Trám Răng Thẩm Mỹ Giá Bao Nhiêu? Tại Thành Phố Hồ Chí Minh
Trám răng thẩm mỹ tại TP.HCM năm 2025 bao nhiêu? Chi phí trám răng thẩm mỹ năm 2025 dao động từ 200.000 VNĐ đến hơn 6.000.000 VNĐ/răng, tùy thuộc vào vật liệu trám, mức độ tổn thương răng và dịch vụ của nha khoa. Trong đó, trám Composite thẩm mỹ là lựa chọn phổ biến với mức giá 200.000 - 600.000 VNĐ/răng, còn trám sứ Inlay/Onlay có thể lên đến 4.000.000 - 6.000.000 VNĐ/răng nhờ độ bền và tính thẩm mỹ cao. Vậy trám răng thẩm mỹ giá bao nhiêu năm 2025, chi phí bị ảnh hưởng bởi những yếu tố nào và khi nào nên trám răng để đạt hiệu quả tối ưu? Bài viết dưới đây sẽ giúp bạn hiểu rõ.

1. Trám Răng Thẩm Mỹ Là Gì?
Trám răng thẩm mỹ là kỹ thuật sử dụng vật liệu nha khoa chuyên dụng (Composite hoặc GIC) để lấp đầy các khuyết điểm trên răng. Vật liệu trám có màu gần giống răng thật, giúp răng sau trám tự nhiên, hài hòa và đảm bảo chức năng ăn nhai.
Phương pháp này thường được chỉ định trong các trường hợp:
-
Răng sâu nhẹ - trung bình
-
Răng sứt mẻ nhỏ
-
Răng thưa nhẹ
-
Mòn cổ răng, ê buốt răng

2. Các Trường Hợp Nên Trám Răng Thẩm Mỹ
-
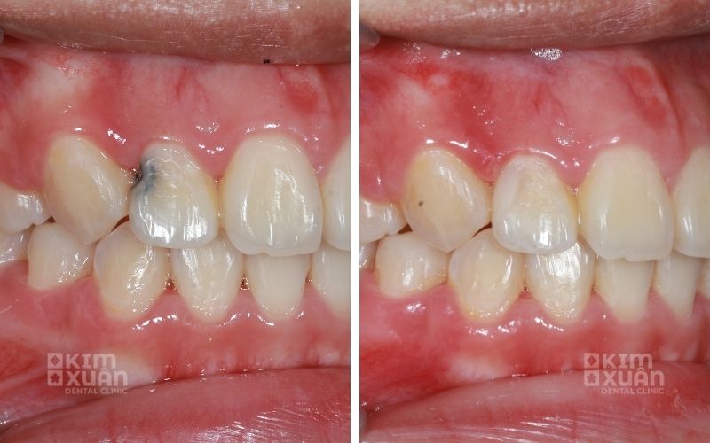
Sâu răng nhẹ đến trung bình: Xuất hiện lỗ sâu nhỏ, bề mặt răng sẫm màu, có cảm giác ê buốt hoặc đau khi ăn đồ ngọt, nóng, lạnh. Trám răng giúp loại bỏ mô sâu và bảo tồn răng thật.
-
Răng nứt, mẻ, vỡ nhẹ: Do va đập hoặc chấn thương trong sinh hoạt, trám răng giúp phục hồi hình dáng răng và đảm bảo chức năng ăn nhai.
-
Mòn cổ răng: Thường do chải răng sai cách hoặc dùng bàn chải cứng, gây ê buốt. Trám răng giúp che phủ vùng ngà răng bị lộ, giảm nhạy cảm và bảo vệ răng lâu dài.
-
Răng thưa mức độ nhẹ: Các kẽ răng nhỏ dưới 2mm có thể trám thẩm mỹ để đóng khe hở, cải thiện nụ cười mà không cần can thiệp phức tạp.
-
Miếng trám cũ bị hỏng: Trường hợp miếng trám bong, hở, nứt hoặc đổi màu cần trám lại sớm để ngăn vi khuẩn xâm nhập và tránh sâu răng tái phát.

3. Trám Răng Thẩm Mỹ Giá Bao Nhiêu Tiền?
Chi phí trám răng phụ thuộc vào loại vật liệu trám, vị trí răng và mức độ tổn thương. Dưới đây là bảng giá trám răng thẩm mỹ chi tiết:
Bảng giá trám răng thẩm mỹ (VNĐ / 1 răng)
-
Trám GIC - răng sữa giá 200.000 (VNĐ / 1 răng)
-
Trám Composite - răng sữa giá 300.000 (VNĐ / 1 răng)
-
Trám Composite xoang I - VI (răng vĩnh viễn) giá 400.000 (VNĐ / 1 răng)
-
Trám Composite xoang II - III - V (răng vĩnh viễn) giá 500.000 (VNĐ / 1 răng)
-
Trám Composite xoang IV - V (răng vĩnh viễn) giá 600.000 (VNĐ / 1 răng)
-
Trám Sứ Inlay/Onlay giá từ 4.000.000 - 6.000.000 (VNĐ / 1 răng)
Lưu ý: Mức giá có thể thay đổi tùy tình trạng răng thực tế sau khi bác sĩ thăm khám trực tiếp.

