Niềng Răng Cho Trẻ 8 Tuổi Có Nên Không? Thời Điểm Vàng Hay Quá Sớm?
Niềng răng cho trẻ 8 tuổi (giai đoạn răng hỗn hợp) được xem là thời điểm vàng để can thiệp sớm, giúp định hướng xương hàm phát triển đúng hướng, tạo khoảng cho răng vĩnh viễn mọc đều và giảm nguy cơ phải nhổ răng sau này. Khi trẻ xuất hiện các dấu hiệu như răng lệch lạc, hô, móm hoặc chen chúc, việc thăm khám chỉnh nha sớm và áp dụng các phương pháp phù hợp như khí cụ tháo lắp (Trainer), khí cụ chức năng (Facemask) hoặc Invisalign First có thể mang lại hiệu quả cao, nhẹ nhàng và ít xâm lấn. Vậy có nên niềng răng cho trẻ 8 tuổi hay còn quá sớm?
Thực tế, thời điểm điều trị sẽ phụ thuộc vào từng tình trạng cụ thể, nhưng can thiệp đúng lúc không chỉ cải thiện thẩm mỹ mà còn hỗ trợ chức năng ăn nhai, phát âm và sự phát triển hàm mặt toàn diện. Trong bài viết này, bạn sẽ hiểu rõ khi nào nên niềng răng cho trẻ 8 tuổi, đâu là phương pháp phù hợp và cách lựa chọn hướng điều trị hiệu quả nhất cho con.

1. Trẻ 8 Tuổi Có Nên Niềng Răng Không?
Câu trả lời là: Có - nhưng cần đánh giá đúng từng trường hợp cụ thể. Ở tuổi 8, trẻ đang bước vào giai đoạn răng hỗn hợp - khi răng sữa chưa thay hết, răng vĩnh viễn bắt đầu mọc và xương hàm vẫn còn mềm, dễ điều chỉnh. Đây chính là “thời điểm vàng” để can thiệp chỉnh nha sớm nếu xuất hiện các dấu hiệu sai lệch như răng hô, móm, chen chúc hoặc lệch khớp cắn.
Lợi ích khi niềng răng sớm cho trẻ 8 tuổi:
-
Dễ dàng định hướng sự phát triển của xương hàm
-
Hỗ trợ răng vĩnh viễn mọc đúng vị trí
-
Giảm nguy cơ phải nhổ răng hoặc điều trị phức tạp sau này
Tuy nhiên, không phải trẻ nào cũng cần niềng răng ngay.
Trong một số trường hợp, bác sĩ có thể chỉ định theo dõi thêm, chẳng hạn như:
-
Trẻ thay răng chậm, chưa đủ điều kiện can thiệp
-
Sai lệch nhẹ, có khả năng tự điều chỉnh theo quá trình phát triển
-
Xương hàm chưa có dấu hiệu bất thường rõ ràng
Kết luận: Việc có nên niềng răng cho trẻ 8 tuổi hay không cần dựa trên thăm khám chuyên sâu. Phụ huynh nên cho trẻ kiểm tra sớm với bác sĩ chỉnh nha để xác định đúng thời điểm can thiệp, giúp đạt hiệu quả tối ưu và tránh điều trị không cần thiết.
Xem Thêm: Độ Tuổi Niềng Răng Trẻ Em Thích Hợp Nhât Là Khi Nào?
Xem Thêm: Niềng Răng Trẻ Em Giá Bao Nhiêu?
2. Khi Nào Nên Cho Trẻ 8 Tuổi Niềng Răng?
Phụ huynh nên cân nhắc niềng răng cho trẻ 8 tuổi ngay từ sớm nếu xuất hiện các dấu hiệu bất thường về răng và xương hàm, đặc biệt trong giai đoạn răng hỗn hợp - thời điểm việc can thiệp sẽ mang lại hiệu quả cao và nhẹ nhàng hơn.
Sai lệch khớp cắn
-
Cắn ngược (móm)
-
Cắn sâu, cắn hở
-
Cắn chéo
Vấn đề về cung hàm
-
Hàm hẹp, thiếu chỗ cho răng mọc
-
Răng chen chúc, mọc lệch lạc
Răng mọc bất thường
-
Răng cửa hô hoặc cụp vào trong
-
Răng vĩnh viễn mọc sai hướng, lệch trục
Thói quen xấu ảnh hưởng đến răng hàm mặt
-
Mút tay kéo dài
-
Đẩy lưỡi khi nuốt hoặc nói
-
Thở miệng thường xuyên
Nếu không được phát hiện và can thiệp kịp thời, những vấn đề này có xu hướng trở nên nghiêm trọng hơn theo thời gian, ảnh hưởng đến thẩm mỹ, chức năng ăn nhai và phát âm. Khi đó, việc điều trị ở giai đoạn trưởng thành sẽ phức tạp hơn, thời gian kéo dài và chi phí cũng cao hơn đáng kể.
