Chảy Máu Chân Răng: Dấu Hiệu Cảnh Báo Bệnh Lý Không Nên Chủ Quan
Chảy máu chân răng là tình trạng nướu răng tự chảy máu không do tác động mạnh, xảy ra thường xuyên, kéo dài hoặc tái diễn nhiều lần, và không tự hết sau vài ngày. Đây không còn là hiện tượng sinh lý bình thường mà có thể là dấu hiệu cảnh báo các bệnh lý răng miệng nghiêm trọng hoặc rối loạn sức khỏe toàn thân.
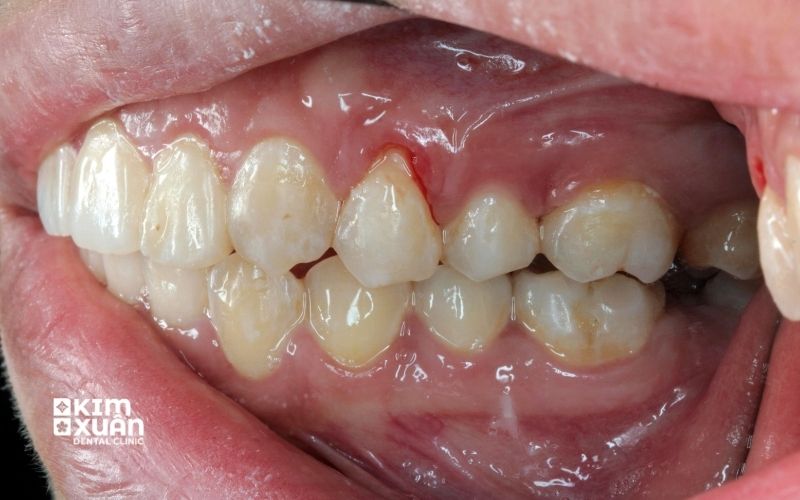
Trên thực tế thăm khám nha khoa, phần lớn các trường hợp chảy máu chân răng bất thường xuất phát từ viêm lợi, viêm nha chu hoặc tình trạng viêm nhiễm kéo dài dưới nướu. Nếu không được phát hiện và điều trị sớm, bệnh có thể tiến triển âm thầm, gây tụt lợi, lung lay răng, mất răng sớm và ảnh hưởng đến sức khỏe tổng thể.

1. Chảy Máu Chân Răng Là Gì?
Chảy máu chân răng là tình trạng nướu (lợi) quanh răng bị viêm, tổn thương và chảy máu, có thể xảy ra khi đánh răng, dùng chỉ nha khoa hoặc tự phát không rõ nguyên nhân. Nếu hiện tượng này lặp đi lặp lại nhiều lần, kéo dài hoặc xảy ra ngay cả khi không có tác động mạnh, đây được xem là dấu hiệu bất thường cần được chú ý.
Trong đa số trường hợp, chảy máu chân răng là biểu hiện sớm của viêm lợi hoặc viêm nha chu - những bệnh lý răng miệng tiến triển âm thầm nhưng có thể gây tụt lợi, tiêu xương ổ răng và mất răng sớm nếu không điều trị kịp thời. Ngoài ra, tình trạng này cũng có thể liên quan đến các rối loạn sức khỏe toàn thân, đặc biệt khi đi kèm các triệu chứng như mệt mỏi kéo dài, chảy máu khó cầm hoặc bầm tím bất thường.
2. Khi Nào Chảy Máu Chân Răng Được Xem Là Nguy Hiểm?
Chảy máu chân răng được xem là nguy hiểm khi tình trạng này xảy ra tự nhiên, kéo dài hoặc đi kèm các triệu chứng toàn thân bất thường. Người bệnh cần thăm khám nha khoa hoặc cơ sở y tế sớm nếu xuất hiện một hoặc nhiều dấu hiệu sau:
-
Chảy máu chân răng tự nhiên, không do đánh răng mạnh, dùng chỉ nha khoa hay va chạm
-
Chảy máu kéo dài trên 1 - 2 tuần, không cải thiện dù đã vệ sinh răng miệng kỹ
-
Máu chảy nhiều, khó cầm, dễ tái phát
-
Nướu sưng đỏ, đau nhức, dễ chảy máu, kèm hôi miệng kéo dài
-
Chảy máu chân răng kèm theo các dấu hiệu toàn thân như: mệt mỏi kéo dài, bầm tím không rõ nguyên nhân, sụt cân, vàng da
Trong những trường hợp này, người bệnh tuyệt đối không nên chủ quan, bởi đây có thể là biểu hiện của viêm nha chu nặng hoặc các bệnh lý toàn thân tiềm ẩn cần được chẩn đoán và điều trị kịp thời.

3. Nguyên Nhân Gây Chảy Máu Chân Răng Bất Thường
Chảy máu chân răng bất thường không chỉ xuất phát từ thói quen vệ sinh răng miệng mà còn có thể là dấu hiệu của nhiều bệnh lý răng miệng và toàn thân tiềm ẩn. Dưới đây là những nguyên nhân phổ biến nhất cần đặc biệt lưu ý.
