Trám Răng Cửa Bị Mẻ Giá Bao Nhiêu? Khi Nào Nên Trám Hay Bọc Sứ
Hiện nay, chi phí trám răng cửa bị mẻ thường nằm trong khoảng 200.000 - 600.000 VNĐ/răng, thậm chí có thể cao hơn tùy vào mức độ mẻ của răng, loại vật liệu trám và chất lượng dịch vụ của nha khoa. Với các trường hợp mẻ nhẹ, vật liệu Composite thông thường được nhiều người lựa chọn nhờ khả năng tái tạo màu răng tự nhiên và mức giá phù hợp. Tuy nhiên, để đạt hiệu quả lâu dài và tránh phát sinh chi phí không cần thiết, bạn nên thăm khám trực tiếp với bác sĩ nha khoa nhằm đánh giá chính xác tình trạng răng, từ đó quyết định trám răng hay bọc răng sứ là giải pháp tối ưu và an toàn nhất cho từng trường hợp

1. Nguyên Nhân Khiến Răng Cửa Bị Mẻ
Răng cửa nằm ở vị trí phía trước, thường xuyên chịu lực cắn và va chạm nên rất dễ bị sứt mẻ nếu gặp các yếu tố sau:
-
Va chạm mạnh do té ngã, tai nạn, chơi thể thao
-
Thói quen nghiến răng khi ngủ khiến men răng yếu dần
-
Dùng răng cắn vật cứng, mở nắp chai, cắn đá lạnh
-
Răng thiếu khoáng, thiếu canxi làm men răng giòn hơn
-
Các bệnh lý răng miệng như sâu răng, mòn cổ răng, viêm men răng
Khi răng đã bị mẻ, nếu không xử lý sớm, vết mẻ có thể lan rộng, gây ê buốt hoặc viêm tủy.

2. Răng Cửa Bị Mẻ Có Trám Được Không?
Răng cửa bị mẻ có thể trám được, tuy nhiên không phải trường hợp nào cũng nên áp dụng phương pháp trám răng. Để lựa chọn đúng giữa trám răng cửa hay bọc răng sứ, bác sĩ nha khoa sẽ dựa trên các tiêu chí sau:
2.1. Mức độ mẻ răng:
-
Mẻ nhẹ, sứt cạnh nhỏ - có thể trám Composite.
-
Mẻ lớn, vỡ nhiều mô răng - nên cân nhắc bọc răng sứ.
2.2. Vị trí răng bị mẻ:
-
Mẻ ở mép cắn, mặt ngoài răng cửa - dễ trám và đảm bảo thẩm mỹ.
-
Mẻ sâu, sát nướu hoặc lan rộng - trám kém bền, cần giải pháp khác.
2.3. Yêu cầu thẩm mỹ:
-
Nhu cầu thẩm mỹ cơ bản - trám răng phù hợp.
-
Yêu cầu cao về hình dáng, màu sắc nụ cười - bọc răng sứ cho kết quả ổn định hơn.
2.4. Độ bền mong muốn:
-
Muốn phục hồi nhanh, chi phí thấp - trám răng.
-
Muốn kết quả lâu dài, hạn chế bong vỡ - bọc răng sứ.
Việc thăm khám trực tiếp tại nha khoa giúp bác sĩ đánh giá chính xác tình trạng răng cửa bị mẻ, từ đó tư vấn phương pháp điều trị phù hợp, tránh điều trị sai cách và phát sinh chi phí không cần thiết.