4. Các Yếu Tố Ảnh Hưởng Đến Chi Phí Trám Răng
Chi phí trám răng không cố định mà phụ thuộc vào vật liệu trám, vị trí răng và tình trạng tổn thương thực tế. Cụ thể:
4. 1. Loại vật liệu trám
-
GIC (Glass Ionomer Cement): Chi phí thấp, thường dùng cho răng sữa hoặc vị trí ít chịu lực, có khả năng giải phóng fluor giúp hỗ trợ ngừa sâu răng.
-
Composite: Vật liệu trám thẩm mỹ phổ biến, màu sắc tương đồng răng thật, phù hợp răng vĩnh viễn và răng cửa, chi phí cao hơn GIC.
4.2. Vị trí răng và xoang trám
-
Các xoang trám lớn hoặc xoang phức tạp (xoang II, III, IV, V…) cần kỹ thuật cao và thời gian thực hiện lâu hơn, vì vậy chi phí trám răng cũng cao hơn so với xoang đơn giản.
4.3. Tình trạng răng hiện tại
-
Răng sâu nặng, vỡ lớn hoặc viêm tủy thường không còn phù hợp để trám răng. Trong các trường hợp này, bác sĩ sẽ chỉ định chữa tủy hoặc bọc răng sứ, làm chi phí điều trị tăng lên.
Xem Thêm: Lấy Tủy Răng Giá Bao Nhiêu?
5. Quy Trình Trám Răng Chuẩn Y Khoa Tại Nha Khoa Kim Xuân
Quy trình trám răng thẩm mỹ được thực hiện nhanh chóng, an toàn và tuân thủ tiêu chuẩn vô trùng, bao gồm các bước sau:
-
Thăm khám và đánh giá tình trạng răng: Bác sĩ kiểm tra mức độ sâu răng, mẻ vỡ hoặc mòn cổ răng để xác định phương án trám phù hợp.
-
Vệ sinh và làm sạch vùng răng cần trám: Loại bỏ mảng bám và mô sâu nhằm ngăn vi khuẩn tồn tại bên trong răng.
-
Tạo xoang và xử lý bề mặt răng: Chuẩn bị bề mặt răng giúp vật liệu trám bám dính chắc chắn hơn.
-
Đặt vật liệu trám thẩm mỹ và tạo hình: Bác sĩ tạo hình miếng trám sao cho màu sắc và hình dáng tự nhiên như răng thật.
-
Chiếu đèn đông cứng và đánh bóng hoàn thiện: Giúp miếng trám cứng chắc, bề mặt láng mịn và đảm bảo thẩm mỹ khi ăn nhai.
Thời gian trám răng trung bình: khoảng 20 - 40 phút/răng, tùy vào vị trí và mức độ tổn thương.
6. Trám Răng Thẩm Mỹ Có Bền Không?
Trám răng thẩm mỹ có độ bền tốt nếu được thực hiện đúng kỹ thuật và chăm sóc răng miệng đúng cách. Độ bền của miếng trám phụ thuộc vào các yếu tố sau:
-
Vật liệu trám: Composite thẩm mỹ có độ bền khá cao và màu sắc tự nhiên.
-
Tay nghề bác sĩ: Kỹ thuật trám chính xác giúp miếng trám bám chắc và ít bong vỡ.
-
Chăm sóc răng miệng sau trám: Đánh răng đúng cách, hạn chế đồ cứng và tái khám định kỳ giúp kéo dài tuổi thọ miếng trám.
Thời gian sử dụng trung bình: Miếng trám Composite thường duy trì từ 3 - 7 năm, thậm chí lâu hơn nếu được chăm sóc đúng cách.
Xem Thêm: Bọc Răng Sứ Gia Bao Nhiêu? Bảng Giá Mới Nhất Tại TP. HCM