3.1. Viêm Lợi - Viêm Nha Chu (Nguyên Nhân Phổ Biến Nhất)
Viêm lợi và viêm nha chu là nguyên nhân hàng đầu gây chảy máu chân răng khi đánh răng hoặc chảy máu tự nhiên không rõ nguyên nhân.
Nguyên nhân chủ yếu gồm:
-
Vệ sinh răng miệng không đúng cách hoặc không thường xuyên
-
Mảng bám và cao răng tích tụ lâu ngày quanh chân răng
-
Vi khuẩn phát triển gây viêm nhiễm mô nướu
Biểu hiện thường gặp:
-
Nướu sưng đỏ, dễ chảy máu khi chạm nhẹ
-
Có thể đau hoặc không đau ở giai đoạn đầu
-
Giai đoạn nặng: tụt lợi, hở chân răng, lung lay răng
Nếu không được điều trị sớm, viêm nha chu có thể tiến triển âm thầm và dẫn đến mất răng vĩnh viễn.

3.2. Áp Xe Răng
Áp xe răng xảy ra khi vi khuẩn xâm nhập sâu vào tủy răng hoặc mô quanh răng, hình thành ổ mủ nhiễm trùng.
-
Giai đoạn đầu: Chảy máu chân răng nhẹ, không thường xuyên
-
Giai đoạn tiến triển: Nướu sưng to, đau nhức dữ dội, có thể lan sang má hoặc hàm
-
Giai đoạn nặng: Nướu loét, chảy máu nhiều, đau kéo dài, nguy cơ nhiễm trùng lan rộng
Áp xe răng cần được điều trị nha khoa sớm, tránh các biến chứng nguy hiểm cho sức khỏe toàn thân.
3.3. Chảy Máu Chân Răng Do Thiếu Vitamin
Một số thiếu hụt vi chất có thể khiến nướu yếu và dễ chảy máu:
-
Thiếu vitamin C: làm mô nướu suy yếu, dễ viêm và chảy máu
-
Thiếu vitamin K: ảnh hưởng đến quá trình đông máu
Tình trạng này thường gặp ở người ăn uống thiếu chất, suy nhược cơ thể hoặc rối loạn hấp thu.
3.4. Chảy Máu Chân Răng Do Bệnh Lý Toàn Thân
Trong một số trường hợp, chảy máu chân răng là biểu hiện sớm của các bệnh lý toàn thân, bao gồm:
-
Bệnh gan (viêm gan, xơ gan, suy gan…)
-
Rối loạn đông máu
-
Giảm tiểu cầu
-
Một số bệnh lý về máu
Chảy máu chân răng trong nhóm này thường kèm theo các triệu chứng toàn thân như: mệt mỏi kéo dài, vàng da, bầm tím, chán ăn hoặc sụt cân.
3.5. Các Yếu Tố Khác
Ngoài các nguyên nhân trên, chảy máu chân răng còn có thể liên quan đến:
-
Thay đổi nội tiết tố (dậy thì, mang thai, tiền mãn kinh)
-
Tác dụng phụ của một số loại thuốc
-
Căng thẳng kéo dài, suy giảm sức đề kháng
Xem Thêm: Lấy Cao Răng Có Tốt Không? Lấy Cao Răng Giá Bao Nhiêu?

4. Cách Điều Trị Và Phòng Ngừa Chảy Máu Chân Răng Hiệu Quả
Việc điều trị chảy máu chân răng cần xác định đúng nguyên nhân và can thiệp kịp thời, đồng thời kết hợp với các biện pháp phòng ngừa lâu dài để tránh tái phát.
4.1. Vệ Sinh Răng Miệng Đúng Cách
Vệ sinh răng miệng khoa học giúp giảm viêm nướu, hạn chế mảng bám và ngăn chảy máu chân răng tái diễn.
-
Sử dụng bàn chải lông mềm, kích thước phù hợp
-
Đánh răng ít nhất 2 lần/ngày, mỗi lần 2 - 3 phút, tránh chải quá mạnh
-
Dùng chỉ nha khoa hoặc tăm nước sau ăn để làm sạch kẽ răng
-
Súc miệng bằng dung dịch phù hợp giúp giảm vi khuẩn và viêm nướu
-
Lấy cao răng định kỳ 3 - 6 tháng/lần để loại bỏ mảng bám cứng quanh chân răng
4.2. Thăm Khám Nha Khoa Và Y Tế Khi Cần Thiết
Nếu tình trạng chảy máu chân răng kéo dài hoặc tái diễn nhiều lần, người bệnh cần thăm khám chuyên môn sớm.