Xem Thêm: Niềng Răng Là Gì?
Xem Thêm: Niềng Răng Giá Bao Nhiêu Tiền?

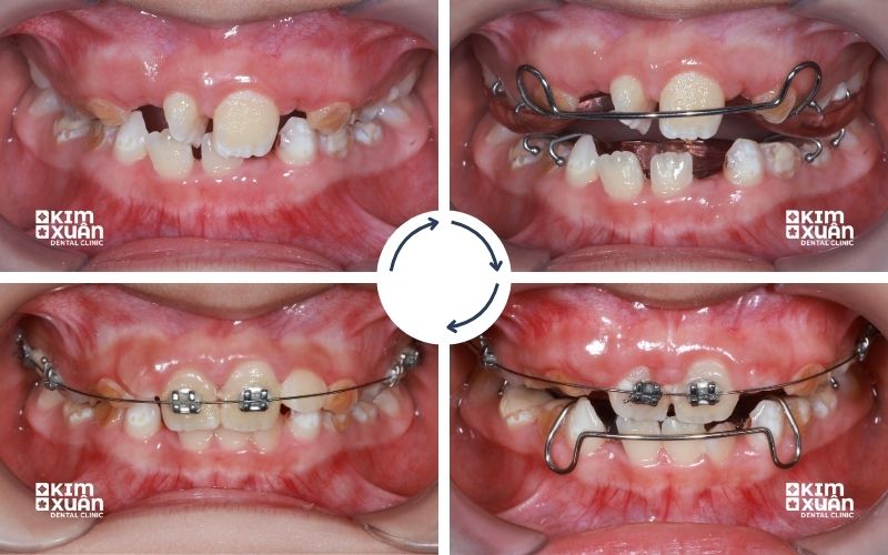
3. Các Phương Pháp Niềng Răng Phù Hợp Cho Trẻ 8 Tuổi
Tùy vào tình trạng răng và sự phát triển xương hàm của từng bé, bác sĩ chỉnh nha sẽ chỉ định phương pháp phù hợp nhằm đạt hiệu quả tối ưu và hạn chế can thiệp phức tạp về sau.
3.1. Niềng Răng Bằng Khí Cụ Tháo Lắp (Phổ biến nhất)
Đây là phương pháp được ưu tiên hàng đầu cho trẻ 8 tuổi trong giai đoạn răng hỗn hợp, giúp can thiệp sớm và định hướng phát triển răng - hàm một cách nhẹ nhàng.
Phù hợp khi:
-
Sai lệch răng ở mức độ nhẹ
-
Cần định hướng răng vĩnh viễn mọc đúng vị trí
-
Cần hỗ trợ điều chỉnh sự phát triển của xương hàm
Ưu điểm nổi bật:
-
Có thể tháo lắp linh hoạt - thuận tiện khi ăn uống và vệ sinh
-
Chi phí hợp lý, phù hợp với nhiều gia đình
-
Ít gây đau hoặc khó chịu, dễ thích nghi với trẻ nhỏ
-
Hỗ trợ định hình xương hàm phát triển cân đối
Lưu ý quan trọng:
-
Trẻ cần đeo đủ thời gian mỗi ngày theo chỉ định của bác sĩ
-
Phụ huynh cần theo sát, nhắc nhở để đảm bảo hiệu quả điều trị
Phương pháp này mang lại hiệu quả cao nếu được áp dụng đúng thời điểm và duy trì đều đặn, giúp giảm đáng kể nhu cầu niềng răng phức tạp khi trẻ lớn hơn.
3.2. Niềng Răng Mắc Cài (Chỉ định trong trường hợp đặc biệt)
Niềng răng mắc cài thường không phải lựa chọn ưu tiên cho trẻ 8 tuổi, nhưng vẫn có thể được chỉ định trong một số trường hợp cần can thiệp sớm và kiểm soát lực kéo chính xác.
