Niềng răng (chỉnh nha) là phương pháp nha khoa sử dụng hệ thống mắc cài hoặc khay trong suốt để nắn chỉnh răng lệch lạc, cải thiện khớp cắn và tăng thẩm mỹ khuôn mặt. Đây là giải pháp phù hợp cho trẻ em, thanh thiếu niên và người trưởng thành đang gặp tình trạng răng hô, móm, thưa, chen chúc hoặc lệch hàm. Trong bài viết này, bạn sẽ hiểu rõ niềng răng là gì, quy trình thực hiện gồm những bước nào, thời gian niềng mất bao lâu, chi phí niềng răng 2025 bao nhiêu và cách lựa chọn phương pháp chỉnh nha phù hợp nhất cho từng trường hợp.

1. Niềng Răng (Chỉnh Nha) Là Gì?
Niềng răng (chỉnh nha) là phương pháp nha khoa sử dụng các khí cụ như mắc cài hoặc khay niềng trong suốt để dịch chuyển răng sai lệch và điều chỉnh khớp cắn về vị trí chuẩn trên cung hàm. Mục tiêu của niềng răng là giúp răng thẳng đều, cải thiện thẩm mỹ nụ cười, tối ưu chức năng ăn nhai và hạn chế các vấn đề răng miệng lâu dài.
Phương pháp này thường được chỉ định cho các trường hợp răng hô - móm - lệch lạc - chen chúc - sai khớp cắn và cần được thực hiện bởi bác sĩ chỉnh nha chuyên môn cao để đảm bảo kết quả an toàn, hiệu quả.
2. Khi Nào Nên Niềng Răng (Chỉnh Nha)? Các Trường Hợp Cụ Thể
Niềng răng được chỉ định khi răng hoặc khớp cắn lệch khỏi vị trí chuẩn, gây mất thẩm mỹ hoặc ảnh hưởng chức năng ăn nhai. Dưới đây là những trường hợp điển hình cần thực hiện chỉnh nha:
2.1. Răng hô, vẩu
-
Răng cửa hàm trên chìa ra ngoài quá mức so với hàm dưới, làm nụ cười mất cân đối và khó khép môi tự nhiên. Nguyên nhân có thể do răng hoặc do cấu trúc xương hàm.
2.2. Răng móm
-
Răng cửa hàm dưới đưa ra ngoài và phủ lên răng cửa hàm trên, tạo khớp cắn ngược. Nếu mức độ nặng, có thể cần kết hợp phẫu thuật hàm.
2.3. Răng thưa
-
Khoảng trống giữa các răng xuất hiện do thiếu răng bẩm sinh, mất răng, hoặc răng có kích thước nhỏ - dị dạng. Tình trạng này gây mất thẩm mỹ và dễ mắc thức ăn.
2.4. Răng mọc lệch lạc, chen chúc
-
Răng không thẳng hàng, mọc xoay - lệch - lộn xộn do thiếu chỗ trên cung hàm, khiến việc vệ sinh răng miệng khó khăn, tăng nguy cơ sâu răng và viêm nướu.
2.5. Khớp cắn hở
-
Hai hàm không thể chạm nhau khi cắn lại, tạo khoảng hở ở vùng cửa hoặc răng sau. Tình trạng này ảnh hưởng ăn nhai, phát âm và thẩm mỹ khuôn mặt.
2.6. Khớp cắn chéo
Một hoặc nhiều răng hàm trên bị cắn lọt vào phía trong răng hàm dưới. Nếu không điều chỉnh, khớp cắn chéo có thể gây mòn răng, lệch hàm và đau khớp thái dương – hàm.
2.7. Răng khấp khểnh - khó vệ sinh
-
Răng không thẳng hàng khiến việc chải răng và sử dụng chỉ nha khoa trở nên khó khăn, tạo điều kiện cho cao răng, sâu răng, viêm lợi phát triển.
2.8. Thường xuyên cắn vào lưỡi hoặc má
-
Răng lệch vị trí có thể dẫn đến thói quen hoặc tai nạn cắn vào má - lưỡi khi ăn nhai, gây đau và tổn thương mô mềm.
2.9. Các vấn đề sai khớp cắn
-
Bao gồm khớp cắn sâu, lệch đường giữa, khớp cắn đối đầu,… Những tình trạng này khiến lực nhai phân bố không đều và có thể ảnh hưởng phát âm hoặc đau khớp hàm.