3. Khi Nào Nên Trám Răng Cửa Bị Mẻ?
Trám răng cửa bị mẻ là giải pháp phù hợp trong các trường hợp tổn thương nhẹ, không ảnh hưởng nhiều đến cấu trúc răng. Cụ thể, bạn nên trám răng cửa khi đáp ứng các điều kiện sau:
-
Vết mẻ nhỏ, thường có kích thước dưới 2 mm
-
Răng chưa tổn thương tủy, không ê buốt kéo dài
-
Men răng còn đủ chắc khỏe để vật liệu trám bám dính tốt
-
Người bệnh muốn phục hồi nhanh, ưu tiên tiết kiệm chi phí
3.1. Ưu điểm của trám răng cửa bị mẻ
-
Thời gian thực hiện nhanh, chỉ khoảng 15 - 30 phút/răng
-
Không mài răng thật, ít xâm lấn, bảo tồn mô răng tối đa
-
Chi phí thấp hơn nhiều so với bọc răng sứ
-
Màu sắc trám có thể tiệp với răng thật, đặc biệt khi sử dụng Composite thẩm mỹ
3.2. Hạn chế của trám răng cửa
-
Độ bền không cao bằng răng sứ
-
Có nguy cơ bong, sứt lại nếu thường xuyên ăn nhai đồ cứng hoặc cắn vật cứng
-
Tuổi thọ trung bình khoảng 3 - 5 năm, có thể kéo dài hơn nếu chăm sóc răng miệng đúng cách và tái khám định kỳ
Việc đánh giá chính xác nên trám răng cửa hay bọc răng sứ vẫn cần dựa trên thăm khám trực tiếp của bác sĩ nha khoa để đảm bảo hiệu quả lâu dài và an toàn cho răng thật.

4. Khi Nào Nên Bọc Răng Sứ Cho Răng Cửa Bị Mẻ?
Bọc răng sứ cho răng cửa bị mẻ thường được chỉ định trong những trường hợp tổn thương nặng hoặc khi trám răng không còn mang lại hiệu quả lâu dài. Phương pháp này giúp phục hồi toàn diện cả chức năng ăn nhai lẫn thẩm mỹ nụ cười. Cụ thể, bạn nên bọc răng sứ khi rơi vào các trường hợp sau:
4.1. Trường hợp nên bọc răng sứ
-
Răng cửa bị mẻ lớn, vỡ nhiều, ảnh hưởng đến cấu trúc răng
-
Răng đã trám nhiều lần nhưng dễ bong, không bền
-
Răng cửa lệch, thưa, xỉn màu nặng, khó cải thiện bằng trám răng thông thường
-
Yêu cầu thẩm mỹ cao, mong muốn kết quả ổn định và lâu dài
4.2. Ưu điểm của bọc răng sứ cho răng cửa
-
Phục hồi hiệu quả các răng mẻ lớn mà trám răng không đáp ứng được
-
Cải thiện toàn diện hình dáng, màu sắc và khớp cắn, giúp nụ cười hài hòa hơn
-
Độ bền cao, tuổi thọ có thể lên đến 15 - 20 năm nếu chăm sóc tốt
-
Tính thẩm mỹ vượt trội, màu răng tự nhiên, khó phân biệt với răng thật
Lưu ý quan trọng khi bọc răng sứ: Bọc răng sứ cần mài răng thật, vì vậy tay nghề bác sĩ và nha khoa uy tín là yếu tố quyết định đến độ an toàn, độ bền cũng như tính thẩm mỹ sau điều trị. Việc thăm khám và tư vấn kỹ lưỡng trước khi thực hiện sẽ giúp hạn chế rủi ro và đạt kết quả tối ưu nhất.
Xem Thêm: Bọc Răng Sứ Giá Bao Nhiêu Tiền? Bảng Giá Tại Nha Khoa Kim Xuân?
5. Trám Răng Cửa Bị Mẻ Giá Bao Nhiêu Tiền?
Chi phí trám răng cửa bị mẻ phụ thuộc vào vật liệu trám và mức độ tổn thương răng.
Bảng giá trám răng cửa bị mẻ tham khảo 2025
-
Trám GIC - răng sữa giá 200.000 (VNĐ / 1 răng)
-
Trám Composite - răng sữa giá 300.000 (VNĐ / 1 răng)
-
Trám Composite xoang I - VI (răng vĩnh viễn) giá 400.000 (VNĐ / 1 răng)
-
Trám Composite xoang II - III - V (răng vĩnh viễn) giá 500.000 (VNĐ / 1 răng)
-
Trám Composite xoang IV - V (răng vĩnh viễn) giá 600.000 (VNĐ / 1 răng)
-
Trám Sứ Inlay/Onlay giá từ 4.000.000 - 6.000.000 (VNĐ / 1 răng)
Lưu ý: Để biết giá chính xác, bác sĩ cần thăm khám trực tiếp vì mỗi tình trạng răng là khác nhau.