7. Khi Nào Nên Trám Răng Sớm?
Bạn nên trám răng càng sớm càng tốt khi xuất hiện các dấu hiệu sau:
-
Răng ê buốt hoặc đau nhẹ khi ăn uống, đặc biệt với đồ nóng, lạnh hoặc ngọt.
-
Xuất hiện đốm đen hoặc lỗ sâu nhỏ trên răng, dù chưa gây đau rõ rệt.
-
Răng sứt mẻ nhẹ, ảnh hưởng đến thẩm mỹ hoặc gây cộm khi ăn nhai.
Trám răng sớm giúp tiết kiệm chi phí điều trị, ngăn ngừa vi khuẩn xâm nhập gây viêm tủy, đồng thời hạn chế nguy cơ phải thực hiện các phương pháp phức tạp hơn như chữa tủy hoặc bọc răng sứ về sau.
Câu Hỏi Thường Gặp?
Trám răng thẩm mỹ có đau không?
-
Trám răng thẩm mỹ hầu như không đau. Với các trường hợp sâu răng nhẹ hoặc mẻ nhỏ, bác sĩ thường không cần gây tê. Nếu răng nhạy cảm hoặc xoang trám lớn, bác sĩ sẽ gây tê nhẹ để đảm bảo quá trình trám diễn ra thoải mái.
Trám răng thẩm mỹ giữ được bao lâu?
-
Miếng trám Composite thẩm mỹ thường có độ bền từ 3 - 7 năm, thậm chí lâu hơn nếu được trám đúng kỹ thuật và chăm sóc răng miệng tốt. Độ bền phụ thuộc vào vật liệu trám, vị trí răng và thói quen ăn nhai.
Trám răng thẩm mỹ có bị đổi màu không?
-
Sau thời gian sử dụng, miếng trám Composite có thể bị đổi màu nhẹ nếu thường xuyên dùng cà phê, trà, thuốc lá. Tuy nhiên, việc vệ sinh răng đúng cách và tái khám định kỳ sẽ giúp giữ màu miếng trám lâu hơn.
Răng sâu nặng có trám được không?
-
Răng sâu nặng hoặc đã viêm tủy không còn phù hợp để trám răng. Trong trường hợp này, bác sĩ thường chỉ định chữa tủy và bọc răng sứ để bảo tồn răng và ngăn biến chứng.
Trám răng thẩm mỹ có ăn nhai bình thường không?
-
Sau khi trám răng và vật liệu đã đông cứng hoàn toàn, bạn có thể ăn nhai bình thường. Tuy nhiên, nên hạn chế nhai đồ quá cứng hoặc dai để kéo dài tuổi thọ miếng trám.
Trám răng thẩm mỹ có áp dụng cho trẻ em không?
-
Có. Trám răng thẩm mỹ phù hợp cho cả trẻ em và người lớn. Với răng sữa, bác sĩ thường sử dụng vật liệu GIC hoặc Composite phù hợp để bảo vệ răng và hỗ trợ phát triển răng vĩnh viễn.
Khi nào nên thay miếng trám răng?
- Bạn nên thay miếng trám khi có dấu hiệu bong tróc, nứt, hở, đổi màu hoặc gây cộm khi ăn nhai. Việc trám lại sớm giúp ngăn vi khuẩn xâm nhập và tránh sâu răng tái phát.
Kết Luận
Trám răng thẩm mỹ là giải pháp nha khoa đơn giản, ít xâm lấn, chi phí hợp lý nhưng mang lại hiệu quả cao, phù hợp cho các trường hợp răng sâu nhẹ, răng sứt mẻ hoặc cần cải thiện thẩm mỹ. Khi được thực hiện đúng kỹ thuật và lựa chọn vật liệu trám phù hợp, miếng trám có thể duy trì bền đẹp trong nhiều năm, giúp bảo tồn răng thật và hạn chế biến chứng về sau. Với bảng giá trám răng rõ ràng, minh bạch, bạn hoàn toàn có thể chủ động lựa chọn phương án phù hợp để bảo vệ sức khỏe răng miệng lâu dài.
Nếu bạn đang tìm kiếm địa chỉ trám răng thẩm mỹ uy tín, an toàn, nhẹ nhàng và tư vấn rõ ràng, Nha khoa Kim Xuân là lựa chọn được nhiều khách hàng tin tưởng. Đội ngũ bác sĩ trực tiếp thăm khám, tư vấn tình trạng răng cụ thể và đưa ra phương án trám răng phù hợp - tối ưu chi phí - đảm bảo thẩm mỹ.
Liên hệ Nha khoa Kim Xuân để được tư vấn chi tiết và đặt lịch thăm khám sớm, giúp bảo vệ răng ngay từ những tổn thương nhỏ nhất.
Nha Khoa Kim Xuân - Bình Thạnh TP. HCM
Địa Chỉ: 165 Ngô Tất Tố, Phường Thạnh Mỹ Tây, Tp Hồ Chí Minh
Hotline: 0899 922 668 (Viber, Zalo, FaceTime)
ZaLo: https://zalo.me/nhakhoakimxuan
WebSite: https://nhakhoakimxuan.com.vn