Chữa Tụt Lợi Giá Bao Nhiêu Tiền? Chi Phí Điều Trị Tụt Lợi Chân Răng Mới Nhất
Chữa tụt lợi bao nhiêu tiền là câu hỏi được nhiều người quan tâm khi gặp tình trạng tụt lợi chân răng. Đây là hiện tượng nướu bị co lại và tụt xuống phía chân răng, khiến phần chân răng bị lộ ra ngoài. Khi nướu tụt, răng thường trở nên nhạy cảm, dễ ê buốt khi ăn uống và ảnh hưởng đến thẩm mỹ nụ cười.
Nếu không điều trị kịp thời, tụt lợi chân răng có thể dẫn đến viêm nha chu hoặc tiêu xương quanh răng. Vì vậy, nhiều người thắc mắc chữa tụt lợi bao nhiêu tiền và chi phí điều trị tụt lợi hiện nay là bao nhiêu. Dưới đây là mức chi phí tham khảo theo từng giai đoạn.

2. Chữa Tụt Lợi Bao Nhiêu Tiền Theo Từng Mức Độ
Chi phí chữa tụt lợi chân răng phụ thuộc vào mức độ tổn thương nướu và phương pháp điều trị. Khi thăm khám, bác sĩ sẽ đánh giá tình trạng tụt lợi để đưa ra hướng điều trị phù hợp.
2.1. Tụt lợi giai đoạn nhẹ - chi phí điều trị bao nhiêu?
Ở giai đoạn đầu, nướu chỉ tụt nhẹ và phần chân răng mới bắt đầu lộ ra. Người bệnh có thể nhận thấy răng trông dài hơn bình thường hoặc hơi ê buốt khi ăn đồ lạnh.
Trong trường hợp này, bác sĩ thường chỉ định cạo vôi răng và làm sạch mảng bám nhằm loại bỏ vi khuẩn gây viêm nướu - nguyên nhân phổ biến dẫn đến tụt lợi.
Chi phí điều trị: Khoảng 200.000 - 500.000 VNĐ/lần, tùy thuộc vào lượng cao răng và tình trạng răng miệng.
Xem Thêm: Giá Cạo Vôi Răng Bao Nhiêu Tiền?
2.2. Tụt lợi giai đoạn trung bình - chi phí chữa tụt lợi
Khi tụt lợi tiến triển nặng hơn, chân răng lộ ra nhiều hơn và người bệnh có thể cảm thấy ê buốt khi ăn uống hoặc khi vệ sinh răng miệng.
Các phương pháp điều trị thường gồm:
-
Cạo vôi răng và làm sạch túi nha chu
-
Bôi hoặc ngậm gel Fluoride giúp giảm ê buốt
-
Trám cổ răng để bảo vệ phần chân răng bị lộ
Chi phí điều trị: Thường dao động 500.000 - 1.500.000 VNĐ/răng, tùy vào mức độ tổn thương.
Xem Thêm: Chi Phí Trám Răng Sâu Giá bao Nhiêu?
2.3. Tụt lợi giai đoạn nặng - chi phí ghép lợi bao nhiêu tiền?
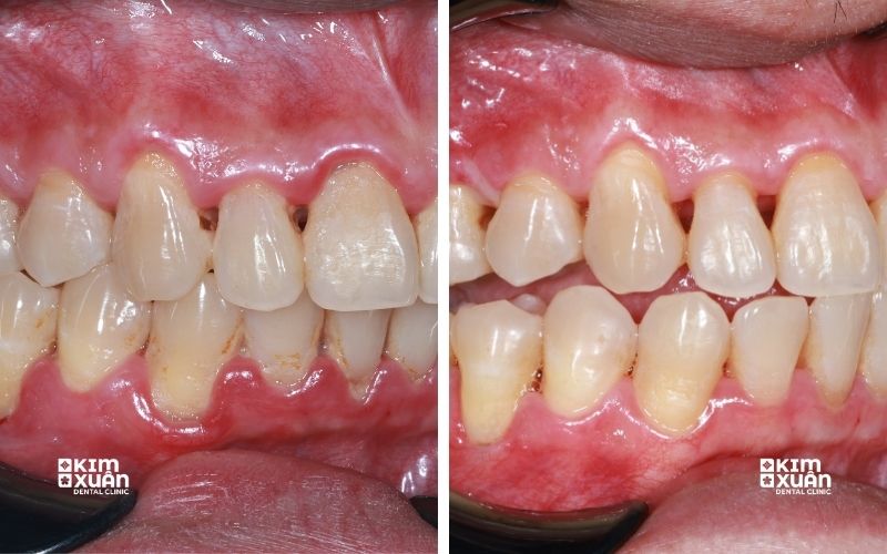
Ở giai đoạn nặng, phần nướu tụt sâu khiến chân răng lộ rõ và răng trở nên nhạy cảm hơn. Thức ăn dễ mắc vào kẽ răng và nguy cơ viêm nha chu, tiêu xương quanh răng cũng tăng cao.
