Răng bị ê buốt khi nhai là tình trạng nhiều người gặp phải nhưng thường dễ bỏ qua. Cảm giác ê buốt răng khi ăn nhai, đau nhói mỗi lần cắn thức ăn không chỉ gây khó chịu mà còn ảnh hưởng trực tiếp đến khả năng ăn nhai, hấp thụ dinh dưỡng và chất lượng cuộc sống hằng ngày.
Trên thực tế, ê buốt răng khi nhai có thể là dấu hiệu cảnh báo các bệnh lý răng miệng tiềm ẩn như mòn men răng, sâu răng hay viêm tủy. Việc xác định đúng nguyên nhân và điều trị kịp thời sẽ giúp bảo tồn răng thật, hạn chế biến chứng và tránh tình trạng đau buốt kéo dài về sau.

1. Răng Bị Ê Buốt Khi Nhai Là Gì? Có Nguy Hiểm Không?
Răng bị ê buốt khi nhai là cảm giác đau buốt, nhạy cảm xuất hiện khi răng chịu lực ăn nhai hoặc khi tiếp xúc với thức ăn nóng, lạnh, chua, ngọt. Tình trạng ê buốt răng khi ăn nhai có thể chỉ thoáng qua trong vài giây nhưng cũng có trường hợp kéo dài nhiều ngày, tùy thuộc vào nguyên nhân gây ra.
Nếu đau buốt răng khi nhai xảy ra thường xuyên và không được xử lý sớm, răng có thể bị tổn thương sâu hơn, ảnh hưởng đến tủy răng, nướu và xương hàm. Về lâu dài, tình trạng này có thể dẫn đến viêm tủy, tiêu xương và thậm chí mất răng vĩnh viễn.

2. Nguyên Nhân Khiến Răng Bị Ê Buốt Khi Nhai
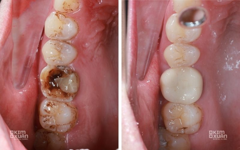
2.1. Sâu răng, viêm tủy răng
Sâu răng bắt đầu từ sự phá hủy men răng, sau đó lan dần xuống ngà răng và tủy răng. Khi răng bị ê buốt khi nhai, đặc biệt lúc ăn thức ăn nóng, lạnh hoặc có tính axit, các kích thích sẽ tác động trực tiếp lên vùng răng bị tổn thương, gây cảm giác đau buốt rõ rệt.
Trong trường hợp viêm tủy răng, áp lực bên trong buồng tủy tăng cao khiến cơn đau buốt khi nhai xuất hiện dữ dội, kéo dài và khó tự thuyên giảm.
2.2. Răng bị chấn thương, nứt mẻ
Răng bị nứt, mẻ hoặc gãy do va chạm, tai nạn hoặc thói quen cắn vật cứng sẽ làm lộ lớp ngà răng nhạy cảm bên trong. Khi ăn nhai, lực tác động lên răng bị tổn thương dễ gây ê buốt răng khi ăn nhai, thậm chí đau nhức từng cơn.
Nếu không được phục hồi kịp thời, vi khuẩn có thể xâm nhập sâu hơn, làm tăng nguy cơ viêm tủy và mất răng.
2.3. Răng bị mài mòn men răng
Men răng có thể bị mài mòn theo thời gian hoặc do các thói quen xấu như chải răng quá mạnh, nghiến răng khi ngủ hoặc dùng răng để cắn mở vật cứng. Khi lớp men bảo vệ bị mỏng đi, ngà răng lộ ra ngoài sẽ khiến răng trở nên nhạy cảm và dễ ê buốt khi nhai.
2.4. Bệnh lý về nướu và tụt lợi
Viêm nướu, viêm nha chu kéo dài có thể gây tụt lợi, làm lộ chân răng - khu vực rất nhạy cảm. Khi ăn nhai, răng dễ bị đau buốt, kèm theo các dấu hiệu như nướu sưng đỏ, chảy máu chân răng hoặc đau nhức âm ỉ.

3. Răng Bị Ê Buốt Khi Nhai Phải Làm Sao?
Khi răng bị ê buốt khi nhai kéo dài hoặc có xu hướng nặng dần, người bệnh không nên chủ quan hay tự ý dùng thuốc giảm đau để cầm chừng. Việc che lấp triệu chứng có thể khiến bệnh lý răng miệng tiến triển âm thầm và khó điều trị hơn về sau.
Thăm khám nha khoa sớm sẽ giúp bác sĩ xác định chính xác nguyên nhân gây ê buốt răng khi ăn nhai, từ đó đưa ra hướng điều trị phù hợp như trám răng, điều trị tủy, phục hồi men răng hoặc xử lý bệnh lý nướu. Can thiệp kịp thời không chỉ giúp giảm đau buốt hiệu quả mà còn bảo tồn răng thật, hạn chế nguy cơ biến chứng và mất răng.
4. Cách Điều Trị Răng Bị Ê Buốt Khi Nhai Hiệu Quả
Tùy theo nguyên nhân gây ê buốt răng khi ăn nhai và mức độ tổn thương, bác sĩ nha khoa có thể chỉ định một trong các phương pháp điều trị sau nhằm giảm đau buốt và bảo tồn răng thật:
Trám răng
-
Áp dụng trong trường hợp sâu răng nhẹ, mòn men răng hoặc răng mẻ nhỏ. Trám răng giúp phục hồi bề mặt răng bị tổn thương, che phủ vùng nhạy cảm và giảm ê buốt khi nhai.
Điều trị tủy răng
-
Cần thiết khi răng bị viêm tủy, đau buốt kéo dài hoặc đau tăng khi ăn nhai. Phương pháp này giúp loại bỏ mô tủy viêm nhiễm, chấm dứt cơn đau và giữ lại răng thật.
Bọc răng sứ
-
Được chỉ định cho răng yếu, răng mòn men nhiều hoặc răng đã điều trị tủy. Bọc răng sứ giúp bảo vệ răng khỏi các kích thích bên ngoài, hạn chế ê buốt và tăng độ bền khi ăn nhai.
Nhổ răng và phục hình
-
Áp dụng khi răng tổn thương nghiêm trọng, không thể bảo tồn. Việc nhổ răng kết hợp phục hình phù hợp giúp tránh ảnh hưởng đến các răng lân cận và đảm bảo chức năng ăn nhai toàn hàm.
Xem Thêm: Giá Bọc Răng Sứ Bao Nhiêu Tiền 1 Chiếc?
Xem Thêm: Trám Răng Sâu Nhẹ Giá Bao Nhiêu?

