thăm khám định kỳ sẽ giúp hạn chế biến chứng, bảo vệ mầm răng vĩnh viễn và duy trì sức khỏe răng miệng lâu dài cho bé.
Chủ động chăm sóc răng miệng ngay từ nhỏ chính là nền tảng giúp trẻ có hàm răng khỏe mạnh, nụ cười tự tin và hạn chế tối đa các bệnh lý răng miệng trong tương lai. Nếu phụ huynh nhận thấy bé có dấu hiệu viêm lợi, sưng nướu hoặc chảy máu chân răng, hãy đưa trẻ đến Nha khoa Kim Xuân để được kiểm tra và tư vấn sớm.
Đội ngũ bác sĩ tại Nha khoa Kim Xuân sẽ thăm khám nhẹ nhàng, xác định chính xác nguyên nhân và đưa ra hướng điều trị phù hợp, an toàn cho từng độ tuổi của trẻ. Liên hệ Nha khoa Kim Xuân ngay hôm nay để bảo vệ nụ cười khỏe mạnh cho bé từ những năm đầu đời.
Nha Khoa Kim Xuân - Bình Thạnh TP. HCM
Địa Chỉ: 165 Ngô Tất Tố, Phường Thạnh Mỹ Tây, Tp Hồ Chí Minh
Hotline: 0899 922 668 (Viber, Zalo, FaceTime)
ZaLo: https://zalo.me/nhakhoakimxuan
WebSite: https://nhakhoakimxuan.com.vn