
Bọc răng sứ là phương pháp thẩm mỹ nha khoa hiện đại giúp phục hồi những răng bị sâu, mẻ, vỡ, lệch lạc hoặc xỉn màu, mang đến nụ cười đều đẹp và khả năng ăn nhai chắc khỏe như răng thật.
Quy trình bọc răng sứ thẩm mỹ đòi hỏi sự tỉ mỉ và chính xác cao, tuân thủ nghiêm ngặt các tiêu chuẩn an toàn để bảo tồn tối đa răng thật. Thông thường, quá trình này gồm 5 bước chính: thăm khám - tư vấn, vệ sinh - điều trị răng miệng (nếu có), mài cùi - lấy dấu, chế tác mão sứ, thử và gắn cố định.
Ở giai đoạn đầu, bác sĩ sẽ kiểm tra tổng quát tình trạng răng, tư vấn loại sứ phù hợp và lập kế hoạch điều trị chi tiết. Khi hoàn thiện, răng sứ được gắn cố định, mang lại vẻ đẹp tự nhiên, cảm giác ăn nhai thoải mái và độ bền lâu dài.
1. Bọc Răng Sứ Là Gì? Khi Nào Nên Thực Hiện?
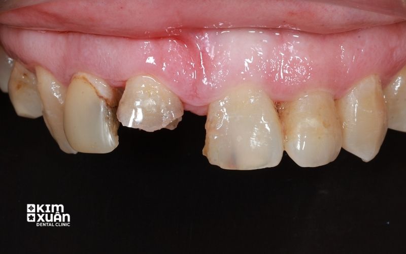
Bọc răng sứ là phương pháp phục hình thẩm mỹ giúp khôi phục hình dáng, màu sắc và khả năng ăn nhai cho răng bị hư tổn, sâu lớn, mẻ vỡ hoặc xỉn màu nặng. Một mão răng sứ được chế tác theo hình dáng răng thật, ôm trọn thân răng để bảo vệ răng thật và tạo nụ cười trắng sáng, tự nhiên.
Trường hợp nên bọc răng sứ:
-
Răng sứt mẻ, mòn hoặc vỡ lớn.
-
Răng sâu, viêm tủy răng sau điều trị.
-
Răng lệch, thưa nhẹ, hô hoặc móm nhẹ.
-
Răng xỉn màu, nhiễm tetracycline.
-
Người muốn làm răng sứ thẩm mỹ để cải thiện nụ cười.
Xem Thêm: Trám Răng Bị Mẻ Có Được Không? Giá Bao Nhiêu?
2. Quy Trình Bọc Răng Sứ Chuẩn 5 Bước Tại Nha Khoa Kim Xuân
Tại Nha khoa Kim Xuân TP.HCM, quy trình bọc răng sứ thẩm mỹ được thực hiện theo tiêu chuẩn y khoa quốc tế, đảm bảo an toàn, chính xác và bảo tồn tối đa răng thật.
Bước 1: Khám tổng quát, chụp CT 3D và tư vấn kế hoạch bọc răng sứ
-
Bác sĩ kiểm tra tổng thể răng miệng, chụp phim CT 3D để đánh giá cấu trúc xương hàm, răng thật và tình trạng nướu. Sau đó, tư vấn loại răng sứ zirconia, Emax, Cercon HT hoặc răng sứ toàn sứ phù hợp với nhu cầu thẩm mỹ và tài chính.
Bước 2: Làm sạch và điều trị bệnh lý răng miệng (nếu có)
-
Răng sẽ được làm sạch cao răng, mảng bám và điều trị sâu, viêm nướu nếu phát hiện. Việc này giúp môi trường khoang miệng khỏe mạnh, hạn chế viêm nhiễm khi tiến hành bọc răng sứ.