Xem Thêm: Trám Răng Thẩm Mỹ Giá Bao Nhiêu?

6. Trám Răng Cửa Bị Mẻ Có Đau Không?
Trám răng cửa bị mẻ thường không gây đau, đặc biệt trong các trường hợp mẻ nhẹ và răng chưa tổn thương tủy. Cụ thể:
-
Ít gây đau vì phương pháp trám răng ít xâm lấn, không tác động sâu vào cấu trúc răng
-
Bác sĩ có thể gây tê nhẹ nếu răng nhạy cảm hoặc vị trí mẻ gần ngà răng, giúp quá trình điều trị diễn ra thoải mái
-
Thời gian trám nhanh, thường không gây cảm giác khó chịu kéo dài
Sau khi trám răng cửa bị mẻ, bạn có thể gặp một số biểu hiện sau:
-
Ê buốt nhẹ trong vài giờ đầu, nhất là khi ăn đồ nóng, lạnh hoặc cứng
-
Cảm giác ê buốt thường giảm nhanh và tự hết, không ảnh hưởng đến sinh hoạt hằng ngày
-
Chăm sóc răng miệng đúng cách và tái khám theo chỉ định giúp miếng trám bền chắc, hạn chế ê buốt và duy trì hiệu quả lâu dài
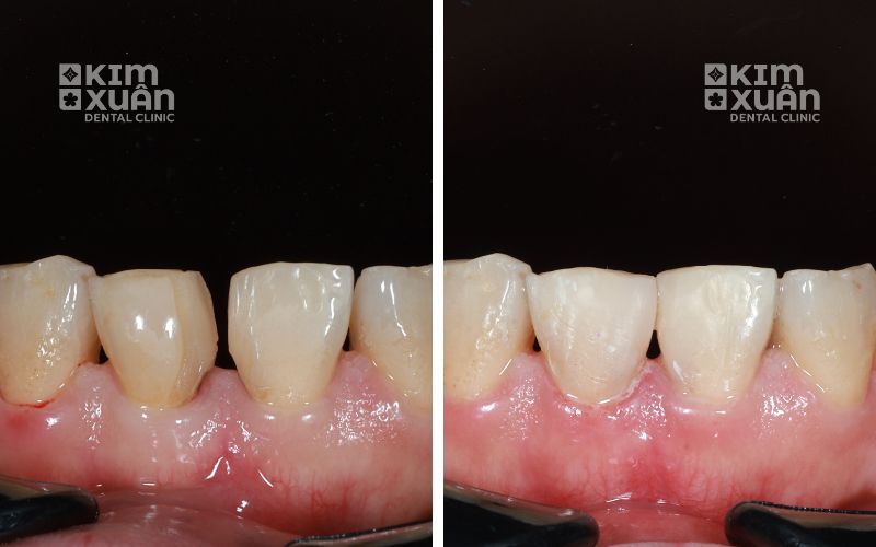
7. Trám Răng Cửa Bị Mẻ Có Bền Không?
Trám răng mẻ có độ bền nhất định, tuy nhiên thời gian sử dụng phụ thuộc vào nhiều yếu tố khác nhau. Cụ thể gồm:
-
Vật liệu trám răng: Composite thẩm mỹ chất lượng cao thường bền và ổn định hơn
-
Tay nghề bác sĩ nha khoa: Kỹ thuật trám đúng chuẩn giúp miếng trám bám chắc, hạn chế bong sút
-
Thói quen ăn nhai và chăm sóc răng miệng: Ăn nhai đúng cách và vệ sinh tốt sẽ kéo dài tuổi thọ miếng trám
Thông thường, răng trám mẻ có thể bền từ 3 - 5 năm, thậm chí lâu hơn nếu bạn:
-
Tránh cắn, nhai đồ cứng hoặc dùng răng mở vật cứng
-
Vệ sinh răng miệng đúng cách, chải răng và dùng chỉ nha khoa hằng ngày
-
Tái khám định kỳ theo hướng dẫn của bác sĩ để kiểm tra và xử lý sớm nếu miếng trám có dấu hiệu bong, mòn

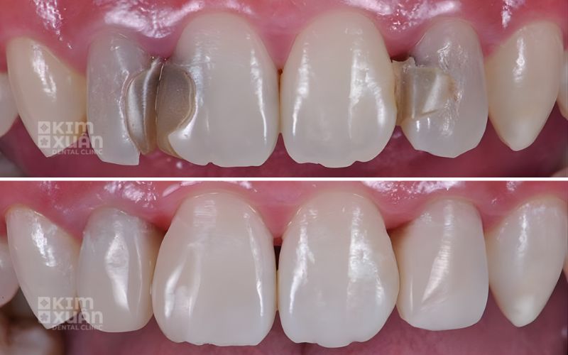
7. Quy Trình Trám Răng Cửa Bị Mẻ Tại Nha Khoa Kim Xuân
Tại các nha khoa uy tín, quy trình trám răng cửa bị mẻ thường được thực hiện theo 4 bước chuẩn, đảm bảo an toàn và hiệu quả lâu dài:
Bước 1: Thăm khám và chụp X-quang (nếu cần)
