Làm Cầu Răng Sứ Có Bị Tiêu Xương Hàm Không? Sự Thật Cần Biết
Câu trả lời là: CÓ. Làm cầu răng sứ vẫn có nguy cơ tiêu xương hàm vì phương pháp này chỉ phục hình phần thân răng, không có chân răng nhân tạo để truyền lực nhai xuống xương. Khi xương hàm không được kích thích, quá trình tiêu xương sẽ diễn ra theo thời gian, gây tụt nướu, lõm lợi và ảnh hưởng thẩm mỹ khuôn mặt. Tình trạng này có thể nặng hơn nếu cầu răng sứ làm không sát khít hoặc người bệnh vệ sinh răng miệng kém.

1. Cầu Răng Sứ Là Gì?
Cầu răng sứ là phương pháp phục hình răng mất cố định, trong đó bác sĩ sẽ:
-
Mài hai răng thật kế cận vị trí mất răng để làm răng trụ
-
Gắn mão sứ lên trên, tạo thành một khối liên kết gồm răng trụ và răng giả ở giữa
Phương pháp làm cầu răng sứ giúp:
-
Phục hồi hình dạng và chức năng của răng đã mất
-
Cải thiện khả năng ăn nhai
-
Mang lại tính thẩm mỹ tương đối nhanh chóng
Tuy nhiên, cầu răng sứ chỉ phục hồi phần thân răng phía trên nướu, không thay thế được chân răng đã mất, nên không có khả năng ngăn chặn tiêu xương hàm theo thời gian.
Xem Thêm: Làm Cầu Răng Sứ Giá Bao Nhiêu Tiền Năm 2026
2. Làm Cầu Răng Sứ Có Bị Tiêu Xương Hàm Không?
Câu trả lời là: CÓ. Sau khi làm cầu răng sứ, xương hàm tại vị trí mất răng vẫn có nguy cơ tiêu dần theo thời gian.
Nguyên nhân là do cơ chế truyền lực sinh lý của răng:
-
Răng thật có chân răng, giúp truyền lực nhai xuống xương hàm và duy trì mật độ xương
-
Cầu răng sứ không có chân răng nhân tạo, nên lực nhai chỉ tác động lên các răng trụ bên cạnh, không kích thích vùng xương bị mất răng
-
Khi xương hàm không còn được kích thích sinh lý, quá trình tiêu xương sẽ diễn ra một cách tự nhiên
Quá trình tiêu xương không xảy ra ngay lập tức, mà tiến triển âm thầm và chậm trong nhiều năm, có thể gây tụt nướu, lõm lợi và ảnh hưởng đến thẩm mỹ khuôn mặt nếu không được can thiệp kịp thời.
Xem Thêm: Còn Chân Răng Có Bị Tiêu Xương Hàm Không

3. Vì Sao Cầu Răng Sứ Không Ngăn Được Tiêu Xương Hàm?
3.1. Thiếu kích thích sinh lý từ chân răng
-
Xương hàm cần lực nhai đều đặn để duy trì thể tích và mật độ. Khi chân răng không còn, xương tại vị trí đó sẽ thoái hóa dần theo cơ chế tự nhiên của cơ thể.
3.2. Lực nhai dồn vào răng trụ
Trong cầu răng sứ, toàn bộ lực nhai được dồn vào các răng trụ hai bên. Điều này khiến:
-
Xương dưới răng mất không được kích thích
-
Răng trụ phải chịu tải lớn hơn bình thường
3.3. Chỉ phục hình phần trên nướu
-
Cầu răng sứ không tái tạo được cấu trúc giải phẫu đầy đủ của răng (thân răng - chân răng - xương ổ răng), nên không thể bảo tồn xương hàm lâu dài.

