Niềng Răng Mọc Lệch Lạc: Thời Gian Bao Lâu Và Chi Phí Mới Nhất
Niềng răng lệch lạc mất bao lâu và giá bao nhiêu? Niềng răng lệch lạc thường kéo dài từ 12 - 36 tháng với chi phí khoảng 35 - 100 triệu đồng, tùy vào mức độ răng lệch và phương pháp chỉnh nha được lựa chọn. Đây là giải pháp giúp đưa răng về đúng vị trí trên cung hàm, cải thiện thẩm mỹ nụ cười, cân chỉnh khớp cắn và nâng cao chức năng ăn nhai.
Thông qua thăm khám, chụp phim và lập kế hoạch điều trị chi tiết, bác sĩ sẽ đánh giá chính xác tình trạng răng lệch lạc để xác định thời gian cũng như chi phí niềng răng phù hợp cho từng trường hợp, giúp tối ưu hiệu quả và hạn chế phát sinh trong quá trình điều trị.

1. Các Dạng Răng Mọc Lệch Lạc Thường Gặp Khi Niềng Răng
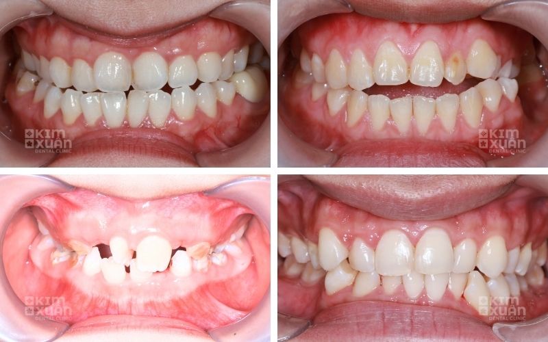
Răng mọc lệch lạc là tình trạng răng không nằm đúng vị trí trên cung hàm, khiến hàm răng mất cân đối, ảnh hưởng thẩm mỹ nụ cười và chức năng ăn nhai. Đây cũng là một trong những nguyên nhân phổ biến khiến nhiều người phải niềng răng chỉnh nha.
Một số dạng răng lệch lạc thường gặp gồm:
-
Răng chen chúc, khấp khểnh: răng mọc chồng chéo do cung hàm hẹp hoặc thiếu khoảng trống
-
Răng mọc chìa hoặc thụt: thân răng nghiêng ra ngoài hoặc vào trong gây sai khớp cắn
-
Răng xoay trục: răng xoay lệch nhiều hướng làm mất sự thẳng hàng trên cung hàm
-
Răng mọc ngầm hoặc lệch khỏi cung hàm: ảnh hưởng đến khớp cắn và thẩm mỹ khuôn mặt
-
Lệch lạc toàn hàm: nhiều răng sai vị trí khiến gương mặt mất cân đối và giảm chức năng nhai
Nếu không điều trị sớm, răng mọc lệch lạc có thể gây khó vệ sinh, tăng nguy cơ sâu răng, viêm nướu, hôi miệng và rối loạn khớp cắn. Vì vậy, việc thăm khám chỉnh nha sớm giúp xác định đúng tình trạng và lựa chọn thời điểm niềng răng phù hợp.
Xem Thêm: Niềng Răng Móm Giá Bao Nhiêu Tiền? Thời Gian Bao Lâu?

2. Nguyên Nhân Khiến Răng Mọc Lệch Lạc Và Cần Niềng Răng
Răng mọc lệch lạc có thể xuất phát từ nhiều nguyên nhân khác nhau như cấu trúc xương hàm, thói quen sinh hoạt hoặc yếu tố di truyền. Đây cũng là lý do nhiều người cần niềng răng để đưa răng về đúng vị trí trên cung hàm và cải thiện khớp cắn.
Một số nguyên nhân phổ biến khiến răng mọc lệch lạc gồm:
2.1. Cung hàm hẹp, thiếu khoảng trống
-
Khi cung hàm nhỏ nhưng kích thước răng lớn, răng sẽ không đủ chỗ để mọc đúng vị trí, dẫn đến tình trạng chen chúc và khấp khểnh.