3. Lợi Ích Khi Niềng Răng - Chỉnh Nha
Niềng răng mang lại nhiều lợi ích cả về thẩm mỹ lẫn sức khỏe răng miệng:
-
Cải thiện nụ cười và gương mặt: Răng thẳng hàng giúp nụ cười tự tin, khuôn mặt hài hòa và góc nghiêng đẹp hơn.
-
Tăng hiệu quả ăn nhai: Răng đều giúp phân bố lực nhai đồng đều, giảm nguy cơ mòn răng hoặc đau khớp hàm.
-
Giảm nguy cơ sâu răng - viêm nướu: Răng lệch lạc khó vệ sinh, dễ đóng mảng bám. Khi răng được sắp xếp đúng, việc vệ sinh trở nên dễ dàng.
-
Cải thiện phát âm: Sai khớp cắn có thể gây nói ngọng. Niềng răng giúp cải thiện phát âm rõ ràng hơn.
-
Bảo vệ khớp thái dương hàm (TMJ): Khớp cắn chuẩn giúp giảm đau hàm, chứng mỏi cơ và tiếng “lục cục” khi nhai.
Xem Thêm: 20 Tuổi Niềng Răng Giá Bao Nhiêu? Thời Gian Bao Lâu
4. Các Phương Pháp Niềng Răng Phổ Biến Hiện Nay
Tuỳ nhu cầu thẩm mỹ và ngân sách, bạn có thể chọn một trong các phương pháp sau:
4.1. Niềng răng mắc cài kim loại
-
Ưu điểm: chi phí thấp, hiệu quả mạnh, phù hợp mọi mức độ sai lệch.
-
Nhược điểm: dễ lộ, thẩm mỹ không cao.
4.2. Niềng răng mắc cài sứ
-
Ưu điểm: màu sứ tiệp răng, thẩm mỹ hơn mắc cài kim loại.
-
Nhược điểm: chi phí cao hơn, độ bền kém hơn kim loại.
4.3. Niềng răng mắc cài mặt trong (Lingual)
-
Ưu điểm: vô hình hoàn toàn vì đặt phía trong răng.
-
Nhược điểm: giá cao, khó vệ sinh, khó thích nghi.
4.4. Niềng răng trong suốt Invisalign
-
Ưu điểm: gần như không nhìn thấy, tháo lắp linh hoạt, dễ vệ sinh.
-
Nhược điểm: chi phí cao nhất.
Xem Thêm: Niềng Răng Mắc Cài Sứ là Gì? Ưu Nhược Điểm? Giá Bao Nhiêu?

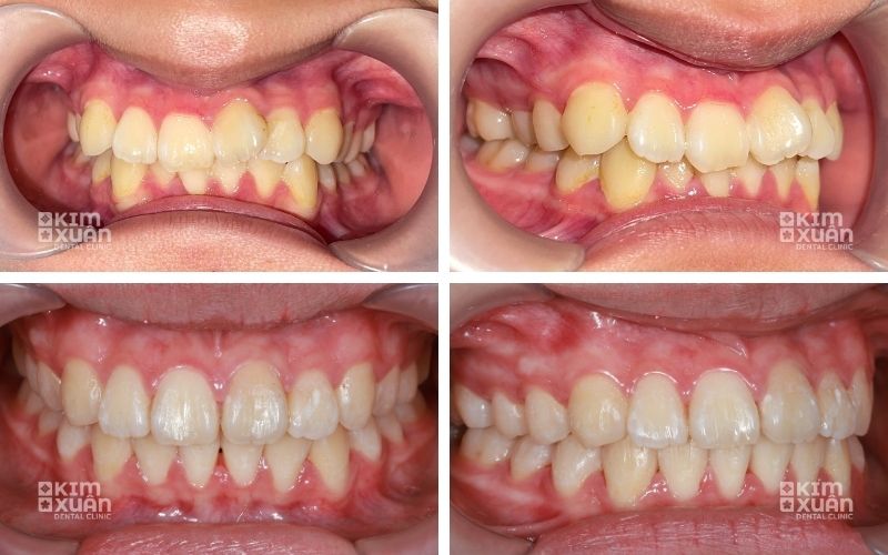
5. Quy Trình Niềng Răng Chuẩn Y Khoa Tại Nha Khoa Kim Xuân
Quy trình chỉnh nha tiêu chuẩn được thực hiện theo 6 bước khoa học, đảm bảo hiệu quả và an toàn:
Bước 1: Thăm khám - tư vấn - phân tích khớp cắn
-
Bác sĩ kiểm tra tình trạng răng miệng, đánh giá mức độ lệch lạc, phân tích khớp cắn và chỉ định phương pháp niềng phù hợp cho từng trường hợp.