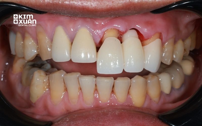
4. Biểu Hiện Tiêu Xương Hàm Sau Khi Làm Cầu Răng Sứ
Khi tình trạng tiêu xương hàm xảy ra sau khi làm cầu răng sứ, người bệnh có thể nhận thấy một số dấu hiệu điển hình sau:
-
Nướu dưới cầu răng bị lõm hoặc tụt xuống, làm lộ chân răng trụ
-
Xuất hiện khe hở giữa răng sứ và nướu, thức ăn dễ mắc lại, khó vệ sinh
-
Cầu răng không còn sát khít, làm giảm tính thẩm mỹ và cảm giác ăn nhai
-
Gương mặt có xu hướng hóp lại, đặc biệt ở vùng má, khiến khuôn mặt trông già hơn theo thời gian
Ở giai đoạn muộn, tình trạng tiêu xương có thể ảnh hưởng trực tiếp đến độ bền của cầu răng và các răng trụ, làm tăng nguy cơ viêm nướu, lung lay răng và phải tháo bỏ cầu răng sớm.
Xem Thêm: Tiêu Xương Hàm Có Trồng Răng Implant Được Không?

5. Cách Hạn Chế Tiêu Xương Hàm Khi Làm Cầu Răng Sứ?
Trên thực tế, cầu răng sứ không thể ngăn chặn hoàn toàn tình trạng tiêu xương hàm. Tuy nhiên, phương pháp này vẫn có thể hạn chế phần nào tốc độ tiêu xương nếu người bệnh tuân thủ tốt các yếu tố sau:
-
Vệ sinh răng miệng kỹ lưỡng, làm sạch kỹ vùng quanh răng trụ để tránh viêm nướu, viêm nha chu
-
Lựa chọn vật liệu sứ chất lượng cao, có độ tương thích sinh học tốt, giúp hạn chế kích ứng mô nướu
-
Tái khám định kỳ theo chỉ định của bác sĩ, nhằm theo dõi tình trạng cầu răng và mức độ tiêu xương hàm
Tuy nhiên, cần lưu ý rằng đây chỉ là các biện pháp hỗ trợ, giúp làm chậm quá trình tiêu xương, không giải quyết triệt để nguyên nhân gốc rễ là việc thiếu chân răng để truyền lực nhai xuống xương hàm.
6. Giải Pháp Ngăn Ngừa Tiêu Xương Hàm Hiệu Quả Nhất Hiện Nay
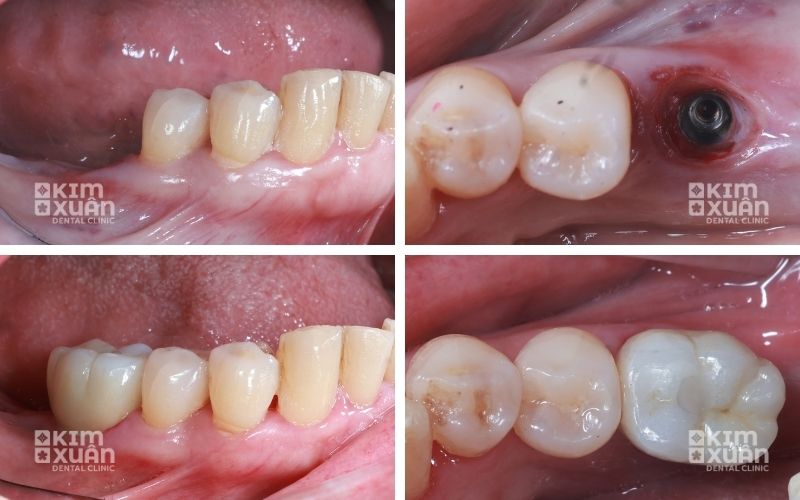
Hiện nay, cấy ghép Implant được đánh giá là phương pháp phục hình răng mất tối ưu nhất trong việc ngăn ngừa tiêu xương hàm, nhờ các ưu điểm vượt trội sau:
-
Trụ Implant đóng vai trò như chân răng thật, được cấy trực tiếp vào xương hàm
-
Truyền lực nhai sinh lý trực tiếp xuống xương, giúp duy trì mật độ và thể tích xương hàm
-
Ngăn chặn hiệu quả quá trình tiêu xương tại vị trí mất răng
-
Bảo tồn lâu dài cấu trúc xương - nướu - khuôn mặt, hạn chế tình trạng hóp má, lão hóa sớm
So với cầu răng sứ, Implant không chỉ phục hồi hình dạng và chức năng ăn nhai, mà còn khôi phục cơ chế sinh lý của xương hàm, mang lại hiệu quả bền vững và lâu dài hơn.
Xem Thêm: Trồng Răng Implant Giá Bao Nhiêu Bảng Giá Mới Nhất 2026