Thường áp dụng khi:
-
Sai lệch răng ở mức độ nặng (chen chúc nhiều, lệch khớp cắn rõ rệt)
-
Cần chỉnh một nhóm răng cụ thể với độ chính xác cao
-
Các phương pháp tháo lắp không mang lại hiệu quả mong muốn
Ưu điểm:
-
Tạo lực kéo ổn định, kiểm soát dịch chuyển răng tốt
-
Hiệu quả cao trong các ca phức tạp
Nhược điểm:
-
Khó vệ sinh răng miệng hơn, dễ đọng thức ăn
-
Trẻ có thể cảm thấy vướng víu, khó chịu trong thời gian đầu
-
Cần sự hợp tác tốt từ trẻ và theo dõi sát từ phụ huynh
Niềng răng mắc cài ở độ tuổi này cần được bác sĩ cân nhắc kỹ lưỡng để đảm bảo phù hợp với giai đoạn phát triển của trẻ, đồng thời tối ưu hiệu quả mà vẫn đảm bảo sự thoải mái trong sinh hoạt hàng ngày.
Xem Thêm: Niềng Răng Mắc Cài Tự Buộc Là Gì?
Xem Thêm Niềng Răng Mắc Cài Kim Loại Giá Bao Nhiêu?
3.3. Niềng Răng Trong Suốt - Invisalign
Đây là giải pháp chỉnh nha hiện đại được thiết kế riêng cho trẻ em trong giai đoạn răng hỗn hợp, giúp can thiệp sớm mà vẫn đảm bảo tính thẩm mỹ và sự thoải mái.
Ưu điểm nổi bật:
-
Thẩm mỹ cao, gần như “vô hình” khi đeo
-
Thoải mái, ít gây đau hoặc kích ứng nướu
-
Có thể tháo lắp linh hoạt khi ăn uống và vệ sinh răng miệng
-
Hỗ trợ định hướng răng và cung hàm phát triển sớm
Nhược điểm cần lưu ý:
-
Chi phí cao hơn so với các phương pháp truyền thống
-
Yêu cầu trẻ có ý thức tốt, đeo khay đủ thời gian mỗi ngày (thường 20 - 22 giờ)
Invisalign phù hợp với những gia đình ưu tiên tính thẩm mỹ và trải nghiệm nhẹ nhàng cho trẻ, đồng thời sẵn sàng đồng hành cùng con trong việc tuân thủ kế hoạch điều trị để đạt hiệu quả tối ưu.
Xem Thêm: Niềng Răng Máng Invisalign Có Tốt Không?
Xem Thêm: Niềng Răng Invisalign Có Đau Không?

4. Lợi Ích Khi Niềng Răng Cho Trẻ 8 Tuổi
Niềng răng sớm ở tuổi lên 8 không chỉ cải thiện tính thẩm mỹ mà còn đóng vai trò quan trọng trong sự phát triển toàn diện của răng và xương hàm, giúp trẻ tránh được nhiều vấn đề phức tạp về sau.
Định hướng răng vĩnh viễn mọc đúng vị trí
-
Giúp tạo khoảng hợp lý trên cung hàm, hạn chế tình trạng chen chúc, lệch lạc khi răng vĩnh viễn mọc hoàn thiện
Điều chỉnh sự phát triển xương hàm
-
Hỗ trợ cân đối khuôn mặt, giảm nguy cơ hô, móm hoặc lệch khớp cắn khi trưởng thành
Cải thiện chức năng ăn nhai
-
Giúp trẻ ăn uống dễ dàng hơn, nhai hiệu quả hơn, từ đó hỗ trợ hệ tiêu hóa và hấp thu dinh dưỡng tốt hơn
Giảm nguy cơ bệnh lý răng miệng
-
Răng đều và đúng khớp cắn giúp việc vệ sinh dễ dàng hơn, hạn chế sâu răng, viêm nướu và các bệnh lý nha khoa khác
Tiết kiệm chi phí và thời gian điều trị về lâu dài
-
Can thiệp sớm giúp giảm mức độ phức tạp, hạn chế các phương pháp điều trị nặng khi trẻ lớn, từ đó tối ưu chi phí tổng thể
Tổng kết: Niềng răng cho trẻ 8 tuổi đúng thời điểm không chỉ mang lại nụ cười đẹp mà còn là khoản đầu tư dài hạn cho sức khỏe răng miệng và sự phát triển hàm mặt của trẻ.
Xem Thêm: Niềng Răng Hô Có Hiệu Quả Không?
Xem Thêm: Niềng Răng Vẩu Mất Bao Lâu? Giá Bao Nhiêu?

5. Những Lo Lắng Thường Gặp Của Phụ Huynh
Khi cân nhắc niềng răng cho trẻ 8 tuổi, nhiều phụ huynh thường có những băn khoăn rất thực tế. Dưới đây là giải đáp giúp bạn yên tâm hơn trước khi quyết định:
Niềng răng có đau không?
