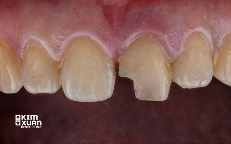
Trám răng bị mẻ là giải pháp nha khoa nhanh chóng, giúp phục hồi răng nứt, vỡ và lấy lại thẩm mỹ cho nụ cười. Đây là một trong những dịch vụ được nhiều khách hàng lựa chọn tại Nha khoa Kim Xuân, nơi ứng dụng công nghệ hiện đại và vật liệu thẩm mỹ cao cấp.
Trong bài viết này, Nha khoa Kim Xuân sẽ chia sẻ đầy đủ: nguyên nhân gây mẻ răng, trám răng có hiệu quả không, chi phí bao nhiêu, có đau không, bền được bao lâu và quy trình thực hiện chuẩn y khoa.

1. Nguyên Nhân Dẫn Đến Tình Trạng Mẻ Răng
Theo bác sĩ tại Nha khoa Kim Xuân, răng có thể bị mẻ bởi nhiều nguyên nhân:
-
Va chạm mạnh: té ngã, tai nạn, chấn thương thể thao.
-
Nghiến răng khi ngủ: tạo áp lực lớn, làm răng yếu và dễ nứt.
-
Thói quen cắn đồ cứng: như xương, kẹo, đá lạnh.
-
Thiếu khoáng chất, men răng yếu: khiến răng giòn, dễ vỡ.
-
Bệnh lý răng miệng: sâu răng, viêm tủy làm suy yếu cấu trúc.
Nếu không điều trị, răng mẻ có thể gây ê buốt, khó nhai, viêm nhiễm và mất thẩm mỹ.

2. Răng Bị Mẻ Có Trám (Hàn) Được Không?
Răng bị mẻ là tình trạng khá phổ biến, có thể xảy ra ở cả răng cửa và răng hàm. Nhiều khách hàng thường thắc mắc: “Răng bị mẻ có trám được không hay phải bọc sứ?”.
-
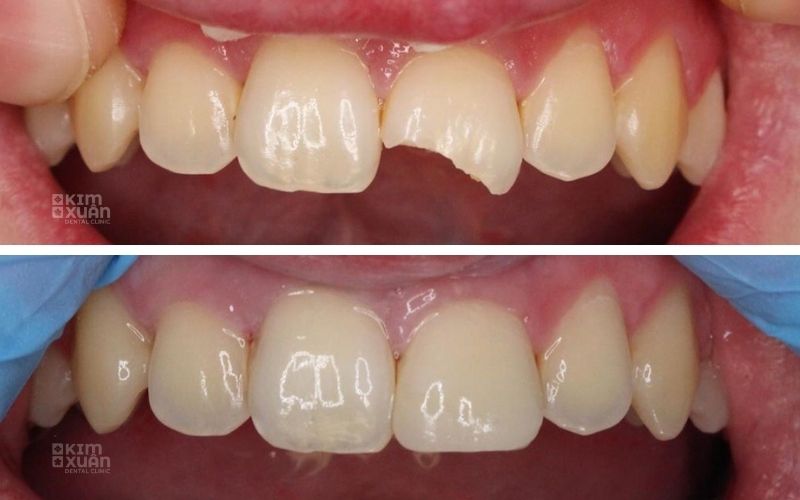
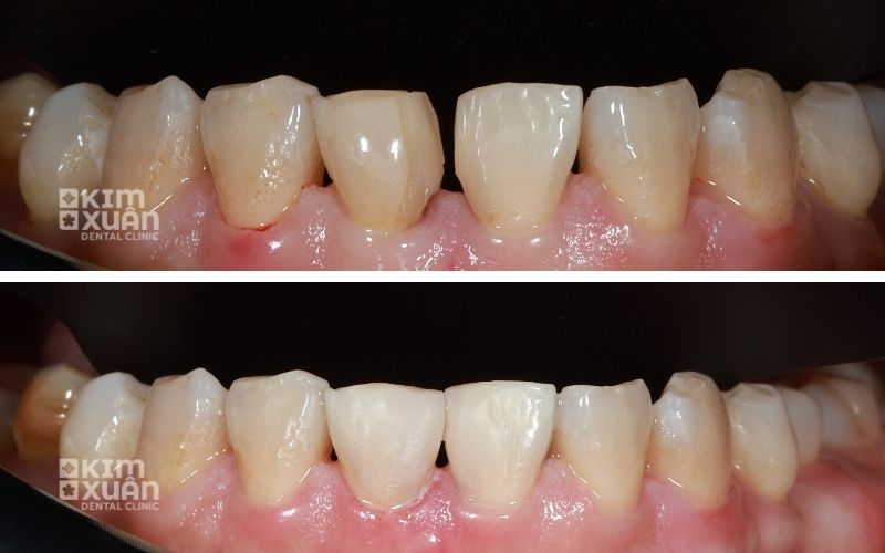
Mẻ nhỏ (dưới 2mm): Bác sĩ thường chỉ định trám Composite thẩm mỹ. Vật liệu này có màu giống răng thật, giúp khôi phục hình dáng và ăn nhai bình thường. Đây là giải pháp nhanh chóng, chi phí hợp lý.