Bước 3: Gây tê - mài cùi răng - lấy dấu kỹ thuật số
-
Khách hàng được gây tê cục bộ nên quá trình mài cùi răng sứ hoàn toàn không đau. Bác sĩ chỉ mài một lớp mỏng 0.5–2mm, bảo tồn tối đa mô răng thật. Sau đó, tiến hành scan kỹ thuật số 3D để lấy dấu răng, chuyển dữ liệu đến Labo Kim Xuân chế tác mão sứ chính xác tuyệt đối.
Trong thời gian chờ, khách hàng được gắn răng sứ tạm để đảm bảo ăn nhai và thẩm mỹ bình thường.
Bước 4: Thử răng sứ và tinh chỉnh (nếu cần)
-
Sau 2 - 5 ngày, mão sứ được hoàn thiện và gắn thử để kiểm tra độ khít, màu sắc và khớp cắn. Nếu cần, bác sĩ tinh chỉnh nhẹ để đảm bảo răng sứ thẩm mỹ tự nhiên nhất.
Bước 5: Gắn răng sứ cố định và tái khám định kỳ
-
Bác sĩ sử dụng keo nha khoa chuyên dụng để cố định mão sứ vĩnh viễn. Sau khi hoàn tất, khách hàng được hướng dẫn chăm sóc, vệ sinh và tái khám định kỳ 6 tháng/lần để duy trì độ bền và kiểm tra tình trạng răng bọc sứ.
Xem Thêm: Trông Răng Hàm Bị Sâu Giá Bao Nhiêu? Các Phương Pháp Phổ Biến Hiện Nay
3. Vì Sao Cần Tuân Thủ Quy Trình Bọc Răng Sứ Chuẩn Y Khoa?
-
An toàn tuyệt đối: Quy trình chuẩn hạn chế ê buốt, viêm nướu, biến chứng sau bọc.
-
Bảo tồn răng thật: Mài răng đúng tỷ lệ, không ảnh hưởng tủy.
-
Thẩm mỹ tự nhiên: Mão sứ vừa khít, màu sắc hài hòa, răng sáng tự nhiên.
-
Độ bền cao: Răng sứ zirconia hoặc Emax có thể bền 10 - 20 năm.
Xem Thêm: Bọc Răng Sứ Bị Viêm Lợi Nguyên Nhân Và Cách Điều Trị
4. Các Phương Pháp Bọc Răng Sứ Phổ Biến
4.1. Bọc mão răng sứ
-
Áp dụng khi răng bị sâu lớn, vỡ hoặc đã lấy tủy. Bác sĩ mài răng và gắn mão sứ lên trên để bảo vệ và phục hồi chức năng nhai.
4.2. Làm cầu răng sứ
-
Dành cho người mất 1 - 2 răng, dùng 2 răng kế cận làm trụ nâng cầu sứ. Giải pháp này phục hồi thẩm mỹ và ăn nhai nhanh chóng.
4.3. Trồng răng sứ trên trụ Implant
-
Phục hình toàn diện bằng cách cấy trụ Implant thay chân răng thật, sau đó gắn mão sứ lên trên. Cảm giác ăn nhai và thẩm mỹ như răng thật
Xem Thêm: Trồng Răng Implant Giá Bao Nhiêu? Bảng Giá Mới 2025
5. Bọc Răng Sứ Giá Bao Nhiêu Năm 2025?
Tùy loại sứ và kỹ thuật chế tác, giá bọc răng sứ 2025 tại Kim Xuân dao động:
-
Răng sứ kim loại: 1.500.000 - 2.500.000 VNĐ/răng
-
Răng sứ Titan: 3.000.000 - 4.000.000 VNĐ/răng
-
Răng sứ Zirconia/Cercon HT: 5.000.000 - 7.000.000 VNĐ/răng
-
Răng sứ Emax/Lava Plus: 8.000.000 - 10.000.000 VNĐ/răng
Khách hàng được tư vấn miễn phí và lên kế hoạch bọc răng sứ cá nhân hóa, phù hợp thẩm mỹ - ngân sách.