-
Bác sĩ kiểm tra mức độ mẻ răng, đánh giá tình trạng tủy và chỉ định chụp X-quang trong trường hợp nghi ngờ tổn thương sâu.
Bước 2: Vệ sinh răng miệng và gây tê nhẹ
-
Răng được làm sạch kỹ lưỡng để loại bỏ vi khuẩn, mảng bám; gây tê nhẹ nếu răng nhạy cảm nhằm đảm bảo cảm giác thoải mái khi điều trị.
Bước 3: Trám răng - tạo hình - chiếu đèn cố định vật liệu
-
Bác sĩ sử dụng vật liệu trám phù hợp (thường là Composite), tạo hình theo dáng răng tự nhiên và chiếu đèn để vật liệu đông cứng chắc chắn.
Bước 4: Chỉnh sửa, đánh bóng và kiểm tra khớp cắn
-
Miếng trám được tinh chỉnh, đánh bóng mịn và kiểm tra khớp cắn để đảm bảo ăn nhai thuận lợi, không cộm cấn.
Toàn bộ quá trình trám răng cửa bị mẻ diễn ra nhanh chóng, thường chỉ mất 15 - 30 phút/răng, an toàn, ít xâm lấn và không ảnh hưởng đến răng thật.
Kết Luận
Mỗi tình trạng răng cửa bị mẻ sẽ cần một phương pháp điều trị khác nhau. Với các trường hợp mẻ nhẹ, răng chưa tổn thương tủy, trám răng cửa bị mẻ là giải pháp hiệu quả, tiết kiệm và ít xâm lấn. Ngược lại, nếu răng mẻ lớn, đã trám nhiều lần không bền hoặc yêu cầu thẩm mỹ cao, bọc răng sứ sẽ mang lại độ bền và tính thẩm mỹ lâu dài hơn.
Việc thăm khám trực tiếp với bác sĩ nha khoa giúp đánh giá chính xác mức độ mẻ răng, từ đó lựa chọn phương pháp điều trị phù hợp, an toàn và tối ưu chi phí ngay từ đầu. Nha khoa Kim Xuân thăm khám và tư vấn trám răng cửa bị mẻ - bọc răng sứ theo tình trạng răng thực tế, minh bạch chi phí, không phát sinh.
Đặt lịch kiểm tra răng cửa bị mẻ tại Nha khoa Kim Xuân ngay hôm nay để được bác sĩ tư vấn chi tiết và lựa chọn giải pháp phù hợp nhất cho nụ cười của bạn.
Nha Khoa Kim Xuân - Bình Thạnh TP. HCM
Địa Chỉ: 165 Ngô Tất Tố, Phường Thạnh Mỹ Tây, Tp Hồ Chí Minh
Hotline: 0899 922 668 (Viber, Zalo, FaceTime)
ZaLo: https://zalo.me/nhakhoakimxuan
WebSite: https://nhakhoakimxuan.com.vn