-
Trẻ có thể cảm thấy hơi ê hoặc khó chịu trong vài ngày đầu khi mới đeo khí cụ hoặc siết chỉnh, nhưng mức độ nhẹ và sẽ nhanh chóng thích nghi. Hầu hết trẻ đều quen sau một thời gian ngắn.
Có ảnh hưởng đến việc học tập không?
-
Gần như không. Trẻ vẫn có thể ăn uống, sinh hoạt và học tập bình thường. Việc đeo khí cụ không làm gián đoạn các hoạt động hàng ngày nếu được hướng dẫn đúng cách.
Có cần nhổ răng không?
-
Với chỉnh nha sớm ở giai đoạn 8 tuổi, khả năng phải nhổ răng thường thấp hơn do đã can thiệp kịp thời để tạo khoảng và định hướng răng mọc đúng.
Trẻ có hợp tác không?
Đây là yếu tố then chốt quyết định hiệu quả điều trị. Để giúp trẻ hợp tác tốt hơn, phụ huynh nên:
-
Giải thích nhẹ nhàng để trẻ hiểu lợi ích của việc niềng răng
-
Đồng hành, nhắc nhở việc đeo khí cụ đúng thời gian
-
Tạo tâm lý thoải mái, tránh gây áp lực cho trẻ
Kết luận: Khi được chuẩn bị tâm lý tốt và có sự đồng hành từ gia đình, quá trình niềng răng ở trẻ sẽ diễn ra nhẹ nhàng, hiệu quả và ít áp lực hơn rất nhiều.
Xem Thêm: Niềng Răng Trong Bao Lâu?
6. Khi Nào Nên Đưa Trẻ Đi Khám Chỉnh Nha?
Thời điểm lý tưởng để đưa trẻ đi khám chỉnh nha là từ 7 - 8 tuổi, ngay khi bắt đầu giai đoạn răng hỗn hợp. Phụ huynh nên chủ động cho trẻ thăm khám sớm nếu nhận thấy các dấu hiệu như:
-
Răng bắt đầu mọc lệch, chen chúc hoặc không đều
-
Có biểu hiện sai khớp cắn (hô, móm, cắn chéo…)
-
Hoặc đơn giản là cảm thấy “có gì đó không ổn” trong quá trình thay răng của trẻ
Quan trọng: Việc đi khám sớm không đồng nghĩa với việc phải niềng răng ngay. Thay vào đó, bác sĩ sẽ:
-
Theo dõi quá trình phát triển răng và xương hàm của trẻ
-
Phát hiện sớm các vấn đề tiềm ẩn
-
Đưa ra thời điểm can thiệp phù hợp nhất để đạt hiệu quả tối ưu
Kết luận: Thăm khám chỉnh nha sớm là bước chủ động thông minh, giúp phụ huynh kiểm soát tốt sự phát triển răng miệng của con và tránh những can thiệp phức tạp về sau.
Xem Thêm: Niềng Răng Móm Mất Bao Lâu?
Xem Thêm: Niềng Răng Mọc Lệch Lạc Giá Bao Nhiêu Tiền?
7. Kết Luận
Niềng răng cho trẻ 8 tuổi là một bước can thiệp sớm mang lại lợi ích lâu dài, nếu được thực hiện đúng chỉ định và đúng thời điểm. Không phải trẻ nào cũng cần niềng ngay, nhưng việc khám sớm – đánh giá đúng – can thiệp kịp thời chính là chìa khóa giúp trẻ phát triển hàm răng khỏe mạnh, cân đối và sở hữu nụ cười tự tin trong tương lai.
Nếu bạn đang băn khoăn liệu con mình có cần niềng răng hay chưa, hãy cho bé thăm khám sớm tại Nha khoa Kim Xuân để được bác sĩ kiểm tra, tư vấn lộ trình phù hợp và theo dõi sát quá trình phát triển răng hàm mặt.
Đặt lịch ngay hôm nay để giúp con có khởi đầu tốt nhất cho nụ cười sau này!
Nha Khoa Kim Xuân - Bình Thạnh TP. HCM
Địa Chỉ: 165 Ngô Tất Tố, Phường Thạnh Mỹ Tây, Tp Hồ Chí Minh
Hotline: 0899 922 668 (Viber, Zalo, FaceTime)
ZaLo: https://zalo.me/nhakhoakimxuan
WebSite: https://nhakhoakimxuan.com.vn