Trong trường hợp này, bác sĩ có thể chỉ định phẫu thuật ghép lợi (ghép nướu) nhằm che phủ phần chân răng bị lộ và bảo vệ mô nha chu.
Chi phí phẫu thuật ghép lợi: Khoảng 5.000.000 - 10.000.000 VNĐ/răng, tùy vào mức độ tụt lợi và kỹ thuật điều trị.

3. Những Yếu Tố Ảnh Hưởng Đến Chi Phí Chữa Tụt Lợi Chân Răng
Chi phí chữa tụt lợi chân răng không cố định mà có thể thay đổi tùy vào nhiều yếu tố như mức độ bệnh, phương pháp điều trị và tình trạng răng miệng của từng người. Dưới đây là những yếu tố ảnh hưởng trực tiếp đến chi phí điều trị tụt lợi.
3.1. Mức độ tụt lợi
Nếu tụt lợi được phát hiện ở giai đoạn sớm, việc điều trị thường đơn giản như cạo vôi răng và kiểm soát viêm nướu nên chi phí khá thấp.
Ngược lại, khi tụt lợi tiến triển nặng, chân răng lộ nhiều hoặc xuất hiện tiêu xương quanh răng, bác sĩ có thể phải chỉ định phẫu thuật ghép lợi hoặc các kỹ thuật nha chu chuyên sâu, khiến chi phí điều trị cao hơn.
3.2. Phương pháp điều trị
Tùy vào tình trạng tụt lợi chân răng, bác sĩ sẽ chỉ định phương pháp điều trị phù hợp như:
-
Cạo vôi răng và làm sạch túi nha chu
-
Trám cổ răng để bảo vệ phần chân răng bị lộ
-
Bôi Fluoride giảm ê buốt
-
Phẫu thuật ghép nướu (ghép lợi)
Mỗi phương pháp sẽ có mức chi phí chữa tụt lợi khác nhau.
3.3. Tình trạng răng miệng tổng thể
Nếu bệnh nhân mắc thêm các bệnh lý như viêm nha chu, tiêu xương hàm hoặc sâu răng, bác sĩ cần điều trị các vấn đề này trước khi tiến hành phục hồi nướu. Điều này có thể làm tăng tổng chi phí điều trị tụt lợi chân răng.
3.4. Cơ sở nha khoa điều trị
Trang thiết bị, công nghệ điều trị và kinh nghiệm của bác sĩ cũng ảnh hưởng đến chi phí. Những nha khoa có đội ngũ bác sĩ chuyên môn cao và hệ thống thiết bị hiện đại thường mang lại kết quả điều trị an toàn và ổn định hơn.
Vì vậy, người bệnh nên lựa chọn nha khoa uy tín để đảm bảo hiệu quả điều trị lâu dài.

4. Khi Nào Nên Điều Trị Tụt Lợi Chân Răng?
Tụt lợi chân răng nếu không được điều trị sớm có thể khiến răng trở nên nhạy cảm, dễ viêm nha chu và thậm chí dẫn đến mất răng. Vì vậy, bạn nên đến nha khoa thăm khám khi xuất hiện các dấu hiệu sau:
-
Nướu tụt xuống và lộ phần chân răng
-
Răng trông dài hơn bình thường
-
Ê buốt khi ăn đồ nóng, lạnh hoặc chua
-
Nướu dễ chảy máu khi đánh răng
-
Thức ăn thường xuyên mắc vào kẽ răng
Việc phát hiện và điều trị tụt lợi chân răng sớm không chỉ giúp giảm chi phí chữa tụt lợi mà còn hạn chế nguy cơ viêm nha chu, tiêu xương và mất răng về sau.