Bước 2: Chụp phim – Scan 3D – Lấy dấu răng
-
Sử dụng phim X-quang, chụp Conebeam hoặc Scan 3D để phân tích răng - xương hàm và mô phỏng kết quả điều trị bằng phần mềm tăng độ chính xác.
Bước 3: Lập kế hoạch điều trị cá nhân hóa
-
Bác sĩ xây dựng phác đồ chi tiết, mô phỏng từng giai đoạn dịch chuyển răng, dự đoán thời gian và kết quả cuối cùng.
Bước 4: Gắn mắc cài hoặc giao khay Invisalign
Tùy phương pháp lựa chọn:
-
Niềng răng mắc cài: gắn mắc cài, dây cung và các khí cụ hỗ trợ.
-
Niềng Invisalign: bệnh nhân nhận bộ khay trong suốt theo từng giai đoạn.
Bước 5: Tái khám định kỳ
-
Tái khám mỗi 4 - 6 tuần để siết dây cung (mắc cài) hoặc nhận khay mới (Invisalign), đảm bảo răng dịch chuyển đúng kế hoạch.
Bước 6: Tháo niềng - đeo hàm duy trì
-
Khi răng đã vào vị trí chuẩn, bác sĩ tháo niềng và cấp hàm duy trì để giữ răng ổn định lâu dài, tránh tái xô lệch.
6. Niềng Răng Mất Bao Lâu?
Thời gian chỉnh nha thông thường kéo dài 18 - 36 tháng, tùy vào mức độ sai lệch và phương pháp điều trị. Thời gian niềng nhanh hay chậm phụ thuộc vào nhiều yếu tố:
-
Mức độ lệch lạc của răng và khớp cắn
-
Độ tuổi của bệnh nhân
-
Phương pháp niềng (mắc cài kim loại, mắc cài sứ, Invisalign…)
-
Cơ địa và tốc độ đáp ứng của xương - răng
-
Mức độ tuân thủ: tái khám đúng hẹn, đeo thun liên hàm hoặc đeo khay đúng giờ (Invisalign 20 - 22 giờ/ngày)
Đặc biệt, trẻ em 6 - 12 tuổi được xem là “giai đoạn vàng” vì xương hàm còn mềm và dễ điều chỉnh, giúp niềng nhanh hơn - hiệu quả cao hơn - hạn chế phải nhổ răng.

7. Niềng Răng (Chỉnh Nha) Giá Bao Nhiêu 2026. Bảng Giá Mới Nhất
Giá niềng răng năm 2025 phụ thuộc vào phương pháp chỉnh nha, mức độ lệch lạc và tình trạng răng - xương hàm của từng người. Dưới đây là bảng giá niềng răng mới nhất, được nhiều nha khoa áp dụng:
-
Niềng răng mắc cài kim loại: 15.000.000 - 35.000.000 VNĐ - Giải pháp phổ biến, lực kéo ổn định, chi phí tiết kiệm nhất.
-
Niềng răng mắc cài sứ: 30.000.000 - 45.000.000 VNĐ - Mắc cài thẩm mỹ hơn, phù hợp người cần giao tiếp nhiều.
-
Niềng răng trong suốt (Invisalign): 40.000.000 - 100.000.000 VNĐ - Khay trong suốt, dễ tháo lắp, thoải mái, mô phỏng kết quả bằng AI, tính thẩm mỹ cao nhất.
Xem Thêm: Trồng Răng Implant Giá Bao Nhiêu 2026
Xem Thêm: Dán Răng Sứ Veneer Bao Nhiêu Tiền 1 Răng Tại TP. HCM
8. Độ Tuổi Lý Tưởng Để Niềng Răng (Chỉnh Nha)
Niềng răng có thể thực hiện ở nhiều độ tuổi khác nhau, tuy nhiên mỗi giai đoạn sẽ mang lại mức độ hiệu quả và thời gian điều trị khác nhau. Dưới đây là các nhóm tuổi lý tưởng để chỉnh nha:
8.1. Trẻ em (6 - 12 tuổi)
-
Đây là giai đoạn vàng để can thiệp chỉnh nha. Xương hàm còn mềm, dễ định hướng phát triển, giúp điều chỉnh các vấn đề như hô - móm - lệch hàm nhanh chóng và hiệu quả, hạn chế phải nhổ răng sau này.