-
Điều trị triệt để các bệnh lý răng miệng như viêm lợi, viêm nha chu, áp xe răng
-
Trường hợp không phát hiện bệnh lý răng miệng rõ ràng, cần khám chuyên khoa để loại trừ bệnh lý toàn thân liên quan đến đông máu, gan hoặc bệnh máu
Việc chẩn đoán sớm giúp ngăn ngừa biến chứng và bảo tồn răng lâu dài.
4.3. Điều Chỉnh Chế Độ Sinh Hoạt
Thói quen sinh hoạt là yếu tố quan trọng giúp hỗ trợ điều trị và phòng ngừa chảy máu chân răng hiệu quả.
-
Ăn uống đầy đủ dinh dưỡng, tăng cường rau xanh và trái cây giàu vitamin
-
Hạn chế rượu bia, nước ngọt có ga
-
Không hút thuốc lá để bảo vệ mô nướu
-
Nghỉ ngơi hợp lý, giảm căng thẳng, nâng cao sức đề kháng
-
Bổ sung vitamin theo tư vấn chuyên môn, tránh tự ý sử dụng kéo dài
Xem Thêm: Lấy Cao Răng Có Đau Không?
5. Khi Nào Nên Đi Khám Nha Khoa Ngay?
Người bệnh nên đi khám nha khoa càng sớm càng tốt khi tình trạng chảy máu chân răng kéo dài, tái diễn hoặc đi kèm các dấu hiệu bất thường, cụ thể:
-
Chảy máu chân răng kéo dài trên 1 - 2 tuần, không cải thiện dù đã vệ sinh răng miệng đúng cách
-
Máu chảy nhiều, khó cầm, xảy ra không rõ nguyên nhân
-
Kèm đau nhức, sưng nướu lớn, hôi miệng kéo dài
-
Xuất hiện các dấu hiệu toàn thân bất thường như: mệt mỏi, bầm tím, sụt cân, vàng da
Việc thăm khám sớm giúp xác định chính xác nguyên nhân, từ đó điều trị kịp thời và ngăn ngừa các biến chứng nguy hiểm cho răng miệng và sức khỏe tổng thể.
Xem Thêm: Dấu Hiệu Nhận Biết Viêm Tủy Răng?
6. Câu Hỏi Thường Gặp?
6.1. Chảy máu chân răng có nguy hiểm không?
-
Có. Chảy máu chân răng có thể là dấu hiệu sớm của viêm lợi, viêm nha chu hoặc bệnh lý toàn thân nếu xảy ra tự nhiên, kéo dài hoặc tái diễn nhiều lần. Tình trạng này không nên chủ quan.
6.2. Chảy máu chân răng khi đánh răng có phải là bệnh không?
-
Không phải lúc nào cũng là bệnh. Nếu chỉ chảy máu nhẹ, không thường xuyên, nguyên nhân có thể do kỹ thuật đánh răng chưa đúng. Tuy nhiên, nếu tình trạng này lặp lại nhiều lần, rất có thể liên quan đến viêm lợi hoặc cao răng tích tụ và cần được kiểm tra.
6.3. Chảy máu chân răng kéo dài nên làm gì?
-
Bạn nên đi khám nha khoa sớm để xác định chính xác nguyên nhân. Việc điều trị kịp thời giúp ngăn ngừa biến chứng như tụt lợi, lung lay răng và mất răng sớm.
6.4. Chảy máu chân răng không đau có sao không?
-
Có. Nhiều trường hợp viêm nha chu giai đoạn đầu không gây đau nhưng vẫn chảy máu chân răng và tiến triển âm thầm. Vì vậy, không đau không đồng nghĩa với không nguy hiểm.
Kết Luận
Chảy máu chân răng bất thường không chỉ là vấn đề răng miệng đơn thuần mà còn có thể phản ánh tình trạng sức khỏe toàn thân. Việc chủ quan khi chảy máu chân răng tự nhiên, kéo dài hoặc tái diễn nhiều lần có thể khiến bệnh tiến triển âm thầm và gây ra những biến chứng nghiêm trọng cho răng và nướu.
Thăm khám sớm và chăm sóc răng miệng đúng cách là chìa khóa giúp phát hiện kịp thời nguyên nhân, điều trị hiệu quả và bảo vệ hàm răng khỏe mạnh lâu dài. Chủ động kiểm tra sớm - phòng ngừa hiệu quả - an tâm về sức khỏe răng miệng.
Nếu bạn đang gặp tình trạng chảy máu chân răng hoặc cần được tư vấn cụ thể, hãy liên hệ Nha khoa Kim Xuân để được thăm khám, kiểm tra và tư vấn phù hợp theo từng tình trạng răng miệng.
Nha Khoa Kim Xuân - Bình Thạnh TP. HCM
Địa Chỉ: 165 Ngô Tất Tố, Phường Thạnh Mỹ Tây, Tp Hồ Chí Minh
Hotline: 0899 922 668 (Viber, Zalo, FaceTime)
ZaLo: https://zalo.me/nhakhoakimxuan
WebSite: https://nhakhoakimxuan.com.vn