Xem Thêm: Răng Ê Buốt Khi Nhai Nguyên Nhân Và Cách Điều Trị

5. Cách Phòng Ngừa Tụt Lợi Chân Răng
Tụt lợi chân răng hoàn toàn có thể phòng ngừa nếu bạn duy trì thói quen chăm sóc răng miệng đúng cách. Dưới đây là những cách giúp giảm nguy cơ tụt lợi và các bệnh lý nha chu:
-
Đánh răng đúng cách với bàn chải lông mềm để tránh làm tổn thương nướu
-
Vệ sinh răng miệng ít nhất 2 lần mỗi ngày
-
Sử dụng chỉ nha khoa hoặc tăm nước để làm sạch kẽ răng
-
Lấy cao răng định kỳ 6 tháng/lần để loại bỏ mảng bám và vi khuẩn
-
Khám răng định kỳ để phát hiện sớm các bệnh lý răng miệng và tụt lợi chân răng
Duy trì thói quen chăm sóc răng miệng đúng cách không chỉ giúp phòng ngừa tụt lợi chân răng mà còn bảo vệ sức khỏe răng miệng lâu dài.
6. Câu Hỏi Thường Gặp?
6.1. Chữa tụt lợi bao nhiêu tiền?
Chi phí chữa tụt lợi phụ thuộc vào mức độ bệnh và phương pháp điều trị. Nếu tụt lợi nhẹ, chi phí cạo vôi răng chỉ khoảng 200.000 - 500.000 VNĐ. Trường hợp tụt lợi nặng cần phẫu thuật ghép lợi, chi phí có thể dao động khoảng 5.000.000 - 7.000.000 VNĐ/răng.
6.2. Tụt lợi chân răng có tự khỏi không?
Tụt lợi chân răng thường không thể tự phục hồi nếu không được điều trị. Khi nướu đã tụt xuống, phần chân răng sẽ lộ ra ngoài và có thể gây ê buốt hoặc viêm nha chu. Vì vậy, người bệnh nên đến nha khoa để được thăm khám và điều trị sớm.
6.3. Chữa tụt lợi có đau không?
Quá trình điều trị tụt lợi thường không gây đau nhiều vì bác sĩ sẽ sử dụng thuốc tê hoặc các phương pháp điều trị nhẹ nhàng. Sau điều trị, người bệnh có thể cảm thấy hơi ê buốt trong thời gian ngắn nhưng sẽ nhanh chóng ổn định.
6.4. Tụt lợi chân răng có nguy hiểm không?
Nếu không điều trị kịp thời, tụt lợi có thể dẫn đến viêm nha chu, tiêu xương quanh răng và lung lay răng. Vì vậy, khi nhận thấy dấu hiệu nướu tụt hoặc răng bị ê buốt, bạn nên đến nha khoa kiểm tra sớm.
6.5. Làm sao để phòng ngừa tụt lợi chân răng?
Để phòng ngừa tụt lợi, bạn nên đánh răng đúng cách với bàn chải lông mềm, sử dụng chỉ nha khoa và lấy cao răng định kỳ. Ngoài ra, việc khám răng định kỳ 6 tháng/lần sẽ giúp phát hiện sớm các bệnh lý nha chu.
7. Kết Luận
Chi phí chữa tụt lợi chân răng bao nhiêu tiền sẽ phụ thuộc vào mức độ tụt lợi, tình trạng răng miệng và phương pháp điều trị mà bác sĩ chỉ định. Nếu được phát hiện sớm, việc điều trị thường đơn giản và chi phí thấp hơn. Ngược lại, khi tụt lợi tiến triển nặng có thể cần các phương pháp chuyên sâu như điều trị nha chu hoặc ghép lợi, khiến chi phí cao hơn.
Vì vậy, khi nhận thấy các dấu hiệu như nướu tụt, lộ chân răng, ê buốt khi ăn uống hoặc chảy máu nướu, bạn nên thăm khám sớm để được chẩn đoán và điều trị kịp thời.
Nếu bạn đang gặp tình trạng tụt lợi chân răng, hãy đến Nha khoa Kim Xuân để được bác sĩ thăm khám và tư vấn phương pháp điều trị phù hợp. Việc điều trị sớm sẽ giúp bảo vệ răng và hạn chế các biến chứng về sau. Liên hệ Nha khoa Kim Xuân để được bác sĩ tư vấn chi tiết và đặt lịch thăm khám sớm.
Nha Khoa Kim Xuân - Bình Thạnh TP. HCM
Địa Chỉ: 165 Ngô Tất Tố, Phường Thạnh Mỹ Tây, Tp Hồ Chí Minh
Hotline: 0899 922 668 (Viber, Zalo, FaceTime)
ZaLo: https://zalo.me/nhakhoakimxuan
WebSite: https://nhakhoakimxuan.com.vn