8.2. Thanh thiếu niên (12 - 16 tuổi)
-
Là độ tuổi phổ biến nhất để niềng răng. Lúc này răng vĩnh viễn đã mọc đầy đủ, xương hàm vẫn còn khả năng thích nghi tốt, giúp thời gian niềng ổn định và đạt kết quả tối ưu.
8.3. Người trưởng thành (18 - 40+)
Người lớn vẫn có thể niềng răng hiệu quả. Tuy thời gian điều trị có thể dài hơn do xương hàm cứng hơn, nhưng với công nghệ hiện đại (mắc cài tự buộc, Invisalign, minivis…) quá trình chỉnh nha diễn ra an toàn, và đạt kết quả cao.

9. Lưu Ý Quan Trọng Khi Niềng Răng
-
Giữ vệ sinh kỹ bằng bàn chải kẽ & máy tăm nước
-
Tránh thức ăn cứng - dai - dính
-
Giảm đau bằng chườm lạnh trong 48 giờ đầu
-
Tuân thủ lịch tái khám
-
Đeo hàm duy trì theo hướng dẫn để không tái xô lệch
Xem Thêm: Những Điều Cần Lưu Ý Khi Niềng Răng?
Câu Hỏi Thường Gặp?
1. Niềng răng có đau không?
-
Niềng răng không gây đau, nhưng có thể ê nhẹ 2 - 5 ngày đầu khi mới gắn mắc cài hoặc đổi khay mới. Cảm giác sẽ giảm nhanh khi răng quen với lực kéo.
2. Niềng răng có làm thay đổi khuôn mặt không?
-
Có. Niềng răng giúp răng - khớp cắn về đúng vị trí, từ đó làm khuôn mặt hài hòa, cân đối hơn, đặc biệt ở người bị hô - móm - lệch hàm.
3. Người lớn có niềng răng được không?
-
Hoàn toàn được. Người trưởng thành (18 - 40+) vẫn niềng hiệu quả. Thời gian có thể lâu hơn trẻ em nhưng kết quả ổn định, thẩm mỹ cao, nhất là khi dùng Invisalign.
4. Niềng răng có cần nhổ răng không?
-
Tùy trường hợp. Chỉ nhổ răng khi răng chen chúc nhiều, xương hàm hẹp hoặc cần tạo khoảng để sắp xếp răng. Các trường hợp nhẹ có thể niềng không cần nhổ răng.
5. Răng có xô lệch sau tháo niềng không?
-
Có thể xảy ra nếu không đeo hàm duy trì. Đeo hàm duy trì theo hướng dẫn giúp giữ răng ổn định vĩnh viễn và tránh tái xô lệch.
Kết Luận
Niềng răng là phương pháp chỉnh nha an toàn và hiệu quả, giúp cải thiện thẩm mỹ nụ cười, tối ưu chức năng ăn nhai và nâng cao sức khỏe răng miệng lâu dài. Để đạt kết quả tốt nhất, bạn nên lựa chọn địa chỉ nha khoa uy tín, bác sĩ chuyên sâu chỉnh nha và tuân thủ đúng phác đồ điều trị trong suốt quá trình niềng.
Nếu bạn đang phân vân không biết nên chọn phương pháp nào, cần nhổ răng hay không, thời gian điều trị bao lâu hoặc chi phí phù hợp, hãy đến Nha Khoa Kim Xuân để được bác sĩ thăm khám - phân tích khớp cắn - tư vấn phác đồ chỉnh nha cá nhân hóa.
Nha Khoa Kim Xuân - Địa chỉ niềng răng uy tín tại Bình Thạnh, TP.HCM
-
Chỉnh nha mắc cài - Invisalign chuẩn quốc tế
-
Bác sĩ giàu kinh nghiệm, phác đồ điều trị rõ ràng
-
Trang thiết bị hiện đại, scan hàm 3D - X-quang kỹ thuật số
-
Chi phí minh bạch - trả góp linh hoạt
Nha Khoa Kim Xuân - Bình Thạnh TP. HCM
Địa Chỉ: 165 Ngô Tất Tố, Phường Thạnh Mỹ Tây, Tp Hồ Chí Minh
Hotline: 0899 922 668 (Viber, Zalo, FaceTime)
ZaLo: https://zalo.me/nhakhoakimxuan
WebSite: https://nhakhoakimxuan.com.vn