-
Mẻ lớn hoặc vỡ nhiều: Lúc này, trám răng khó đảm bảo độ bền. Bác sĩ tại thường khuyên khách hàng bọc răng sứ hoặc inlay/onlay để bảo tồn mô răng, tăng cường độ chắc chắn và duy trì thẩm mỹ lâu dài.
Tóm lại: Răng mẻ nhỏ có thể trám được, nhưng nếu vết mẻ lớn, giải pháp bọc sứ sẽ an toàn và bền vững hơn. Để biết chính xác tình trạng răng của mình, bạn nên đến trực tiếp Nha khoa Kim Xuân để được bác sĩ thăm khám và tư vấn miễn phí.
Xem Thêm: Những Trường Hợp Nên Bọc Răng Sứ
3. Ưu Điểm, Nhược Điểm Của Trám Răng Composite Cho Răng Mẻ
Trám răng Composite là phương pháp phổ biến để khắc phục tình trạng răng bị mẻ nhỏ. Đây cũng là lựa chọn được nhiều khách hàng tin tưởng khi đến Nha khoa Kim Xuân vì vừa thẩm mỹ, vừa bảo tồn răng thật.
3.1. Ưu Điểm:
-
Thời gian thực hiện nhanh: chỉ 15 - 30 phút là hoàn tất.
-
Không xâm lấn: giữ lại tối đa mô răng thật, không cần mài nhiều.
-
Chi phí hợp lý: thấp hơn so với bọc răng sứ hay inlay/onlay.
-
Thẩm mỹ cao: Composite có màu sắc tự nhiên, gần như không phân biệt với răng thật, đặc biệt phù hợp khi trám răng cửa bị mẻ.
3.2. Nhược Điểm:
-
Độ bền không quá lâu dài: trung bình 2 - 5 năm, tùy chế độ ăn nhai và chăm sóc.
-
Dễ bong, sứt mẻ lại nếu thường xuyên cắn đồ quá cứng hoặc có thói quen nghiến răng.
Xem Thêm: Trám Răng Có Cần Lấy Tủy Không?
4. Khi Nào Nên Bọc Răng Sứ Thay Vì Trám Răng Mẻ?
Không phải trường hợp răng mẻ nào cũng có thể trám được. Với những vết mẻ lớn, phần mô răng yếu, việc trám Composite thường khó đảm bảo độ bền. Lúc này, bọc răng sứ là giải pháp được bác sĩ tại Nha khoa Kim Xuân khuyên dùng.
Các trường hợp nên bọc sứ thay vì trám:
-
Răng mẻ lớn hoặc vỡ nhiều: trám Composite dễ bong tróc, không chịu lực nhai tốt.
-
Răng cửa cần thẩm mỹ cao: bọc sứ hoặc dán sứ veneer mang lại màu sắc đồng đều, che khuyết điểm tốt hơn.
-
Răng đã điều trị tủy: bọc sứ giúp bảo vệ mô răng yếu, hạn chế nứt gãy thêm.
-
Muốn duy trì lâu dài: răng sứ có tuổi thọ 10 - 15 năm hoặc hơn, vượt trội so với trám Composite (2 - 5 năm).
Xem Thêm: Dán Sứ Veneer 2 Răng Cửa Giá Bao Nhiêu?
5. Trám Răng Bị Mẻ Giá Bao Nhiêu?
Chi phí trám răng bị mẻ tại Nha khoa Kim Xuân minh bạch, phụ thuộc vào mức độ tổn thương, vị trí răng và loại vật liệu phục hình. Dưới đây là bảng giá tham khảo:
-
Trám răng bằng Composite cơ bản: 300.000 - 400.000 VNĐ/răng.
-
Trám răng thẩm mỹ bằng Composite cao cấp: 400.000 - 800.000 VNĐ/răng.
-
Trám răng mẻ góc – thẩm mỹ nâng cao: 500.000 - 1.200.000 VNĐ/răng.