5. Cách Phòng Ngừa Răng Bị Ê Buốt Khi Nhai
Để hạn chế nguy cơ răng bị ê buốt khi nhai và duy trì sức khỏe răng miệng lâu dài, bạn nên duy trì các thói quen chăm sóc răng miệng sau:
-
Chải răng đúng cách với bàn chải lông mềm, tránh dùng lực quá mạnh làm mòn men răng
-
Sử dụng kem đánh răng dành cho răng nhạy cảm để giảm kích thích lên ngà răng
-
Vệ sinh răng miệng ít nhất 2 lần mỗi ngày, đặc biệt sau bữa ăn
-
Dùng chỉ nha khoa để làm sạch kẽ răng, hạn chế mảng bám và vi khuẩn
-
Hạn chế thức ăn quá nóng, lạnh, chua hoặc nhiều đường - những yếu tố dễ gây ê buốt răng khi ăn nhai
-
Bổ sung thực phẩm giàu canxi và khoáng chất giúp răng chắc khỏe hơn
-
Loại bỏ các thói quen xấu như nghiến răng, cắn vật cứng hoặc dùng răng mở đồ vật
-
Thăm khám răng miệng định kỳ để phát hiện sớm và xử lý kịp thời các vấn đề răng miệng
6. Khi Nào Nên Đi Khám Nha Khoa?
Bạn nên đi khám nha khoa sớm nếu răng bị ê buốt khi nhai có các dấu hiệu sau:
-
Ê buốt kéo dài nhiều ngày, không có dấu hiệu thuyên giảm
-
Cảm giác đau buốt tăng dần khi ăn nhai
-
Ê buốt kèm theo sưng nướu, chảy máu nướu
-
Đau nhức lan rộng sang các răng lân cận hoặc vùng hàm
Việc thăm khám và điều trị kịp thời không chỉ giúp giảm ê buốt răng khi ăn nhai mà còn phát hiện sớm các bệnh lý răng miệng tiềm ẩn, từ đó bảo vệ răng thật và sức khỏe răng miệng lâu dài.
Câu Hỏi Thường Gặp Về Răng Bị Ê Buốt Khi Nhai?
Răng bị ê buốt khi nhai có tự hết không?
-
Trong một số trường hợp nhẹ do kích thích tạm thời, cảm giác ê buốt răng khi nhai có thể giảm dần sau vài ngày. Tuy nhiên, nếu ê buốt kéo dài, tái phát thường xuyên hoặc kèm đau nhức, đây có thể là dấu hiệu của mòn men răng, sâu răng hoặc viêm tủy. Khi đó, tình trạng này khó tự khỏi và cần được thăm khám nha khoa để điều trị đúng nguyên nhân.
Ê buốt răng khi nhai có cần điều trị tủy không?
-
Không phải mọi trường hợp ê buốt răng khi nhai đều cần điều trị tủy. Chỉ khi răng bị viêm tủy hoặc tổn thương sâu vào buồng tủy, bác sĩ mới chỉ định điều trị tủy răng. Việc thăm khám và chụp phim sẽ giúp xác định chính xác mức độ tổn thương và lựa chọn phương pháp điều trị phù hợp, tránh can thiệp không cần thiết.
Răng bị ê buốt khi nhai nên đi khám khi nào?
-
Bạn nên đi khám nha khoa sớm nếu răng bị ê buốt khi nhai kéo dài nhiều ngày, đau buốt tăng dần khi ăn nhai hoặc kèm theo các dấu hiệu như sưng nướu, chảy máu nướu, đau lan sang răng khác. Khám sớm giúp điều trị đơn giản hơn và hạn chế biến chứng về sau.
Kết Luận
Răng bị ê buốt khi nhai là tình trạng khá phổ biến nhưng không nên chủ quan. Việc nhận biết sớm nguyên nhân và điều trị đúng cách sẽ giúp giảm đau buốt hiệu quả, bảo tồn răng thật và duy trì chức năng ăn nhai lâu dài. Bên cạnh đó, xây dựng thói quen chăm sóc răng miệng khoa học và thăm khám nha khoa định kỳ đóng vai trò quan trọng trong việc phòng ngừa ê buốt răng tái phát.
Nếu bạn đang gặp tình trạng ê buốt răng khi nhai kéo dài hoặc cảm giác đau buốt ngày càng rõ rệt, Nha khoa Kim Xuân sẵn sàng hỗ trợ thăm khám, chẩn đoán chính xác nguyên nhân và tư vấn hướng điều trị phù hợp, an toàn cho từng trường hợp.
Nha Khoa Kim Xuân - Bình Thạnh TP. HCM
Địa Chỉ: 165 Ngô Tất Tố, Phường Thạnh Mỹ Tây, Tp Hồ Chí Minh
Hotline: 0899 922 668 (Viber, Zalo, FaceTime)
ZaLo: https://zalo.me/nhakhoakimxuan
WebSite: https://nhakhoakimxuan.com.vn