2.2. Răng khôn mọc lệch hoặc mọc ngầm
-
Răng khôn có thể tạo lực đẩy lên các răng phía trước, khiến toàn bộ cung răng xô lệch theo thời gian nếu không được xử lý sớm.
2.3. Mất răng sớm hoặc răng sữa rụng sai thời điểm
-
Việc mất răng quá sớm hoặc răng sữa tồn tại quá lâu khiến răng kế cận di chuyển, ảnh hưởng đến vị trí mọc của răng vĩnh viễn.
2.4. Thói quen xấu kéo dài
-
Các thói quen như mút tay, cắn bút, đẩy lưỡi hoặc ngủ há miệng trong thời gian dài có thể làm thay đổi hướng mọc của răng và cấu trúc khớp cắn.
2.5. Di truyền và chấn thương vùng hàm mặt
-
Cấu trúc hàm nhỏ, răng mọc lệch do di truyền hoặc chấn thương vùng hàm cũng là nguyên nhân phổ biến dẫn đến răng lệch lạc.
Việc xác định đúng nguyên nhân giúp bác sĩ xây dựng kế hoạch niềng răng phù hợp, rút ngắn thời gian điều trị và hạn chế sai lệch tái phát sau chỉnh nha.
Xem Thêm: Hô Hàm Trên Có Niềng Răng Được Không? Thời Gian Niềng Bao Lâu?
3. Niềng Răng Lệch Lạc Mất Bao Lâu? Thời Gian Chỉnh Nha Chi Tiết
Thời gian niềng răng lệch lạc thường kéo dài từ 12 - 36 tháng, tùy theo mức độ sai lệch của răng, tình trạng khớp cắn và phương pháp chỉnh nha được lựa chọn. Những trường hợp lệch nhẹ có thể hoàn tất sớm hơn, trong khi sai khớp cắn phức tạp sẽ cần nhiều thời gian điều chỉnh để đạt kết quả ổn định.
Thời gian niềng răng cụ thể theo từng mức độ:
-
Lệch nhẹ: khoảng 12 - 18 tháng
-
Lệch trung bình: khoảng 18 - 24 tháng
-
Lệch nặng, sai khớp cắn: có thể từ 24 - 36 tháng
Ngoài mức độ răng lệch lạc, thời gian niềng răng còn phụ thuộc vào nhiều yếu tố như:
-
Tay nghề và kinh nghiệm của bác sĩ chỉnh nha
-
Phương pháp niềng răng được lựa chọn
-
Sự tuân thủ lịch tái khám định kỳ
-
Chế độ chăm sóc răng miệng và ăn uống của bệnh nhân
Việc tái khám đúng lịch và vệ sinh răng miệng tốt trong quá trình niềng răng sẽ giúp rút ngắn thời gian điều trị, đồng thời đảm bảo kết quả chỉnh nha ổn định lâu dài.

4. Các Phương Pháp Niềng Răng Lệch Lạc Hiệu Quả Nhất Hiện Nay
Hiện nay có nhiều phương pháp niềng răng lệch lạc hiện đại, phù hợp với từng mức độ sai lệch và nhu cầu thẩm mỹ khác nhau. Tùy vào tình trạng răng và khả năng tài chính, bác sĩ sẽ tư vấn phương pháp chỉnh nha phù hợp để đạt hiệu quả tối ưu.
4.1. Niềng răng mắc cài kim loại
Đây là phương pháp chỉnh nha truyền thống sử dụng mắc cài kim loại và dây cung để tạo lực kéo ổn định, giúp răng dịch chuyển đúng vị trí trên cung hàm.
-
Ưu điểm: chi phí thấp, hiệu quả cao với cả những trường hợp răng lệch lạc phức tạp.
-
Hạn chế: tính thẩm mỹ chưa cao trong quá trình niềng.
4.2. Niềng răng mắc cài sứ
-
Niềng răng mắc cài sứ hoạt động tương tự mắc cài kim loại nhưng sử dụng chất liệu sứ có màu gần giống răng thật, giúp tăng tính thẩm mỹ khi giao tiếp.