7. Cầu Răng Sứ Và Cấy Ghép Implant Khác Nhau Ở Điểm Nào?
Sự khác biệt giữa cầu răng sứ và cấy ghép implant thể hiện rõ ở khả năng phục hồi, bảo tồn xương hàm và tuổi thọ lâu dài. Cụ thể:
7.1. Khả năng phục hồi thân răng:
-
Cả cầu răng sứ và Implant đều có thể phục hồi hình dáng và chức năng thân răng, giúp cải thiện khả năng ăn nhai và thẩm mỹ nụ cười.
7.2. Khả năng thay thế chân răng:
-
Cầu răng sứ không có chân răng thay thế, trong khi Implant sử dụng trụ cấy ghép đóng vai trò như chân răng thật, giúp tái tạo cấu trúc nâng đỡ bên dưới.
7.3. Khả năng ngăn ngừa tiêu xương hàm:
-
Do không có chân răng, cầu răng sứ không thể ngăn quá trình tiêu xương hàm theo thời gian. Ngược lại, Implant giúp truyền lực nhai xuống xương hàm, từ đó hạn chế tiêu xương hiệu quả.
7.4. Tuổi thọ phục hình:
-
Cầu răng sứ thường có tuổi thọ trung bình từ 5 - 10 năm, phụ thuộc vào tình trạng răng trụ và cách chăm sóc. Implant có độ bền cao hơn và có thể duy trì lâu dài nếu được chăm sóc đúng cách.
7.5. Mức độ bảo tồn răng kế cận:
-
Khi làm cầu răng sứ, các răng kế cận cần phải mài nhỏ để làm trụ. Implant không tác động đến răng bên cạnh, giúp bảo tồn răng thật tối đa.
Kết Luận
Làm cầu răng sứ có thể gây tiêu xương hàm theo thời gian do phương pháp này không có chân răng nhân tạo để duy trì kích thích sinh lý cho xương. Đây là hạn chế mang tính cơ chế của cầu răng sứ, không phải biến chứng cũng không xuất phát từ lỗi kỹ thuật nếu được thực hiện đúng quy trình.
Cầu răng sứ vẫn phù hợp trong một số trường hợp nhất định. Tuy nhiên, nếu mục tiêu của người mất răng là:
-
Bảo tồn xương hàm lâu dài
-
Duy trì thẩm mỹ ổn định theo thời gian
-
Hạn chế tình trạng hóp má, lão hóa khuôn mặt
Cấy ghép Implant hiện nay vẫn được đánh giá là giải pháp phục hình tối ưu và được khuyến nghị nhiều hơn về lâu dài.
Để lựa chọn phương pháp phục hình phù hợp với tình trạng răng miệng và xương hàm, bạn nên thăm khám trực tiếp với bác sĩ chuyên môn. Nha khoa Kim Xuân địa chỉ trồng răng Implant uy tín, an toàn, cá nhân hóa theo từng ca, giúp phục hồi chức năng ăn nhai và bảo tồn xương hàm hiệu quả. Liên hệ ngay để được bác sĩ tư vấn 1:1 và lên phác đồ điều trị phù hợp.
Xem Thêm Bài Viết Liên Quan
Nha Khoa Kim Xuân - Bình Thạnh TP. HCM
Địa Chỉ: 165 Ngô Tất Tố, Phường Thạnh Mỹ Tây, Tp Hồ Chí Minh
Hotline: 0899 922 668 (Viber, Zalo, FaceTime)
ZaLo: https://zalo.me/nhakhoakimxuan
WebSite: https://nhakhoakimxuan.com.vn