-
Trám răng sữa cho trẻ em: 200.000 - 300.000 VNĐ/răng.
-
Trám răng Inlay/Onlay sứ: 3.000.000 - 6.000.000 VNĐ/răng.
-
Bọc răng sứ: 2.500.000 - 6.000.000 VNĐ/răng (tùy chất liệu).
Như vậy, giá trám răng bị mẻ dao động từ 200.000 - 6.000.000 VNĐ/răng, tùy vào tình trạng răng và phương pháp điều trị. Khách hàng có thể chọn giải pháp phù hợp với nhu cầu và ngân sách của mình.
Xem Thêm: Bọc Răng Sứ Giá Bao Nhiêu Tiền? Bảng Giá Chi Tiết
6. Trám Răng Bị Mẻ Có Đau Không?
Đây là một trong những lo lắng phổ biến nhất của khách hàng khi đến Nha khoa Kim Xuân. Thực tế, trám răng cửa bị mẻ là thủ thuật nha khoa đơn giản, ít xâm lấn và hầu như không gây đau.
Trong quá trình thực hiện:
-
Bác sĩ sẽ gây tê cục bộ (nếu cần) để khách hàng hoàn toàn thoải mái, không cảm thấy đau buốt.
-
Toàn bộ quy trình chỉ mất khoảng 15 - 30 phút, thao tác nhẹ nhàng và không ảnh hưởng đến cấu trúc răng xung quanh.
-
Sau khi trám, có thể xuất hiện cảm giác ê nhẹ trong vài giờ đầu nhưng sẽ nhanh chóng biến mất, không ảnh hưởng đến sinh hoạt hằng ngày.
Xem Thêm: Trám Răng Bị Nhức Nguyên Nhân Và Cách Điều Trị Hiệu Quả
7. Trám Răng Mẻ Có Bền Không? Giữ Được Bao Lâu?
Thực tế, độ bền của miếng trám phụ thuộc vào vật liệu sử dụng, vị trí răng và cách chăm sóc sau điều trị:
-
Trám Composite thẩm mỹ: duy trì trung bình 2 - 5 năm, phù hợp cho răng mẻ nhỏ và răng cửa cần tính thẩm mỹ.
-
Inlay/Onlay sứ: có độ bền cao hơn, khoảng 8 - 10 năm, chịu lực tốt, thường áp dụng cho răng hàm bị vỡ lớn.
-
Bọc răng sứ toàn phần: giải pháp lâu dài nhất, tuổi thọ 10 - 15 năm hoặc hơn nếu được chăm sóc đúng cách.
Mẹo để miếng trám bền lâu:
-
Tránh nhai, cắn những đồ quá cứng.
-
Hạn chế các thực phẩm dễ gây nhiễm màu như trà, cà phê, thuốc lá.
-
Vệ sinh răng miệng đúng cách và khám định kỳ 6 tháng/lần tại Nha khoa Kim Xuân để kiểm tra tình trạng miếng trám.
Xem Thêm: Trám Răng Inlay/Onlay Ưu Nhược Điểm - Giá Bao Nhiêu?
8. Quy Trình Trám Răng Bị Mẻ Tại Nha Khoa Kim Xuân
Tại Nha khoa Kim Xuân, quy trình trám răng được thực hiện theo tiêu chuẩn quốc tế, đảm bảo an toàn và thẩm mỹ. Thời gian thực hiện trung bình chỉ 20–30 phút, gồm các bước sau:
8.1. Thăm khám và chẩn đoán
-
Bác sĩ kiểm tra lâm sàng, chụp phim X-quang (nếu cần) để đánh giá chính xác mức độ mẻ răng.
8.2. Vệ sinh và gây tê nhẹ
-
Làm sạch bề mặt răng và vùng xung quanh. Gây tê cục bộ giúp khách hàng thoải mái, hầu như không cảm thấy đau.
8.3. Tạo hình và đặt vật liệu trám
-
Bác sĩ tạo hình xoang trám phù hợp, đặt vật liệu Composite thẩm mỹ, sau đó chiếu đèn quang trùng hợp để cố định.
8.4. Điều chỉnh và hoàn thiện
-
Kiểm tra khớp cắn, mài chỉnh nếu cần, rồi đánh bóng bề mặt. Kết quả là chiếc răng được phục hồi tự nhiên, khó phân biệt với răng thật.