-
Phương pháp này phù hợp với người muốn chỉnh nha hiệu quả nhưng vẫn đảm bảo sự kín đáo.
4.3. Niềng răng mắc cài tự buộc
-
Mắc cài tự buộc sử dụng hệ thống nắp trượt tự động giúp giảm ma sát giữa dây cung và mắc cài, từ đó rút ngắn thời gian điều trị và giảm số lần tái khám.
-
Phương pháp này mang lại cảm giác thoải mái hơn so với mắc cài truyền thống và hạn chế bung tuột dây cung.
4.4. Niềng răng trong suốt Invisalign
Niềng răng trong suốt Invisalign là phương pháp chỉnh nha hiện đại sử dụng khay niềng trong suốt được thiết kế riêng cho từng người.
Ưu điểm nổi bật:
-
Gần như vô hình khi đeo
-
Dễ tháo lắp khi ăn uống và vệ sinh
-
Thoải mái, thẩm mỹ cao
-
Phù hợp với người giao tiếp nhiều hoặc yêu cầu thẩm mỹ cao
Tùy vào mức độ răng lệch lạc, bác sĩ chỉnh nha sẽ tư vấn phương pháp niềng răng phù hợp nhằm tối ưu thời gian điều trị, chi phí và hiệu quả lâu dài.
Xem Thêm: Niềng Răng Hô Có Hiệu Quả Không? Thời Gian Bao Lâu?
5. Niềng Răng Lệch Lạc Giá Bao Nhiêu? Bảng Giá Mới Nhất 2026
Giá niềng răng lệch lạc hiện nay dao động từ 35 - 100 triệu đồng, tùy vào mức độ sai lệch của răng và phương pháp chỉnh nha được lựa chọn. Những trường hợp lệch nhẹ sẽ có chi phí thấp hơn so với ca sai khớp cắn phức tạp hoặc cần nhổ răng hỗ trợ.
Dưới đây là bảng giá niềng răng tham khảo:
-
Niềng Răng mắc cài kim loại giá 35.000.000 VNĐ/ 2 Hàm
-
Niềng Răng mắc cài sứ giá 40.000.000 VNĐ/ 2 Hàm
-
Niềng Răng mắc cài kim loại tự cài dây cung giá 45.000.000 VNĐ/ 2 Hàm
-
Niềng Răng mắc cài sứ tự cài dây cung giá 50.000.000 VNĐ/ 2 Hàm
-
Niềng răng trong suốt invisalign giá từ 49.000.000 - 100.000.000 VNĐ/ 2 Hàm
Xem Thêm: 20 Tuổi Niềng Răng Giá Bao Nhiêu?

6. Quy Trình Niềng Răng Lệch Lạc Chuẩn Y Khoa
Quy trình niềng răng lệch lạc thường được thực hiện theo các bước chuẩn y khoa nhằm đảm bảo răng dịch chuyển đúng kế hoạch, an toàn và đạt kết quả ổn định lâu dài.
Bước 1: Thăm khám và chụp phim X-quang
-
Bác sĩ kiểm tra tổng thể răng miệng, chụp phim X-quang và đánh giá cấu trúc xương hàm, khớp cắn cũng như mức độ răng lệch lạc.
Bước 2: Lập kế hoạch điều trị
-
Dựa trên kết quả thăm khám, bác sĩ xây dựng phác đồ chỉnh nha chi tiết, dự kiến thời gian điều trị và kết quả sau niềng.
Bước 3: Lấy dấu hàm hoặc scan 3D
-
Tiến hành lấy dấu mẫu hàm hoặc scan kỹ thuật số để thiết kế mắc cài hoặc khay niềng phù hợp với từng trường hợp.
Bước 4: Gắn mắc cài hoặc nhận khay niềng
-
Bắt đầu quá trình niềng răng bằng cách gắn mắc cài hoặc bàn giao khay niềng trong suốt, giúp răng dịch chuyển theo kế hoạch.
Bước 5: Tái khám định kỳ
-
Bệnh nhân tái khám theo lịch để bác sĩ điều chỉnh lực kéo, thay dây cung hoặc khay niềng và theo dõi tiến độ dịch chuyển răng.
