Trám Răng Inlay Onlay Là Gì? Có Tốt Không? Giá Bao Nhiêu Tiền?
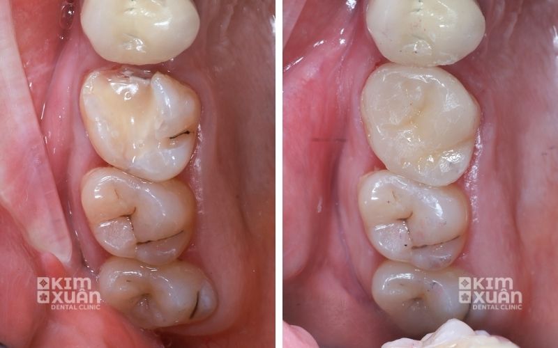
Trám răng Inlay/Onlay là phương pháp phục hồi răng sâu, răng mẻ vỡ hiện đại, được nhiều bác sĩ nha khoa khuyến nghị trong các trường hợp tổn thương mức độ trung bình - khi răng chưa cần bọc răng sứ nhưng trám răng thông thường không còn tối ưu.
Nhờ độ chính xác cao, tính thẩm mỹ tốt và độ bền vượt trội, trám răng Inlay Onlay đang trở thành xu hướng phục hình bảo tồn răng thật được nhiều người lựa chọn hiện nay.

1. Trám Răng Inlay/Onlay Là Gì?
Trám răng Inlay/Onlay là kỹ thuật phục hồi răng bằng miếng trám chế tác sẵn bên ngoài (thường từ sứ nha khoa), sau đó gắn cố định vào phần răng bị tổn thương bằng keo dán nha khoa chuyên dụng.
Khác với trám răng Composite trực tiếp, Inlay/Onlay được thiết kế chính xác theo hình dạng răng, giúp tăng độ bền, khả năng chịu lực và tính thẩm mỹ lâu dài.
1.1. Trám răng Inlay là gì?
Trám răng Inlay là miếng trám nằm bên trong thân răng, không phủ lên múi răng.
Phù hợp với các trường hợp:
-
Răng sâu ngà mức độ vừa
-
Răng nứt, mẻ nhỏ
-
Răng đã điều trị tủy nhưng vẫn còn đủ mô răng khỏe

1.2. Trám răng Onlay là gì?
Trăng răng Onlay có phạm vi phục hồi rộng hơn Inlay, miếng trám sẽ phủ lên một hoặc nhiều múi răng, giúp gia cố răng tốt hơn khi ăn nhai.
Thường được chỉ định khi:
-
Răng sâu lớn
-
Răng mẻ vỡ nhiều múi
-
Răng yếu, cần tăng độ chịu lực nhưng chưa cần bọc răng sứ

2. Trám Răng Inlay/Onlay Ưu Nhược Điểm?
2.1. Ưu điểm của trám răng Inlay/Onlay
Bảo tồn răng thật tối đa
-
Trám răng Inlay/Onlay chỉ mài bỏ phần răng bị tổn thương, không xâm lấn răng lành, giúp bảo tồn cấu trúc răng tự nhiên lâu dài.
Tính thẩm mỹ cao
-
Nhờ ứng dụng công nghệ CAD/CAM, miếng trám được thiết kế chính xác về màu sắc và hình thể, gần như răng thật, rất khó phân biệt khi giao tiếp.
Độ bền và tuổi thọ cao
-
Miếng trám Inlay/Onlay có độ bám dính tốt, khả năng chịu lực nhai cao, tuổi thọ trung bình 15 - 20 năm nếu chăm sóc răng miệng đúng cách.
Dễ vệ sinh - hạn chế sâu răng tái phát
-
Bề mặt miếng trám nhẵn mịn, sát khít viền răng, giúp hạn chế bám thức ăn và mảng bám, từ đó giảm nguy cơ sâu răng tái phát.
Tiết kiệm chi phí về lâu dài
-
So với trám Composite cần thay thế nhiều lần hoặc bọc răng sứ, trám răng Inlay/Onlay mang lại hiệu quả sử dụng bền vững hơn, giúp tiết kiệm chi phí về lâu dài.
2.2. Nhược điểm của trám răng Inlay/Onlay
Bên cạnh nhiều ưu điểm, trám răng Inlay/Onlay cũng có một số hạn chế cần cân nhắc:
-
Chi phí cao hơn so với trám răng thông thường
-
Không phù hợp với răng vỡ quá lớn hoặc mất mô răng nghiêm trọng
-
Yêu cầu bác sĩ có chuyên môn cao và trang thiết bị hiện đại
Xem Thêm: Trám Răng Cửa Bị Mẻ Giá Bao Nhiêu?
3. Trám Răng Inlay/Onlay Có Tốt Không?
CÓ, nếu trám răng Inlay/Onlay được chỉ định đúng tình trạng răng và thực hiện đúng kỹ thuật.
Trong thực tế lâm sàng, Inlay/Onlay được xem là giải pháp trung gian lý tưởng giữa trám răng thông thường và bọc răng sứ, đặc biệt phù hợp với các trường hợp răng tổn thương mức độ vừa. Phương pháp này giúp:
-
Phục hồi chức năng ăn nhai hiệu quả, đảm bảo cảm giác nhai ổn định
-
Duy trì và bảo tồn tối đa cấu trúc răng thật
-
Đảm bảo tính thẩm mỹ và độ bền lâu dài theo thời gian
Xem Thêm: Trám Răng Sâu Bao Nhiêu Tiền? Bảng Giá Chi Tiết
Xem Thêm: Răng Sâu Lỗ To Có Trám Được Không?