9. Răng Mẻ Có Nguy Hiểm Không Nếu Không Điều Trị?
Nhiều khách hàng chủ quan nghĩ rằng răng mẻ chỉ ảnh hưởng thẩm mỹ. Tuy nhiên, nếu không được điều trị kịp thời, răng mẻ có thể gây ra nhiều hệ lụy nghiêm trọng:
-
Nguy cơ sâu răng, viêm tủy: phần men răng bị mất đi sẽ làm ngà răng lộ ra, dễ bị vi khuẩn tấn công và gây sâu, viêm tủy.
-
Răng yếu, dễ vỡ thêm: răng đã tổn thương sẽ giòn hơn, dễ gãy nứt nhiều hơn khi ăn nhai.
-
Ảnh hưởng thẩm mỹ: đặc biệt ở răng cửa, răng mẻ làm nụ cười kém tự tin, ảnh hưởng giao tiếp.
-
Giảm chức năng ăn nhai: răng mẻ lớn có thể khiến thức ăn mắc kẹt, gây ê buốt khi nhai.
Xem Thêm: Dấu Hiệu Nhận Biết Viêm Tủy Răng Khi Nào Cần Điều Trị
10. Cách Chăm Sóc Răng Sau Khi Trám
-
Ăn uống nhẹ nhàng trong 24 giờ đầu.
-
Tránh nhai trực tiếp đồ cứng.
-
Vệ sinh răng đúng cách với bàn chải lông mềm, chỉ nha khoa.
-
Tái khám định kỳ để kiểm tra vết trám.
Kết Luận
Tùy theo mức độ tổn thương mà phương án điều trị răng mẻ sẽ khác nhau:
-
Răng mẻ nhỏ: Trám răng Composite thẩm mỹ tại Nha khoa Kim Xuân là lựa chọn nhanh chóng, chi phí hợp lý và an toàn, giúp khôi phục hình dáng tự nhiên của răng.
-
Răng mẻ lớn hoặc vỡ nhiều: Bọc răng sứ hoặc inlay/onlay sẽ mang lại hiệu quả lâu dài hơn, đảm bảo tính thẩm mỹ và độ bền chắc khi ăn nhai.
Nếu bạn đang gặp tình trạng răng mẻ, đừng chủ quan. Hãy đến Nha khoa Kim Xuân để được bác sĩ thăm khám và tư vấn phương pháp tối ưu nhất cho sức khỏe răng miệng và nụ cười tự tin.
Câu Hỏi Thường Gặp?
Trám răng bị mẻ giá bao nhiêu?
-
Chi phí trám răng bị mẻ tại Nha khoa Kim Xuân dao động từ 200.000 - 1.200.000 VNĐ/răng đối với trám Composite, và từ 3.000.000 - 6.000.000 VNĐ/răng đối với Inlay/Onlay sứ. Giá cụ thể phụ thuộc vào mức độ mẻ, vị trí răng và vật liệu phục hình.
Trám răng có đau không?
-
Thực tế, trám răng là thủ thuật nha khoa đơn giản, ít xâm lấn và hầu như không gây đau. Bác sĩ có thể gây tê nhẹ để bạn thoải mái trong quá trình thực hiện. Sau khi trám, có thể ê nhẹ trong vài giờ đầu nhưng sẽ nhanh chóng hết.
Trám răng Composite giữ được bao lâu?
-
Độ bền của miếng trám Composite trung bình từ 2 - 5 năm, tùy vào vị trí răng và thói quen ăn uống. Nếu muốn duy trì lâu hơn, khách hàng có thể lựa chọn Inlay/Onlay sứ (8 - 10 năm) hoặc bọc răng sứ (10 – 15 năm).
Sau trám răng có cần kiêng gì?
-
Trong 24 giờ đầu sau khi trám răng, bạn nên tránh nhai đồ quá cứng, hạn chế thức ăn quá nóng hoặc lạnh. Ngoài ra, nên hạn chế trà, cà phê, thuốc lá để miếng trám không bị đổi màu. Giữ vệ sinh răng miệng đúng cách và khám định kỳ tại Nha khoa sẽ giúp miếng trám bền chắc lâu dài.
Xem Thêm Bài Viết Liên Quan
LIÊN HỆ NGAY VỚI NHA KHOA KIM XUÂN ĐỂ ĐƯỢC TƯ VẤN MIỄN PHÍ.
HOTLINE: 0899 922 668 ( Viber, Zalo, FaceTime )
ĐỊA CHỈ: 165 Ngô Tất Tố, Phường 22, Quận Bình Thạnh. TP HCM
ZALO: https://zalo.me/nhakhoakimxuan
WEBSITE: https://nhakhoakimxuan.com.vn