Xem Thêm: Răng Sứ Kim Loại Là Gì? Ưu Nhược Điểm
Xem Thêm: Răng Sứ Zirconia Là Gì? Có Tốt Không?
6. Bọc Răng Sứ Có Đau Không?
Khi thực hiện bọc răng sứ, bác sĩ sẽ gây tê cục bộ vùng răng cần điều trị, nên bạn hoàn toàn không cảm thấy đau. Nhờ ứng dụng Digital Scan 3D và kỹ thuật mài răng chính xác cao, chỉ cần mài một lớp mỏng khoảng 0,5 - 1mm, vừa đảm bảo thẩm mỹ vừa bảo tồn răng thật và giảm thiểu ê buốt tối đa.
Sau khi hoàn tất, răng có thể hơi ê nhẹ 1 - 2 ngày đầu, đặc biệt khi ăn đồ nóng hoặc lạnh, nhưng cảm giác này sẽ biến mất nhanh chóng.
Tại Nha khoa Kim Xuân, bác sĩ luôn theo dõi sát sao sau khi bọc sứ và hướng dẫn khách hàng chăm sóc răng đúng cách, sử dụng thuốc giảm ê nhẹ nếu cần, đảm bảo trải nghiệm thoải mái, an toàn và dễ chịu nhất.
Xem Thêm: Bọc Răng Sứ Bị Ê Buốt Phải Làm Sao?
7. Cách Chăm Sóc Răng Sau Khi Bọc Răng Sứ
Cách chăm sóc răng sứ sau khi bọc rất quan trọng để giúp răng bền đẹp và sáng bóng lâu dài. Sau khi bọc răng sứ, bạn nên duy trì thói quen vệ sinh răng miệng đúng cách: đánh răng 2 - 3 lần/ngày bằng bàn chải lông mềm, kết hợp chỉ nha khoa hoặc máy tăm nước để làm sạch kẽ răng, tránh mảng bám tích tụ.
Đồng thời, hạn chế ăn thực phẩm quá cứng, dính hoặc có màu đậm vì dễ làm trầy xước bề mặt sứ. Cuối cùng, đừng quên tái khám định kỳ 6 tháng/lần tại Nha khoa Kim Xuân để bác sĩ kiểm tra, vệ sinh chuyên sâu và giúp răng sứ luôn sáng bóng, bền đẹp như mới.
Xem Thêm: Sau Khi Bọc Răng Sứ Nên Kiêng Gì, Ăn Gì?
Kết Luận
Bọc răng sứ là một trong những giải pháp thẩm mỹ nha khoa được ưa chuộng hiện nay, giúp khôi phục hình dáng, màu sắc và chức năng ăn nhai cho răng hư tổn. Nếu được thực hiện đúng kỹ thuật, răng sứ có thể duy trì độ bền và vẻ đẹp tự nhiên suốt 10 - 20 năm.
Tại Nha khoa Kim Xuân TP.HCM, mỗi ca bọc răng sứ thẩm mỹ đều được bác sĩ chuyên sâu thực hiện theo quy trình chuẩn y khoa, ứng dụng công nghệ Digital Scan 3D hiện đại để đảm bảo độ chính xác và thẩm mỹ cao nhất.
Nếu bạn đang tìm giải pháp giúp nụ cười rạng rỡ và răng chắc khỏe hơn, hãy liên hệ Nha khoa Kim Xuân để được tư vấn và chụp CT 3D miễn phí - chúng tôi sẽ giúp bạn sở hữu hàm răng đều đẹp, tự tin mỗi ngày
LIÊN HỆ NGAY VỚI NHA KHOA KIM XUÂN ĐỂ ĐƯỢC TƯ VẤN MIỄN PHÍ
HOTLINE: 0899 922 668 ( Viber, Zalo, FaceTime )
ĐỊA CHỈ: 165 Ngô Tất Tố, Phường 22, Quận Bình Thạnh. TP HCM
ZALO: https://zalo.me/nhakhoakimxuan
WEBSITE: https://nhakhoakimxuan.com.vn