4. Giá Trám Răng Inlay/Onlay Bao Nhiêu Tiền 2026?
Hiện nay, giá trám răng Inlay/Onlay bằng sứ CAD/CAM trên thị trường thường dao động từ 4.000.000 - 6.000.000 VNĐ/răng, tùy tình trạng răng và loại sứ sử dụng.
Mức giá này phản ánh:
-
Độ chính xác cao của miếng trám
-
Độ bền và khả năng chịu lực vượt trội
-
Thẩm mỹ tự nhiên và tuổi thọ lâu dài
Chi phí chính xác cần được xác định sau khi bác sĩ thăm khám trực tiếp và đánh giá cụ thể tình trạng răng của từng khách hàng.
Bảng giá trám răng tại Nha khoa Kim Xuân (tham khảo):
|
Dịch Vụ |
Giá Tham Khảo |
|
Trám GIC - Răng sữa |
200.000 VNĐ |
|
Trám Composite - Răng sữa |
300.000 VNĐ |
|
Trám Composite Xoang I - VI (răng vĩnh viễn) |
400.000 VNĐ |
|
Trám Composite Xoang II - III - V (răng vĩnh viễn) |
500.000 VNĐ |
|
Trám Composite Xoang IV - V |
600.000 VNĐ |
|
Trám Sứ Inlay/Onlay (CAD/CAM) |
4.000.000 - 6.000.000 VNĐ |
Xem Thêm: Trám Răng Bị Mẻ Bao Nhiêu Tiền?
Xem Thêm: Bọc Răng Sứ Giá Bao Nhiêu Tại Nha Khoa Kim Xuân

5. Khi Nào Nên Chọn Trám Inlay/Onlay Vì Trám Răng Thường?
Để lựa chọn phương pháp phục hồi phù hợp, bạn có thể tham khảo sự khác biệt giữa trám răng thường và trám răng Inlay/Onlay trong bảng dưới đây:
|
Tiêu Chí |
Trám Răng Thường |
Trám Răng Inlay/Onlay |
|
Độ bền |
Trung bình |
Cao |
|
Thẩm mỹ |
Khá |
Rất cao |
|
Mực độ mài răng |
Ít |
Rất ít |
|
Tuổi thọ |
3 - 5 năm |
15 - 20 năm |
|
Chi phí |
Thấp |
Cao hơn |
Tóm Lại: Nếu răng sâu lớn, mẻ vỡ nhiều hoặc cần phục hồi lâu dài, trám răng Inlay/Onlay là lựa chọn tối ưu hơn so với trám răng thông thường.
Câu Hỏi Thường Gặp Về Trám Răng Inlay/Onlay?
Trám răng Inlay/Onlay có đau không?
-
Không. Quá trình trám răng Inlay/Onlay được thực hiện nhẹ nhàng, có gây tê cục bộ nên hầu như không gây đau hay khó chịu cho khách hàng.
Trám răng Inlay/Onlay có bị bong không?
-
Rất hiếm khi xảy ra tình trạng bong rơi, nếu miếng trám được chế tác đúng kỹ thuật, gắn bằng keo nha khoa chuyên dụng và người bệnh chăm sóc răng miệng đúng cách.
Sau khi trám răng Inlay/Onlay có ăn nhai bình thường không?
-
Có. Sau khi gắn miếng trám, bạn có thể ăn nhai gần như răng thật, cảm giác nhai ổn định và thoải mái.
Kết Luận
Trám răng Inlay/Onlay là giải pháp phục hình bảo tồn răng thật hiệu quả, đặc biệt phù hợp với các trường hợp răng sâu, mẻ vỡ mức độ vừa - khi trám răng thông thường không còn tối ưu nhưng chưa cần bọc răng sứ. Phương pháp này giúp phục hồi chức năng ăn nhai, đảm bảo tính thẩm mỹ và duy trì độ bền lâu dài cho răng.
Tuy nhiên, mỗi tình trạng răng sẽ phù hợp với một phương án điều trị khác nhau. Việc thăm khám và đánh giá trực tiếp là yếu tố quan trọng để lựa chọn giải pháp phục hình an toàn và hiệu quả nhất. Để biết trám răng Inlay/Onlay có phù hợp với tình trạng răng của bạn hay không, bạn nên đến Nha khoa Kim Xuân để được bác sĩ thăm khám, tư vấn chi tiết và xây dựng phác đồ điều trị phù hợp.
Liên hệ ngay Nha khoa Kim Xuân để đặt lịch thăm khám và được tư vấn trực tiếp.
Nha Khoa Kim Xuân - Bình Thạnh TP. HCM
Địa Chỉ: 165 Ngô Tất Tố, Phường Thạnh Mỹ Tây, Tp Hồ Chí Minh
Hotline: 0899 922 668 (Viber, Zalo, FaceTime)
ZaLo: https://zalo.me/nhakhoakimxuan
WebSite: https://nhakhoakimxuan.com.vn