Bước 6: Tháo niềng và đeo hàm duy trì
-
Sau khi hoàn tất chỉnh nha, bác sĩ tháo niềng và hướng dẫn đeo hàm duy trì nhằm giữ răng ổn định, hạn chế xô lệch trở lại.
Tùy vào tình trạng răng và phương pháp chỉnh nha, quy trình niềng răng có thể điều chỉnh linh hoạt để đạt hiệu quả tối ưu và rút ngắn thời gian điều trị.
Xem Thêm: 30 Tuổi Niềng Răng Mất Bao Lâu?

7. Địa Chỉ Niềng Răng Uy Tín Cần Đáp Ứng Tiêu Chí Gì?
Khi lựa chọn nha khoa niềng răng lệch lạc, bạn nên ưu tiên những đơn vị đáp ứng đầy đủ các tiêu chí chuyên môn và trang thiết bị nhằm đảm bảo quá trình chỉnh nha an toàn, hiệu quả và ổn định lâu dài.
Một địa chỉ niềng răng uy tín thường cần có:
-
Bác sĩ chuyên sâu chỉnh nha, nhiều kinh nghiệm: trực tiếp thăm khám, theo dõi và điều chỉnh trong suốt quá trình niềng
-
Phác đồ điều trị cá nhân hóa rõ ràng: dự đoán thời gian, kết quả và lộ trình dịch chuyển răng cụ thể
-
Trang thiết bị hiện đại: hỗ trợ chẩn đoán chính xác như ConeBeam CT, scan 3D, phần mềm mô phỏng chỉnh nha
-
Minh bạch chi phí và theo dõi sau điều trị: cam kết rõ ràng ngay từ đầu và có kế hoạch duy trì sau khi tháo niềng
Một kế hoạch chỉnh nha đúng ngay từ đầu không chỉ giúp rút ngắn thời gian niềng răng mà còn đảm bảo kết quả ổn định, hạn chế xô lệch tái phát về sau.
Nếu bạn đang tìm địa chỉ niềng răng lệch lạc uy tín, Nha khoa Kim Xuân là lựa chọn đáng tin cậy với đội ngũ bác sĩ chỉnh nha giàu kinh nghiệm, quy trình chuẩn y khoa và phác đồ điều trị cá nhân hóa cho từng trường hợp. Liên hệ để được thăm khám và tư vấn chi tiết về thời gian, chi phí cũng như phương pháp niềng răng phù hợp.
Kết Luận
Niềng răng mọc lệch lạc là giải pháp chỉnh nha hiệu quả giúp đưa răng về đúng vị trí trên cung hàm, cải thiện thẩm mỹ nụ cười và khôi phục chức năng ăn nhai ổn định. Thời gian điều trị thường dao động từ 12 - 36 tháng với chi phí linh hoạt theo từng phương pháp và mức độ răng lệch lạc.
Để đạt kết quả chỉnh nha tối ưu, việc lựa chọn nha khoa uy tín và tuân thủ đúng phác đồ điều trị đóng vai trò rất quan trọng. Thăm khám sớm và có kế hoạch niềng răng phù hợp sẽ giúp rút ngắn thời gian điều trị, hạn chế phát sinh chi phí và duy trì nụ cười đều đẹp lâu dài.
Nếu bạn đang gặp tình trạng răng mọc lệch lạc, chen chúc hoặc sai khớp cắn, hãy liên hệ Nha khoa Kim Xuân để được bác sĩ thăm khám và tư vấn phương pháp niềng răng phù hợp, minh bạch chi phí và lộ trình điều trị rõ ràng ngay từ đầu.
Nha Khoa Kim Xuân - Bình Thạnh TP. HCM
Địa Chỉ: 165 Ngô Tất Tố, Phường Thạnh Mỹ Tây, Tp Hồ Chí Minh
Hotline: 0899 922 668 (Viber, Zalo, FaceTime)
ZaLo: https://zalo.me/nhakhoakimxuan
WebSite: https://nhakhoakimxuan.com.vn